View Single Post
Default Nhiễm ấu trùng sán lợn: Khoẻ dễ trở thành tàn phế
Old 10-15-2011   #1
johnnydan9
R10 Vô Địch Thiên Hạ
 
johnnydan9's Avatar
 
Join Date: Nov 2007
Location: LCN
Posts: 55,869
Thanks: 40
Thanked 564 Times in 514 Posts
Mentioned: 2 Post(s)
Tagged: 0 Thread(s)
Quoted: 1 Post(s)
Rep Power: 75
johnnydan9 Reputation Uy Tín Level 7johnnydan9 Reputation Uy Tín Level 7
johnnydan9 Reputation Uy Tín Level 7johnnydan9 Reputation Uy Tín Level 7johnnydan9 Reputation Uy Tín Level 7johnnydan9 Reputation Uy Tín Level 7johnnydan9 Reputation Uy Tín Level 7johnnydan9 Reputation Uy Tín Level 7johnnydan9 Reputation Uy Tín Level 7johnnydan9 Reputation Uy Tín Level 7johnnydan9 Reputation Uy Tín Level 7johnnydan9 Reputation Uy Tín Level 7johnnydan9 Reputation Uy Tín Level 7
Theo tin từ Bệnh viện Nhi đồng 1, Bé P. T. A., 20 tháng tuổi, nhà ở Mỏ Cày, Bến Tre do nuốt bóng đèn gây viêm phổi nặng kéo dài, có nhiều mục đục ở cuống phổi bên trái...

Bác sĩ Nguyễn Thị Kim Thoa cho biết, cháu A. nhập viện bệnh viện Nhi Đồng 1 vì ho đã 30 ngày Bé ho và sổ mũi liên tục, thở khò khè khi ngủ.

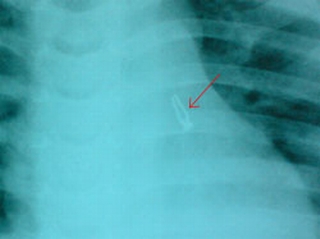
Gia đình cháu A. cho biết, cháu bị ho nhiều gia đình cho cháu uống thuốc có giảm nhưng sau đó lại bị tái lại. Cứ hết thuốc gia đình lại cho cháu đi khám và mua thuốc, rồi nhập vịện tiêm thuốc tại địa phương nhưng không khỏi nên đã đưa đến bệnh viện Nhi đồng 1. Tại bệnh viện, các bác sĩ thấy cháu có những dấu hiệu nghi viêm phổi và cho chụp phim X quang phổi.

Kết quả là tình trạng phổi bị viêm ở cả 2 bên, bên phổi trái còn bị xẹp một phần. Chụp phim kiểm tra lại giúp xác định được có hình ảnh vật kim khí trong lồng ngực bên trái.

Nội soi đường thở thì thấy có nhiều mủ đục ở cuống phổi bên trái. Ở giữa ổ mủ gắp ra được một bóng đèn điện nhỏ, lọai đèn trang trí làm đẹp nhà cửa.

Khi phát hiện có kim khi trong phổi, mẹ cháu A. mới nhớ lại đã để cháu nhặt chơi bóng đèn trong lúc cả nhà đang chuẩn bị ngày Lễ vừa qua. Sau khi cháu ngậm nuốt phải không thấy có biểu hiện gì lạ nên không đưa đi khám bệnh.

Bác sĩ Nguyễn Thị Kim Thoa cảnh báo, để đề phòng tai nạn nuốt dị vật ở trẻ em nhỏ, các bậc phụ huynh phải luôn để mắt đến bé trong lúc chơi, nhất là trong lúc dọn dẹp, trang hòang nhà cửa. Không cho trẻ chơi bất kỳ vật nhỏ nào không để trẻ nuốt phải khi vô tình đưa vào miệng ngậm mút. Nếu phát hiện hoặc nghi ngờ trẻ nuốt vật lạ vào miệng phải đưa đến cơ sở y tế để được xử lý kịp thời.
(Báo vnmedia.vn)
johnnydan9_is_offline  
Attached Thumbnails
Click image for larger version

Name:	787321_1S.JPG
Views:	11
Size:	37.6 KB
ID:	324854  
Quay về trang chủ Lên đầu Xuống dưới Lên 3000px Xuống 3000px
 
Page generated in 0.10754 seconds with 11 queries