View Single Post
Default Dạ dày chui lên lồng ngực bé gái
Old 11-03-2011   #1
jojolotus
R9 Tuyệt Đỉnh Tôn Sư
 
jojolotus's Avatar
 
Join Date: Dec 2008
Posts: 41,760
Thanks: 0
Thanked 0 Times in 0 Posts
Mentioned: 0 Post(s)
Tagged: 0 Thread(s)
Quoted: 0 Post(s)
Rep Power: 59
jojolotus Reputation Uy Tín Level 1jojolotus Reputation Uy Tín Level 1
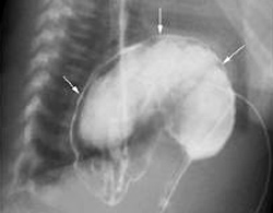
Thay vì nằm ở ổ bụng, dạ dày của bệnh nhi 7 tuổi (Bà Rịa - Vũng Tàu) lại chui lên lồng ngực. Đây là bệnh lý xoắn dạ dày ở thể rất hiếm gặp bởi thường chỉ xảy ra ở trẻ lớn hơn.



Dạ dày chui lên lồng ngực bệnh nhân. Ảnh: B.V

Bệnh nhi nhập viện Nhi Đồng 2 ngày 1/1 trong tình trạng ói và đau bụng nhiều. Trước đó bé đã được thăm khám ở bệnh viện tuyến dưới nhưng không tìm được nguyên nhân.

Tại bệnh viện, diễn tiến của bé ngày càng xấu, bụng trướng to, ói nhiều hơn. Chẩn đoán qua hình ảnh cho thấy có hiện tượng dạ dày dãn to, ứ đọng dịch. Kết quả chụp phim còn phát hiện, dạ dày của bé phần dưới bị xoắn lên cao và một phần chui lên lồng ngực.

Bệnh nhân lập tức được mổ nội soi để đưa dạ dày trở về ổ bụng và khâu cố định đề phòng tái xoắn lại. Các bác sĩ cũng khâu hẹp lỗ thoát vị nơi dạ dày chui lên.

Sáng nay, 2 ngày sau mổ, bệnh nhân đã hồi phục tốt, hết ói, bụng hết trương, ăn uống và đi tiêu tốt.

Theo các bác sĩ chuyên khoa ngoại Bệnh viện Nhi Đồng 2, xoắn dạ dày ở trẻ em khá hiếm gặp và trường hợp này còn hiếm hơn bởi những ca khác thường trên 10 tuổi.

Đến nay, y văn thế giới ghi nhận được khoảng 160 ca và biểu hiện thường gặp là đau bụng đột ngột, ói nhiều và liên tục. Một số trường hợp bé có thể suy hô hấp cấp kèm theo tím tay chân do đau. Bệnh có thể nguy hiểm đến tính mạng của bé nếu không được chẩn đoán và can thiệp kịp thời.


Phương Nghi
theo vne
jojolotus_is_offline  
Attached Thumbnails
Click image for larger version

Name:	xoan-ruot.jpg
Views:	7
Size:	13.1 KB
ID:	330471  
Quay về trang chủ Lên đầu Xuống dưới Lên 3000px Xuống 3000px
 
Page generated in 0.44938 seconds with 11 queries