VietBF

VietBF (https://vietbf.com/forum/index.php)
-   World News |Tin Thế Giới 2006-2019 (https://vietbf.com/forum/forumdisplay.php?f=272)
-   -   Xương người có thể cấy tạo từ xương heo? (https://vietbf.com/forum/showthread.php?t=991200)

Hanna 07-12-2016 08:48

Xương người có thể cấy tạo từ xương heo?
 
1 Attachment(s)
Một nghiên cứu mới nhất cho thấy xương đă tái sinh. Nhưng đây là xương heo, và cũng mở ra hy vọng có thể ghép được xương cho người. Cùng vietbf.com khám phá thêm.

Attachment 909576
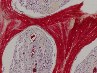
H́nh ảnh cho thấy xương tái sinh, với chất nền khoáng (màu đỏ) và hệ mạch phát triển (mạch máu với các tế bào hồng cầu trong xoang).

NEW YORK - Các nhà khoa học lần đầu tiên tái tạo thành công xương nhân tạo từ tế bào heo, mở ra hy vọng áp dụng trên người. Theo các nhà nghiên cứu ở đại học Columbia tại New York, phần xương được chỉnh sửa thiết kế đă được sử dụng vào việc sửa chữa thành công hàm dưới có cấu tạo phức tạp của heo, mở đường cho việc tái tạo xương ở cơ thể người.

Xương thường có h́nh dạng phức tạp, gây khó khăn cho việc t́m kiếm phần thay thế phù hợp cho những bệnh nhân có xương bị tổn thương do tai nạn, bệnh tật hoặc dị tật bẩm sinh. Mặc dù bác sĩ có thể thay thế phần xương bị mất bằng kim loại titan, nhưng phần cấy ghép nhân tạo này lại thiếu tủy xương, thành phần đóng vai tṛ quan trọng trong cơ thể, ví dụ như tạo ra các tế bào hồng cầu và bạch cầu.

Bệnh nhân có thể ghép xương hiến tặng, nhưng điều đó cũng đặt ra các vấn đề khác, như tăng nguy cơ đào thải. Ngoài ra, các bác sĩ có thể lấy xương từ một phần khác của cơ thể bệnh nhân và ghép nó vào nơi cần thiết, nhưng điều này lại gây ra tổn thương tại vùng bị lấy xương, khiến người bệnh đau đớn.

Các nhà khoa học hy vọng sẽ tái tạo thành công xương trong pḥng thí nghiệm. Họ tập trung vào Ramus-condyle, một bộ phận của hàm dưới gắn với hộp sọ ở khu vực gần tai và là xương chịu lực chính của vùng mặt. Họ đă thử nghiệm trên heo Yucatan, v́ cấu tạo và cơ chế hoạt động hàm của chúng khá giống với con người.

Đầu tiên, các nhà nghiên cứu tách một khúc lớn xương đùi ḅ và tẩy hết các tế bào bằng enzyme và chất tẩy rửa. Sau đó họ đẽo khối xương đă mất tế bào này sao cho nó vừa khít với phần Ramus-condyle của heo, rồi cấy vào khối xương này các tế bào gốc lấy từ mỡ heo. Cuối cùng, họ đặt chúng trong các "ḷ phản ứng sinh học" để các tế bào gốc này được cung cấp oxy và chất dinh dưỡng. Sau 3 tuần, các tế bào gốc phát triển thành tế bào xương. Khung xương này sau đó được ghép lại cho heo.

6 tháng sau phẫu thuật, những phần cấy ghép kết hợp thành công vào cơ thể vật chủ và tái tạo xương mà không có bất kỳ biến chứng nào. “Điều bất ngờ là các phần xương được tạo ra trong pḥng thí nghiệm sau khi cấy ghép đă dần được thay thế bởi xương mới được h́nh thành từ chính cơ thể", một nhà khoa học cho biết. "Điều này cho thấy phần xương được cấy ghép đă trở thành một phần tự nhiên của xương gốc.”

Các nhà khoa học đang thử nghiệm thêm vào một lớp sụn lên phần cấy ghép, để phần xương nhân tạo giống xương tự nhiên nhiều hơn.


All times are GMT. The time now is 08:30.

VietBF - Vietnamese Best Forum Copyright ©2005 - 2025
User Alert System provided by Advanced User Tagging (Pro) - vBulletin Mods & Addons Copyright © 2025 DragonByte Technologies Ltd.

Page generated in 0.09264 seconds with 9 queries