HOME-Au
HOME-Au
24h
24h
USA
USA
GOP
GOP
Phim Bộ
Phim Bộ
Videoauto
VIDEO-Au
Home Classic
Home Classic
Donation
Donation
News Book
News Book
News 50
News 50
worldautoscroll
WORLD-Au
Breaking
Breaking
 

Go Back   VietBF > World Box| Thế Giới > World News|Tin Thế Giới > World News |Tin Thế Giới 2006-2019


 
 
Thread Tools
  #1  
Old  Default Xương người có thể cấy tạo từ xương heo?
Một nghiên cứu mới nhất cho thấy xương đã tái sinh. Nhưng đây là xương heo, và cũng mở ra hy vọng có thể ghép được xương cho người. Cùng vietbf.com khám phá thêm.

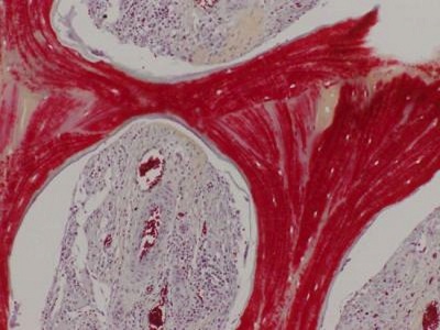
Click image for larger version

Name:	1.jpg
Views:	0
Size:	47.7 KB
ID:	909576
Hình ảnh cho thấy xương tái sinh, với chất nền khoáng (màu đỏ) và hệ mạch phát triển (mạch máu với các tế bào hồng cầu trong xoang).

NEW YORK - Các nhà khoa học lần đầu tiên tái tạo thành công xương nhân tạo từ tế bào heo, mở ra hy vọng áp dụng trên người. Theo các nhà nghiên cứu ở đại học Columbia tại New York, phần xương được chỉnh sửa thiết kế đã được sử dụng vào việc sửa chữa thành công hàm dưới có cấu tạo phức tạp của heo, mở đường cho việc tái tạo xương ở cơ thể người.

Xương thường có hình dạng phức tạp, gây khó khăn cho việc tìm kiếm phần thay thế phù hợp cho những bệnh nhân có xương bị tổn thương do tai nạn, bệnh tật hoặc dị tật bẩm sinh. Mặc dù bác sĩ có thể thay thế phần xương bị mất bằng kim loại titan, nhưng phần cấy ghép nhân tạo này lại thiếu tủy xương, thành phần đóng vai trò quan trọng trong cơ thể, ví dụ như tạo ra các tế bào hồng cầu và bạch cầu.

Bệnh nhân có thể ghép xương hiến tặng, nhưng điều đó cũng đặt ra các vấn đề khác, như tăng nguy cơ đào thải. Ngoài ra, các bác sĩ có thể lấy xương từ một phần khác của cơ thể bệnh nhân và ghép nó vào nơi cần thiết, nhưng điều này lại gây ra tổn thương tại vùng bị lấy xương, khiến người bệnh đau đớn.

Các nhà khoa học hy vọng sẽ tái tạo thành công xương trong phòng thí nghiệm. Họ tập trung vào Ramus-condyle, một bộ phận của hàm dưới gắn với hộp sọ ở khu vực gần tai và là xương chịu lực chính của vùng mặt. Họ đã thử nghiệm trên heo Yucatan, vì cấu tạo và cơ chế hoạt động hàm của chúng khá giống với con người.

Đầu tiên, các nhà nghiên cứu tách một khúc lớn xương đùi bò và tẩy hết các tế bào bằng enzyme và chất tẩy rửa. Sau đó họ đẽo khối xương đã mất tế bào này sao cho nó vừa khít với phần Ramus-condyle của heo, rồi cấy vào khối xương này các tế bào gốc lấy từ mỡ heo. Cuối cùng, họ đặt chúng trong các "lò phản ứng sinh học" để các tế bào gốc này được cung cấp oxy và chất dinh dưỡng. Sau 3 tuần, các tế bào gốc phát triển thành tế bào xương. Khung xương này sau đó được ghép lại cho heo.

6 tháng sau phẫu thuật, những phần cấy ghép kết hợp thành công vào cơ thể vật chủ và tái tạo xương mà không có bất kỳ biến chứng nào. “Điều bất ngờ là các phần xương được tạo ra trong phòng thí nghiệm sau khi cấy ghép đã dần được thay thế bởi xương mới được hình thành từ chính cơ thể", một nhà khoa học cho biết. "Điều này cho thấy phần xương được cấy ghép đã trở thành một phần tự nhiên của xương gốc.”

Các nhà khoa học đang thử nghiệm thêm vào một lớp sụn lên phần cấy ghép, để phần xương nhân tạo giống xương tự nhiên nhiều hơn.
VIETBF Diễn Đàn Hay Nhất Của Người Việt Nam

HOT NEWS 24h

HOT 3 Days

NEWS 3 Days

HOT 7 Days

NEWS 7 Days

HOME

Breaking News

VietOversea

World News

Business News

Car News

Computer News

Game News

USA News

Mobile News

Music News

Movies News

History

Thơ Ca

Sport News

Stranger Stories

Comedy Stories

Cooking Chat

Nice Pictures

Fashion

School

Travelling

Funny Videos

Canada Tin Hay

USA Tin Hay

VietBF Homepage Autoscroll

VietBF Video Autoscroll Portal

Home Classic

Home Classic Master Page



Hanna
R10 Vô Địch Thiên Hạ
Hanna's Avatar
Release: 07-12-2016
Reputation: 58282


Profile:
Join Date: Dec 2006
Posts: 88,250
Last Update: None Rating: None
Hanna_is_offline
Thanks: 11
Thanked 3,751 Times in 3,090 Posts
Mentioned: 5 Post(s)
Tagged: 0 Thread(s)
Quoted: 8 Post(s)
Rep Power: 109
Hanna Reputation Uy Tín Level 8
Hanna Reputation Uy Tín Level 8Hanna Reputation Uy Tín Level 8Hanna Reputation Uy Tín Level 8Hanna Reputation Uy Tín Level 8Hanna Reputation Uy Tín Level 8Hanna Reputation Uy Tín Level 8Hanna Reputation Uy Tín Level 8Hanna Reputation Uy Tín Level 8Hanna Reputation Uy Tín Level 8Hanna Reputation Uy Tín Level 8Hanna Reputation Uy Tín Level 8Hanna Reputation Uy Tín Level 8Hanna Reputation Uy Tín Level 8Hanna Reputation Uy Tín Level 8Hanna Reputation Uy Tín Level 8Hanna Reputation Uy Tín Level 8Hanna Reputation Uy Tín Level 8Hanna Reputation Uy Tín Level 8Hanna Reputation Uy Tín Level 8Hanna Reputation Uy Tín Level 8Hanna Reputation Uy Tín Level 8Hanna Reputation Uy Tín Level 8Hanna Reputation Uy Tín Level 8
 
User Tag List


Lá Cờ Vàng – Giấc Mơ Nhỏ Và Vận Mệnh Lớn Của Dân Tộc Những trùng hợp rợn người trong lịch sử nhân loại Những bí mật bên trong xác ướp Ba Đình
Dân kinh doanh trả giá đắt vì chính sách thuế của Cộng Sản Trăm năm bia đá cũng mòn, bia hám danh thì còn mãi Sài Gòn ‘bỏ phố’: Mặt bằng trăm triệu, đèn tắt và kỷ nguyên thu mình của người kinh doanh
Costco kiện thuế quan: Cú tát 2.000 USD vào lời hứa ‘năm sau’ của ông Trump 401k – IRA – IUL: Ba cái ‘hũ để dành’ ở Mỹ, xài trật là mất toi tuổi già Chi bộn tiền làm đẹp, giờ ôm rổ mỹ phẩm mà run: Nỗi hoang mang của khách Mailisa sau ngày thẩm mỹ viện tắt đèn
Cột điện gỗ Mỹ để: Nửa thế kỷ vẫn đứng vững ở miền Nam Việt Nam Việt Nam sau 50 năm: Quyền được tự hào và nghĩa vụ… tự chịu đựng Thất thủ trước mưa lũ: Khi bộ máy cứu nạn chỉ còn là những công điện trên giấy
Từ quán phở tị nạn đến tiệm ăn làn sóng mới Hai cái bắt tay lịch sử Nixon – Thiệu và bi kịch một đồng minh bị bỏ rơi Lũ đã dâng tới nóc nhà rồi, lệnh cứu hộ mới ký: 24 giờ vàng bị đánh cắp bởi hai chữ “chờ lệnh”
Việt Nam dưới chế độ cộng sản: Có thật đáng để tự hào? Từ thuyền nhân Việt Nam đến công tố viên hạ gục “Kẻ sát nhân Golden State” Mỹ chính thức “khai tử” đồng penny: Chia tay 1 cent sau 232 năm lặng lẽ trong túi áo người dân
Địa đạo Củ Chi: Huyền thoại tuyên truyền và sự thật bị chôn trong đất đỏ Saudi bắt tay đại gia AI Mỹ: canh bạc nghìn tỷ USD của Thái tử Mohammed bin Salman Walmart – “liều thuốc giải” cho cơn khủng hoảng chi phí sinh hoạt ở nước Mỹ
Trump khoe “thời hoàng kim” dưới mái vòm McDonald’s, trong khi người Mỹ vẫn ngộp vì tiền chợ tiền nhà Doanh nghiệp nhỏ nước Mỹ oằn mình dưới thuế quan Trump và cơn bão chi phí sinh hoạt Trump xoay sang “Plan B”: Giấc mơ làm nước Mỹ rẻ hơn và thực tế hóa đơn ngày một dày
Trump “ảo thuật” giá cả: nói lạm phát giảm, nhưng hóa đơn người Mỹ vẫn tăng Trump trong lâu đài mạ vàng: hứa cứu tầng lớp lao động, rồi lạc khỏi nỗi lo tiền chợ “No Kings” rầm rộ khắp nước Mỹ: Gần 7 triệu người xuống đường, khẳng định “Không có vua trong nền dân chủ”

 
Lên đầu Xuống dưới Lên 3000px Xuống 3000px

iPad Videos Portal Autoscroll

VietBF Music Portal Autoscroll

iPad News Portal Autoscroll

VietBF Homepage Autoscroll

VietBF Video Autoscroll Portal

USA News Autoscroll Portall

VietBF WORLD Autoscroll Portal

Home Classic

Super Widescreen

iPad World Portal Autoscroll

iPad USA Portal Autoscroll

Phim Bộ Online

Tin nóng nhất 24h qua

Tin nóng nhất 3 ngày qua

Tin nóng nhất 7 ngày qua

Tin nóng nhất 30 ngày qua

Albums

Total Videos Online
Lên đầu Xuống dưới Lên 3000px Xuống 3000px

Tranh luận sôi nổi nhất 7 ngày qua

Tranh luận sôi nổi nhất 14 ngày qua

Tranh luận sôi nổi nhất 30 ngày qua

10.000 Tin mới nhất

Tin tức Hoa Kỳ

Tin tức Công nghệ
Lên đầu Xuống dưới Lên 3000px Xuống 3000px

Super News

School Cooking Traveling Portal

Enter Portal

Series Shows and Movies Online

Home Classic Master Page

Donation Ủng hộ $3 cho VietBF
Lên đầu Xuống dưới Lên 3000px Xuống 3000px
Diễn Đàn Người Việt Hải Ngoại. Tự do ngôn luận, an toàn và uy tín. Vì một tương lai tươi đẹp cho các thế hệ Việt Nam hãy ghé thăm chúng tôi, hãy tâm sự với chúng tôi mỗi ngày, mỗi giờ và mỗi giây phút có thể. VietBF.Com Xin cám ơn các bạn, chúc tất cả các bạn vui vẻ và gặp nhiều may mắn.
Welcome to Vietnamese American Community, Vietnamese European, Canadian, Australian Forum, Vietnamese Overseas Forum. Freedom of speech, safety and prestige. For a beautiful future for Vietnamese generations, please visit us, talk to us every day, every hour and every moment possible. VietBF.Com Thank you all and good luck.

Lên đầu Xuống dưới Lên 3000px Xuống 3000px

All times are GMT. The time now is 12:21.
VietBF - Vietnamese Best Forum Copyright ©2005 - 2025
User Alert System provided by Advanced User Tagging (Pro) - vBulletin Mods & Addons Copyright © 2025 DragonByte Technologies Ltd.
Log Out Unregistered

Page generated in 0.11668 seconds with 13 queries