View Single Post
  #1  
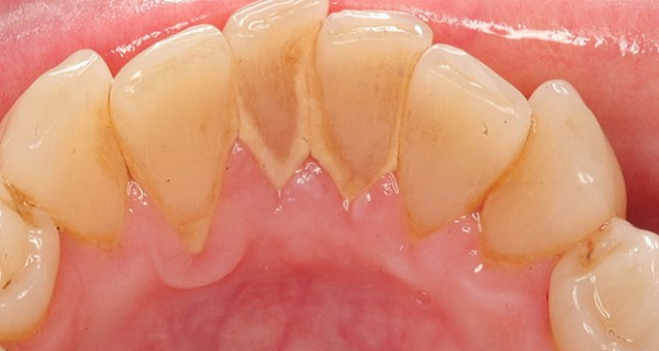
Old  Default Bí quyết tự nhiên giúp bạn làm sạch CAO RĂNG hiệu quả ngay tại nhà
Khi nói đến việc làm sạch cao răng, bạn thường cho rằng chỉ có nha sĩ mới có thể làm được điều này?
Tuy nhiên, có rất nhiều công thức nhiên thông giúp bạn làm sạch cao răng hiệu quả ngay tại nhà.



Công thức 1:
Thành phần cần thiết:
30g vỏ quả óc chó
Nước
Chuẩn bị:
Đặt vỏ quả óc chó trong một cái chảo, cho thêm nước và nấu hỗn hợp trong 15 phút. Nhúng bàn chải đánh răng trong hỗn hợp kết quả và đánh răng cho năm phút. Lặp lại phương pháp này vào buổi sáng, buổi chiều và buổi tối.
Công thức 2:
Thành phần cần thiết:
4 muỗng canh hạt hướng dương
4 muỗng canh hoa chanh
1 lít nước
Chuẩn bị:
Cho nguyên liệu vào nồi, đổ nước và nấu hỗn hợp này trên lửa nhỏ trong nửa giờ. Đánh răng bằng hỗn hợp kết quả sau mỗi bữa ăn.
Công thức 3:
Giấm táo cũng có thể được sử dụng để tẩy rửa, nhưng chỉ một lần một tuần. Để dấm trong miệng của bạn trong một thời gian và sau đó rửa sạch răng của bạn. Triệt để súc miệng với nước, do đó bạn không làm hỏng men răng.

pizza@VietBF © sưu tầm
VIETBF Diễn Đàn Hay Nhất Của Người Việt Nam

HOT NEWS 24h

HOT 3 Days

NEWS 3 Days

HOT 7 Days

NEWS 7 Days

HOME

Breaking News

VietOversea

World News

Business News

Car News

Computer News

Game News

USA News

Mobile News

Music News

Movies News

History

Thơ Ca

Sport News

Stranger Stories

Comedy Stories

Cooking Chat

Nice Pictures

Fashion

School

Travelling

Funny Videos

Canada Tin Hay

USA Tin Hay

VietBF Homepage Autoscroll

VietBF Video Autoscroll Portal

Home Classic

Home Classic Master Page


pizza
R11 Tuyệt Thế Thiên Hạ
Release: 04-24-2015
Reputation: 237112


Profile:
Join Date: Sep 2014
Posts: 105,165
Last Update: None Rating: None
Attached Thumbnails
Click image for larger version

Name:	Three-Recipes-For-Home-Descaling.png
Views:	0
Size:	315.0 KB
ID:	760009  
pizza_is_offline
Thanks: 7
Thanked 8,085 Times in 7,195 Posts
Mentioned: 6 Post(s)
Tagged: 0 Thread(s)
Quoted: 41 Post(s)
Rep Power: 128
pizza Reputation Uy Tín Level 10pizza Reputation Uy Tín Level 10pizza Reputation Uy Tín Level 10pizza Reputation Uy Tín Level 10pizza Reputation Uy Tín Level 10pizza Reputation Uy Tín Level 10pizza Reputation Uy Tín Level 10
pizza Reputation Uy Tín Level 10pizza Reputation Uy Tín Level 10pizza Reputation Uy Tín Level 10pizza Reputation Uy Tín Level 10pizza Reputation Uy Tín Level 10pizza Reputation Uy Tín Level 10pizza Reputation Uy Tín Level 10pizza Reputation Uy Tín Level 10pizza Reputation Uy Tín Level 10pizza Reputation Uy Tín Level 10pizza Reputation Uy Tín Level 10pizza Reputation Uy Tín Level 10pizza Reputation Uy Tín Level 10pizza Reputation Uy Tín Level 10pizza Reputation Uy Tín Level 10pizza Reputation Uy Tín Level 10pizza Reputation Uy Tín Level 10pizza Reputation Uy Tín Level 10pizza Reputation Uy Tín Level 10pizza Reputation Uy Tín Level 10pizza Reputation Uy Tín Level 10pizza Reputation Uy Tín Level 10
Quay về trang chủ Lên đầu Xuống dưới Lên 3000px Xuống 3000px
 
Page generated in 0.09788 seconds with 11 queries