VBF-Thịt nướng luôn là món ăn khoái khẩu, nó luôn hấp dẫn người ăn bởi hương vị thơm ngon đặc biệt. Chính vì thế mà trên TG có rất nhiều người nghiện món ăn này mà không lường hết được hậu quả mà nó gây ra. Như nạn nhân này đã bị nhiễm sán lợn gây ra động kinh, ảo giác não. Ăn các món thịt sống, tái có nguy cơ nhiễm ký sinh trùng rất cao. Báo Metropolis Daily News (TQ) đưa tin, người phụ nữ tên Hoàng, 31 tuổi ở Hán Khẩu có sở thích ăn nhiều thịt nướng và chị đã thường xuyên ăn món này trong một thời gian dài.

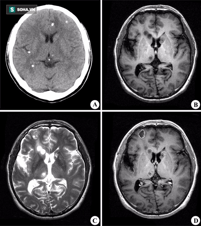
Ảnh chụp não có ký sinh trùng.
Gần đây, chị Hoàng bất ngờ bị động kinh, chân tay co giật, miệng sùi bọt mép, ảo giác não, lúc nào cũng lơ mơ và tình trạng bệnh nghiêm trọng khiến gia đình vô cùng sợ hãi.
Người nhà chị đã nhanh chóng đưa đến Bệnh viện Vũ Hán, Hán Khẩu (TQ) để kiểm tra sức khỏe. Khi bác sĩ tiến hành kiểm tra sức khỏe, siêu âm và chụp ảnh não, đã bất ngờ phát hiện dị vật lạ trong não của chị.
Điều khiến mọi người bàng hoàng sợ hãi, dị vật đó chính là 3 con ký sinh trùng (thuộc loại giun sán) dài loằng ngoằng trong não của chị Hoàng, nhìn qua ảnh MRI có thể thấy rõ. Theo ý kiến của các bác sĩ BV Vũ Hán, chị Hoàng đã mắc bệnh nhiễm sán não (chủ yếu là sán dây lợn) do nhiễm ký sinh trùng thông qua ăn uống. Đây là loại bệnh ký sinh trùng não mãn tính, không loại trừ khả năng do sở thích ăn thịt nướng.
Bác sĩ cảnh báo, thói quen ăn thịt nướng (rất nhiều phần thịt chưa được chín kỹ) sẽ vô tình ăn luôn cả ký sinh trùng lợn. Thịt lợn gạo chứa sán dây khi không nấu chín, những quả trứng sán trong thịt lợn phát triển thành ký sinh trùng trong cơ thể con người.
Chúng thường đi qua đường tiêu hóa, xuyên qua thành ruột vào tĩnh mạch, tiếp tục vào hệ tuần hoàn rồi đến các màng não, xâm chiếm vùng nhu mô não và trú ngụ trong não thất.
Bệnh nhân bị bệnh sẽ khiến não bị tổn thương nghiêm trọng, gây ra các biến chứng khác như nhức đầu, suy nhược toàn bộ cơ thể, rối loạn vận động chân tay, động kinh là nghiêm trọng nhất là mờ mắt, thậm chí mù lòa, gần như điên loạn mất kiểm soát hành vi.
Nếu không kịp thời phát hiện và chữa trị, có thể dẫn đến những hậu quả vô cùng nghiêm trọng.
Bác sĩ Tiêu Ngọc Nhàn, trưởng khoa Nội thần kinh, BV Hán Khẩu, Vũ Hán (TQ) nhắc nhở, để tránh bị nhiễm ký sinh trùng, đặc biệt là trong bối cảnh thực phẩm thiếu an toàn vệ sinh, tốt nhất chúng ta không nên ăn thực phẩm không qua nấu nướng cẩn thận.
Ví dụ như rau sống, thịt cá sống đều có nhiều món tiềm ẩn nguy cơ chứa ký sinh trùng. Ngoài ra, trước khi ăn uống nên vệ sinh rửa tay sạch sẽ, chọn thực phẩm an toàn, thịt cá có nguồn gốc rõ ràng.
Để tránh món ăn nhiễm giun sán, thịt lợn nên để đông lạnh 12 giờ rồi chế biến món ăn, cũng có thể giảm thiểu tình trạng nhiễm sán. Khi chế biến cần chín hẳn rồi mới ăn.
Theo thông tin từ bệnh viện Vũ Hán, bệnh nhân nhiễm ký sinh trùng như chị Hoàng không phải là hiếm, kể cả trẻ em cũng đã bị nhiễm bệnh, vì thế bất kỳ ai cũng nên đề phòng, ăn uống hợp vệ sinh.