Martin Taylor, 43 tuổi, người đàn ông Scotland được chẩn đoán mắc bệnh viêm phổi do sử dụng chăn lông vũ.
Trường hợp của Martin được báo cáo trên British Medical Journal ngày 18/11. Ban đầu, các biểu hiện của anh gồm có khó thở và choáng váng khi hoạt động. Hai tháng sau triệu chứng, anh gặp khó khăn khi đi lại và thường xuyên cảm thấy như sắp ngất đi.

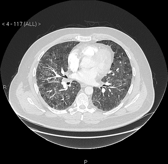
Kết quả chụp CT lồng ngực của Martin Taylor. Ảnh: BMJ
"Lên lầu để đi ngủ tốn những 30 phút, vì tôi phải ngồi nghỉ một lần giữa hai lượt cầu thang", anh cho biết. Sức khỏe không ổn định, anh phải nghỉ làm, dành phần lớn thời gian ở nhà chỉ để ngủ.
Ban đầu, bác sĩ không tìm ra nguyên nhân bệnh tình của anh sau 4 buổi thăm khám. Anh không có tiền sử hút thuốc và sử dụng ma túy. Martin được điều trị nhiễm trùng đường hô hấp trên, một căn bệnh thông thường. Sau ba tháng, sức khỏe của Martin không được cải thiện.
Tuy nhiên, sau khi phân tích công thức máu của anh, bác sĩ Owen John Dempsey, chuyên khoa Lồng ngực tại Bệnh viện BMI Albyn ở Aberdeen, Scotland nhận ra, căn bệnh bắt nguồn từ việc sử dụng chăn lông vũ. Hệ thống miễn dịch của anh có dấu hiệu tiếp xúc với các protein từ gia cầm. Martin được chẩn đoán mắc viêm phổi quá mẫn, hậu quả của hen suyễn dị ứng. Nếu phát hiện sớm, bệnh dễ điều trị. Tuy nhiên không được chẩn đóan kịp thời, bệnh có thể dẫn đến xơ phổi vĩnh viễn, thậm chí tử vong.
Hen suyễn dị ứng gia cầm không phải bệnh hiếm gặp. Các biểu hiện ban đầu gồm ho khan, khó thở, sổ mũi và kích ứng mắt, thường bộc phát khi người bệnh tiếp xúc với gia cầm, lồng chim, chuồng gà chưa được dọn sạch. Martin là trường hợp biến chứng nghiêm trọng của hen suyễn dị ứng.
Một nghiên cứu công bố vào năm 2012 cũng cho thấy, sử dụng chăn gối lông vũ nhân tạo có thể khiến bệnh hen suyễn trở nặng. Các nhà khoa học phát hiện, chăn lông vũ nhân tạo có chứa chứa nấm liên quan tới hợp chất đường liên phân tử β glucan cao hơn từ 2 đến 3 lần. β glucan là một chất gây ra phản ứng viêm và thay đổi chức năng ở phổi.
VietBF © sưu tầm