Đi khám sau thời gian dài đau đầu nhưng dùng thuốc không đỡ, người phụ nữ được phát hiện bị viêm xoang bướm do nấm, một căn bệnh nguy hiểm nhưng triệu chứng mờ nhạt, diễn tiến âm thầm.
Ngày 20/10, BSCKII Ngô Đức Minh Huy, Trưởng khoa Tai Mũi Họng, Bệnh viện Nhân dân 115 (TPHCM) cho hay, đơn vị vừa tiếp nhận và điều trị thành công cho một bệnh nhân nữ 67 tuổi được chẩn đoán viêm xoang bướm do nấm.
Bệnh nhân đến khám trong tình trạng đau đầu kéo dài nhiều tháng kèm chảy mũi có mùi hôi. Trước đó, người bệnh từng đi khám và điều trị tại một số cơ sở y tế nhưng tình trạng bệnh không cải thiện nếu ngưng thuốc.
Tại bệnh viện, từ kết quả khám bệnh ban đầu, các bác sĩ nghi ngờ bệnh nhân mắc viêm xoang do nấm.
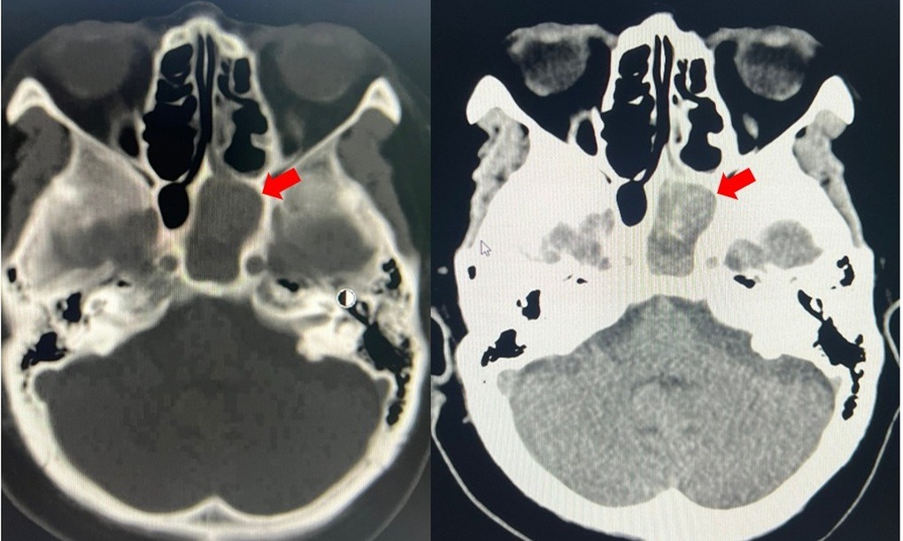
Kết quả chụp CT scan và cận lâm sàng sau đó cũng xác định người bệnh mắc viêm xoang bướm trái do nấm kèm tình trạng nhiễm trùng. Bên cạnh đó, bà cũng được ghi nhận mắc nhiều bệnh nền như tăng huyết áp, bệnh thận mạn giai đoạn III, đái tháo đường type 2.

Hình ảnh khối nấm xoang bướm bên trái (mũi tên đỏ) (Ảnh: BV).
Ngay sau đó, bệnh nhân được phối hợp điều trị đa chuyên khoa để ổn định sức khỏe ban đầu. Khi tình trạng cho phép, các bác sĩ khoa Tai Mũi Họng tiến hành phẫu thuật nội soi mở xoang bướm, lấy sạch mô nấm, hoại tử, viêm trong lòng xoang cho người bệnh, đồng thời lấy mẫu bệnh phẩm nghi nấm gửi xét nghiệm.
Sau mổ, người bệnh tiếp tục được theo dõi và điều trị tại khoa Tai Mũi Họng. Đến thời điểm xuất viện, người bệnh đã không còn đau đầu và chảy mũi.
Chia sẻ về trường hợp này, BS Minh Huy nhấn mạnh, viêm xoang bướm do nấm là một bệnh lý thầm lặng, dễ bị bỏ sót dễ gây biến chứng nguy hiểm, đặc biệt là ở người lớn tuổi với nhiều bệnh lý nền.
Viêm xoang bướm do nấm là một dạng nhiễm nấm không xâm lấn, thường gặp trong nhóm bệnh lý viêm xoang do nấm, xuất hiện nhiều ở người trung niên và lớn tuổi, đặc biệt ở nữ giới.
Bệnh bắt nguồn từ một khối nấm thường là do các loại nấm sợi phát triển lâu ngày, tạo thành một “quả bóng” đặc quánh màu nâu đen hoặc xanh xám hình thành trong lòng xoang bướm. Đây là nơi nằm sâu trong hốc mũi, tiếp giáp với nhiều cấu trúc quan trọng như nền sọ, dây thần kinh thị giác, tuyến yên, động mạch cảnh trong.
"Điểm đáng chú ý là bệnh diễn tiến âm thầm, triệu chứng không điển hình, dễ nhầm lẫn với viêm xoang mạn tính thông thường. Do đó, nhiều trường hợp chỉ được phát hiện khi bệnh đã kéo dài, thậm chí có biến chứng nguy hiểm", bác sĩ Huy chia sẻ.
Triệu chứng lâm sàng của nấm xoang bướm thường mơ hồ và không đặc hiệu như nhức đầu âm ỉ vùng đỉnh hoặc vùng sau hốc mắt. Cơn đau lan lên trán hoặc thái dương, thường kéo dài, dùng thuốc giảm đau ít hiệu quả.
Người bệnh cũng thường có dấu hiệu nghẹt mũi hoặc chảy dịch mũi, có thể có mùi hôi. Một số trường hợp có thể giảm thị lực thoáng qua hoặc mờ mắt do khối nấm chèn ép dây thần kinh thị giác.
Do vị trí xoang bướm nằm sát nhiều cấu trúc quan trọng, khối nấm nếu không được phát hiện và xử trí kịp thời có thể dẫn đến các biến chứng nghiêm trọng như tổn thương thần kinh thị giác gây giảm thị lực đột ngột, thậm chí mù không hồi phục; viêm mô tế bào quanh hốc mắt hoặc áp xe ổ mắt; viêm màng não, áp xe não do nhiễm trùng lan rộng.
"Đây là thể nấm không xâm lấn nhưng vẫn có thể để lại hậu quả nặng nề nếu chẩn đoán chậm trễ. Do đó, việc cảnh giác và phát hiện sớm là yếu tố then chốt trong điều trị", BSCKI Nhâm Tấn Đạt, khoa Tai Mũi Họng khuyến cáo.
Do đó, mọi người tuyệt đối không nên chủ quan với đau đầu kéo dài, nhức đầu vùng chẩm, sau mắt hoặc giữa trán, dùng thuốc không giảm.
"Mọi người cũng nên đi khám sớm nếu có dấu hiệu bất thường về thị lực như mờ mắt, nhìn đôi hoặc giảm thị lực thoáng qua. Đây có thể là dấu hiệu cảnh báo tổn thương thần kinh thị giác do khối nấm chèn ép", bác sĩ cảnh báo.
Mọi người cũng nên thường xuyên vệ sinh mũi xoang bằng dung dịch nước muối sinh lý, tránh môi trường ô nhiễm, khói bụi và không tự ý dùng thuốc kéo dài khi chưa có chỉ định của bác sĩ.
Vietbf @ Sưu tầm