Ngày 19 tháng 10, các bác sĩ của bệnh viện Đại học Y TP. HCM đã có một ca mổ đáng nhớ. Bệnh nhân bị sỏi thận 5-6 năm nhưng quyết "sống chung với lũ". Đến khi mổ thì ai cũng phải tá hỏa vì viên sỏi to như củ gừng.
Hôm nay (19.10), thạc sĩ - bác sĩ Nguyễn Hoàng Đức, Trưởng khoa Tiết niệu, Bệnh viện ĐH Y dược TP.HCM, cho biết sỏi thận của bà S. là trường hợp lớn nhất từ trước đến nay từng điều trị tại bệnh viện.
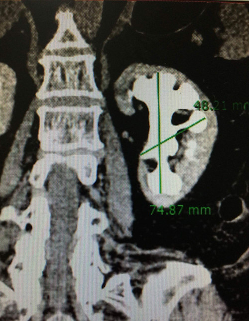
“Người bệnh bị sỏi san hô, kích thước 74 x 48 mm, to như củ gừng, chiếm hết toàn bộ thận và các đài thận trái. Đây là trường hợp sỏi thận phức tạp, hiếm gặp. Tên gọi sỏi san hô là do viên sỏi lấp đầy toàn bộ các nhánh đài thận, nhìn như một tảng san hô dưới biển”, bác sĩ Đức nói.
Bệnh nhân S. (59 tuổi, ngụ tại TP.HCM) nhập viện Bệnh viện ĐH Y dược TP.HCM vì đau hông trái kéo dài nhiều năm.
Trước đó, người bệnh đã biết mình có viên sỏi rất lớn ở thận trái từ 5-6 năm nay nhưng không dám điều trị vì khi đi khám ở nhiều bệnh viện đều được chỉ định mổ hở lấy sỏi, thậm chí có thể phải cắt bỏ bên thận có sỏi.
Theo bác sĩ Đức, với tình trạng của bệnh nhân, nếu không điều trị sỏi sẽ tàn phá làm mất chức năng thận. Không những thế, sỏi còn có thể gây ra những đợt nhiễm trùng thận tái đi tái lại, đôi khi nhiễm trùng nặng có thể gây nguy hiểm tính mạng.
Vì vậy, bệnh nhân đã được phẫu thuật nội soi để lấy sỏi khổng lồ.

Hình chụp sỏi san hô, kích thước 74 x 48mm, chiếm hết toàn bộ thận và các đài thận trái của bệnh nhân
Các bác sĩ đã rạch một vết mổ nhỏ khoảng 10 mm vùng hông lưng của bệnh nhân, tạo một đường hầm nhỏ xuyên từ ngoài da vào trong thận, dùng tia laser để tán nhỏ viên sỏi thận khổng lồ và gắp vụn sỏi ra ngoài.
Ca phẫu thuật không cần truyền máu, người bệnh xuất viện khỏe mạnh.
Sau 4 lần nội soi gắp sỏi, người bệnh đã sạch gần 98% sỏi, chỉ còn một mảnh vụn sỏi 5 mm sót lại. Vụn sỏi này sẽ tiếp tục được tán sỏi ngoài cơ thể cho sạch hết, không cần phẫu thuật.
“Phương pháp mổ nội soi này giúp bệnh nhân ít sang chấn, ít mất máu, ít ảnh hưởng đến chức năng thận, ít đau và hồi phục nhanh sau mổ. Trước đây, khi phẫu thuật nội soi niệu chưa phát triển, những trường hợp sỏi san hô như thế này đều phải mổ hở lấy sỏi, thậm chí phải cắt bỏ thận. Phẫu thuật mổ hở lấy sỏi trong những trường hợp này cũng có nhiều tai biến như chảy máu sau mổ, xì rò nước tiểu, tổn thương nhu mô thận gây ảnh hưởng chức năng thận...”, bác sĩ Đức đánh giá.
Theo thống kê, 10% trong chúng ta sẽ bị mắc sỏi thận trong suốt cuộc đời, đặc biệt là nam giới ở độ tuổi từ 30 và 40. Vì vậy, điều quan trọng là học cách ngăn ngừa và điều trị tình trạng này bằng phương pháp tự nhiên.
Theo bác sĩ Đức, Việt Nam nằm trong vùng dịch tễ sỏi thận của châu Á. Nguyên nhân có thể do khí hậu nhiệt đới nên khả năng mất nước trong cơ thể cao, làm tăng sự cô đặc nước tiểu, các tinh thể can-xi dễ lắng đọng trong nước tiểu hình thành sỏi.
Sỏi niệu gặp ở mọi lứa tuổi, từ trẻ em đến người lớn. Độ tuổi thường gặp nhất từ 40 - 70 tuổi. Triệu chứng nổi bật là đau tức vùng hông lưng, tiểu máu. Tuy nhiên khoảng 30% trường hợp sỏi thận diễn tiến âm thầm không triệu chứng đặc hiệu. Người bệnh chỉ phát hiện được khi sỏi đã gây các biến chứng như mủ thận, suy thận, sốc nhiễm trùng,…
Vì vậy, bác sĩ khuyến cáo, để phát hiện sớm sỏi niệu, người dân cần thường xuyên kiểm tra sức khỏe định kỳ. Siêu âm bụng là phương tiện tầm soát giúp phát hiện sớm sỏi niệu tốt nhất.
Đặc biệt, “biện pháp duy nhất để phòng ngừa sỏi niệu là nên uống nhiều nước, trung bình mỗi ngày nên uống từ 1,5-2 lít nước”, bác sĩ Đức khuyến cáo.