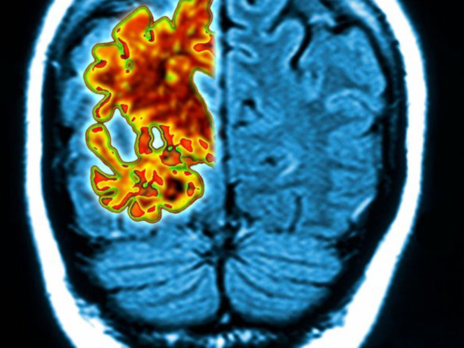
Bệnh mất trí nhớ không chỉ làm khổ người bệnh mà những người thân của họ hụt hẫng và khổ sở khi một ngày biết rằng họ bị mất trí nhớ. Thế nhưng nếu biết sớm thì vấn đề giải quyết sẽ không còn là quá khó. Một bài kiểm tra ngửi mùi đơn giản có thể giúp dự đoán chính xác bệnh mất trí nhớ trong 5 năm sau.

Để tăng mức độ khó, các nhà nghiên cứu cho người tham gia ngửi 5 luôn mùi chẳng hạn như mùi của cây bạc hà, mùi trái cam, mùi hoa hồng và mùi của da. Ảnh chụp màn hình Mirror
Một bài kiểm tra Ngửi mùi đơn giản có thể giúp dự đoán chính xác bệnh mất trí nhớ trong 5 năm sau. Bài kiểm tra này đã được các nhà nghiên cứu ở Mỹ thử nghiệm trên 3.000 người ở độ tuổi 57 đến 85.
Các nhà nghiên cứu đã sử dụng que “ngửi”. Mỗi que là một mùi và cho những người tham gia nghiên cứu ngửi. Họ được ngửi liên tục bốn mùi và sau đó chọn ra mùi trong bốn mùi này theo yêu cầu của nhà nghiên cứu hoặc yêu cầu nói tên mùi họ ngửi.
Ngoài ra, khó hơn các nhà nghiên cứu cho họ ngửi luôn 5 mùi cùng một lúc, chẳng hạn như mùi của cây bạc hà, mùi trái cam, mùi hoa hồng và mùi của da.
Theo Mirror, kết quả cho thấy rằng những người nào không thể xác định được một hay hai mùi trên “que thử” là sẽ bị bệnh. Ban đầu, các nhà nghiên cứu phát hiện 1% trong 3.000 người không thể xác định được bất kì mùi nào; 2% có thể nêu rõ chỉ một mùi; và 5% không thể xác định được hai mùi. Số còn lại ngửi bình thường và xác định được bốn hoặc năm mùi.
Trong suốt 5 năm tiếp theo, họ thấy được 80% trong số những người không thể xác định bất kỳ mùi nào, hoặc một hoặc hai mùi đã bị bệnh mất trí nhớ.
Giáo sư Jayant Pinto ở Đại học Chicago cho biết kết quả này cho thấy khứu giác thì có mối liên hệ rất gần với chức năng não.
“Chúng tôi nghĩ khả năng nhận biết mùi ngửi có thể là một dấu hiệu ban đầu quan trọng cho biết được nguy cơ bị mất trí. Chúng ta cần hiểu cơ chế cơ bản để chúng ta có thể hiểu rõ được bệnh có hại cho mô thần kinh này và hy vọng phát triển được phương pháp điều trị mới cũng như những cách can thiệp dự phòng”, giáo sư Pinto cho biết thêm.
Giáo sư Pinto nói trên Tạp chí của Hội lão khoa Mỹ rằng mất đi giác quan nhận biết về mùi là một dấu hiệu rõ ràng cho thấy đang có một sự tổn thương nào đó. Bài kiểm tra ngửi mùi đơn giản có thể nhanh chóng giúp xác định được ai là đối tượng nguy cơ cao.
Rosa Sancho, giám đốc phụ trách nghiên cứu của Trung tâm nghiên cứu Alzheimer ở Anh, nói với Mirror: “Khứu giác con người có thể giúp phân biệt được một nghìn tỉ mùi khác nhau. Nghiên cứu này đã cho thêm một bằng chứng chứng tỏ khứu giác có thể giúp chẩn đoán bệnh”.
“Những tế bào mùi trong mũi của chúng ta liên kết đến các dây thần kinh trong não và chúng ta biết rằng các bệnh như Alzheimer hay bệnh mất trí nhớ có thể bắt đầu từ tổn thương não khoảng một thập niên trước khi thấy triệu chứng”.
Tuy nhiên, bác sĩ James Pickett, giám đốc nghiên cứu tại Hội Alzheimer, lại cho rằng khi chúng ta già thì thay đổi về khứu giác là bình thường và không nên lo lắng rằng đây là một dấu hiệu ban đầu của bệnh mất trí nhớ. Nếu khứu giác bạn giảm khi bạn còn trẻ thì hãy đi khám.
VietBF © sưu tập