View Single Post
  #1  
Old  Default Phát hiện trong lơi băng Nam Cực gây chấn động
Đây là phát hiện chưa có tiền lệ- Các nhà khoa học cho biết. Đó là những mảnh nhựa nhỏ đă được phát hiện trong băng biển ở Nam Cực.

Các hạt vi nhựa (microplastic) chưa từng được phát hiện trước đây trong nước trên bề mặt, trầm tích và tuyết ở Nam Cực, nhưng phát hiện mới nói trên có thể đồng nghĩa với việc các loài nhuyễn thể trong khu vực - vốn ăn tảo từ băng biển có thể bị phơi nhiễm nhiều hơn với nhựa.

Khoảng 96 mẩu nhựa rộng chưa đầy 5 mm được t́m thấy trong một mẫu phân tích lơi băng được khoan vào năm 2009 và được cất trữ ở Hobart, Tasmania.

Nghiên cứu đă phát hiện 14 loại nhựa khác nhau và trung b́nh khoảng 12 mảnh nhựa được t́m thấy trong mỗi lít nước.



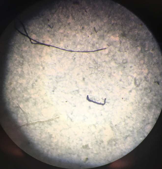
Sợi vi nhựa từ băng biển Nam Cực được nh́n thấy dưới kính hiển vi. Ảnh: IMAS.
Chuyên gia Anna Kelly từ Viện Nghiên cứu Hải dương và Nam Cực (IMAS) tại Đại học Tasmania, là tác giả chính của nghiên cứu, công bố trên trang Marine Pollution Bulletin.

“Sự xa xôi của Nam Đại Dương chưa đủ để bảo vệ nó khỏi ô nhiễm nhựa, vốn đang lan rộng khắp các đại dương trên thế giới”, cô Kelly nói.

Theo nữ chuyên gia, nồng độ nhựa được t́m thấy trong lơi băng ở Nam Cực thấp hơn một chút so với nghiên cứu trước đây từng phát hiện vi nhựa trong băng biển Bắc Cực.

“Các phân tử vi nhựa trong lơi băng của chúng ta lớn hơn ở Bắc Cực, điều đó có thể chỉ ra các nguồn ô nhiễm địa phương v́ nhựa có ít thời gian phân ră thành các sợi nhỏ hơn so với khi di chuyển khoảng cách xa trên ḍng hải lưu”, cô Kelly phân tích.

“Các nguồn ô nhiễm địa phương có thể bao gồm quần áo và thiết bị từ khách du lịch và các nhà nghiên cứu, trong khi thực tế là chúng tôi cũng xác định các sợi varnish và nhựa thường được sử dụng trong ngành đánh bắt cũng là một nguồn ô nhiễm tiềm tàng.



Chuyên gia Anna Kelly từ Viện Nghiên cứu Hải dương và Nam Cực (IMAS) tại Đại học Tasmania. Ảnh: IMAS.
Phó giáo sư Delphine Lannuzel, cũng thuộc IMAS và đồng tác giả của nghiên cứu, là một nhà hóa học băng biển đă giúp khoan lơi băng cách bờ biển khoảng 2 km vào năm 2009.

Lơi băng nói trên được lấy từ “băng nhanh” - là loại băng h́nh thành xung quanh bờ biển và không di động, không giống như đám băng nổi. Lơi được phân tích dài khoảng 1,1 m và rộng khoảng 14 cm.

Bà Lannuzel cho biết khi các nhà nghiên cứu phân tích lơi, họ đă t́m thấy nhựa được bao quanh bởi tảo mọc trong băng.

“Băng biển là môi trường sống của các loài t́m kiếm thức ăn chính”, cô Lannuzel nói. “Các loài nhuyễn thể định h́nh mọi thứ khác trong chuỗi thức ăn và chúng dựa vào tảo băng biển để phát triển’.

“Giờ đây khi bạn cho rằng tảo băng biển có liên quan đến nhựa, bạn có thể nghĩ về sự tích tụ sinh học của nhựa trong nhuyễn thể và ở cá voi”.

Các hạt nhựa tập trung nhiều hơn đáy dưới cùng của lơi băng. Lannuzel cho biết cần có thêm rất nhiều nghiên cứu để hiểu tác động của nhựa đối với các loài sống dựa vào băng biển.

Cô cho rằng hiện chưa biết liệu độc tính của nhựa có tác động tới các quá tŕnh trong ruột của loài nhuyễn thể và các loài khác, bao gồm cả cá voi ăn nhuyễn thể.

“Thay v́ ch́m xuống đại dương sâu thẳm, sự vướng lại của vi nhựa trong băng biển Nam Cực cho phép chúng tồn tại lâu hơn gần mặt biển”, chuyên gia Anna Kelly cho biết.

Cô nói thêm rằng nhuyễn thể là loài chủ chốt trong hệ sinh thái Nam Đại Dương và rất quan trọng đối với các loài săn mồi trên biển ở vị trí cao hơn trong chuỗi thức ăn.

“Điều đáng chú ư là sự ô nhiễm nhựa của băng biển Tây Nam Cực có thể c̣n lớn hơn cả vùng băng của chúng ta từ phía đông, v́ bán đảo Nam Cực tiếp nhận nhiều du khách và có các trạm nghiên cứu cũng nhưgiao thông đường biển.

VietBF@ sưu tầm.
VIETBF Diễn Đàn Hay Nhất Của Người Việt Nam

HOT NEWS 24h

HOT 3 Days

NEWS 3 Days

HOT 7 Days

NEWS 7 Days

HOME

Breaking News

VietOversea

World News

Business News

Car News

Computer News

Game News

USA News

Mobile News

Music News

Movies News

History

Thơ Ca

Sport News

Stranger Stories

Comedy Stories

Cooking Chat

Nice Pictures

Fashion

School

Travelling

Funny Videos

Canada Tin Hay

USA Tin Hay

VietBF Homepage Autoscroll

VietBF Video Autoscroll Portal

Home Classic

Home Classic Master Page

VietBF iPad Music Portal

Tin nóng nhất 50h qua

Phim Bộ Online

Phim Bộ



PinaColada
R11 Tuyệt Thế Thiên Hạ
Release: 04-22-2020
Reputation: 136991


Profile:
Join Date: Oct 2013
Posts: 119,708
Last Update: None Rating: None
Attached Thumbnails
Click image for larger version

Name:	291a.jpg
Views:	0
Size:	112.7 KB
ID:	1569685   Click image for larger version

Name:	292.jpg
Views:	0
Size:	108.3 KB
ID:	1569686  
PinaColada_is_offline
Thanks: 9
Thanked 7,874 Times in 7,003 Posts
Mentioned: 2 Post(s)
Tagged: 0 Thread(s)
Quoted: 23 Post(s)
Rep Power: 138
PinaColada Reputation Uy Tín Level 9PinaColada Reputation Uy Tín Level 9PinaColada Reputation Uy Tín Level 9PinaColada Reputation Uy Tín Level 9PinaColada Reputation Uy Tín Level 9
PinaColada Reputation Uy Tín Level 9PinaColada Reputation Uy Tín Level 9PinaColada Reputation Uy Tín Level 9PinaColada Reputation Uy Tín Level 9PinaColada Reputation Uy Tín Level 9PinaColada Reputation Uy Tín Level 9PinaColada Reputation Uy Tín Level 9PinaColada Reputation Uy Tín Level 9PinaColada Reputation Uy Tín Level 9PinaColada Reputation Uy Tín Level 9PinaColada Reputation Uy Tín Level 9PinaColada Reputation Uy Tín Level 9PinaColada Reputation Uy Tín Level 9PinaColada Reputation Uy Tín Level 9PinaColada Reputation Uy Tín Level 9PinaColada Reputation Uy Tín Level 9PinaColada Reputation Uy Tín Level 9PinaColada Reputation Uy Tín Level 9PinaColada Reputation Uy Tín Level 9PinaColada Reputation Uy Tín Level 9PinaColada Reputation Uy Tín Level 9
The Following 3 Users Say Thank You to PinaColada For This Useful Post:
cuongnguyen408 (04-23-2020), maivang18 (04-29-2020), Vietnamese (04-23-2020)
Quay về trang chủ Lên đầu Xuống dưới Lên 3000px Xuống 3000px
 
Page generated in 0.11219 seconds with 11 queries