Niềng răng là một phương pháp làm đẹp đang được rất nhiều người sử dụng. Nhưng có nhiều trường hợp dù không muốn cũng bắt buộc phải niềng răng. Dưới đây là 4 trường hợp điển hình.
Không ai có thể phủ nhận những ưu điểm mà việc chỉnh nha (niềng răng) đem lại. Các chuyên gia cũng đã đưa ra lời cảnh báo "đừng đợi quá muộn mới đi niềng răng" bởi một hàm răng đều, thẳng tắp... sẽ giúp vệ sinh răng miệng tốt hơn, từ đó giảm nguy cơ sâu răng, viêm nướu. Tuy nhiên, không ít bạn vẫn lăn tăn rằng, liệu hàm răng của mình như thế này có nên đi niềng không?
Nha sĩ Lê Thị Hải Châu - người đã có 9 năm kinh nghiệm trong nghề, tốt nghiệp trường Học viện Y khoa của Nga sẽ chia sẻ cho bạn biết những trường hợp BẮT BUỘC phải niềng răng.
1. Trường hợp răng bị hô
Chắc hẳn những người có hàm răng hô (vẩu) sẽ cảm thấy thiếu tự tin nhất mỗi khi giao tiếp với người đối diện.
Hiểu đơn giản, răng hô (vẩu) là khi cười, phần răng cửa phía trên chìa ra so với răng cửa hàm dưới, khi ngậm miệng môi trên không bao phủ răng, răng ở hàm trên và dưới không cắn khít nhau ở vị trí trung tâm.
Theo bác sĩ Châu, ảnh hưởng đầu tiên của việc sở hữu 1 hàm răng hô là mất thẩm mỹ.

Răng hô gây mất thẩm mĩ, và khiến nhiều người gặp khó khăn trong việc nhai thức ăn.
Ngoài ra, ta cần nhắc đến thêm trường hợp khớp cắn hở. Cụ thể, nhóm răng của hàm trên và hàm dưới không chạm nhau nên khớp cắn bị hở, gây khó khăn trong việc cắn xé thức ăn, ảnh hưởng đến hệ tiêu hóa và việc phát âm, đặc biệt là ngoại ngữ.
Bên cạnh đó, răng hàm dưới khi cắn cũng có nguy cơ chạm vào nướu của hàm trên, vô tình làm tổn thương mô mềm và dây chằng quanh răng dẫn đến tình trạng tiêu xương tụt lợi mặt trong răng hàm trên, làm cho các răng ngày càng chìa và lung lay.
2. Trường hợp răng bị móm
Tương tự như răng hô, móm là trường hợp khớp cắn ngược vào trong do tiến triển quá nhanh của xương hàm dưới.
Biểu hiện rõ nét nhất của trường hợp móm là xương hàm dưới đưa ra phía trước, răng hàm dưới phủ ngoài hoặc đối đầu với răng cửa răng hàm trên khi bạn ngậm miệng lại.

Răng móm khiến cho khuôn mặt mất hài hòa, kém thẩm mỹ, cảm giác cằm bị lệch.
Bên cạnh vấn đề thẩm mỹ (tạo nên khuôn mặt lưỡi cày), móm còn gây lệch khớp cắn, làm giảm sút khả năng nhai.
Bác sĩ Châu chia sẻ: "
Việc điều trị trường hợp móm là cần thiết. Bởi nếu cứ để tình trạng kéo dài, việc cắn lệch khớp lâu dài sẽ làm hệ nhai quá tải, dẫn đến các triệu chứng như mòn răng, viêm tuỷ, lung lay răng và nhức mỏi khớp thái dương hàm, đồng thời gây ra các bệnh răng miệng cũng như 1 số bệnh mãn tính khác như đau dạ dày, đau đầu...".
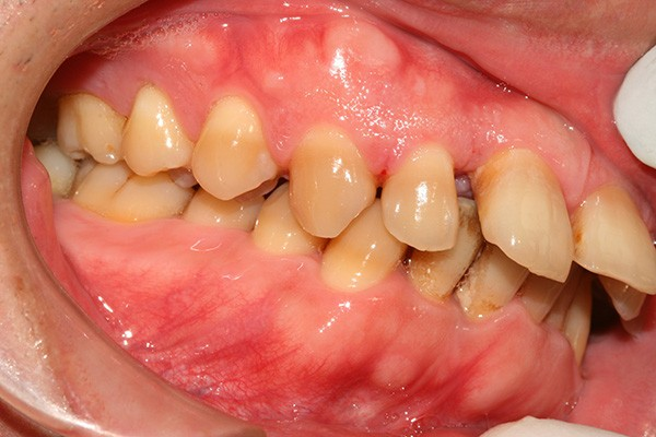
3. Răng khấp khểnh, mọc lệch
Răng khấp khểnh là trường hợp sai khớp cắn, rất dễ dàng nhận thấy khi thấy răng mọc lệch ra khỏi vị trí ban đầu trên cung hàm, răng có thể trồi lên phía trước hoặc cắn thụt vào.
Đôi khi, các răng mọc chồng chen chúc lên nhau do hàm nhỏ, không đủ chỗ cho tất cả các răng.
Ảnh hưởng của răng mọc sai lệch, khấp khểnh khá lớn. Cụ thể, răng mọc lộn xộn khiến 2 hàm khó chạm khít vào nhau, dẫn đến việc căng quai hàm, gây khó khăn trong hoạt động nhai, cắn.
Thậm chí, răng mọc chen chúc làm bạn dễ cắn vào tổ chức mô mềm ở bên kia hàm hoặc mặt lưỡi gây đau nhức khi nhai.
Cùng với đó, răng mọc lộn xộn sẽ tạo ra nhiều khe răng hơn, thức ăn cũng có cơ hội dắt vào trong, làm việc vệ sinh khó hơn.
Về lâu dài, mảng bảm và vi khuẩn dễ hình thành và tấn công, gây bệnh lý răng miệng như sâu răng, viêm tuỷ hay viêm nha chu mãn tính.
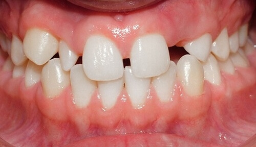
4. Răng bị thưa, thiếu răng bẩm sinh
Răng thưa là tình trạng có khe hở giữa các răng mà chủ yếu là răng cửa. Trong khi hiện tượng thiếu răng bẩm sinh (thường là răng số 2) đó là việc răng sữa đã rụng nhưng không có mầm răng vĩnh viễn trong xương hàm nên không có răng mọc lên thay thế.

Răng thưa là tình trạng khá phổ biến.
Trong trường hợp răng thưa, thiếu răng này sẽ tạo ra một lỗ hổng khá lớn giữa các răng, khiến tình trạng đen kẽ răng, dắt thức ăn hay cao răng cũng xuất hiện rõ rệt hơn.
Bên cạnh việc làm giảm sút, thậm chí mất tính thẩm mỹ chung của khuôn hàm, nụ cười kém tươi, các lỗ hổng giữa các răng cũng gây ảnh hưởng tới việc phát âm, đặc biệt là khi bạn nói ngoại ngữ.
Chính vì vậy, các chuyên gia nha khoa khuyên bạn rằng, với khi rơi vào các trường hợp như trên, bạn nên tìm đến gặp bác sĩ chuyên khoa để tìm cách khắc phục sớm nhất.