HOME-Au
HOME-Au
24h
24h
USA
USA
GOP
GOP
Phim Bộ
Phim Bộ
Videoauto
VIDEO-Au
Home Classic
Home Classic
Donation
Donation
News Book
News Book
News 50
News 50
worldautoscroll
WORLD-Au
Breaking
Breaking
 

Go Back   VietBF > Other News|Tin Khác > School | Kiến thức


Reply
 
Thread Tools
  #1  
Old  Default Người đàn ông U70 phải cắt bàng quang, suy thận vì một sai lầm nhiều người Việt mắc phải
Một sai lầm khiến bệnh nhân phải cắt bỏ bàng quang là đã từ chối phẫu thuật bướu bàng quang và chỉ dùng thuốc điều trị tại nhà.

Bị ứ thận, suy thận vì từ chối phẫu thuật bướu bàng quang
Cách đây hai năm, ông N.H.N (66 tuổi, Tây Ninh) bị tiểu ra máu, đặc biệt là khi vận động mạnh, làm việc nặng. Ông đã đi thăm khám tại một bệnh viện lớn ở TP. Hồ Chí Minh thì phát hiện có khối bướu bàng quang và được chỉ định phẫu thuật. Tuy nhiên, ông đã từ chối phẫu thuật vì sợ, và chỉ dùng thuốc điều trị tại nhà.

Hai năm trôi qua, bệnh tình của ông N. không thuyên giảm, khối u vẫn âm thầm phát triển bên trong cơ thể, từ từ chiếm lấy không gian vùng bụng và phá hủy các nội tạng lân cận. Cho đến hai ngày trước khi nhập viện, cơ thể phát tín hiệu báo động đỏ: ông T. tiểu ra máu – nước tiểu màu đỏ tươi, rồi rơi vào tình trạng bí tiểu hoàn toàn. Cảm giác căng tức, đau đớn dữ dội ở vùng bụng dưới buộc gia đình phải đưa ông đến Bệnh viện Đa khoa Xuyên Á cấp cứu.


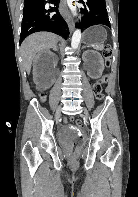
Hình ảnh CT phát hiện bướu bàng quang và thận ứ nước. Ảnh: BVCC

Tại đây, các bác sĩ khoa Ngoại Tiết Niệu đã thực hiện các cận lâm sàng chẩn đoán, ghi nhận người bệnh có bướu bàng quang to, khối u đã xâm lấn và chèn ép hai niệu quản gây thận ứ nước độ III, kèm suy thận. Ông N. được đặt ống sonde tiểu, hút ra một túi nước tiểu màu máu đỏ sậm.

Cuộc chiến giải cứu quả thận và loại bỏ khối u bàng quang
Để cứu hai quả thận đang “chết đuối”, các bác sĩ đã phải thực hiện một thủ thuật khẩn cấp là dẫn lưu thận ra hai bên. Đây là phương pháp tạo một đường thoát nước tiểu tạm thời trực tiếp từ thận ra ngoài cơ thể vào túi chứa. Thủ thuật thành công, hai quả thận của bệnh nhân được “giải cứu” kịp thời, tình trạng ứ nước giảm dần và chức năng thận dần hồi phục.

Sau khi chức năng thận của bệnh nhân ổn định, các bác sĩ tiến hành cuộc đại phẫu: cắt bàng quang tận gốc và tái tạo bàng quang bằng ruột non để loại bỏ khối u ác tính.


Hình ảnh bàng quang được tái tạo từ ruột non. Ảnh: BVCC

ThS. BS. Lâm Văn Chương – Khoa Ngoại Tiết Niệu cho biết: “Trong quá trình mổ, ê-kíp chúng tôi đã cắt bỏ bàng quang chứa khối u xâm lấn và tạo hình bàng quang bằng một đoạn ruột non theo phương pháp Studer. Đây là một trong những kỹ thuật phức tạp và tiên tiến nhất trong niệu khoa.

Với kỹ thuật này, các bác sĩ đã khéo léo sử dụng một phần ruột của chính bệnh nhân để tạo thành một bàng quang mới và nối nó trở lại vào đường dẫn tiểu tự nhiên giúp người bệnh có thể đi tiểu theo ngả tự nhiên mà không cần phải mang túi chứa nước tiểu bên hông vĩnh viễn.

Kết quả giải phẫu bệnh sau mổ cho thấy diện cắt không còn tế bào ung thư. Điều này có nghĩa là khối u đã được lấy trọn, giải quyết tận gốc nguyên nhân bệnh và mang lại cho ông N. cơ hội chữa khỏi bệnh.”


Hình ảnh khối bướu bàng quang sau khi cắt bỏ

Sau mổ, ông N. dần hồi phục sức khỏe, chức năng đi tiểu đã cải thiện và ông được xuất viện trong niềm hân hoan của gia đình.

Sai lầm dẫn đến phải cắt bàng quang
Dù ca phẫu thuật đã thành công nhưng việc đi tiểu của bệnh nhân N. đã có phần thay đổi vì ông phải bắt đầu một hành trình mới – hành trình “học lại” cách đi tiểu với chiếc bàng quang mới như: học cách rặn tiểu, học cách đi tiểu theo giờ.

Nếu chịu điều trị bệnh từ hai năm trước, có lẽ bệnh nhân N. chỉ cần một cuộc phẫu thuật nội soi ít xâm lấn, vẫn giữ lại được bàng quang cũng như chức năng thận hoàn toàn bình thường. Nhưng sự trì hoãn điều trị đã khiến bệnh âm thầm tiến triển, dẫn đến nguy kịch khiến ông phải nhập viện cấp cứu vì thận ứ nước, suy thận và phải mang trong mình chiếc bàng quang nhân tạo đến cuối đời.

Qua đó, bác sĩ Lâm Văn Chương khuyến cáo người dân khi phát hiện các dấu hiệu bệnh lý bàng quang như: tiểu ra máu, tiểu khó, đau hạ vị âm ỉ thì nên đi thăm khám ngay tại các cơ sở y tế uy tín và tuân thủ theo chỉ dẫn điều trị của bác sĩ. Bướu bàng quang nếu không xử lý sớm thì khối bướu ngày càng lớn dần xâm lấn ngoài bàng quang và di căn, lúc này việc điều trị không hề dễ dàng và khó đạt được hiệu quả như mong đợi.

VietBF@ sưu tập
VIETBF Diễn Đàn Hay Nhất Của Người Việt Nam

HOT NEWS 24h

HOT 3 Days

NEWS 3 Days

HOT 7 Days

NEWS 7 Days

HOME

Breaking News

VietOversea

World News

Business News

Car News

Computer News

Game News

USA News

Mobile News

Music News

Movies News

History

Thơ Ca

Sport News

Stranger Stories

Comedy Stories

Cooking Chat

Nice Pictures

Fashion

School

Travelling

Funny Videos

Canada Tin Hay

USA Tin Hay

VietBF Homepage Autoscroll

VietBF Video Autoscroll Portal

Home Classic

Home Classic Master Page


PinaColada
R11 Tuyệt Thế Thiên Hạ
Release: 08-21-2025
Reputation: 136917


Profile:
Join Date: Oct 2013
Posts: 117,825
Last Update: None Rating: None
Attached Thumbnails
Click image for larger version

Name:	181.jpg
Views:	0
Size:	49.0 KB
ID:	2563587   Click image for larger version

Name:	182.jpeg
Views:	0
Size:	315.0 KB
ID:	2563588   Click image for larger version

Name:	183.jpeg
Views:	0
Size:	273.3 KB
ID:	2563589  

PinaColada_is_offline
Thanks: 9
Thanked 7,837 Times in 6,967 Posts
Mentioned: 2 Post(s)
Tagged: 0 Thread(s)
Quoted: 23 Post(s)
Rep Power: 136
PinaColada Reputation Uy Tín Level 9PinaColada Reputation Uy Tín Level 9PinaColada Reputation Uy Tín Level 9PinaColada Reputation Uy Tín Level 9PinaColada Reputation Uy Tín Level 9
PinaColada Reputation Uy Tín Level 9PinaColada Reputation Uy Tín Level 9PinaColada Reputation Uy Tín Level 9PinaColada Reputation Uy Tín Level 9PinaColada Reputation Uy Tín Level 9PinaColada Reputation Uy Tín Level 9PinaColada Reputation Uy Tín Level 9PinaColada Reputation Uy Tín Level 9PinaColada Reputation Uy Tín Level 9PinaColada Reputation Uy Tín Level 9PinaColada Reputation Uy Tín Level 9PinaColada Reputation Uy Tín Level 9PinaColada Reputation Uy Tín Level 9PinaColada Reputation Uy Tín Level 9PinaColada Reputation Uy Tín Level 9PinaColada Reputation Uy Tín Level 9PinaColada Reputation Uy Tín Level 9PinaColada Reputation Uy Tín Level 9PinaColada Reputation Uy Tín Level 9PinaColada Reputation Uy Tín Level 9PinaColada Reputation Uy Tín Level 9
Reply

User Tag List



 
Lên đầu Xuống dưới Lên 3000px Xuống 3000px

VietBF Homepage Autoscroll

VietBF Video Autoscroll Portal

USA News Autoscroll Portall

VietBF WORLD Autoscroll Portal

Home Classic

Super Widescreen

Tin nóng nhất 24h qua

Tin nóng nhất 3 ngày qua

Tin nóng nhất 7 ngày qua

Tin nóng nhất 30 ngày qua

Albums

Total Videos Online
Lên đầu Xuống dưới Lên 3000px Xuống 3000px

Tranh luận sôi nổi nhất 7 ngày qua

Tranh luận sôi nổi nhất 14 ngày qua

Tranh luận sôi nổi nhất 30 ngày qua

10.000 Tin mới nhất

Tin tức Hoa Kỳ

Tin tức Công nghệ
Lên đầu Xuống dưới Lên 3000px Xuống 3000px

Super News

School Cooking Traveling Portal

Enter Portal

Series Shows and Movies Online

Home Classic Master Page

Donation Ủng hộ $3 cho VietBF
Lên đầu Xuống dưới Lên 3000px Xuống 3000px
Diễn Đàn Người Việt Hải Ngoại. Tự do ngôn luận, an toàn và uy tín. Vì một tương lai tươi đẹp cho các thế hệ Việt Nam hãy ghé thăm chúng tôi, hãy tâm sự với chúng tôi mỗi ngày, mỗi giờ và mỗi giây phút có thể. VietBF.Com Xin cám ơn các bạn, chúc tất cả các bạn vui vẻ và gặp nhiều may mắn.
Welcome to Vietnamese American Community, Vietnamese European, Canadian, Australian Forum, Vietnamese Overseas Forum. Freedom of speech, safety and prestige. For a beautiful future for Vietnamese generations, please visit us, talk to us every day, every hour and every moment possible. VietBF.Com Thank you all and good luck.

Lên đầu Xuống dưới Lên 3000px Xuống 3000px

All times are GMT. The time now is 18:20.
VietBF - Vietnamese Best Forum Copyright ©2005 - 2025
User Alert System provided by Advanced User Tagging (Pro) - vBulletin Mods & Addons Copyright © 2025 DragonByte Technologies Ltd.
Log Out Unregistered

Page generated in 0.11341 seconds with 15 queries