HOME-Au
HOME-Au
24h
24h
USA
USA
GOP
GOP
Phim Bộ
Phim Bộ
Videoauto
VIDEO-Au
Home Classic
Home Classic
Donation
Donation
News Book
News Book
News 50
News 50
worldautoscroll
WORLD-Au
Breaking
Breaking
 

Go Back   VietBF > Other News|Tin Khác > School | Kiến thức


Reply
 
Thread Tools
  #1  
Old  Default Bé gái 10 tuổi phát hiện mắc ung thư đường tiêu hóa từ dấu hiệu nhiều người Việt bỏ qua
Bệnh nhi bị ung thư đường tiêu hóa nhập viện với triệu chứng đau bụng âm ỉ khu trú quanh rốn, có xu hướng tăng dần, kèm theo đại tiện không được...

Bé gái đau bụng âm ỉ, đi khám phát hiện ung thư đường tiêu hóa
Mới đây, bé gái P.N.A.B (10 tuổi, trú tại Đắk Lắk) đến khám tại Bệnh viện Đại học Y dược Buôn Ma Thuột với triệu chứng đau bụng ngày thứ 3. Cơn đau âm ỉ khu trú quanh rốn, có xu hướng tăng dần, kèm theo đại tiện không được nên xin nhập viện.

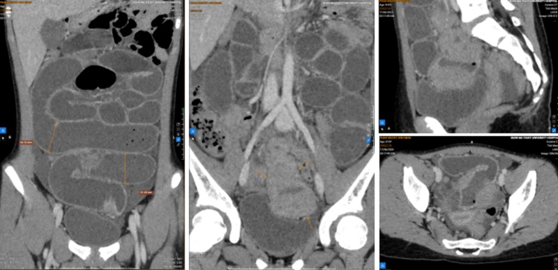
Qua hình ảnh chụp cắt lớp vi tính (CT) ổ bụng. Kết quả thấy hình ảnh rõ ràng hơn tắc ruột non do khối u hồi tràng, nghĩ nhiều đến u lympho, đồng thời phát hiện nhiều hạch ổ bụng và dịch tự do trong ổ bụng.


Hình ảnh trên CT ổ bụng cho thấy tắc ruột non do khối u hồi tràng. Ảnh: BVCC

Sau khi tham khảo các kết quả cận lâm sàng khác, các chuyên gia, bác sĩ Bệnh viện Đại học Y dược Buôn Ma Thuột đã hội chẩn trực tuyến từ xa với các chuyên gia, bác sĩ của Trung tâm Chẩn đoán hình ảnh, Hệ thống Y tế Medlatec, thống nhất đưa ra chẩn đoán tắc ruột non do u lympho hồi tràng. Bệnh nhân lập tức được xử trí phẫu thuật cấp cứu.

Kết quả phẫu thuật, đoạn hồi tràng có khối u cứng chắc, kích thước 4x5cm, dính các tổ chức mạc nối xung quanh. Bên cạnh đó, các bác sĩ còn thấy một nốt vùng phúc mạc tiểu khung, nghi di căn, kích thước 1x1cm. Khối u cùng nốt nghi ngờ di căn đã được cắt bỏ thành công, lấy mẫu làm giải phẫu bệnh.

Giải phẫu bệnh cho kết quả xác định, bệnh nhân mắc u lympho ruột non tuýp hỗn hợp (ác tính).

U lympho ruột non - Dạng ung thư đường tiêu hóa hiếm gặp
Theo BSCKI. BSNT Phạm Thị Yến – Chuyên khoa Chẩn đoán hình ảnh cho rằng, u lympho ruột non là u ác tính của ruột non, xuất phát từ mô lympho trong thành ruột non, thường gặp ở hồi tràng (là đoạn cuối của ruột non, nối với ruột già).



Mặc dù ruột non chiếm phần lớn chiều dài của toàn bộ đường tiêu hóa nhưng u ruột non lại là một dạng u hiếm gặp, với tỷ lệ chỉ chiếm 0.5% toàn bộ ung thư và 3-6% u đường tiêu hoá. Tần suất của u giảm dần từ tá tràng đến hồi tràng.

Triệu chứng của bệnh thường không đặc hiệu, dễ bị bỏ qua. Tuy nhiên, cần lưu ý một số triệu chứng sau:

Đau bụng âm ỉ hoặc từng cơn; rối loạn tiêu hóa (đầy bụng, chậm tiêu, buồn nôn); sụt cân, chán ăn, thiếu máu mạn; có thể bí trung và đại tiện nếu có biến chứng tắc ruột.

Ung thư đường tiêu hóa có thể điều trị hiệu quả nếu phát hiện sớm
BSCKI. BSNT Phạm Thị Yến chỉ ra rằng, u ruột non phát hiện muộn có thể gây biến chứng nguy hiểm. Tuy nhiên, u ruột non vẫn có thể điều trị hiệu quả nếu phát hiện sớm và điều trị kịp thời, đúng phác đồ. Do đó, việc lắng nghe cơ thể, nắm bắt những thay đổi dù là nhỏ nhất chính là “chìa khóa” quan trọng để phát hiện bệnh.

Bác sĩ Yến khuyến cáo, người dân khi thấy bất kỳ một triệu chứng bất thường nào của đường tiêu hóa, hãy đến ngay các cơ sở y tế để được thăm khám và điều trị kịp thời. Đồng thời, người dân nên tầm soát bệnh đường tiêu hóa 1-2 năm/lần để phát hiện bệnh ở giai đoạn sớm, khả năng điều trị khỏi cao.

VietBF@ sưu tập
VIETBF Diễn Đàn Hay Nhất Của Người Việt Nam

HOT NEWS 24h

HOT 3 Days

NEWS 3 Days

HOT 7 Days

NEWS 7 Days

HOME

Breaking News

VietOversea

World News

Business News

Car News

Computer News

Game News

USA News

Mobile News

Music News

Movies News

History

Thơ Ca

Sport News

Stranger Stories

Comedy Stories

Cooking Chat

Nice Pictures

Fashion

School

Travelling

Funny Videos

Canada Tin Hay

USA Tin Hay

10.000 Tin mới nhất

Tin nóng nhất 24h qua

Super News

Tin tức Hoa Kỳ


pizza
R11 Tuyệt Thế Thiên Hạ
Release: 07-12-2025
Reputation: 237098


Profile:
Join Date: Sep 2014
Posts: 104,926
Last Update: None Rating: None
Attached Thumbnails
Click image for larger version

Name:	172.jpg
Views:	0
Size:	105.0 KB
ID:	2548120   Click image for larger version

Name:	171.jpg
Views:	0
Size:	95.3 KB
ID:	2548121  
pizza is_online_now
Thanks: 7
Thanked 8,078 Times in 7,188 Posts
Mentioned: 6 Post(s)
Tagged: 0 Thread(s)
Quoted: 41 Post(s)
Rep Power: 127
pizza Reputation Uy Tín Level 10pizza Reputation Uy Tín Level 10pizza Reputation Uy Tín Level 10pizza Reputation Uy Tín Level 10pizza Reputation Uy Tín Level 10pizza Reputation Uy Tín Level 10pizza Reputation Uy Tín Level 10
pizza Reputation Uy Tín Level 10pizza Reputation Uy Tín Level 10pizza Reputation Uy Tín Level 10pizza Reputation Uy Tín Level 10pizza Reputation Uy Tín Level 10pizza Reputation Uy Tín Level 10pizza Reputation Uy Tín Level 10pizza Reputation Uy Tín Level 10pizza Reputation Uy Tín Level 10pizza Reputation Uy Tín Level 10pizza Reputation Uy Tín Level 10pizza Reputation Uy Tín Level 10pizza Reputation Uy Tín Level 10pizza Reputation Uy Tín Level 10pizza Reputation Uy Tín Level 10pizza Reputation Uy Tín Level 10pizza Reputation Uy Tín Level 10pizza Reputation Uy Tín Level 10pizza Reputation Uy Tín Level 10pizza Reputation Uy Tín Level 10pizza Reputation Uy Tín Level 10pizza Reputation Uy Tín Level 10
Reply

User Tag List



 
Lên đầu Xuống dưới Lên 3000px Xuống 3000px

VietBF Homepage Autoscroll

VietBF Video Autoscroll Portal

USA News Autoscroll Portall

VietBF WORLD Autoscroll Portal

Home Classic

Super Widescreen

Tin nóng nhất 24h qua

Tin nóng nhất 3 ngày qua

Tin nóng nhất 7 ngày qua

Tin nóng nhất 30 ngày qua

Albums

Total Videos Online
Lên đầu Xuống dưới Lên 3000px Xuống 3000px

Tranh luận sôi nổi nhất 7 ngày qua

Tranh luận sôi nổi nhất 14 ngày qua

Tranh luận sôi nổi nhất 30 ngày qua

10.000 Tin mới nhất

Tin tức Hoa Kỳ

Tin tức Công nghệ
Lên đầu Xuống dưới Lên 3000px Xuống 3000px

Super News

School Cooking Traveling Portal

Enter Portal

Series Shows and Movies Online

Home Classic Master Page

Donation Ủng hộ $3 cho VietBF
Lên đầu Xuống dưới Lên 3000px Xuống 3000px
Diễn Đàn Người Việt Hải Ngoại. Tự do ngôn luận, an toàn và uy tín. Vì một tương lai tươi đẹp cho các thế hệ Việt Nam hãy ghé thăm chúng tôi, hãy tâm sự với chúng tôi mỗi ngày, mỗi giờ và mỗi giây phút có thể. VietBF.Com Xin cám ơn các bạn, chúc tất cả các bạn vui vẻ và gặp nhiều may mắn.
Welcome to Vietnamese American Community, Vietnamese European, Canadian, Australian Forum, Vietnamese Overseas Forum. Freedom of speech, safety and prestige. For a beautiful future for Vietnamese generations, please visit us, talk to us every day, every hour and every moment possible. VietBF.Com Thank you all and good luck.

Lên đầu Xuống dưới Lên 3000px Xuống 3000px

All times are GMT. The time now is 22:24.
VietBF - Vietnamese Best Forum Copyright ©2005 - 2025
User Alert System provided by Advanced User Tagging (Pro) - vBulletin Mods & Addons Copyright © 2025 DragonByte Technologies Ltd.
Log Out Unregistered

Page generated in 0.12671 seconds with 15 queries