HOME-Au
HOME-Au
24h
24h
USA
USA
GOP
GOP
Phim Bộ
Phim Bộ
Videoauto
VIDEO-Au
Home Classic
Home Classic
Donation
Donation
News Book
News Book
News 50
News 50
worldautoscroll
WORLD-Au
Breaking
Breaking
 

Go Back   VietBF > World Box| Thế Giới > Vietnam News | Tin Việt Nam


Reply
 
Thread Tools
  #1  
Old  Default Rùng mình: Dị vật xuyên thẳng tim nam sinh 17 tuổi, nguy kịch tột độ!
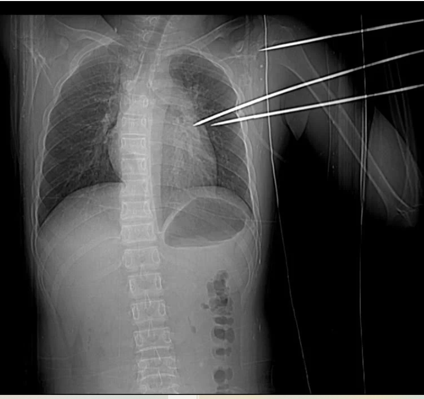
Bệnh nhân nhập viện với dị vật kim loại sắc nhọn, dạng đinh ba tự chế, đâm thẳng từ phía sau vai trái, xuyên sâu vào lồng ngực.

Ngày 28/4, Bệnh viện Việt Đức cho biết, các bác sĩ vừa tiếp nhận và cấp cứu thành công một trường hợp nam bệnh nhân, 17 tuổi, ở Hà Nội bị chấn thương tim nghiêm trọng do dị vật kim loại xuyên thấu.

Khi nhập viện, bệnh nhân trong tình trạng tỉnh táo, mạch và huyết áp tạm thời ổn định. Tuy nhiên, kết quả thăm khám nhanh chóng cho thấy tình hình nguy cấp: một dị vật kim loại sắc nhọn, dạng đinh ba tự chế, đâm thẳng từ phía sau vai trái, xuyên sâu vào lồng ngực.

Đặc biệt, dị vật này vẫn còn cắm trong cơ thể, đập theo từng nhịp tim của bệnh nhân, tiềm ẩn nguy cơ đe dọa tính mạng bất kỳ lúc nào.


Dị vật kim loại sắc nhọn, dạng đinh ba tự chế, đâm từ phía sau vai trái, xuyên sâu vào lồng ngực, gây tổn thương phổi và tim của bệnh nhân.
Hình ảnh chụp X-quang và CT cho thấy dị vật không chỉ xuyên qua mặt sau vai trái mà còn xuyên qua mô thùy trên phổi trái, đâm vào thành bên thất trái của tim, gây tràn máu màng tim – một tổn thương cực kỳ nghiêm trọng.

Bác sĩ Nguyễn Văn Đàn - Khoa Ngoại Tim mạch và Lồng ngực, Bệnh viện Việt Đức cho biết: Ngay sau khi xác định chẩn đoán vết thương tim do dị vật kim loại, bệnh nhân được đưa vào phòng mổ cấp cứu tối khẩn cấp. Trong quá trình phẫu thuật, các bác sĩ tiến hành mở ngực, ghi nhận khoang màng tim có khoảng 150 gam máu cục do dị vật gây vết thương ở thành bên thất trái.

Khi mở màng phổi kiểm tra, phát hiện dị vật cũng đã xuyên qua nhu mô phổi trái, gây tràn máu khoang màng phổi. Tổng lượng máu mất của bệnh nhân ước tính khoảng 500-600ml - một con số nguy hiểm cho một cơ thể trẻ tuổi.

Các bác sĩ đã tiến hành khâu cầm máu vết thương tim và vết thương phổi. Tuy nhiên, quá trình phẫu thuật gặp nhiều khó khăn do vết thương nằm sâu, thấp trong thành bên tim trái, buộc phải thay đổi vị trí tim trong lúc phẫu thuật.

Điều này khiến huyết áp và mạch của bệnh nhân biến động liên tục. Ca phẫu thuật yêu cầu sự phối hợp cực kỳ nhịp nhàng, chính xác và cận trọng từ toàn bộ ê-kíp.

Nhờ nỗ lực và trình độ chuyên môn cao, sau ca mổ, hiện tại, bệnh nhân đã tỉnh táo, được rút nội khí quản và chuyển về khoa Ngoại Tim mạch và lồng ngực để tiếp tục theo dõi.

Bệnh nhân duy trì huyết áp ổn định, không cần dùng thuốc trợ tim hay vận mạch – những dấu hiệu khả quan đầu tiên sau một trận chiến sinh tử. Bệnh nhân tiếp tục được chăm sóc tích cực, điều trị kháng sinh dự phòng nhiễm trùng và hướng dẫn tập vật lý trị liệu sớm để phục hồi chức năng hô hấp.

Theo bác sĩ Đàn, chấn thương tim do vật nhọn tại Việt Nam không phải hiếm, tuy nhiên trường hợp bị dị vật tự chế xuyên qua vai, phổi và tim như bệnh nhân này rất nguy hiểm. Việc phát hiện và xử lý kịp thời đã góp phần cứu sống bệnh nhân trong gang tấc.

VietBF@ sưu tập
VIETBF Diễn Đàn Hay Nhất Của Người Việt Nam

HOT NEWS 24h

HOT 3 Days

NEWS 3 Days

HOT 7 Days

NEWS 7 Days

HOME

Breaking News

VietOversea

World News

Business News

Car News

Computer News

Game News

USA News

Mobile News

Music News

Movies News

History

Thơ Ca

Sport News

Stranger Stories

Comedy Stories

Cooking Chat

Nice Pictures

Fashion

School

Travelling

Funny Videos

Canada Tin Hay

USA Tin Hay

VietBF Homepage Autoscroll

VietBF Video Autoscroll Portal

Home Classic

Home Classic Master Page


pizza
R11 Tuyệt Thế Thiên Hạ
Release: 04-29-2025
Reputation: 237136


Profile:
Join Date: Sep 2014
Posts: 106,186
Last Update: None Rating: None
Attached Thumbnails
Click image for larger version

Name:	443.jpg
Views:	0
Size:	98.4 KB
ID:	2519357   Click image for larger version

Name:	442.PNG
Views:	0
Size:	438.6 KB
ID:	2519358  
pizza_is_offline
Thanks: 7
Thanked 8,097 Times in 7,207 Posts
Mentioned: 6 Post(s)
Tagged: 0 Thread(s)
Quoted: 41 Post(s)
Rep Power: 129
pizza Reputation Uy Tín Level 10pizza Reputation Uy Tín Level 10pizza Reputation Uy Tín Level 10pizza Reputation Uy Tín Level 10pizza Reputation Uy Tín Level 10pizza Reputation Uy Tín Level 10pizza Reputation Uy Tín Level 10
pizza Reputation Uy Tín Level 10pizza Reputation Uy Tín Level 10pizza Reputation Uy Tín Level 10pizza Reputation Uy Tín Level 10pizza Reputation Uy Tín Level 10pizza Reputation Uy Tín Level 10pizza Reputation Uy Tín Level 10pizza Reputation Uy Tín Level 10pizza Reputation Uy Tín Level 10pizza Reputation Uy Tín Level 10pizza Reputation Uy Tín Level 10pizza Reputation Uy Tín Level 10pizza Reputation Uy Tín Level 10pizza Reputation Uy Tín Level 10pizza Reputation Uy Tín Level 10pizza Reputation Uy Tín Level 10pizza Reputation Uy Tín Level 10pizza Reputation Uy Tín Level 10pizza Reputation Uy Tín Level 10pizza Reputation Uy Tín Level 10pizza Reputation Uy Tín Level 10pizza Reputation Uy Tín Level 10
Reply

User Tag List

Thread Tools


 
Lên đầu Xuống dưới Lên 3000px Xuống 3000px

iPad Videos Portal Autoscroll

VietBF Music Portal Autoscroll

iPad News Portal Autoscroll

VietBF Homepage Autoscroll

VietBF Video Autoscroll Portal

USA News Autoscroll Portall

VietBF WORLD Autoscroll Portal

Home Classic

Super Widescreen

iPad World Portal Autoscroll

iPad USA Portal Autoscroll

Phim Bộ Online

Tin nóng nhất 24h qua

Tin nóng nhất 3 ngày qua

Tin nóng nhất 7 ngày qua

Tin nóng nhất 30 ngày qua

Albums

Total Videos Online
Lên đầu Xuống dưới Lên 3000px Xuống 3000px

Tranh luận sôi nổi nhất 7 ngày qua

Tranh luận sôi nổi nhất 14 ngày qua

Tranh luận sôi nổi nhất 30 ngày qua

10.000 Tin mới nhất

Tin tức Hoa Kỳ

Tin tức Công nghệ
Lên đầu Xuống dưới Lên 3000px Xuống 3000px

Super News

School Cooking Traveling Portal

Enter Portal

Series Shows and Movies Online

Home Classic Master Page

Donation Ủng hộ $3 cho VietBF
Lên đầu Xuống dưới Lên 3000px Xuống 3000px
Diễn Đàn Người Việt Hải Ngoại. Tự do ngôn luận, an toàn và uy tín. Vì một tương lai tươi đẹp cho các thế hệ Việt Nam hãy ghé thăm chúng tôi, hãy tâm sự với chúng tôi mỗi ngày, mỗi giờ và mỗi giây phút có thể. VietBF.Com Xin cám ơn các bạn, chúc tất cả các bạn vui vẻ và gặp nhiều may mắn.
Welcome to Vietnamese American Community, Vietnamese European, Canadian, Australian Forum, Vietnamese Overseas Forum. Freedom of speech, safety and prestige. For a beautiful future for Vietnamese generations, please visit us, talk to us every day, every hour and every moment possible. VietBF.Com Thank you all and good luck.

Lên đầu Xuống dưới Lên 3000px Xuống 3000px

All times are GMT. The time now is 04:27.
VietBF - Vietnamese Best Forum Copyright ©2005 - 2025
User Alert System provided by Advanced User Tagging (Pro) - vBulletin Mods & Addons Copyright © 2025 DragonByte Technologies Ltd.
Log Out Unregistered

Page generated in 0.11117 seconds with 15 queries