HOME-Au
HOME-Au
24h
24h
USA
USA
GOP
GOP
Phim Bộ
Phim Bộ
Videoauto
VIDEO-Au
Home Classic
Home Classic
Donation
Donation
News Book
News Book
News 50
News 50
worldautoscroll
WORLD-Au
Breaking
Breaking
 

Go Back   VietBF > World Box| Thế Giới > Vietnam News | Tin Việt Nam


Reply
 
Thread Tools
  #1  
Old  Default Đau đầu kéo dài không đi khám, nào ngờ mắc bệnh hiểm nghèo
Đau đầu nhiều năm không đi khám, bệnh nhân nhập viện khi đau đầu, buồn nôn tăng lên nhanh chóng,, rơi vào lơ mơ, không còn tỉnh táo.

Tin từ Bệnh viện đa khoa tỉnh Quảng Ninh cho biết, bệnh viện vừa tiếp nhận một trường hợp hôn mê sâu nguy kịch do u não chảy máu.

Với tinh thần khẩn trương, chuyên nghiệp, các bác sĩ chuyên ngành ngoại thần kinh đã thực hiện mổ cấp cứu vi phẫu lấy khối u não kích thước lớn, kiểm soát chảy máu, cứu sống bệnh nhân trong gang tấc.

Bệnh nhân là H.K.L (54 tuổi) trú tại huyện Tiên Yên, cấp cứu tại Bệnh viện Đa khoa tỉnh Quảng Ninh trong tình trạng hôn mê sâu, đồng tử giãn, được sơ cứu đặt nội khí quản tại tuyến dưới. Theo người nhà cho biết, bệnh nhân đã có tiền sử đau đầu kéo dài nhiều năm nhưng không đi khám.

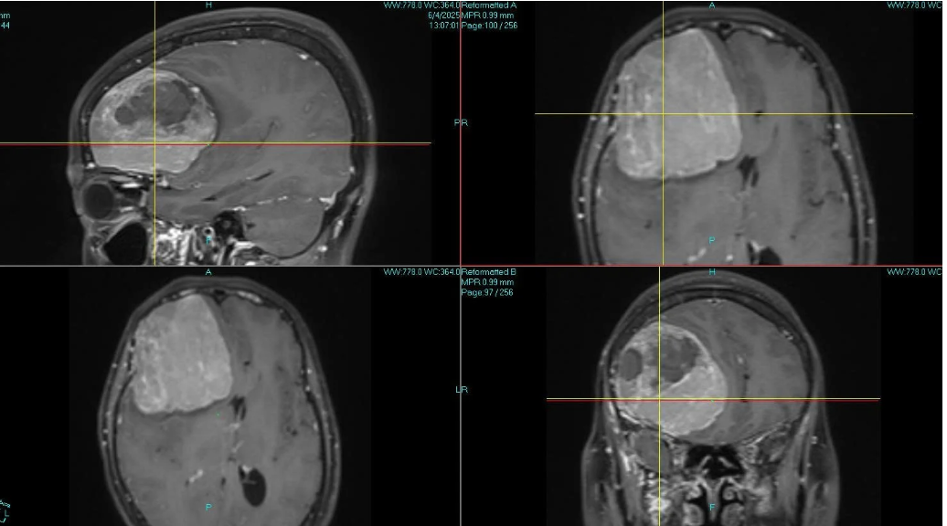
Trước khi nhập viện, các triệu chứng đau đầu, buồn nôn tăng lên nhanh chóng, đến sáng hôm sau bệnh nhân đã lơ mơ, không còn tỉnh táo. Ngay khi nhập viện, các bác sĩ tiến hành chụp cắt lớp vi tính sọ não và phát hiện người bệnh có khối u não kích thước lớn thùy trán phải đang chảy máu.


Hình ảnh khối u não kích thước lớn chảy máu vùng trán phải của bệnh nhân L. Ảnh BVCC
Trước tình trạng nguy cấp, các bác sĩ đã tiến hành hội chẩn liên khoa Ngoại thần kinh, Gây mê hồi sức, Chẩn đoán hình ảnh để đánh giá toàn diện tổn thương và thống nhất phương án xử trí tối ưu.

Nhận định đây là ca bệnh nặng, khối u lớn đang xuất huyết gây áp lực nội sọ khiến phù não diện rộng, nếu không can thiệp ngay sẽ đe dọa tính mạng, vì vậy các bác sĩ quyết định mổ cấp cứu, thực hiện vi phẫu lấy u và kiểm soát điểm máu chảy, mục tiêu bảo tồn tối đa các vùng não lành.

Ca mổ cấp cứu do bác sĩ Nguyễn Tiến Dũng, Phó Giám đốc Bệnh viện cùng các bác sĩ khoa Phẫu thuật Thần kinh – Cột sống, Gây mê hồi sức phối hợp thực hiện. Quá trình phẫu thuật được triển khai hết sức thận trọng.

Dự kiến cuộc mổ kéo dài, bệnh nhân được đặt tư thế mổ phù hợp dưới sự theo dõi sát sao của đội ngũ gây mê hồi sức để đảm bảo thông khí và huyết động ổn định trong suốt thời gian ca mổ diễn ra.

Với sự hỗ trợ của hệ thống kính vi phẫu và thiết bị định vị thần kinh Navigation hiện đại, phẫu thuật viên đã tiếp cận tổn thương, loại bỏ máu tụ và bóc tách khối u não kích thước lớn ra ngoài an toàn.

Sau hơn 6 giờ căng thẳng, ca phẫu thuật diễn ra thuận lợi, bệnh nhân được chuyển hồi sức theo dõi tích cực và hiện đã tỉnh, phản xạ tốt.

Bác sĩ Nguyễn Tiến Dũng, Phó Giám đốc Bệnh viện đa khoa tỉnh Quảng Ninh, cho biết: “Bệnh nhân L. cấp cứu trong tình trạng nguy kịch, u não phát triển kích thước lớn và đang chảy máu gây phù não diện rộng. Nếu không được can thiệp phẫu thuật kịp thời, nguy cơ tử vong rất cao.

Chúng tôi đã tiến hành vi phẫu u não đường giữa, sử dụng kính vi phẫu kết hợp hệ thống định vị Navigation để sử dụng kính vi phẫu quan sát rõ hơn vị trí khối u, các điểm tiếp giáp xung quanh để bảo tồn các vùng chức năng của vỏ não.

Việc mổ cấp cứu đòi hỏi kíp phẫu thuật phải tính toán chính xác từng thao tác để kiểm soát chảy máu, bảo vệ các cấu trúc thần kinh quan trọng. Sự phối hợp nhịp nhàng giữa các chuyên khoa và hệ thống trang thiết bị hiện đại đã giúp chúng tôi lấy được toàn bộ khối u não lớn đang chảy máu ra ngoài an toàn”.

VietBF@ sưu tập
VIETBF Diễn Đàn Hay Nhất Của Người Việt Nam

HOT NEWS 24h

HOT 3 Days

NEWS 3 Days

HOT 7 Days

NEWS 7 Days

HOME

Breaking News

VietOversea

World News

Business News

Car News

Computer News

Game News

USA News

Mobile News

Music News

Movies News

History

Thơ Ca

Sport News

Stranger Stories

Comedy Stories

Cooking Chat

Nice Pictures

Fashion

School

Travelling

Funny Videos

Canada Tin Hay

USA Tin Hay

VietBF Homepage Autoscroll

VietBF Video Autoscroll Portal

Home Classic

Home Classic Master Page


pizza
R11 Tuyệt Thế Thiên Hạ
Release: 06-07-2025
Reputation: 237136


Profile:
Join Date: Sep 2014
Posts: 106,186
Last Update: None Rating: None
Attached Thumbnails
Click image for larger version

Name:	461.PNG
Views:	0
Size:	511.7 KB
ID:	2534378  
pizza_is_offline
Thanks: 7
Thanked 8,097 Times in 7,207 Posts
Mentioned: 6 Post(s)
Tagged: 0 Thread(s)
Quoted: 41 Post(s)
Rep Power: 129
pizza Reputation Uy Tín Level 10pizza Reputation Uy Tín Level 10pizza Reputation Uy Tín Level 10pizza Reputation Uy Tín Level 10pizza Reputation Uy Tín Level 10pizza Reputation Uy Tín Level 10pizza Reputation Uy Tín Level 10
pizza Reputation Uy Tín Level 10pizza Reputation Uy Tín Level 10pizza Reputation Uy Tín Level 10pizza Reputation Uy Tín Level 10pizza Reputation Uy Tín Level 10pizza Reputation Uy Tín Level 10pizza Reputation Uy Tín Level 10pizza Reputation Uy Tín Level 10pizza Reputation Uy Tín Level 10pizza Reputation Uy Tín Level 10pizza Reputation Uy Tín Level 10pizza Reputation Uy Tín Level 10pizza Reputation Uy Tín Level 10pizza Reputation Uy Tín Level 10pizza Reputation Uy Tín Level 10pizza Reputation Uy Tín Level 10pizza Reputation Uy Tín Level 10pizza Reputation Uy Tín Level 10pizza Reputation Uy Tín Level 10pizza Reputation Uy Tín Level 10pizza Reputation Uy Tín Level 10pizza Reputation Uy Tín Level 10
Reply

User Tag List



 
Lên đầu Xuống dưới Lên 3000px Xuống 3000px

iPad Videos Portal Autoscroll

VietBF Music Portal Autoscroll

iPad News Portal Autoscroll

VietBF Homepage Autoscroll

VietBF Video Autoscroll Portal

USA News Autoscroll Portall

VietBF WORLD Autoscroll Portal

Home Classic

Super Widescreen

iPad World Portal Autoscroll

iPad USA Portal Autoscroll

Phim Bộ Online

Tin nóng nhất 24h qua

Tin nóng nhất 3 ngày qua

Tin nóng nhất 7 ngày qua

Tin nóng nhất 30 ngày qua

Albums

Total Videos Online
Lên đầu Xuống dưới Lên 3000px Xuống 3000px

Tranh luận sôi nổi nhất 7 ngày qua

Tranh luận sôi nổi nhất 14 ngày qua

Tranh luận sôi nổi nhất 30 ngày qua

10.000 Tin mới nhất

Tin tức Hoa Kỳ

Tin tức Công nghệ
Lên đầu Xuống dưới Lên 3000px Xuống 3000px

Super News

School Cooking Traveling Portal

Enter Portal

Series Shows and Movies Online

Home Classic Master Page

Donation Ủng hộ $3 cho VietBF
Lên đầu Xuống dưới Lên 3000px Xuống 3000px
Diễn Đàn Người Việt Hải Ngoại. Tự do ngôn luận, an toàn và uy tín. Vì một tương lai tươi đẹp cho các thế hệ Việt Nam hãy ghé thăm chúng tôi, hãy tâm sự với chúng tôi mỗi ngày, mỗi giờ và mỗi giây phút có thể. VietBF.Com Xin cám ơn các bạn, chúc tất cả các bạn vui vẻ và gặp nhiều may mắn.
Welcome to Vietnamese American Community, Vietnamese European, Canadian, Australian Forum, Vietnamese Overseas Forum. Freedom of speech, safety and prestige. For a beautiful future for Vietnamese generations, please visit us, talk to us every day, every hour and every moment possible. VietBF.Com Thank you all and good luck.

Lên đầu Xuống dưới Lên 3000px Xuống 3000px

All times are GMT. The time now is 06:49.
VietBF - Vietnamese Best Forum Copyright ©2005 - 2025
User Alert System provided by Advanced User Tagging (Pro) - vBulletin Mods & Addons Copyright © 2025 DragonByte Technologies Ltd.
Log Out Unregistered

Page generated in 0.10340 seconds with 15 queries