HOME-Au
HOME-Au
24h
24h
USA
USA
GOP
GOP
Phim Bộ
Phim Bộ
Videoauto
VIDEO-Au
Home Classic
Home Classic
Donation
Donation
News Book
News Book
News 50
News 50
worldautoscroll
WORLD-Au
Breaking
Breaking
 

Go Back   VietBF > Other News|Tin Khác > School | Kiến thức


Reply
 
Thread Tools
  #1  
Old  Default Khám tiêu chảy, người phụ nữ ngỡ ngàng phát hiện túi mật đầy sỏi, khối u 6cm trong bụng

Đôi khi, những khó chịu nhỏ nhặt nhưng dai dẳng lại đang che giấu nhiều căn bệnh quái ác, nguy hiểm tính mạng. Tiếc là rất nhiều người chủ quan!
Xổ ra cả đống sỏi gan, sỏi mật nhờ uống dầu ôliu, dầu dừa: Sự thật kinh hoàng phía sau mới là điều bạn cần biết về trào lưu detox đang "làm mưa gió" trên MXH
2000 viên sỏi mật trong cơ thể người phụ nữ vì thói quen buổi sáng người Việt mắc không ít
3 kiểu ăn dễ hình thành sỏi mật: Người Việt mắc cả 3, nên biết sớm để thay đổi
Một người phụ nữ họ Lin (Đài Loan, Trung Quốc) đã phải hối hận vì sự chủ quan của mình khi biết trong ổ bụng có khối u 6cm và túi mật toàn là sỏi. Bà Lin ngoài 60 tuổi, bị đau bụng âm ỉ kết hợp với chóng mặt, rối loạn tiêu hóa dai dẳng đã lâu. Tuy nhiên, chỉ cho rằng đó là do ăn uống kém, lại đã có tuổi, cũng không phải vấn đề sức khỏe gì nghiêm trọng nên không muốn tốn tiền thăm khám.

Cho đến gần đây, tần suất tiêu chảy của bà Lin tăng lên rất nhiều, còn có máu trong phân nhưng uống thuốc mãi không khỏi. Vì cuộc sống hàng ngày bị ảnh hưởng, bà tới Khoa Tiêu hóa thuộc viện Đa khoa Cathay (Đài Loan, Trung Quốc) để kiểm tra.


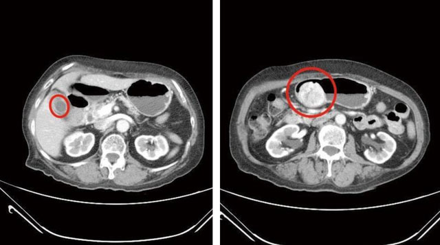
Khám tiêu chảy, người phụ nữ ngỡ ngàng phát hiện túi mật đầy sỏi, khối u 6cm trong bụng-1Hình ảnh CT nhân vật bị sỏi và viêm túi mật (trái), đồng thời có khối u mô đệm đường tiêu hóa 6cm trong dạ dày (phải)

Sau khi nội soi tiêu hóa trên và chụp CT, các bác sĩ phát hiện cùng lúc bà gặp phải 2 vấn đề nghiêm trọng trong ổ bụng. Một là sỏi chất đầy trong túi mật và hai là khối u dạ dày loại mô đệm đường tiêu hóa 6cm. Điều đáng nói là khối u này không phải mới xuất hiện mà đã được nghi ngờ từ 3 năm trước nhưng bà Lin không chịu thăm khám chuyên sâu, cũng cho rằng không có triệu chứng khó chịu rõ ràng.

Ngay sau đó, bà được phẫu thuật loại bỏ sỏi túi mật và cắt bỏ khối u. Hiện tại đang được chăm sóc hậu phẫu và chuẩn bị điều trị khối u bổ sung theo phác đồ từ bác sĩ.

Những dấu hiệu dễ bỏ qua của sỏi mật, khối u mô đệm đường tiêu hóa
Thông qua trường hợp của bà Lin Tiến sĩ Tsai Hsin - bác sĩ phẫu thuật tổng quát của Bệnh viện Đa khoa Cathay nhắc nhở: “Sỏi túi mật và khối u mô đệm đường tiêu hóa đều là những bệnh lý phát triển âm thầm, không có dấu hiệu rõ ràng ở giai đoạn đầu. Bên cạnh việc thăm khám sức khỏe định kỳ, đừng xem nhẹ những thay đổi dù nhỏ nhưng lặp lại nhiều lần. Tốt nhất là nên đi thăm khám ngay vì đó có thể là dấu hiệu của nhiều bệnh lý nguy hiểm”.

Cũng theo Tiến sĩ Tsai, sỏi túi mật là sự tích tụ của cholesterol, muối mật hoặc bilirubin trong túi mật, tạo thành các viên sỏi có kích thước khác nhau. Chúng có thể gây đau, viêm nhiễm hoặc tắc nghẽn đường mật nếu không được phát hiện sớm. Điều đáng lo là sỏi túi mật có thể phát triển âm thầm trong nhiều năm mà không gây triệu chứng. Tuy nhiên, khi sỏi mật quá nhiều hoặc chặn dòng chảy của mật, người bệnh có thể gặp các dấu hiệu sau:

- Đau bụng trên, đặc biệt sau khi ăn đồ dầu mỡ

- Buồn nôn, nôn mửa kéo dài

- Đầy bụng, khó tiêu

- Sốt, ớn lạnh do viêm túi mật

- Vàng da, vàng mắt nếu sỏi gây tắc ống mật

- Đau lan ra lưng hoặc vai phải

Khám tiêu chảy, người phụ nữ ngỡ ngàng phát hiện túi mật đầy sỏi, khối u 6cm trong bụng-2Khi sỏi túi mật quá nhiều, buộc phải phẫu thuật để lấy ra (Ảnh minh họa)

Còn với u mô đệm đường tiêu hóa, Tiến sĩ Tsai giải thích: “Khối u mô đệm đường tiêu hóa (GIST) là một loại ung thư hiếm gặp, phát triển từ tế bào kẽ trong lớp cơ của đường tiêu hóa, thường xuất hiện ở dạ dày hoặc ruột non. GIST có thể lành tính hoặc ác tính, nhưng nếu không được điều trị kịp thời, khối u có thể phát triển lớn, gây xuất huyết, tắc nghẽn hoặc di căn. Đáng lo là loại u này thường chỉ có triệu chứng rõ rệt khi kích thước đã lớn hơn 2cm”.

Tiến sĩ Tsai cũng chỉ ra 6 dấu hiệu quan trọng giúp nhận biết sớm khối u mô đệm đường tiêu hóa - loại u hiếm gặp nhưng nguy hiểm này:

- Đau tức bụng, cảm giác chướng bụng kéo dài

- Buồn nôn, nôn không rõ nguyên nhân

- Đi ngoài phân có máu hoặc phân đen

- Sụt cân bất thường

- Cảm giác no nhanh dù ăn rất ít

- Thay đổi thói quen đại tiện, rối loạn tiêu hóa dai dẳng.

VietBF@sưu tập
Dịch trang: EnglishEnglish DeutschDeutsch FrançaisFrançais EspañolEspañol ItalianoItaliano PortuguêsPortuguês
NorskNorsk NederlandsNederlands DanskDansk SuomiSuomi PolskiPolski ČeštinaČeština РусскийРусский
日本語日本語 한국어한국어 中文(简体)中文(简体) 中文(繁體)中文(繁體) MagyarMagyar TürkçeTürkçe
العربيةالعربية ไทยไทย LatinaLatina हिन्दीहिन्दी Bahasa IndonesiaBahasa Indonesia Bahasa MelayuBahasa Melayu
VIETBF Diễn Đàn Hay Nhất Của Người Việt Nam

HOT NEWS 24h

HOT 3 Days

NEWS 3 Days

HOT 7 Days

NEWS 7 Days

HOME

Breaking News

VietOversea

World News

Business News

Car News

Computer News

Game News

USA News

Mobile News

Music News

Movies News

History

Thơ Ca

Sport News

Stranger Stories

Comedy Stories

Cooking Chat

Nice Pictures

Fashion

School

Travelling

Funny Videos

Canada Tin Hay

USA Tin Hay

VietBF Homepage Autoscroll

VietBF Video Autoscroll Portal

Home Classic

Home Classic Master Page

VietBF iPad Music Portal

Tin nóng nhất 50h qua

Phim Bộ Online

Phim Bộ
Dịch trang: English | Deutsch |
Français | Español | Italiano |
Português | Norsk | Nederlands |
Dansk | Suomi | Polski |
Čeština | Русский | 日本語 |
한국어 | 中文(简体) | 中文(繁體) |
Magyar | Türkçe | العربية |



goodidea
R10 Vô Địch Thiên Hạ
Release: 02-20-2025
Reputation: 208001


Profile:
Join Date: Mar 2020
Posts: 58,773
Last Update: None Rating: None
Attached Thumbnails
Click image for larger version

Name:	25.jpg
Views:	0
Size:	39.9 KB
ID:	2492734  
goodidea_is_offline
Thanks: 70
Thanked 3,512 Times in 3,041 Posts
Mentioned: 0 Post(s)
Tagged: 0 Thread(s)
Quoted: 34 Post(s)
Rep Power: 74
goodidea Reputation Uy Tín Level 10goodidea Reputation Uy Tín Level 10goodidea Reputation Uy Tín Level 10goodidea Reputation Uy Tín Level 10
goodidea Reputation Uy Tín Level 10goodidea Reputation Uy Tín Level 10goodidea Reputation Uy Tín Level 10goodidea Reputation Uy Tín Level 10goodidea Reputation Uy Tín Level 10goodidea Reputation Uy Tín Level 10goodidea Reputation Uy Tín Level 10goodidea Reputation Uy Tín Level 10goodidea Reputation Uy Tín Level 10goodidea Reputation Uy Tín Level 10goodidea Reputation Uy Tín Level 10goodidea Reputation Uy Tín Level 10goodidea Reputation Uy Tín Level 10goodidea Reputation Uy Tín Level 10goodidea Reputation Uy Tín Level 10goodidea Reputation Uy Tín Level 10goodidea Reputation Uy Tín Level 10goodidea Reputation Uy Tín Level 10goodidea Reputation Uy Tín Level 10goodidea Reputation Uy Tín Level 10goodidea Reputation Uy Tín Level 10goodidea Reputation Uy Tín Level 10goodidea Reputation Uy Tín Level 10
Dịch trang: EnglishEnglish DeutschDeutsch FrançaisFrançais EspañolEspañol ItalianoItaliano PortuguêsPortuguês
NorskNorsk NederlandsNederlands DanskDansk SuomiSuomi PolskiPolski ČeštinaČeština РусскийРусский
日本語日本語 한국어한국어 中文(简体)中文(简体) 中文(繁體)中文(繁體) MagyarMagyar TürkçeTürkçe
العربيةالعربية ไทยไทย LatinaLatina हिन्दीहिन्दी Bahasa IndonesiaBahasa Indonesia Bahasa MelayuBahasa Melayu
Reply

User Tag List


“Khui lại” bô xít – đất hiếm sau Trung ương 15: chống sai phạm hay tái vẽ bản đồ quyền lực? 25 phong bì trong phòng làm việc: cú sốc “tiền mặt” và câu hỏi về chống tham nhũng kiểu gì? Khi đồng rial rơi tự do và dân bắt đầu “không sợ”: Iran bước vào chương bất ổn mới
Bị cáo vụ bom ống trước ngày 6/1 khai: “ai đó phải lên tiếng” vì tin bầu cử 2020 bị đánh cắp “Avatar: Fire and Ash” bùng nổ cuối năm: 760 triệu USD toàn cầu, kéo rạp chiếu sống lại mùa Giáng sinh Starbucks rút khỏi “cuộc chiến phủ kín thành phố”: đóng hàng trăm điểm ở New York, LA, Chicago
2025: Năm “phá sản hàng loạt” của bán lẻ Mỹ – Forever 21, Party City, Rite Aid lần lượt gãy gánh Cú đột nhập “đêm Giáng sinh” ở Đức: 3.200 tủ khóa bị phá, ước tính 30 triệu euro bốc hơi Vòng quay ngoại giao 2026: Kyiv bị thúc “chốt kèo” khi đạn vẫn bay
Đi Tesla “chôm” bưu kiện ở Irvine Kinh tế Nga gió ngược nhưng Putin chưa xuống thang California trước nguy cơ khát xăng
Ông Trump lạc đề Trước Trung ương 15 và Đại hội XIV Bóng đá lên hương, bụng dân vẫn lép
Người hùng trong vụ xả súng khủng bố ở Úc Biển Charlie Kirk Way dưới All American Way CPI rớt mạnh xuống 2,7%
Thời mafia lộng hành: Donald Trump và Vladimir Putin biến nền ngoại giao cổ điển trở thành chuyện làm ăn Sáu câu hỏi của thế hệ sau chiến tranh: Giải phóng ai, giải phóng khỏi điều gì? Báo động ngành nails: 5 người bị bắt, 2 tiệm niêm phong, chủ đối mặt án tù vì thuê người không giấy tờ
VinFast ở North Carolina đứng trước nguy cơ bị “thu hồi đất vàng”, Vingroup quay xe sang Ấn Độ với canh bạc 3 tỷ USD Bệnh khoe của và cơn nghiện “chứng tỏ mình” của người Việt thời mạng xã hội Khi Nhật Bản đứng trước cám dỗ hạt nhân: Bao lâu nữa Tokyo phải tự võ trang?
Sài Gòn “chập mạch” dễ thương: thành phố không thiếu tiền, chỉ dư tình người Zelensky tuyên bố sẵn sàng bầu cử giữa làn đạn, bác cáo buộc “trốn phiếu” của Trump Lời hứa muộn màng của người lính cũ
Khi doanh nghiệp Mỹ nổi loạn vì thuế quan Trump muốn học mô hình hưu trí “super” của Úc: Bắt buộc tiết kiệm cho tuổi già Từ cô thợ nails tị nạn đến chủ nhân căn nhà đắt nhất Atlanta
Thuế mới, phố vắng, chợ buồn: Nếu tiểu thương gục ngã, ai bán hàng cho 100 triệu dân? K+ khép lại sau 16 năm: Đế chế bóng đá trả tiền tàn cuộc chơi Người Vợ Lực Lượng Đặc Biệt – Hồi ức về Thiếu Tá Hồ Đăng Nhựt trong mùa Quốc Nạn
Viên tướng nhỏ thó gánh oan khiên Mậu Thân John Riordan – người Mỹ quay lại Sài Gòn để cứu 105 người Việt Evergrande: Từ đế chế số 1 đến quả bom nợ – Bài học nào cho Việt Nam?
Campuchia: Từ Thiên Đường Angkor Đến “Công Xưởng Tội Phạm” Của Mafia Trung Quốc Cuộc Xâm Lược Cuối Cùng Của Trung Quốc Và Trang Sử Bị Xóa Khỏi Ký Ức Việt Nam Vì Sao Số Nhà Ở Mỹ “Nhảy Cóc”? Giải Mã Từ House Number Đến ZIP Code
David Thái, Highlands Coffee Và Những Hành Trình “Đi Rồi Trở Về” Của Thuyền Nhân Việt Vì Sao Quân Đội Trung Quốc Không Đảo Chính? “Đảng Chỉ Huy Quân Đội” Và Nỗi Sợ Được Thể Chế Hóa Tâm Lý Vọng Ngoại Và Căn Bệnh “Bụt Nhà Không Thiêng”
Từ Giọt Nước Mắt Của Mẹ Đến Đế Chế Zara: Hành Trình Của Amancio Ortega “Tâm Hồn Nga” Và Cơn Say Đế Quốc: Từ Crimea Đến Putin “Bên kia vĩ tuyến” và lời tự thú của một Bắc Kỳ 1985
Hiệu ứng Elon Musk: Khi một CEO “tham chính” làm Tesla mất hơn một triệu chiếc xe Điện thoại – phát minh bắt đầu từ một lời gọi yêu thương Thứ trưởng Cao Hùng và nỗi buồn hòa hợp dân tộc: Không thể không nói
Mười phát minh vĩ đại của người Hồi giáo đã âm thầm làm nên thế giới hiện đại Bẻ gãy “chiến dịch” báng bổ tiền nhân: Lịch sử Việt Nam giữa hai cách kể Từ “janitor da đen” đến người cứu sống vạn “em bé xanh”
Cơn mê “phục sinh Liên Xô”: Hoang tưởng đế quốc trong kỷ nguyên mạng xã hội Trung Quốc có còn xã hội chủ nghĩa không – hay chỉ là tư bản thân hữu khoác áo đỏ? Kỷ nguyên Tô Lâm: Thiên tai, tham nhũng và những vết nứt dẫn tới sụp đổ
Đụng ICE ngoài đường: Vì sao những vụ “xe tông xe” đang thành kịch bản đáng sợ ở Mỹ? Mỹ “khóa cửa” drone Trung Quốc: Thế hệ DJI mới chính thức hết đường vào! Mỹ phá cơ sở mại dâm của Trung Cộng đội lốt dưới vỏ kinh doanh massage
Chuyện cười ra nước mắt, dân Hàn Quốc đòi hạ cờ Việt Cộng! vì nhầm là “hàng Tàu” +video Đêm Noel đổi đời: Powerball nổ $1,817 tỷ ở Arkansas, cả nước “rụng tim” theo dõi Đập kính giữa Bolsa: Một buổi chiều mưa, một chiếc xe đen và chiếc “thẻ xanh” bốc hơi
Tranh chấp tiền làm móng ở Georgia: nữ nhân viên bị cáo buộc “giữ” bé trai 8 tuổi để đòi tiền Ngọc Quyên đóng cửa công ty ở Mỹ sau 11 năm: “Đây không phải thất bại” Ông Minh Chính bơ phờ vật vã vì mất chức thủ tướng, thế lực Hưng Yên tước hết toàn bộ quyền lực
Rò Rỉ Nhân Sự Đại Hội 14: Cuộc Mặc Cả Quyền Lực Giữa Công An – Quân Đội? Yamaguchi-gumi Rầm Rộ Họp Cuối Năm: Xã Hội Đen Lớn Nhật Nhật Bản Vẫn Sống Khỏe Giữa Thời “Văn Minh” Công nghiệp đẻ thuê cho tài phiệt Trung Quốc: Khi hộ chiếu Mỹ bị biến thành món hàng
Mẹ Cường "đô la" nguy cơ lại bị bắt Từ hiện tượng "Trumpugee", làm như thế nào để đi ra khỏi nước Mỹ? Kinh tế Việt Cộng nát như tương, Khi Gánh Thuế Nặng Hơn Gánh Hàng: Tiểu Thương Vật Vã Giữa Chợ Vắng Và Dự Án Tỷ Đô
Nhiều "nhà giàu" đi BMW, Lexus, Mercedes bán rau ở Bolsa : Bãi Đậu Xe Hóa Chợ Đuôi Xe Trần Đồng Lan (Lana Condor) – Cô Bé Mồ Côi Cần Thơ Trở Thành Minh Tinh Hollywood Những chuyện hài hước nhất hôm nay
Tướng tình báo Venezuela tiết lộ mạng lưới ma túy – gián điệp cắm sâu vào nước Mỹ? 5 tiểu bang lạnh nhất nước Mỹ (trừ Alaska) – và những nơi mùa đông ‘dễ thở’ cho người Việt Đàm phán Miami: Trump sốt ruột tìm hòa bình, Putin ung dung chờ thắng chậm
Khi Trump tái khởi động ‘chiến tranh ma túy’: từ tàu ma túy bị bắn chìm đến nỗi mất ngủ ở Caracas Mỹ thời Trump: Trục xuất người Iran về ‘địa ngục’, rồi dùng drone Iran để đánh Iran Donald Trump và học thuyết mới: Mỹ không còn làm ‘cảnh sát toàn cầu’
GDP giảm 0,1% và những con người mất trắng 100% sau bão lũ Michael và Susan Dell donate 6,25 tỷ USD vào “Tài khoản Trump”: Kho báu cho trẻ em Mỹ hay chỉ là cú khuyến đẻ kể cho vui? Đường sắt cao tốc 61 tỷ USD và ‘doanh nhân xù nợ’ 30 triệu
Những chuyện hài hước nhất hôm nay Mailisa bất ngờ “đóng cửa” giữa bão điều tra: Đế chế làm đẹp nghìn tỷ khép lại MAGA Đen - MAGA Đỏ - Giấc mơ đế chế dữ liệu của Peter Thiel và giới trọc phú công nghệ
Ánh đèn hiên nhà trong đêm bão tuyết: câu chuyện Lễ Tạ Ơn kỳ diệu sau 41 năm Xả súng gần Nhà Trắng: Bi kịch Lễ Tạ Ơn và cuộc chơi chính trị của Trump với hồ sơ di dân Afghanistan Từ Frankenstein đến Game of Drones: Khi công nghệ biến chiến tranh thành cuộc hỗn loạn vĩnh viễn
Biển lửa Wang Fuk Court: 65 người chết, Hồng Kông choáng váng trước “thảm họa giàn giáo tre” Biển lửa Wang Fuk Court: Thảm họa người già Hồng Kông và cuộc điều tra “sự cứu thả chết người” Chết cháy hàng loạt tại Hồng Kông, các toà nhà biến thành địa ngục, hàng trăm người mất tích
Black Friday ảm đạm ngoài phố, rực lửa trên livestream: Người Việt đổi kiểu săn sale Cánh tay phải của Zelensky ngã ngựa: Ukraine bị ép chọn giữa danh dự và đồng minh Tryptophan trên tiểu hành tinh Bennu: Phát hiện mới cho thấy “công thức sự sống” đến từ vũ trụ
Trump, Donetsk và “thỏa thuận không thể”: Ukraine bị ép vào góc hẹp của một nền hòa bình đẫm máu Từ Stalin tới Putin: 86 năm sau, bóng ma chiến tranh mùa đông vẫn ám ảnh đế quốc Nga Putin khen kế hoạch hòa bình của Mỹ nhưng dọa chiếm thêm đất nếu Kyiv không rút quân
Trump siết nhập cư sau vụ nổ súng: Rà soát toàn bộ thẻ xanh từ 19 “quốc gia đáng lo ngại” Thảm họa cháy chung cư ở Hong Kong: 128 người chết, hàng trăm người mất tích và những câu hỏi nhức nhối Cô gái Brazil bị trục xuất và nghịch lý cay đắng ngay trong gia đình phát ngôn viên Nhà Trắng

 
Lên đầu Xuống dưới Lên 3000px Xuống 3000px

iPad Videos Portal Autoscroll

VietBF Music Portal Autoscroll

iPad News Portal Autoscroll

VietBF Homepage Autoscroll

VietBF Video Autoscroll Portal

USA News Autoscroll Portall

VietBF WORLD Autoscroll Portal

Home Classic

Super Widescreen

iPad World Portal Autoscroll

iPad USA Portal Autoscroll

Phim Bộ Online

Tin nóng nhất 24h qua

Tin nóng nhất 3 ngày qua

Tin nóng nhất 7 ngày qua

Tin nóng nhất 30 ngày qua

Albums

Total Videos Online
Lên đầu Xuống dưới Lên 3000px Xuống 3000px

Tranh luận sôi nổi nhất 7 ngày qua

Tranh luận sôi nổi nhất 14 ngày qua

Tranh luận sôi nổi nhất 30 ngày qua

10.000 Tin mới nhất

Tin tức Hoa Kỳ

Tin tức Công nghệ
Lên đầu Xuống dưới Lên 3000px Xuống 3000px

Super News

School Cooking Traveling Portal

Enter Portal

Series Shows and Movies Online

Home Classic Master Page

Donation Ủng hộ $3 cho VietBF
Lên đầu Xuống dưới Lên 3000px Xuống 3000px
Diễn Đàn Người Việt Hải Ngoại. Tự do ngôn luận, an toàn và uy tín. Vì một tương lai tươi đẹp cho các thế hệ Việt Nam hãy ghé thăm chúng tôi, hãy tâm sự với chúng tôi mỗi ngày, mỗi giờ và mỗi giây phút có thể. VietBF.Com Xin cám ơn các bạn, chúc tất cả các bạn vui vẻ và gặp nhiều may mắn.
Welcome to Vietnamese American Community, Vietnamese European, Canadian, Australian Forum, Vietnamese Overseas Forum. Freedom of speech, safety and prestige. For a beautiful future for Vietnamese generations, please visit us, talk to us every day, every hour and every moment possible. VietBF.Com Thank you all and good luck.

Lên đầu Xuống dưới Lên 3000px Xuống 3000px

All times are GMT. The time now is 12:23.
VietBF - Vietnamese Best Forum Copyright ©2005 - 2026
User Alert System provided by Advanced User Tagging (Pro) - vBulletin Mods & Addons Copyright © 2026 DragonByte Technologies Ltd.
Log Out Unregistered

Page generated in 0.12958 seconds with 15 queries