HOME-Au
HOME-Au
24h
24h
USA
USA
GOP
GOP
Phim Bộ
Phim Bộ
Videoauto
VIDEO-Au
Home Classic
Home Classic
Donation
Donation
News Book
News Book
News 50
News 50
worldautoscroll
WORLD-Au
Breaking
Breaking
 

Go Back   VietBF > World Box| Thế Giới > Vietnam News | Tin Việt Nam


Reply
 
Thread Tools
  #1  
Old  Default Kinh hoàng khối u gần 4kg trong ngực, đè bẹp phổi bệnh nhân
Suốt 2 năm đau ngực, khó thở, đến khi không chịu được mới đi khám. Bệnh nhân và bác sĩ đều kinh ngạc trước khối u lớn nặng gần 4kg trong lồng ngực.

Tin từ Bệnh viện Bạch Mai cho biết, khoa Phẫu thuật Lồng ngực và Mạch máu của bệnh viện vừa thực hiện thành công một ca phẫu thuật cắt bỏ khối u trong lồng ngực đầy thách thức.

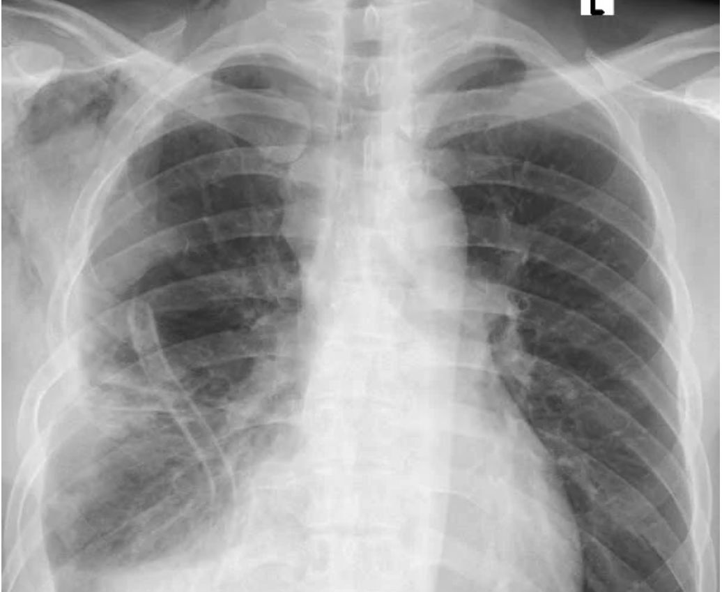
Khối u trung thất khổng lồ, có kích thước lên tới 30x20 cm, nặng 3,6 kg. Đây là một trong những khối u lớn hiếm gặp trong y văn, đe dọa nghiêm trọng đến chức năng hô hấp của người bệnh.

Khối u lớn trong ngực gần 2 năm mới được "khám phá"
Bệnh nhân nam 42 tuổi, đến Bệnh viện Bạch Mai trong tình trạng đau tức ngực, khó thở tăng dần, đặc biệt khi nằm. Triệu chứng này thực tế đã âm ỉ từ hai năm trước, khiến anh luôn trong trạng thái mệt mỏi, không thể lao động nặng, nhưng do chủ quan nên không đi khám.

Chỉ đến khi cảm giác đau tức ngực và khó thở tăng lên rõ rệt, anh mới tới bệnh viện kiểm tra.


Hình trước phẫu thuật (bên trái): Khối u xâm chiếm khoang ngực, gây xẹp gần như toàn bộ phổi phải
Qua thăm khám và chụp cắt lớp vi tính lồng ngực, các bác sĩ phát hiện khối u trung thất khổng lồ nằm lệch trong khoang màng phổi phải, chèn ép gây xẹp gần như toàn bộ phổi phải, đẩy lệch cơ hoành.

Kết quả sinh thiết xác định đây là u bao sợi thần kinh Schwannoma - Một loại u lành tính hiếm gặp xuất phát từ bao thần kinh nhưng kích thước "khủng" hiếm thấy.

Khối u không chỉ lớn mà còn nằm sâu trong lồng ngực - một không gian vốn dĩ bị giới hạn bởi các xương sườn. Dù đã sử dụng dụng cụ banh rộng khe liên sườn tối đa, kíp mổ vẫn không thể đưa khối u ra ngoài nguyên vẹn.

Các bác sĩ buộc phải quyết định cắt bỏ một đoạn xương sườn để mở rộng đường vào, tạo không gian thao tác.

“Trong quá trình phẫu tích, khối u dính chặt vào mạch máu trung thất, có vỏ mềm và tăng sinh nhiều mạch máu gây chảy máu ồ ạt. Ê kíp đã có sự chuẩn bị từ trước, xác định ca mổ có nguy cơ chảy nhiều máu, bệnh nhân được chuẩn bị sẵn sàng máu để truyền.

Chỉ một ngày sau mổ, bệnh nhân đã có thể ngồi dậy, đi lại nhẹ nhàng và xuất viện sau 4 ngày trong trạng thái khỏe mạnh, nhẹ nhõm.

Trong mổ bệnh nhân được truyền bù 02 đơn vị máu, đồng thời ê kíp nhanh chóng kiểm soát tình hình bằng kỹ thuật kiểm soát cuống mạch nuôi khối u và khâu buộc thắt mạch cầm máu.

Việc tiếp cận và bóc tách đòi hỏi độ chính xác tuyệt đối để tránh tổn thương các cơ quan quan trọng như tim, phổi và mạch máu lớn. Sau 2 giờ căng thẳng, khối u khổng lồ đã được lấy trọn vẹn ra ngoài, phổi phải giãn nở trở lại, hồi phục hình thái và chức năng bình thường”, TS, bác sĩ Ngô Gia Khánh - Trưởng khoa Phẫu thuật Lồng ngực và Mạch máu, Bệnh viện Bạch Mai chia sẻ.

TS Khánh nhận định, trường hợp này là một lời cảnh tỉnh cho rất nhiều người. Người dân không nên chủ quan với các dấu hiệu bất thường của cơ thể, đặc biệt là cảm giác mệt mỏi, tức ngực kéo dài.

Việc khám sức khỏe định kỳ là vô cùng quan trọng để phát hiện sớm và điều trị kịp thời các bệnh lý nguy hiểm.

“U trung thất thường không có triệu chứng rõ ràng ở giai đoạn sớm. Vì vậy, khi thấy các triệu chứng như: Đau ngực dai dẳng, khó thở khi nằm, ho khan không rõ nguyên nhân thì người bệnh nên đi khám sớm”, TS Khánh khuyến cáo.

VietBF@ sưu tập
VIETBF Diễn Đàn Hay Nhất Của Người Việt Nam

HOT NEWS 24h

HOT 3 Days

NEWS 3 Days

HOT 7 Days

NEWS 7 Days

HOME

Breaking News

VietOversea

World News

Business News

Car News

Computer News

Game News

USA News

Mobile News

Music News

Movies News

History

Thơ Ca

Sport News

Stranger Stories

Comedy Stories

Cooking Chat

Nice Pictures

Fashion

School

Travelling

Funny Videos

Canada Tin Hay

USA Tin Hay

VietBF Homepage Autoscroll

VietBF Video Autoscroll Portal

Home Classic

Home Classic Master Page


PinaColada
R11 Tuyệt Thế Thiên Hạ
Release: 04-26-2025
Reputation: 136949


Profile:
Join Date: Oct 2013
Posts: 118,619
Last Update: None Rating: None
Attached Thumbnails
Click image for larger version

Name:	461.PNG
Views:	0
Size:	670.7 KB
ID:	2518265  
PinaColada_is_offline
Thanks: 9
Thanked 7,853 Times in 6,983 Posts
Mentioned: 2 Post(s)
Tagged: 0 Thread(s)
Quoted: 23 Post(s)
Rep Power: 137
PinaColada Reputation Uy Tín Level 9PinaColada Reputation Uy Tín Level 9PinaColada Reputation Uy Tín Level 9PinaColada Reputation Uy Tín Level 9PinaColada Reputation Uy Tín Level 9
PinaColada Reputation Uy Tín Level 9PinaColada Reputation Uy Tín Level 9PinaColada Reputation Uy Tín Level 9PinaColada Reputation Uy Tín Level 9PinaColada Reputation Uy Tín Level 9PinaColada Reputation Uy Tín Level 9PinaColada Reputation Uy Tín Level 9PinaColada Reputation Uy Tín Level 9PinaColada Reputation Uy Tín Level 9PinaColada Reputation Uy Tín Level 9PinaColada Reputation Uy Tín Level 9PinaColada Reputation Uy Tín Level 9PinaColada Reputation Uy Tín Level 9PinaColada Reputation Uy Tín Level 9PinaColada Reputation Uy Tín Level 9PinaColada Reputation Uy Tín Level 9PinaColada Reputation Uy Tín Level 9PinaColada Reputation Uy Tín Level 9PinaColada Reputation Uy Tín Level 9PinaColada Reputation Uy Tín Level 9PinaColada Reputation Uy Tín Level 9
Reply

User Tag List



 
Lên đầu Xuống dưới Lên 3000px Xuống 3000px

iPad Videos Portal Autoscroll

VietBF Music Portal Autoscroll

iPad News Portal Autoscroll

VietBF Homepage Autoscroll

VietBF Video Autoscroll Portal

USA News Autoscroll Portall

VietBF WORLD Autoscroll Portal

Home Classic

Super Widescreen

iPad World Portal Autoscroll

iPad USA Portal Autoscroll

Phim Bộ Online

Tin nóng nhất 24h qua

Tin nóng nhất 3 ngày qua

Tin nóng nhất 7 ngày qua

Tin nóng nhất 30 ngày qua

Albums

Total Videos Online
Lên đầu Xuống dưới Lên 3000px Xuống 3000px

Tranh luận sôi nổi nhất 7 ngày qua

Tranh luận sôi nổi nhất 14 ngày qua

Tranh luận sôi nổi nhất 30 ngày qua

10.000 Tin mới nhất

Tin tức Hoa Kỳ

Tin tức Công nghệ
Lên đầu Xuống dưới Lên 3000px Xuống 3000px

Super News

School Cooking Traveling Portal

Enter Portal

Series Shows and Movies Online

Home Classic Master Page

Donation Ủng hộ $3 cho VietBF
Lên đầu Xuống dưới Lên 3000px Xuống 3000px
Diễn Đàn Người Việt Hải Ngoại. Tự do ngôn luận, an toàn và uy tín. Vì một tương lai tươi đẹp cho các thế hệ Việt Nam hãy ghé thăm chúng tôi, hãy tâm sự với chúng tôi mỗi ngày, mỗi giờ và mỗi giây phút có thể. VietBF.Com Xin cám ơn các bạn, chúc tất cả các bạn vui vẻ và gặp nhiều may mắn.
Welcome to Vietnamese American Community, Vietnamese European, Canadian, Australian Forum, Vietnamese Overseas Forum. Freedom of speech, safety and prestige. For a beautiful future for Vietnamese generations, please visit us, talk to us every day, every hour and every moment possible. VietBF.Com Thank you all and good luck.

Lên đầu Xuống dưới Lên 3000px Xuống 3000px

All times are GMT. The time now is 20:18.
VietBF - Vietnamese Best Forum Copyright ©2005 - 2025
User Alert System provided by Advanced User Tagging (Pro) - vBulletin Mods & Addons Copyright © 2025 DragonByte Technologies Ltd.
Log Out Unregistered

Page generated in 0.10599 seconds with 15 queries