HOME-Au
HOME-Au
24h
24h
USA
USA
GOP
GOP
Phim Bộ
Phim Bộ
Videoauto
VIDEO-Au
Donation
Donation
News Book
News Book
News 50
News 50
worldautoscroll
WORLD-Au
Breaking
Breaking
 

Go Back   VietBF > World > Vietnam News | Tin Việt Nam


Reply
Thread Tools
 
 
  #1  
Old  Default Người phụ nữ 57 tuổi đột quỵ liên tiếp 2 lần trong 2 ngày thừa nhận bỏ qua dấu hiệu báo bệnh này
Người phụ nữ 5 phải đối phó với 2 cơn đột quỵ là một minh họa sống động cho hiện tượng đột quỵ tái phát sớm do rung nhĩ, đây là nguyên nhân tim mạch thường gặp nhưng dễ bị bỏ sót.

Đột quỵ liên tiếp 2 lần trong vòng 48 giờ

Người phụ nữ 57 tuổi chưa hết vui mừng vì phục hồi thần kỳ sau cơn đột quỵ do tắc động mạch não giữa bên trái thì lại tiếp tục phải đối phó với cơn đột quỵ lần 2.

Chỉ chưa đầy một ngày được phục hồi sau cơn đột quỵ, khi đang được theo dõi sát tại Bệnh viện Nhân dân 115, người bệnh đột ngột tái phát đột quỵ, lần này là yếu nửa người trái. Thang điểm NIHSS lúc này từ 0 tăng vọt lên 13 điểm, cho thấy tổn thương mới tại bán cầu đối diện.


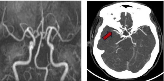
Hình ảnh mạch máu đã tái thông trước đó với thuốc tiệu sợi huyết (Hình A) và tái tắc do huyết khối mới – Rung nhĩ (Hình B – mũi tên đỏ). Ảnh: BVCC

Lập tức, các bác sĩ tại Khoa Bệnh lý mạch máu não kích hoạt quy trình báo động đột quỵ nội viện. Chụp CT mạch máu não khẩn ghi nhận hình ảnh tắc động mạch não giữa bên phải – với hình ảnh huyết khối mới hình thành trong lòng mạch máu. Không để thời gian trôi qua vô ích, người bệnh được chuyển thẳng vào đơn vị can thiệp mạch máu thần kinh. Tại đây, quy trình can thiệp nội mạch được thực hiện khẩn trương và chính xác.

Ngay sau can thiệp mạch máu, tín hiệu tái thông mạch máu được xác nhận. Người bệnh phục hồi rõ rệt – sức cơ trở lại mức 5/5, không còn dấu hiệu liệt nửa người trái. Toàn bộ ê-kíp vỡ òa trong niềm vui chiến thắng – một chiến thắng của tốc độ, chuyên môn, và sự phối hợp ăn ý của ekip đột quỵ.

Sau can thiệp, người bệnh được điều trị bằng kháng đông thế hệ mới (DOAC), kiểm soát hiệu quả rung nhĩ – nguyên nhân gây đột quỵ tái phát, và không còn xuất hiện biến cố nào.

Cảnh giác với đột quỵ tái phát do rung nhĩ

Trường hợp này là một minh họa sống động cho hiện tượng đột quỵ tái phát sớm do rung nhĩ – một nguyên nhân tim mạch thường gặp nhưng dễ bị bỏ sót. Người bệnh có tiền căn rung nhĩ vĩnh viễn, nguy cơ huyết khối cao. Chính điều này dẫn đến sự hình thành nhanh chóng của huyết khối mới, gây nên đột quỵ tái phát nguy hiểm.

Từ câu chuyện này, các bác sĩ đưa ra lời cảnh báo quan trọng: bệnh lý rung nhĩ cần được tầm soát và quản lý chặt chẽ, đặc biệt ở người cao tuổi. Việc sử dụng thuốc kháng đông dưới sự theo dõi của bác sĩ chuyên khoa là yếu tố then chốt để phòng ngừa đột quỵ tái phát.
Dịch trang: EnglishEnglish DeutschDeutsch FrançaisFrançais EspañolEspañol ItalianoItaliano PortuguêsPortuguês
NorskNorsk NederlandsNederlands DanskDansk SuomiSuomi PolskiPolski ČeštinaČeština РусскийРусский
日本語日本語 한국어한국어 中文(简体)中文(简体) 中文(繁體)中文(繁體) MagyarMagyar TürkçeTürkçe
العربيةالعربية ไทยไทย LatinaLatina हिन्दीहिन्दी Bahasa IndonesiaBahasa Indonesia Bahasa MelayuBahasa Melayu
VIETBF Hybrid Community Content Hub

HOT NEWS 24h

HOT 3 Days

NEWS 3 Days

HOT 7 Days

NEWS 7 Days

HOME

Breaking News

VietOversea

World News

Business News

Car News

Computer News

Game News

USA News

Mobile News

Music News

Movies News

History

Thơ Ca

Sport News

Stranger Stories

Comedy Stories

Cooking Chat

Nice Pictures

Fashion

School

Travelling

Funny Videos

Canada Tin Hay

USA Tin Hay

VietBF Homepage Autoscroll

VietBF Video Autoscroll Portal

Video Classic Master

iPad News Portal

VietBF iPad Music Portal

Tin nóng nhất 50h qua

Phim Bộ Online

Phim Bộ



miro1510
R9 Tuyệt Đỉnh Tôn Sư
Release: 06-19-2025
Reputation: 13837


Profile:
Join Date: Oct 2014
Posts: 47,171
Last Update: None Rating: None
Attached Thumbnails
Click image for larger version

Name:	589d929d12d3fb8da2c2.jpg
Views:	0
Size:	32.2 KB
ID:	2539259  
miro1510_is_offline
Thanks: 9
Thanked 2,096 Times in 1,935 Posts
Mentioned: 3 Post(s)
Tagged: 0 Thread(s)
Quoted: 8 Post(s)
Rep Power: 59
miro1510 Reputation Uy Tín Level 6
miro1510 Reputation Uy Tín Level 6miro1510 Reputation Uy Tín Level 6miro1510 Reputation Uy Tín Level 6miro1510 Reputation Uy Tín Level 6miro1510 Reputation Uy Tín Level 6miro1510 Reputation Uy Tín Level 6miro1510 Reputation Uy Tín Level 6miro1510 Reputation Uy Tín Level 6miro1510 Reputation Uy Tín Level 6miro1510 Reputation Uy Tín Level 6miro1510 Reputation Uy Tín Level 6miro1510 Reputation Uy Tín Level 6miro1510 Reputation Uy Tín Level 6miro1510 Reputation Uy Tín Level 6miro1510 Reputation Uy Tín Level 6miro1510 Reputation Uy Tín Level 6
Dịch trang: EnglishEnglish DeutschDeutsch FrançaisFrançais EspañolEspañol ItalianoItaliano PortuguêsPortuguês
NorskNorsk NederlandsNederlands DanskDansk SuomiSuomi PolskiPolski ČeštinaČeština РусскийРусский
日本語日本語 한국어한국어 中文(简体)中文(简体) 中文(繁體)中文(繁體) MagyarMagyar TürkçeTürkçe
العربيةالعربية ไทยไทย LatinaLatina हिन्दीहिन्दी Bahasa IndonesiaBahasa Indonesia Bahasa MelayuBahasa Melayu
Reply

User Tag List



 

iPad Videos Portal Autoscroll

VietBF Music Portal Autoscroll

iPad News Portal Autoscroll

VietBF Homepage Autoscroll

VietBF Video Autoscroll Portal

USA News Autoscroll Portall

VietBF WORLD Autoscroll Portal

Video Classic Master Page

Super Widescreen

iPad World Portal Autoscroll

iPad USA Portal Autoscroll

Phim Bộ Online
Lên đầu Xuống dưới Lên 3000px Xuống 3000px

Tin nóng nhất 24h qua

Tin nóng nhất 3 ngày qua

Tin nóng nhất 7 ngày qua

Tin nóng nhất 30 ngày qua

Albums

Total Videos Online

Tranh luận sôi nổi nhất 7 ngày qua

Tranh luận sôi nổi nhất 14 ngày qua

Tranh luận sôi nổi nhất 30 ngày qua

10.000 Tin mới nhất

Tin tức Hoa Kỳ

Tin tức Công nghệ
Lên đầu Xuống dưới Lên 3000px Xuống 3000px

Duo Series Movies Portal

Duo Music Portal

Phim Bộ

Tỷ Giá

Thời Tiết

Tin Nóng Nhất 50h

Super News

School Cooking Traveling Portal

Enter Portal

Series Shows and Movies Online

Home Classic Master Page

Donation Ủng hộ $3 cho VietBF
Lên đầu Xuống dưới Lên 3000px Xuống 3000px
Diễn Đàn Người Việt Hải Ngoại. Tự do ngôn luận, an toàn và uy tín. Vì một tương lai tươi đẹp cho các thế hệ Việt Nam hãy ghé thăm chúng tôi, hãy tâm sự với chúng tôi mỗi ngày, mỗi giờ và mỗi giây phút có thể. VietBF.Com Xin cám ơn các bạn, chúc tất cả các bạn vui vẻ và gặp nhiều may mắn.
Welcome to Vietnamese American Community, Vietnamese European, Canadian, Australian Forum, Vietnamese Overseas Forum. Freedom of speech, safety and prestige. For a beautiful future for Vietnamese generations, please visit us, talk to us every day, every hour and every moment possible. VietBF.Com Thank you all and good luck.

Lên đầu Xuống dưới Lên 3000px Xuống 3000px

All times are GMT. The time now is 23:41.
VietBF - Vietnamese Best Forum Copyright ©2005 - 2026
User Alert System provided by Advanced User Tagging (Pro) - vBulletin Mods & Addons Copyright © 2026 DragonByte Technologies Ltd.
Log Out Unregistered

Page generated in 0.10901 seconds with 15 queries