HOME-Au
HOME-Au
24h
24h
USA
USA
GOP
GOP
Phim Bộ
Phim Bộ
Videoauto
VIDEO-Au
Donation
Donation
News Book
News Book
News 50
News 50
worldautoscroll
WORLD-Au
Breaking
Breaking
 

Go Back   VietBF > World > Vietnam News | Tin Việt Nam


Reply
Thread Tools
 
 
  #1  
Old  Default Nam thanh niên 26 tuổi cấp cứu do nuốt nhiều mảnh dao rọc giấy
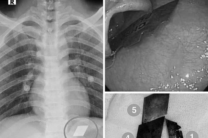
Nam thanh niên vào cấp cứu vì nuốt nhiều mảnh dao rọc giấy, dao lam. Các bác sĩ ngay lập tức nội soi gắp dị vật cho bệnh nhân.

Ngày 10/7, Khoa Hồi sức cấp cứu - Bệnh viện Đa khoa Bình Dương (TPHCM) tiếp nhận một trường hợp hy hữu. Nam bệnh nhân P.V.L (26 tuổi) nhập viện cấp cứu trong tình trạng nuốt nhiều dị vật kim loại sắc nhọn, bao gồm dao rọc giấy và dao lam.

Qua thăm khám và chụp X-quang, các bác sĩ phát hiện dị vật cản quang tại vị trí dạ dày. Bệnh nhân lập tức được chỉ định nội soi cấp cứu. Dưới sự phối hợp chặt chẽ giữa ê-kíp nội soi và gây mê, các bác sĩ đã gắp thành công 4 lưỡi dao rọc giấy ra khỏi dạ dày và một phần lưỡi dao lam mắc tại vùng hạ họng - miệng thực quản.

Bệnh nhân sau thủ thuật được theo dõi sát và đã ổn định sức khỏe, xuất viện trong tình trạng an toàn.


Hình ảnh dị vật trong đường tiêu hóa. Ảnh: BVCC.

Theo bác sĩ Phan Lê Quốc Du - Khoa Thăm dò chức năng, Bệnh viện Đa khoa Bình Dương, với các dị vật sắc nhọn trong đường tiêu hóa, việc can thiệp nội soi là bắt buộc. Nếu không lấy ra kịp thời, dị vật có thể gây thủng thực quản, thủng ruột, dẫn đến biến chứng nặng nề, thậm chí tử vong.

Thành công trong xử trí ca bệnh này cho thấy vai trò quan trọng của kỹ thuật nội soi can thiệp, sự phối hợp hiệu quả giữa các chuyên khoa và năng lực chuyên môn ngày càng được nâng cao trong việc tiếp nhận, xử trí các tình huống cấp cứu phức tạp.

Bác sĩ Du khuyến cáo:

- Không tự ý xử lý tại nhà khi nuốt phải dị vật.

- Gia đình cần đưa người bệnh đến bệnh viện ngay khi có biểu hiện đau, khó nuốt, nôn ói, nghi ngờ nuốt dị vật.

- Các dị vật sắc nhọn như kim, dao lam, tăm, xương cá... có thể gây nguy hiểm nghiêm trọng nếu không được can thiệp kịp thời.
Dịch trang: EnglishEnglish DeutschDeutsch FrançaisFrançais EspañolEspañol ItalianoItaliano PortuguêsPortuguês
NorskNorsk NederlandsNederlands DanskDansk SuomiSuomi PolskiPolski ČeštinaČeština РусскийРусский
日本語日本語 한국어한국어 中文(简体)中文(简体) 中文(繁體)中文(繁體) MagyarMagyar TürkçeTürkçe
العربيةالعربية ไทยไทย LatinaLatina हिन्दीहिन्दी Bahasa IndonesiaBahasa Indonesia Bahasa MelayuBahasa Melayu
VIETBF Hybrid Community Content Hub

HOT NEWS 24h

HOT 3 Days

NEWS 3 Days

HOT 7 Days

NEWS 7 Days

HOME

Breaking News

VietOversea

World News

Business News

Car News

Computer News

Game News

USA News

Mobile News

Music News

Movies News

History

Thơ Ca

Sport News

Stranger Stories

Comedy Stories

Cooking Chat

Nice Pictures

Fashion

School

Travelling

Funny Videos

Canada Tin Hay

USA Tin Hay

VietBF Homepage Autoscroll

VietBF Video Autoscroll Portal

Video Classic Master

iPad News Portal

VietBF iPad Music Portal

Tin nóng nhất 50h qua

Phim Bộ Online

Phim Bộ



miro1510
R9 Tuyệt Đỉnh Tôn Sư
Release: 07-22-2025
Reputation: 13837


Profile:
Join Date: Oct 2014
Posts: 47,171
Last Update: None Rating: None
Attached Thumbnails
Click image for larger version

Name:	6fe158f394bd7de324ac.jpg
Views:	0
Size:	44.4 KB
ID:	2551926  
miro1510_is_offline
Thanks: 9
Thanked 2,096 Times in 1,935 Posts
Mentioned: 3 Post(s)
Tagged: 0 Thread(s)
Quoted: 8 Post(s)
Rep Power: 59
miro1510 Reputation Uy Tín Level 6
miro1510 Reputation Uy Tín Level 6miro1510 Reputation Uy Tín Level 6miro1510 Reputation Uy Tín Level 6miro1510 Reputation Uy Tín Level 6miro1510 Reputation Uy Tín Level 6miro1510 Reputation Uy Tín Level 6miro1510 Reputation Uy Tín Level 6miro1510 Reputation Uy Tín Level 6miro1510 Reputation Uy Tín Level 6miro1510 Reputation Uy Tín Level 6miro1510 Reputation Uy Tín Level 6miro1510 Reputation Uy Tín Level 6miro1510 Reputation Uy Tín Level 6miro1510 Reputation Uy Tín Level 6miro1510 Reputation Uy Tín Level 6miro1510 Reputation Uy Tín Level 6
Dịch trang: EnglishEnglish DeutschDeutsch FrançaisFrançais EspañolEspañol ItalianoItaliano PortuguêsPortuguês
NorskNorsk NederlandsNederlands DanskDansk SuomiSuomi PolskiPolski ČeštinaČeština РусскийРусский
日本語日本語 한국어한국어 中文(简体)中文(简体) 中文(繁體)中文(繁體) MagyarMagyar TürkçeTürkçe
العربيةالعربية ไทยไทย LatinaLatina हिन्दीहिन्दी Bahasa IndonesiaBahasa Indonesia Bahasa MelayuBahasa Melayu
Reply

User Tag List



 

iPad Videos Portal Autoscroll

VietBF Music Portal Autoscroll

iPad News Portal Autoscroll

VietBF Homepage Autoscroll

VietBF Video Autoscroll Portal

USA News Autoscroll Portall

VietBF WORLD Autoscroll Portal

Video Classic Master Page

Super Widescreen

iPad World Portal Autoscroll

iPad USA Portal Autoscroll

Phim Bộ Online
Lên đầu Xuống dưới Lên 3000px Xuống 3000px

Tin nóng nhất 24h qua

Tin nóng nhất 3 ngày qua

Tin nóng nhất 7 ngày qua

Tin nóng nhất 30 ngày qua

Albums

Total Videos Online

Tranh luận sôi nổi nhất 7 ngày qua

Tranh luận sôi nổi nhất 14 ngày qua

Tranh luận sôi nổi nhất 30 ngày qua

10.000 Tin mới nhất

Tin tức Hoa Kỳ

Tin tức Công nghệ
Lên đầu Xuống dưới Lên 3000px Xuống 3000px

Duo Series Movies Portal

Duo Music Portal

Phim Bộ

Tỷ Giá

Thời Tiết

Tin Nóng Nhất 50h

Super News

School Cooking Traveling Portal

Enter Portal

Series Shows and Movies Online

Home Classic Master Page

Donation Ủng hộ $3 cho VietBF
Lên đầu Xuống dưới Lên 3000px Xuống 3000px
Diễn Đàn Người Việt Hải Ngoại. Tự do ngôn luận, an toàn và uy tín. Vì một tương lai tươi đẹp cho các thế hệ Việt Nam hãy ghé thăm chúng tôi, hãy tâm sự với chúng tôi mỗi ngày, mỗi giờ và mỗi giây phút có thể. VietBF.Com Xin cám ơn các bạn, chúc tất cả các bạn vui vẻ và gặp nhiều may mắn.
Welcome to Vietnamese American Community, Vietnamese European, Canadian, Australian Forum, Vietnamese Overseas Forum. Freedom of speech, safety and prestige. For a beautiful future for Vietnamese generations, please visit us, talk to us every day, every hour and every moment possible. VietBF.Com Thank you all and good luck.

Lên đầu Xuống dưới Lên 3000px Xuống 3000px

All times are GMT. The time now is 10:51.
VietBF - Vietnamese Best Forum Copyright ©2005 - 2026
User Alert System provided by Advanced User Tagging (Pro) - vBulletin Mods & Addons Copyright © 2026 DragonByte Technologies Ltd.
Log Out Unregistered

Page generated in 0.10320 seconds with 15 queries