HOME-Au
HOME-Au
24h
24h
USA
USA
GOP
GOP
Phim Bộ
Phim Bộ
Videoauto
VIDEO-Au
Donation
Donation
News Book
News Book
News 50
News 50
worldautoscroll
WORLD-Au
Breaking
Breaking
 

Go Back   VietBF > Other > School | Kiến thức > School | Kiến thức 2006-2019

 
Thread Tools
 
 
  #1  
Old  Default Giun dài cả mét sống trong chân người 4 năm
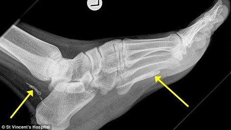
(PLO) - Con giun dài 1 mét lẩn phía sau mắt cá chân và lòng bàn chân một người đàn ông và đã sống trong đó 4 năm, chỉ được phát hiện ra bởi bản chụp X quang sau khi nó đã chết.

Người đàn ông gốc Sudan 38 tuổi sống ở Melbourne không hề biết mình có một con ký sinh trùng ăn thịt sống trong cơ thể. Con giun Guinea này được phát hiện trong bản chụp X quang tại bệnh viện.

Người đàn ông này đã đến Úc vào 4 năm trước, gần đây anh ta tới gặp bác sỹ để khám bàn chân do nó sưng phù mãi không hết suốt 1 năm. Tiến sỹ, bác sỹ chuyên về bệnh truyền nhiễm Jonathan Darby đã thấy trong phim X quang 2 mảnh của con “giun Guinea” cuộn tròn trong phần mắt cá và bàn chân người đàn ông. Sinh vật này có thể đã chết vì ... già và bắt đầu phân hủy trong cơ thể anh ta.


Ảnh chụp X quang cho thấy những phần còn lại của con giun

Thông thường, giun sống trong ruột non và xâm nhập vào cơ thể qua ấu trùng trong nguồn nước uống. Chúng đào khoét qua thịt và di chuyển tự do dưới lớp da.


“Quá trình này có thể mất vài năm. Chúng có thể ở trong cơ thể người vài năm rồi chết, phân hủy, sau đó gây ra các vấn đề trong khu vực nó chết như với bệnh nhân này,” Tiến sỹ Dr Darby nói.

Loài ký sinh trùng này sống ở miền Nam Sudan, Ethiopia, Ghana và Chad, không thể chữa khỏi nhưng cũng không lây nhiễm. Sau khi con giun được phẫu thuật gắp ra, người đàn ông đã hoàn toàn hồi phục.


Giun guinea sống trong cơ thể, khoét qua thịt và di chuyển dưới da

Trước đó, một người phụ nữ Trung Quốc cũng kinh hoàng phát hiện ra mình có một con sán dài 2,5 mét trong cơ thể. Người phụ nữ này họ Li, 30 tuổi, sống ở Hạ Môn, Phúc Kiến. Cô đã đi khám khi cảm thấy không khỏe và đi ngoài lỏng. Cô nghĩ đã nhiễm phải con sán này vì ăn đồ chưa nấu chín khi đi du lịch ở Đông Nam Á vào đầu năm.

Bích Thảo
PLO
Dịch trang: EnglishEnglish DeutschDeutsch FrançaisFrançais EspañolEspañol ItalianoItaliano PortuguêsPortuguês
NorskNorsk NederlandsNederlands DanskDansk SuomiSuomi PolskiPolski ČeštinaČeština РусскийРусский
日本語日本語 한국어한국어 中文(简体)中文(简体) 中文(繁體)中文(繁體) MagyarMagyar TürkçeTürkçe
العربيةالعربية ไทยไทย LatinaLatina हिन्दीहिन्दी Bahasa IndonesiaBahasa Indonesia Bahasa MelayuBahasa Melayu
VIETBF Hybrid Community Content Hub

HOT NEWS 24h

HOT 3 Days

NEWS 3 Days

HOT 7 Days

NEWS 7 Days

HOME

Breaking News

VietOversea

World News

Business News

Car News

Computer News

Game News

USA News

Mobile News

Music News

Movies News

History

Thơ Ca

Sport News

Stranger Stories

Comedy Stories

Cooking Chat

Nice Pictures

Fashion

School

Travelling

Funny Videos

Canada Tin Hay

USA Tin Hay

VietBF Homepage Autoscroll

VietBF Video Autoscroll Portal

Video Classic Master

iPad News Portal

VietBF iPad Music Portal

Tin nóng nhất 50h qua

Phim Bộ Online

iMusic Pro Max



PinaColada
R11 Tuyệt Thế Thiên Hạ
Release: 12-13-2014
Reputation: 137255


Profile:
Join Date: Oct 2013
Posts: 123,742
Last Update: None Rating: None
Attached Thumbnails
Click image for larger version

Name:	anh_chup_x_quang_nhung_phan_con_giun_mhmz.jpg
Views:	0
Size:	23.2 KB
ID:	706654   Click image for larger version

Name:	giun_guinea_olnk.jpg
Views:	0
Size:	26.8 KB
ID:	706655  
PinaColada_is_offline
Thanks: 9
Thanked 8,006 Times in 7,120 Posts
Mentioned: 2 Post(s)
Tagged: 0 Thread(s)
Quoted: 23 Post(s)
Rep Power: 142
PinaColada Reputation Uy Tín Level 9PinaColada Reputation Uy Tín Level 9PinaColada Reputation Uy Tín Level 9PinaColada Reputation Uy Tín Level 9PinaColada Reputation Uy Tín Level 9
PinaColada Reputation Uy Tín Level 9PinaColada Reputation Uy Tín Level 9PinaColada Reputation Uy Tín Level 9PinaColada Reputation Uy Tín Level 9PinaColada Reputation Uy Tín Level 9PinaColada Reputation Uy Tín Level 9PinaColada Reputation Uy Tín Level 9PinaColada Reputation Uy Tín Level 9PinaColada Reputation Uy Tín Level 9PinaColada Reputation Uy Tín Level 9PinaColada Reputation Uy Tín Level 9PinaColada Reputation Uy Tín Level 9PinaColada Reputation Uy Tín Level 9PinaColada Reputation Uy Tín Level 9PinaColada Reputation Uy Tín Level 9PinaColada Reputation Uy Tín Level 9PinaColada Reputation Uy Tín Level 9PinaColada Reputation Uy Tín Level 9PinaColada Reputation Uy Tín Level 9PinaColada Reputation Uy Tín Level 9PinaColada Reputation Uy Tín Level 9PinaColada Reputation Uy Tín Level 9
Dịch trang: EnglishEnglish DeutschDeutsch FrançaisFrançais EspañolEspañol ItalianoItaliano PortuguêsPortuguês
NorskNorsk NederlandsNederlands DanskDansk SuomiSuomi PolskiPolski ČeštinaČeština РусскийРусский
日本語日本語 한국어한국어 中文(简体)中文(简体) 中文(繁體)中文(繁體) MagyarMagyar TürkçeTürkçe
العربيةالعربية ไทยไทย LatinaLatina हिन्दीहिन्दी Bahasa IndonesiaBahasa Indonesia Bahasa MelayuBahasa Melayu
 
User Tag List

Thread Tools


 

iPad Videos Portal Autoscroll

VietBF Music Portal Autoscroll

iPad News Portal Autoscroll

VietBF Homepage Autoscroll

VietBF Video Autoscroll Portal

USA News Autoscroll Portall

VietBF WORLD Autoscroll Portal

Video Classic Master Page

Super Widescreen

iPad World Portal Autoscroll

iPad USA Portal Autoscroll

Phim Bộ Online
Lên đầu Xuống dưới Lên 3000px Xuống 3000px

Tin nóng nhất 24h qua

Tin nóng nhất 3 ngày qua

Tin nóng nhất 7 ngày qua

Tin nóng nhất 30 ngày qua

Albums

Total Videos Online

Tranh luận sôi nổi nhất 7 ngày qua

Tranh luận sôi nổi nhất 14 ngày qua

Tranh luận sôi nổi nhất 30 ngày qua

10.000 Tin mới nhất

Tin tức Hoa Kỳ

Tin tức Công nghệ
Lên đầu Xuống dưới Lên 3000px Xuống 3000px

Duo Series Movies Portal

Duo Music Portal

Phim Bộ

Tỷ Giá

Thời Tiết

Tin Nóng Nhất 50h

Super News

School Cooking Traveling Portal

Enter Portal

Series Shows and Movies Online

Home Classic Master Page

Donation Ủng hộ $3 cho VietBF
Lên đầu Xuống dưới Lên 3000px Xuống 3000px
Diễn Đàn Người Việt Hải Ngoại. Tự do ngôn luận, an toàn và uy tín. Vì một tương lai tươi đẹp cho các thế hệ Việt Nam hãy ghé thăm chúng tôi, hãy tâm sự với chúng tôi mỗi ngày, mỗi giờ và mỗi giây phút có thể. VietBF.Com Xin cám ơn các bạn, chúc tất cả các bạn vui vẻ và gặp nhiều may mắn.
Welcome to Vietnamese American Community, Vietnamese European, Canadian, Australian Forum, Vietnamese Overseas Forum. Freedom of speech, safety and prestige. For a beautiful future for Vietnamese generations, please visit us, talk to us every day, every hour and every moment possible. VietBF.Com Thank you all and good luck.

Lên đầu Xuống dưới Lên 3000px Xuống 3000px

All times are GMT. The time now is 20:50.
VietBF - Vietnamese Best Forum Copyright ©2005 - 2026
User Alert System provided by Advanced User Tagging (Pro) - vBulletin Mods & Addons Copyright © 2026 DragonByte Technologies Ltd.
Log Out Unregistered

Page generated in 0.11618 seconds with 15 queries