HOME-Au
HOME-Au
24h
24h
USA
USA
GOP
GOP
Phim Bộ
Phim Bộ
Videoauto
VIDEO-Au
Home Classic
Home Classic
Donation
Donation
News Book
News Book
News 50
News 50
worldautoscroll
WORLD-Au
Breaking
Breaking
 

Go Back   VietBF > Other News|Tin Khác > School | Kiến thức > School | Kiến thức 2006-2019


 
 
Thread Tools
  #1  
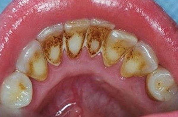
Old  Default Làm sạch mảng bám trên răng cực đơn giản và nhanh chóng ngay tại nhà!
Chúng ta đều biết rằng khi nói đến việc loại bỏ mảng bám, chỉ các nha sĩ mới thực hiện công việc này một cách hoàn hảo. Tuy nhiên, có rất cách tự nhiên có thể giúp bạn có tể thoát khỏi mảng bám hiệu quả ngay ở nhà.



Công thức 1:
Thành phần cần thiết:
30g vỏ quả óc chó
Nước
Phương pháp chuẩn bị:
Đặt vỏ quả óc chó trong một cái bát, thêm nước và đặt hỗn hợp trên lửa. Nấu trong 15 phút. Ngâm bàn chải đánh răng của bạn trong hỗn hợp kết quả và đánh răng của bạn trong 5 phút.
Lặp lại phương pháp này vào buổi sáng, buổi chiều và buổi tối.
Công thức 2:
Thành phần cần thiết:
4 muỗng canh hạt hướng dương
4 muỗng canh hoa cây bồ đề
1 lít nước
Phương pháp chuẩn bị:
Cho nguyên liệu vào một cái bát, bao gồm chúng với nước và đặt bát bạn đang sử dụng trên lửa thấp. Nấu hỗn hợp trong nửa giờ.
Đánh răng bằng hỗn hợp kết quả sau mỗi bữa ăn.
Công thức 3:
Giấm táo cũng có thể được sử dụng để loại bỏ mảng bám, nhưng chỉ một lần một tuần. Ngâm bàn chải đánh răng của bạn trong giấm táo và đánh răng của bạn. Rửa sạch khoang miệng bằng nước để không làm hỏng men răng.


pizza@VietBF © sưu tầm
Dịch trang: EnglishEnglish DeutschDeutsch FrançaisFrançais EspañolEspañol ItalianoItaliano PortuguêsPortuguês
NorskNorsk NederlandsNederlands DanskDansk SuomiSuomi PolskiPolski ČeštinaČeština РусскийРусский
日本語日本語 한국어한국어 中文(简体)中文(简体) 中文(繁體)中文(繁體) MagyarMagyar TürkçeTürkçe
العربيةالعربية ไทยไทย LatinaLatina हिन्दीहिन्दी Bahasa IndonesiaBahasa Indonesia Bahasa MelayuBahasa Melayu
VIETBF Diễn Đàn Hay Nhất Của Người Việt Nam

HOT NEWS 24h

HOT 3 Days

NEWS 3 Days

HOT 7 Days

NEWS 7 Days

HOME

Breaking News

VietOversea

World News

Business News

Car News

Computer News

Game News

USA News

Mobile News

Music News

Movies News

History

Thơ Ca

Sport News

Stranger Stories

Comedy Stories

Cooking Chat

Nice Pictures

Fashion

School

Travelling

Funny Videos

Canada Tin Hay

USA Tin Hay

VietBF Homepage Autoscroll

VietBF Video Autoscroll Portal

Super Widescreen

Home Master Page

VietBF iPad Music Portal

Tin nóng nhất 50h qua

Phim Bộ Online

Phim Bộ
Dịch trang: English | Deutsch |
Français | Español | Italiano |
Português | Norsk | Nederlands |
Dansk | Suomi | Polski |
Čeština | Русский | 日本語 |
한국어 | 中文(简体) | 中文(繁體) |
Magyar | Türkçe | العربية |



pizza
R11 Tuyệt Thế Thiên Hạ
Release: 03-07-2015
Reputation: 237174


Profile:
Join Date: Sep 2014
Posts: 107,941
Last Update: None Rating: None
Attached Thumbnails
Click image for larger version

Name:	how-to-remove-plaque-without-going-to-the-dentist.jpg
Views:	0
Size:	38.0 KB
ID:	747620  
pizza_is_offline
Thanks: 7
Thanked 8,116 Times in 7,226 Posts
Mentioned: 6 Post(s)
Tagged: 0 Thread(s)
Quoted: 41 Post(s)
Rep Power: 130
pizza Reputation Uy Tín Level 10pizza Reputation Uy Tín Level 10pizza Reputation Uy Tín Level 10pizza Reputation Uy Tín Level 10pizza Reputation Uy Tín Level 10pizza Reputation Uy Tín Level 10pizza Reputation Uy Tín Level 10
pizza Reputation Uy Tín Level 10pizza Reputation Uy Tín Level 10pizza Reputation Uy Tín Level 10pizza Reputation Uy Tín Level 10pizza Reputation Uy Tín Level 10pizza Reputation Uy Tín Level 10pizza Reputation Uy Tín Level 10pizza Reputation Uy Tín Level 10pizza Reputation Uy Tín Level 10pizza Reputation Uy Tín Level 10pizza Reputation Uy Tín Level 10pizza Reputation Uy Tín Level 10pizza Reputation Uy Tín Level 10pizza Reputation Uy Tín Level 10pizza Reputation Uy Tín Level 10pizza Reputation Uy Tín Level 10pizza Reputation Uy Tín Level 10pizza Reputation Uy Tín Level 10pizza Reputation Uy Tín Level 10pizza Reputation Uy Tín Level 10pizza Reputation Uy Tín Level 10pizza Reputation Uy Tín Level 10
Dịch trang: EnglishEnglish DeutschDeutsch FrançaisFrançais EspañolEspañol ItalianoItaliano PortuguêsPortuguês
NorskNorsk NederlandsNederlands DanskDansk SuomiSuomi PolskiPolski ČeštinaČeština РусскийРусский
日本語日本語 한국어한국어 中文(简体)中文(简体) 中文(繁體)中文(繁體) MagyarMagyar TürkçeTürkçe
العربيةالعربية ไทยไทย LatinaLatina हिन्दीहिन्दी Bahasa IndonesiaBahasa Indonesia Bahasa MelayuBahasa Melayu
 
User Tag List

Thread Tools

Trump dọa áp thuế để “lấy” Greenland: Châu Âu nổi giận, dân đảo mất ngủ Giám đốc CIA gặp Delcy Rodríguez ở Caracas: Washington nói chuyện “làm ăn”, Trump khen Machado nhưng vẫn chưa trao ghế Bóng đen Berlin-Lichtenberg: Dao rựa, buôn người và “luật im lặng” của một thế giới ngầm Việt Cộng
ICE bắt giữ nữ tỷ phú Trung Quốc ở Saipan: “bóng ma” casino tai tiếng Imperial Pacific lại dậy sóng Vì sao Trump “nghe răm rắp” một bà thầy phong thủy gốc Hồng Kông? Nhờ Người gốc Việt mà VN chưa lọt vào danh sách đen ăn welfare và bị siết visa như 75 quốc gia khác
Minneapolis lại bùng nổ: 2 vụ nổ súng trong 1 tuần, Trump dọa tung “Insurrection Act” Món quà Nobel và chiếc túi quà có chữ ký: Hai người đàn bà, một chiếc ghế Caracas và cái gật đầu của Trump Đồng minh Mỹ “xoay trục” giữa cơn địa chấn địa chính trị: Canada bắt tay Trung Quốc, Nhật–Philippines siết phòng thủ, Nhật–Hàn…
Sốc : Hai người gốc Việt chết vì tai nạn - Đêm Giáng Sinh tang thương trên I-495: bà Su Nguyễn và cô bé 15 tuổi ra đi sau cú tông hơn 100 mph Một phút im lặng cho 40 linh hồn nhỏ bé: Thụy Sĩ chìm trong quốc tang 9/1/2026 Chân dung đặc vụ ICE nổ súng ở Minneapolis: cựu chiến binh Iraq - Gia đình lên tiếng về Jonathan Ross: “người chồng, người cha tận tụy” giữa tâm b
Nhà Mỹ gốc Việt tan tành sau khi cho dân da đen thuê Khi chợ búa nổi dậy, chế độ rung chuyển: Iran trong bóng tối liên lạc: biểu tình lan hơn 100 thành phố và lời cảnh cáo lạnh người từ Trump Video “cận chiến” từ điện thoại ICE rò rỉ: Minneapolis sôi sục, điều tra bị nghi che chắn
Trump muốn “tự tay chọn” hãng dầu vào Venezuela: Big Oil lắc đầu, Caracas thả tù nhân lấy đường sống Venezuela mở “kênh ngoại giao thăm dò” với Mỹ: vừa thả tù chính trị, vừa đón phái đoàn Bộ Ngoại giao Mỹ vào Caracas Từ Minneapolis lan khắp nước Mỹ: biểu tình chống ICE, điều tra bị nghi “khóa cửa”, trường học hoảng loạn
Tổng thống Donald Trump kể phút ‘xông cửa thép’ bắt Maduro: xem trực tiếp như phim Delta Force ra tay bắt Maduro: Trump xem trực tiếp ở Mar-a-Lago, USS Iwo Jima chở về New York, DOJ chuẩn bị cáo trạng mới Gia Lạp Gia Tư (Caracas) nín thở sau tin Maduro bị bắt: người hy vọng đổi đời, cộng đồng hải ngoại mở hội
Machado ra ‘thư hiệu triệu’: Đã đến lúc chủ quyền nhân dân lên tiếng, mời Edmundo González tiếp quản Venezuela “Săn” theo nếp sinh hoạt: CIA theo dõi, Delta ra tay, FBI HRT yểm trợ – Maduro đối mặt cáo trạng ma túy 15 năm Sau đêm bắt Maduro: Trump nói Mỹ sẽ điều hành Venezuela “đến khi chuyển tiếp an toàn”, tính giao dầu khí cho các tập đoàn Mỹ
Operation Absolute Resolve: Bắt Maduro giữa đêm, ghé Guantanamo rồi đưa thẳng về New York Hình ảnh mới nhất về trùm Cộng Sản bị bắt, Bondi nói Maduro sẽ ra tòa Mỹ nhận án tử hình ! Tòa phúc thẩm Mỹ ‘tuýt còi’ California: Lệnh cấm mang súng lộ thiên bị phán vi hiến
Bài học Liên Xô cho con đường dân chủ của người Việt Du khách Trung Cộng đăng ảnh thăm Hồ Lăng với cờ 5 sao, dắt chó 1 sao khiến Việt Cộng nổi điên Bức ảnh người Mỹ đấm thẳng mặt vào lũ 3 que, đu càng và sự thật được trả lại cho VNCH
5 cạm bẫy khiến Việt Kiều hạ cánh xuống phi trường là mất sạch tiền Hàng triệu người Việt tẩy chay Zalo vì app này làm điều khó chấp nhận Ông Trump lại chết vì người đẹp salon
Hỗn loạn tại Trung Cộng vì một lý do không thể tin nổi Hàng triệu Việt Kiều nguy cơ bị hốt ví ngay khi vừa đặt chân xuống Việt Nam Việt Cộng xây sân vận động to ở Hưng Yên để làm cái gì?
“Siêu đẹp” bí mật trong Himalaya: Dân Việt Nam sẽ chết không còn chỗ chôn? Ngoại trưởng trẻ nhất Trung Quốc và cú rơi không lời giải: Thăng như tên lửa, mất tích như bóng ma Hơn trăm người nhập viện bị ngộ độc, không biết là vì lý do gì, hoá ra là ....
“Bóp nghẹt không tiếng súng”: Việt Nam đang thua vì Trung Quốc quá mạnh, hay vì ta tự làm mình yếu? 10 khác biệt “đinh” giữa người Mỹ & người Việt Cộng: đọc thì cười, ngẫm lại… chạnh lòng “Mùa đỏ” của Cộng Sản bị loại khỏi giải Oscar
Thanh niên Việt mới sang Mỹ 9 tháng và một câu hỏi nhói lòng: “Bám trụ hay quay về?” Sony rút khỏi Huệ Châu, TQ, 30.000 người mất việc: khi “đèn nhà máy tắt” kéo cả một thành phố chao đảo Thảm sát Bondi Beach: hai cha con bị nghi theo ISIS, chuyến đi Mindanao và câu hỏi nhức nhối về “lỗ hổng” an ninh Úc
Hà Nội đang rất mệt – nhưng tôi vẫn không đành rời đi Chuyện giang hồ Á Châu và những cú sốc văn hoá Người Đàn Bà Gánh Sứ Mệnh Đến Hơi Thở Cuối Cùng
Putin Sụp Kiểu Liên Xô Hay Chỉ Là Giấc Mơ Của Phương Tây? “Con kiến kiện củ khoai”: Dân Phú Yên có thật sự kiện được thủy điện xả lũ? Trump Đánh Thuế, Chuỗi Cung Ứng Đại Di Cư: Việt Nam Đang Lên Đời Hay Chỉ Là Trạm Trung Chuyển Rẻ Tiền?
VIỆT NAM SẮP HÓNG HAY ĐANG ẢO GIÁC TẬP THỂ? Macron dọa đánh thuế hàng Trung Quốc: Châu Âu giật mình trước thâm hụt 300 tỷ euro Chiến lược An ninh Quốc gia mới của Trump: Khi ‘Nước Mỹ trên hết’ hóa thành bản tuyên ngôn cá nhân
Vì sao ngày xưa vua miễn thuế khi bão lụt, còn ngày nay thì không? Phép tính lạnh lùng của quyền lực Lindsey Halligan: 63 Ngày Hỗn Loạn Ở Viện Công Tố Virginia Việt Cộng sẽ tịch thu toàn bộ tiền của Việt kiều gửi trong ngân hàng?
Từ ‘Sổ Sinh Tử’ Đến Những Tấm Bưu Thiếp Tự Do: Lời Kêu Gọi Từ Buổi Tưởng Niệm 50 Năm Quốc Nạn 1975–2025 Paris By Night Lặng Im: Khi Đế Chế Giải Trí Chạm Đáy Khủng Hoảng Địa Ngục Lửa Trên Cao Ốc: Thảm Họa Wang Fuk Court Rúng Động Hồng Kông, ít nhất 146 người chết, khoảng 40 người vẫn còn mất tích
Ván Cờ Hòa Bình Của Trump: Ukraine Giữa Thể Diện Dân Tộc, Bom Đạn Và Lính Đánh Thuê Toàn Cầu Thảm Sát Trong Tiệc Sinh Nhật Ở California: Khi Bữa Tiệc Gia Đình Hóa Chiến Trường Đẫm Máu Vì sao Paris By Night và nghệ sĩ hải ngoại đồng loạt im lặng trước chuyện chống Cộng?
Nghề nail người Việt giữa cơn bão 2025: khi ghế trống nhiều hơn khách Giáng sinh kiểu Mỹ 2025: Rạp phim cháy vé, gấu bông biết nói nhảm và nỗi băn khoăn “có nên cho con tiền lúc mình còn sống?” Bitcoin lao dốc, vàng – bạc lập kỷ lục: cơn “sốc Nhật Bản” đang dọa thổi bay cú rally cuối năm của Phố Wall
Black Friday 2025: Người Mỹ mua nhiều mà được ít – thuế Trump và “K-đồ thị” xé đôi túi tiền Chống tham nhũng làm nghẽn “cỗ máy chiến tranh”: Doanh thu quốc phòng Trung Quốc bất ngờ lao dốc Cựu tiếp viên hàng không và “luật ngầm” 4 triệu – 7 triệu: đường dây mại dâm Tài Nguyên Fortuner II lộ sáng
Quân Lực VNCH – Ai còn nhớ, ai đã quên: TQLC Phúc Yên Nguyễn Xuân Phúc và một “tổn thất” của Khóa 16 Kinh tế Trung Quốc đang tan rã từ bên trong: “phép màu” chỉ là một phim trường khổng lồ Giữa Nước Mỹ Chia Rẽ: Tâm Sự Của Một Người Nhập Cư
Thuế quan “giấu mặt” gõ cửa mùa lễ: Mua hàng ngoại xong… nhận thêm hóa đơn “Đừng gọi tôi Việt kiều”: từ một chữ Kiều đến vết xước trong lòng người xa xứ “Bỏ thuế nhà đất” và cơn bão tranh luận: Mơ ước của chủ nhà, nỗi lo của trường học
Không cuồng Cộng Hòa, không cuồng Dân Chủ: chỉ đau với nước Mỹ hôm nay David Hoàng Nguyễn (26 tuổi) – Hạ sĩ quan Không quân Hoa Kỳ gốc Việt qua đời Ông Phan Văn Giang điều động hàng chục ngàn bộ đội đặc công nhằm lật đổ phe cánh ông Tô Lâm
Thất nghiệp tràn lan tại Thành Hồ, dắt chó tìm việc 3 ngày không thành Việt kiều dởm làm màu và Việt kiều “chân chính”: khác nhau ở cái nhìn, không ở hộ chiếu Ông Trump quyết trục xuất 20 triệu người khỏi Mỹ trong năm tới, liệu có thành công?
Chiến lược an ninh mới của Trump: Hạ giọng với Trung Quốc, đặt cược tất tay vào kinh tế và lá bài Đài Loan Kho ảnh mới từ dinh thự Jeffrey Epstein: Bóng dáng giới quyền lực và cuộc đấu Trump – Quốc hội Mỹ Cây chổi cho Donald Trump
Nước Mỹ Trump đang kéo châu Âu đi đâu? Nền kinh tế chữ K: 79 ngàn tỷ đô bị “ăn cắp” khỏi túi người lao động Mỹ Khi Trump “đại tu” FEMA và tấn công các cơ quan độc lập
Ukraine đánh thẳng vào “cây ATM năng lượng” của Nga, NATO cảnh báo: chiến tranh đã ở ngay trước cửa Tyler Robinson lần đầu trực tiếp xuất hiện trước tòa: Vụ ám sát Charlie Kirk và câu hỏi về thù hận chính trị ở nước Mỹ Chính quyền Trump chính thức mở trang mạng để bán "thẻ vàng định cư"
Ba người Việt bị ICE bắt ở New Orleans: Từ giấc mơ Mỹ đến nguy cơ bị trục xuất Hai anh em sinh đôi trở về Việt Nam tìm mẹ ruột sau 24 năm và người mẹ Mỹ mang trái tim Bồ Tát Cuối năm phố tắt đèn: Cơn sóng trả mặt bằng và tiếng thở dài của tiểu thương
Tin đồn ông Nguyễn Xuân Phúc xin qua Mỹ định cư: Tấm thẻ đảng và cánh cửa di trú Hoa Kỳ Netflix tung đòn 28 USD/cổ phiếu: Trận quyết đấu cuối cùng của ‘chiến tranh streaming’? Cơn sốc 50.000 USD: Mua xe mới ở Mỹ sắp thành xa xỉ phẩm?
Làn sóng hủy show Nhật Bản ở Trung Quốc: Khi chính trị tắt đèn sân khấu Mãn kinh – chương đời bị bỏ quên của một nửa nhân loại Cuộc họp nội các thật hỗn loạn của ông Trump

 
Lên đầu Xuống dưới Lên 3000px Xuống 3000px

iPad Videos Portal Autoscroll

VietBF Music Portal Autoscroll

iPad News Portal Autoscroll

VietBF Homepage Autoscroll

VietBF Video Autoscroll Portal

USA News Autoscroll Portall

VietBF WORLD Autoscroll Portal

Home Classic

Super Widescreen

iPad World Portal Autoscroll

iPad USA Portal Autoscroll

Phim Bộ Online

Tin nóng nhất 24h qua

Tin nóng nhất 3 ngày qua

Tin nóng nhất 7 ngày qua

Tin nóng nhất 30 ngày qua

Albums

Total Videos Online
Lên đầu Xuống dưới Lên 3000px Xuống 3000px

Tranh luận sôi nổi nhất 7 ngày qua

Tranh luận sôi nổi nhất 14 ngày qua

Tranh luận sôi nổi nhất 30 ngày qua

10.000 Tin mới nhất

Tin tức Hoa Kỳ

Tin tức Công nghệ
Lên đầu Xuống dưới Lên 3000px Xuống 3000px

Super News

School Cooking Traveling Portal

Enter Portal

Series Shows and Movies Online

Home Classic Master Page

Donation Ủng hộ $3 cho VietBF
Lên đầu Xuống dưới Lên 3000px Xuống 3000px
Diễn Đàn Người Việt Hải Ngoại. Tự do ngôn luận, an toàn và uy tín. Vì một tương lai tươi đẹp cho các thế hệ Việt Nam hãy ghé thăm chúng tôi, hãy tâm sự với chúng tôi mỗi ngày, mỗi giờ và mỗi giây phút có thể. VietBF.Com Xin cám ơn các bạn, chúc tất cả các bạn vui vẻ và gặp nhiều may mắn.
Welcome to Vietnamese American Community, Vietnamese European, Canadian, Australian Forum, Vietnamese Overseas Forum. Freedom of speech, safety and prestige. For a beautiful future for Vietnamese generations, please visit us, talk to us every day, every hour and every moment possible. VietBF.Com Thank you all and good luck.

Lên đầu Xuống dưới Lên 3000px Xuống 3000px

All times are GMT. The time now is 10:41.
VietBF - Vietnamese Best Forum Copyright ©2005 - 2026
User Alert System provided by Advanced User Tagging (Pro) - vBulletin Mods & Addons Copyright © 2026 DragonByte Technologies Ltd.
Log Out Unregistered

Page generated in 0.12160 seconds with 15 queries