HOME-Au
HOME-Au
24h
24h
USA
USA
GOP
GOP
Phim Bộ
Phim Bộ
Videoauto
VIDEO-Au
Donation
Donation
News Book
News Book
News 50
News 50
worldautoscroll
WORLD-Au
Breaking
Breaking
 

Go Back   VietBF > Other > School | Kiến thức > School | Kiến thức 2006-2019

 
Thread Tools
 
 
  #1  
Old  Default Không cần đi nha sĩ, chỉ cần cách sau là chữa được chảy máu chân răng
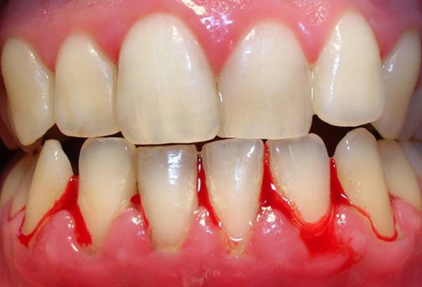
Chảy máu chân răng là chứng bệnh nhiều người mắc. Nguyên nhân chủ yếu là do cao răng dày, thiếu vitamin C hoặc rối loạn nội tiết. Không cần phải uống thuốc cũng như đến nha sĩ bạn vẫn có thể tự cầm máu chân rằng nhanh chóng và hiệu quả.


Chảy máu chân răng có thể được điều trị tại nhà bằng những phương đơn giản - Ảnh minh họa: Internet

Tình trạng chảy máu chân răng khiến người bệnh gặp nhiều phiền toái trong việc vệ sinh răng miệng, ăn uống, thậm chí nếu để lâu có thể gây nhiễm trùng nướu.

Ngoài có tác dụng trị mụn, làm trắng da, nha đam còn có khả năng chữa chảy máu chân răng vô cùng nhanh chóng mà ít người biết đến. Nhiều nha sĩ cho biết, trong nha đam có nhiều chất giúp làm dịu vết thương và chống lại sự tấn công của vi khuẩn hiệu quả.

Bạn chỉ cần ép lấy nước nha đam sau đó bôi lên nướu răng, để khoảng 5 phút rồi súc miệng lại bằng nước sạch. Kiên trì thực hiện phương pháp này 2 lần/ngày trong khoảng vài ngày, bạn sẽ không còn bị chảy máu chân răng nữa.

Lá trà xanh

Theo nhiều nghiên cứu, lá trà xanh có đặc tính kháng sinh mạnh, do đó sẽ giúp ngăn ngừa vi khuẩn phát triển trong khoang miệng cũng như làm vết thương mau lành. Từ đó giải quyết được tình trạng chảy máu chân răng của bạn một cách nhanh chóng.

Lá trà xanh mua về rửa sạch, cho vào nước sôi ngâm khoảng 10 phút rồi bạn vớt bỏ lá. Tiếp theo cho 1 muỗng cà phê mật ong vào ly trà, khuấy đều, để nguội rồi bạn ngậm nước này trong khoảng 2 phút trước khi nuốt. Những người không bị chảy máu chân răng cũng có thể dùng cách này để giữ sạch khoang miệng phòng tránh sâu răng.

Nước muối

Muối không chỉ là một gia vị quan trọng trong các món ăn mà còn có tác dụng chữa bệnh, bao gồm chảy máu chân răng.

Hòa tan một muỗng cà phê muối vào ly nước ấm rồi ngậm dung dịch này từ 3 - 5 phút sau đó nhổ ra, không cần súc miệng lại. Lưu ý: Bạn không nên pha nước muối quá mặn hay nhạt vì sẽ không mang lại kết quả như mong muốn.

Mật ong

Với công dụng kháng khuẩn và điều trị nhiễm trùng, mật ong thường được dùng trong việc điều trị chảy máu chân răng.

Bạn dùng bông chấm vào mật ong bôi lên vùng nướu bị chảy máu rồi để cho chúng tan trong khoang miệng. Cuối cùng, súc miệng lại bằng nước ấm. Thực hiện phương pháp này mỗi ngày, tình trạng chảy máu chân răng sẽ sớm biến mất.

Chúc bạn thành công với những cách chữa chảy máu chân răng tại nhà ở trên.

VietBF © sưu tập
Dịch trang: EnglishEnglish DeutschDeutsch FrançaisFrançais EspañolEspañol ItalianoItaliano PortuguêsPortuguês
NorskNorsk NederlandsNederlands DanskDansk SuomiSuomi PolskiPolski ČeštinaČeština РусскийРусский
日本語日本語 한국어한국어 中文(简体)中文(简体) 中文(繁體)中文(繁體) MagyarMagyar TürkçeTürkçe
العربيةالعربية ไทยไทย LatinaLatina हिन्दीहिन्दी Bahasa IndonesiaBahasa Indonesia Bahasa MelayuBahasa Melayu
VIETBF Hybrid Community Content Hub

HOT NEWS 24h

HOT 3 Days

NEWS 3 Days

HOT 7 Days

NEWS 7 Days

HOME

Breaking News

VietOversea

World News

Business News

Car News

Computer News

Game News

USA News

Mobile News

Music News

Movies News

History

Thơ Ca

Sport News

Stranger Stories

Comedy Stories

Cooking Chat

Nice Pictures

Fashion

School

Travelling

Funny Videos

Canada Tin Hay

USA Tin Hay

VietBF Homepage Autoscroll

VietBF Video Autoscroll Portal

Video Classic Master

iPad News Portal

VietBF iPad Music Portal

Tin nóng nhất 50h qua

Phim Bộ Online

iMusic Pro Max



troopy
R10 Vô Địch Thiên Hạ
Release: 02-25-2018
Reputation: 228685

Profile:
Join Date: Oct 2014
Posts: 94,351
Last Update: None Rating: None
Attached Thumbnails
Click image for larger version

Name:	2.jpg
Views:	0
Size:	23.2 KB
ID:	1181215  
troopy is_online_now
Thanks: 77
Thanked 7,279 Times in 6,342 Posts
Mentioned: 5 Post(s)
Tagged: 0 Thread(s)
Quoted: 34 Post(s)
Rep Power: 117
troopy Reputation Uy Tín Level 10troopy Reputation Uy Tín Level 10troopy Reputation Uy Tín Level 10troopy Reputation Uy Tín Level 10troopy Reputation Uy Tín Level 10troopy Reputation Uy Tín Level 10
troopy Reputation Uy Tín Level 10troopy Reputation Uy Tín Level 10troopy Reputation Uy Tín Level 10troopy Reputation Uy Tín Level 10troopy Reputation Uy Tín Level 10troopy Reputation Uy Tín Level 10troopy Reputation Uy Tín Level 10troopy Reputation Uy Tín Level 10troopy Reputation Uy Tín Level 10troopy Reputation Uy Tín Level 10troopy Reputation Uy Tín Level 10troopy Reputation Uy Tín Level 10troopy Reputation Uy Tín Level 10troopy Reputation Uy Tín Level 10troopy Reputation Uy Tín Level 10troopy Reputation Uy Tín Level 10troopy Reputation Uy Tín Level 10troopy Reputation Uy Tín Level 10troopy Reputation Uy Tín Level 10troopy Reputation Uy Tín Level 10troopy Reputation Uy Tín Level 10troopy Reputation Uy Tín Level 10troopy Reputation Uy Tín Level 10
Dịch trang: EnglishEnglish DeutschDeutsch FrançaisFrançais EspañolEspañol ItalianoItaliano PortuguêsPortuguês
NorskNorsk NederlandsNederlands DanskDansk SuomiSuomi PolskiPolski ČeštinaČeština РусскийРусский
日本語日本語 한국어한국어 中文(简体)中文(简体) 中文(繁體)中文(繁體) MagyarMagyar TürkçeTürkçe
العربيةالعربية ไทยไทย LatinaLatina हिन्दीहिन्दी Bahasa IndonesiaBahasa Indonesia Bahasa MelayuBahasa Melayu
 
User Tag List

Thread Tools


 

iPad Videos Portal Autoscroll

VietBF Music Portal Autoscroll

iPad News Portal Autoscroll

VietBF Homepage Autoscroll

VietBF Video Autoscroll Portal

USA News Autoscroll Portall

VietBF WORLD Autoscroll Portal

Video Classic Master Page

Super Widescreen

iPad World Portal Autoscroll

iPad USA Portal Autoscroll

Phim Bộ Online
Lên đầu Xuống dưới Lên 3000px Xuống 3000px

Tin nóng nhất 24h qua

Tin nóng nhất 3 ngày qua

Tin nóng nhất 7 ngày qua

Tin nóng nhất 30 ngày qua

Albums

Total Videos Online

Tranh luận sôi nổi nhất 7 ngày qua

Tranh luận sôi nổi nhất 14 ngày qua

Tranh luận sôi nổi nhất 30 ngày qua

10.000 Tin mới nhất

Tin tức Hoa Kỳ

Tin tức Công nghệ
Lên đầu Xuống dưới Lên 3000px Xuống 3000px

Duo Series Movies Portal

Duo Music Portal

Phim Bộ

Tỷ Giá

Thời Tiết

Tin Nóng Nhất 50h

Super News

School Cooking Traveling Portal

Enter Portal

Series Shows and Movies Online

Home Classic Master Page

Donation Ủng hộ $3 cho VietBF
Lên đầu Xuống dưới Lên 3000px Xuống 3000px
Diễn Đàn Người Việt Hải Ngoại. Tự do ngôn luận, an toàn và uy tín. Vì một tương lai tươi đẹp cho các thế hệ Việt Nam hãy ghé thăm chúng tôi, hãy tâm sự với chúng tôi mỗi ngày, mỗi giờ và mỗi giây phút có thể. VietBF.Com Xin cám ơn các bạn, chúc tất cả các bạn vui vẻ và gặp nhiều may mắn.
Welcome to Vietnamese American Community, Vietnamese European, Canadian, Australian Forum, Vietnamese Overseas Forum. Freedom of speech, safety and prestige. For a beautiful future for Vietnamese generations, please visit us, talk to us every day, every hour and every moment possible. VietBF.Com Thank you all and good luck.

Lên đầu Xuống dưới Lên 3000px Xuống 3000px

All times are GMT. The time now is 05:25.
VietBF - Vietnamese Best Forum Copyright ©2005 - 2026
User Alert System provided by Advanced User Tagging (Pro) - vBulletin Mods & Addons Copyright © 2026 DragonByte Technologies Ltd.
Log Out Unregistered

Page generated in 0.11735 seconds with 15 queries