HOME-Au
HOME-Au
24h
24h
USA
USA
GOP
GOP
Phim Bộ
Phim Bộ
Videoauto
VIDEO-Au
Donation
Donation
News Book
News Book
News 50
News 50
worldautoscroll
WORLD-Au
Breaking
Breaking
 

Go Back   VietBF > World > Vietnam News | Tin Việt Nam > 2005-2023 Vietnam News


 
Thread Tools
 
 
  #1  
Old  Default Cứu sống thành công bé trai 2 ngày tuổi bị vỡ dạ dày
Mới đây 1 bé sơ sinh tại Là Cai đã bị 1 bệnh hết sức hiếm gặp đó là dạ dày của bé bị vỡ. Rất may ngay sau đó bé đã được phát hiện và cấp cứu kịp thời. Nhờ tay nghề và kinh nghiệm lâu năm của các bác sĩ chuyên khoa đã cứu được cháu bé. Trao đổi với phóng viên, bà Hoàng Thị Nguyệt, Giám đốc Bệnh viện Sản - Nhi tỉnh Lào Cai cho biết, bệnh viện vừa tiếp nhận và cứu chữa thành công một em bé sơ sinh bị vỡ dạ dày hiếm gặp.

Theo bà Nguyệt, em bé sinh non ở tháng thứ 8, với cân nặng chỉ 1.7kg. Khi mới chào đời, em bé này hồng hào, bú được và đã đi ngoài phân su. Tuy nhiên, 2 ngày sau sinh trẻ nôn nhiều và xuất hiện bụng chướng. Phát hiện những biểu hiện bất thường, gia đình đã đưa trẻ đến bệnh viện Văn Bàn điều trị.

Sau 2 ngày điều trị, tình trạng chướng bụng không đỡ nên các bác sĩ đã chuyển đến Bệnh viện Sản Nhi Lào Cai.

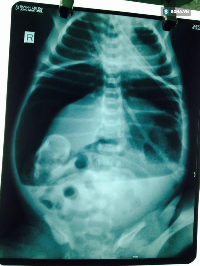
"Khi chúng tôi tiếp nhận trẻ ở trong tình trạng li bì, khó thở, tím, không sốt, bụng chướng căng, đặt sonde dạ dày có ít dịch màu xanh, bơm rửa trực tràng dịch nhày nâu lượng ít. Ngay sau đó trẻ được hồi sức tích cực bằng cách: trợ hô hấp, nuôi dưỡng hoàn toàn bằng đường tĩnh mạch, X-quang ổ bụng có hình ảnh mức nước - hơi và liềm hơi dưới cơ hoành.

Với tình trạng trẻ như vậy, chúng tôi đã hội chẩn cùng Ths.BS Đinh Ngọc Dũng - Trưởng khoa Ngoại tổng hợp - Bệnh viện Đa khoa tỉnh Lào Cai và chẩn đoán: Viêm phúc mạc do tắc ruột phân su biến chứng vỡ tạng rỗng", bà Nguyệt thông tin. Khi tiến hành phẫu thuật cấp cứu cho cháu bé, kíp phẫu thuật bất ngờ phát hiện dạ dày trẻ có cấu trúc bất thường. "Toàn bộ mặt trước không có lớp cơ chỉ có niêm mạc và thanh mạc, một đường vỡ lớn từ tâm vị đến hang vị. Các bác sỹ đã tiến hành cắt lọc và khâu phục hồi dạ dày", bà Nguyệt cho hay.

Nói về tình trạng sức khỏe hiện tại, GĐ Bệnh viện Sản Nhi Lào Cai cho biết, đến nay sau 3 ngày điều trị tích cực tại khoa hồi sức sơ sinh bằng thở máy, nuôi dưỡng tĩnh mạch hoàn toàn và kháng sinh phối hợp, chăm sóc dặc biệt. Hiện tại, trẻ hồng hào, tim mạch tốt, thân nhiệt ổn định, bụng mềm.

Theo nhận định của bà Nguyệt, đây là một trường hợp hiếm gặp vỡ dạ dày do bất thường cơ dạ dày, trên trẻ sinh non, nhẹ cân. "Hiện nay với những tiến bộ của ngoại khoa, gây mê và hồi sức sơ sinh, ngày càng có nhiều trẻ sinh non, nhẹ cân, dị tật bẩm sinh được cứu sống", bà Nguyệt nói.

Xem thêm:


Phẫu thuật loại bỏ khối tóc ra khỏi dạ dày bệnh nhân

Hy hữu: Cứu sống bệnh nhân ngừng tuần hoàn, mất ý thức hoàn toàn
theo Trí Thức Trẻ

1


Bạn đọc có thể báo tin, gửi bài viết, clip, ảnh về email songkhoe@ttvn.vn để nhận nhuận bút cao trong vòng 24h.
Đường dây nóng: 0943 113 999
Soha

Tags
thời sự y tếGiám đốc bệnh việnem bé sơ sinhbé sơ sinhbệnh viện Sảntiến hành phẫu thuật

CÙNG CHUYÊN MỤC
Xem theo ngày XEM
Hiếm gặp: Cháu bé sơ sinh 2 ngày tuổi ở Lào Cai bị vỡ dạ dày
Hiếm gặp: Cháu bé sơ sinh 2 ngày tuổi ở Lào Cai bị vỡ dạ dày Nổi bật
Làm gì khi bị hóc xương cá: 3 bác sĩ Singapore hướng dẫn cách xử lý đơn giản và hiệu quả
Làm gì khi bị hóc xương cá: 3 bác sĩ Singapore hướng dẫn cách xử lý đơn giản và hiệu quả Nổi bật
Vụ bé 8 tháng tử vong do tiêm nhầm thuốc: Gia đình phản đối kết luận nguyên nhân tử vong
Vụ bé 8 tháng tử vong do tiêm nhầm thuốc: Gia đình phản đối kết luận nguyên nhân tử vong
14 giờ trước
"Gluten không phải chất độc, nếu độc thì uống bia, ăn bánh mì, mì căn bị độc cả hay sao"
"Gluten không phải chất độc, nếu độc thì uống bia, ăn bánh mì, mì căn bị độc cả hay sao"
1 ngày trước
Cảnh báo: Liên tiếp các trường hợp tử vong do bệnh dại, trong đó có 3 trẻ nhỏ
Cảnh báo: Liên tiếp các trường hợp tử vong do bệnh dại, trong đó có 3 trẻ nhỏ
1 ngày trước
Khánh Hòa: Gia tăng bệnh thủy đậu ở phụ nữ mang thai
Khánh Hòa: Gia tăng bệnh thủy đậu ở phụ nữ mang thai
15 giờ trước
TIN NỔI BẬT SOHA

Vợ vua cà phê Đặng Lê Nguyên Vũ: “Tôi và các con sẽ luôn chờ anh ấy quay về, kể cả khi tay trắng…”
Vợ vua cà phê Đặng Lê Nguyên Vũ: “Tôi và các con sẽ luôn chờ anh ấy quay về, kể cả khi tay trắng…”
Câu chuyện tình khắc cốt ghi tâm từ thời gian khó lập nghiệp gặp biến cố vào những tháng ngày tưởng như ấm êm mọi bề. Trong những giọt nước mắt rơi, giữa những tờ tráp hầu tòa, vợ vua cafe Trung Nguyên mong chồng quay về mái ấm xưa, nối lại tình yêu dường như đã mất với mình và các con.

Phó chủ tịch Quảng Nam: "Nhìn những cây rừng ngã xuống, tôi cảm giác như máu mình đổ"
Phó chủ tịch Quảng Nam: "Nhìn những cây rừng ngã xuống, tôi cảm giác như máu mình đổ"
Dịch trang: EnglishEnglish DeutschDeutsch FrançaisFrançais EspañolEspañol ItalianoItaliano PortuguêsPortuguês
NorskNorsk NederlandsNederlands DanskDansk SuomiSuomi PolskiPolski ČeštinaČeština РусскийРусский
日本語日本語 한국어한국어 中文(简体)中文(简体) 中文(繁體)中文(繁體) MagyarMagyar TürkçeTürkçe
العربيةالعربية ไทยไทย LatinaLatina हिन्दीहिन्दी Bahasa IndonesiaBahasa Indonesia Bahasa MelayuBahasa Melayu
VIETBF Hybrid Community Content Hub

HOT NEWS 24h

HOT 3 Days

NEWS 3 Days

HOT 7 Days

NEWS 7 Days

HOME

Breaking News

VietOversea

World News

Business News

Car News

Computer News

Game News

USA News

Mobile News

Music News

Movies News

History

Thơ Ca

Sport News

Stranger Stories

Comedy Stories

Cooking Chat

Nice Pictures

Fashion

School

Travelling

Funny Videos

Canada Tin Hay

USA Tin Hay

VietBF Homepage Autoscroll

VietBF Video Autoscroll Portal

Video Classic Master

iPad News Portal

VietBF iPad Music Portal

Tin nóng nhất 50h qua

Phim Bộ Online

Phim Bộ



Romano
R11 Tuyệt Thế Thiên Hạ
Release: 03-30-2018
Reputation: 344669


Profile:
Join Date: May 2007
Posts: 140,452
Last Update: None Rating: None
Attached Thumbnails
Click image for larger version

Name:	v.jpg
Views:	0
Size:	51.8 KB
ID:	1196982  
Romano_is_offline
Thanks: 9
Thanked 6,621 Times in 5,566 Posts
Mentioned: 3 Post(s)
Tagged: 0 Thread(s)
Quoted: 38 Post(s)
Rep Power: 176
Romano Reputation Uy Tín Level 10Romano Reputation Uy Tín Level 10Romano Reputation Uy Tín Level 10Romano Reputation Uy Tín Level 10Romano Reputation Uy Tín Level 10Romano Reputation Uy Tín Level 10
Romano Reputation Uy Tín Level 10Romano Reputation Uy Tín Level 10Romano Reputation Uy Tín Level 10Romano Reputation Uy Tín Level 10Romano Reputation Uy Tín Level 10Romano Reputation Uy Tín Level 10Romano Reputation Uy Tín Level 10Romano Reputation Uy Tín Level 10Romano Reputation Uy Tín Level 10Romano Reputation Uy Tín Level 10Romano Reputation Uy Tín Level 10Romano Reputation Uy Tín Level 10Romano Reputation Uy Tín Level 10Romano Reputation Uy Tín Level 10Romano Reputation Uy Tín Level 10Romano Reputation Uy Tín Level 10Romano Reputation Uy Tín Level 10Romano Reputation Uy Tín Level 10
Dịch trang: EnglishEnglish DeutschDeutsch FrançaisFrançais EspañolEspañol ItalianoItaliano PortuguêsPortuguês
NorskNorsk NederlandsNederlands DanskDansk SuomiSuomi PolskiPolski ČeštinaČeština РусскийРусский
日本語日本語 한국어한국어 中文(简体)中文(简体) 中文(繁體)中文(繁體) MagyarMagyar TürkçeTürkçe
العربيةالعربية ไทยไทย LatinaLatina हिन्दीहिन्दी Bahasa IndonesiaBahasa Indonesia Bahasa MelayuBahasa Melayu
 
User Tag List

Thread Tools


 

iPad Videos Portal Autoscroll

VietBF Music Portal Autoscroll

iPad News Portal Autoscroll

VietBF Homepage Autoscroll

VietBF Video Autoscroll Portal

USA News Autoscroll Portall

VietBF WORLD Autoscroll Portal

Video Classic Master Page

Super Widescreen

iPad World Portal Autoscroll

iPad USA Portal Autoscroll

Phim Bộ Online
Lên đầu Xuống dưới Lên 3000px Xuống 3000px

Tin nóng nhất 24h qua

Tin nóng nhất 3 ngày qua

Tin nóng nhất 7 ngày qua

Tin nóng nhất 30 ngày qua

Albums

Total Videos Online

Tranh luận sôi nổi nhất 7 ngày qua

Tranh luận sôi nổi nhất 14 ngày qua

Tranh luận sôi nổi nhất 30 ngày qua

10.000 Tin mới nhất

Tin tức Hoa Kỳ

Tin tức Công nghệ
Lên đầu Xuống dưới Lên 3000px Xuống 3000px

Duo Series Movies Portal

Duo Music Portal

Phim Bộ

Tỷ Giá

Thời Tiết

Tin Nóng Nhất 50h

Super News

School Cooking Traveling Portal

Enter Portal

Series Shows and Movies Online

Home Classic Master Page

Donation Ủng hộ $3 cho VietBF
Lên đầu Xuống dưới Lên 3000px Xuống 3000px
Diễn Đàn Người Việt Hải Ngoại. Tự do ngôn luận, an toàn và uy tín. Vì một tương lai tươi đẹp cho các thế hệ Việt Nam hãy ghé thăm chúng tôi, hãy tâm sự với chúng tôi mỗi ngày, mỗi giờ và mỗi giây phút có thể. VietBF.Com Xin cám ơn các bạn, chúc tất cả các bạn vui vẻ và gặp nhiều may mắn.
Welcome to Vietnamese American Community, Vietnamese European, Canadian, Australian Forum, Vietnamese Overseas Forum. Freedom of speech, safety and prestige. For a beautiful future for Vietnamese generations, please visit us, talk to us every day, every hour and every moment possible. VietBF.Com Thank you all and good luck.

Lên đầu Xuống dưới Lên 3000px Xuống 3000px

All times are GMT. The time now is 22:42.
VietBF - Vietnamese Best Forum Copyright ©2005 - 2026
User Alert System provided by Advanced User Tagging (Pro) - vBulletin Mods & Addons Copyright © 2026 DragonByte Technologies Ltd.
Log Out Unregistered

Page generated in 0.10837 seconds with 15 queries