HOME-Au
HOME-Au
24h
24h
USA
USA
GOP
GOP
Phim Bộ
Phim Bộ
Videoauto
VIDEO-Au
Home Classic
Home Classic
Donation
Donation
News Book
News Book
News 50
News 50
worldautoscroll
WORLD-Au
Breaking
Breaking
 

Go Back   VietBF > World Box| Thế Giới > World News|Tin Thế Giới > World News |Tin Thế Giới 2006-2019


 
 
Thread Tools
  #1  
Old  Default Bàn chân kỳ lạ có 14 ngón của chàng trai này

Dị tật của một thanh niên Trung Quốc có tới 14 ngón chân đã sống trong nhiều thập kỷ chỉ vì cha mẹ anh này nghĩ rằng đó là điềm báo may mắn, nhưng lại khiến chàng trai bị mọi người xung quanh kỳ thị đến mức phải ngừng đi dép từ năm 10 tuổi.


Bệnh nhân 21 tuổi có tên “Ajun”, sống tại Quảng Đông, Trung Quốc cho biết bốn ngón chân phụ trên bàn chân trái đã khiến anh bị mọi người xung quanh kỳ thị đến mức anh này phải ngừng đi dép từ năm 10 tuổi.

Cận cảnh bàn chân 14 ngón của anh Ajun

Ajun nói với các bác sĩ rằng cha mẹ anh biết rõ về tình trạng của con mình ngay khi anh được sinh ra. Tuy nhiên, thay vì làm phẫu thuật cắt bỏ ngón chân thừa cho con, cha mẹ anh lại tin lời khuyên của một thầy bói rằng ngón chân phụ của anh là 'một món quà từ thiên đàng' không nên cắt bỏ.

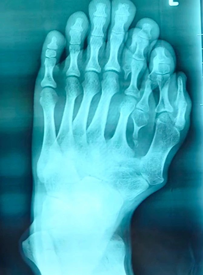
Bàn chân được chụp X-quang

Ajun cho hay: “Bố mẹ tôi rất mê tín, vì vậy họ đã không điều trị cho tôi. Họ nghĩ rằng, nếu các ngón chân thực sự trông quá tệ, tôi chỉ cần giấu chúng đi bằng cách đeo giày là xong”.

Ajun đã tìm đến bệnh viện phẫu thuật Shunde Heping, thành phố Phật Sơn với hi vọng chữa lành đôi chân của mình. Tại đây anh đã gặp bác sĩ Wu Xiang.

Chia sẻ về tình trạng chân của Ajun, bác sĩ Wu Xiang cho biết: “Rất hiếm khi thấy một dị tật nghiêm trọng như vậy không được điều trị ở một bệnh nhân 21 tuổi.”

Bác sĩ Wu nói thêm: “Các bệnh viện khác sẽ cắt bỏ những ngón chân thừa phía ngoài cùng của anh ấy. Đó là giải pháp đơn giản nhất, nhưng không phải là tốt nhất”.

“Ngón chân trông tự nhiên nhất của anh ấy là ngón nằm ở vị trí ngoài cùng, vì vậy chúng tôi quyết định di chuyển và thay thế ngón thứ năm của anh ấy để tạo ra một ngón chân cái mới”, bác sĩ Wu nói thêm.

Được biết bác sĩ Wu và nhóm của ông đã thực hiện ca phẫu thuật kéo dài 9 giờ đồng hồ để tạo ra bàn chân trái mới cho anh Ajun.

Cuộc phẩu thuật cắt bỏ những ngón chân thừa kéo dài 9 giờ đồng hồ

Chia sẻ về cảm xúc sau khi trải qua cuộc đại phẫu, Ajun tiết lộ anh hoàn toàn hài lòng với bàn chân hiện tại của mình.

Chàng trai trẻ nói: “Tôi chưa từng có bạn gái vì tôi không hoàn hảo. Tôi chưa bao giờ nghĩ rằng tôi sẽ tìm được người muốn ở bên tôi. Bây giờ tôi cảm thấy rất tuyệt. Tôi rất biết ơn bác sĩ Wu Xiang”.

Bàn chân sau khi được phẫu thuật

“Tôi nghĩ rằng bàn chân của tôi giờ đây rất hoàn hảo. Bác sĩ Wu đã cho tôi xem hình ảnh bàn chân của tôi sau khi phẫu thuật, và tôi rất hạnh phúc”.

Hiện Ajun đang trong quá trình hồi phục tại bệnh viện và dự kiến ​​sẽ được xuất viện trong vài tuần tới.
VIETBF Diễn Đàn Hay Nhất Của Người Việt Nam

HOT NEWS 24h

HOT 3 Days

NEWS 3 Days

HOT 7 Days

NEWS 7 Days

HOME

Breaking News

VietOversea

World News

Business News

Car News

Computer News

Game News

USA News

Mobile News

Music News

Movies News

History

Thơ Ca

Sport News

Stranger Stories

Comedy Stories

Cooking Chat

Nice Pictures

Fashion

School

Travelling

Funny Videos

Canada Tin Hay

USA Tin Hay

VietBF Homepage Autoscroll

VietBF Video Autoscroll Portal

Home Classic

Home Classic Master Page



vuitoichat
R11 Tuyệt Thế Thiên Hạ
Release: 11-01-2019
Reputation: 370350


Profile:
Join Date: Jan 2008
Posts: 148,787
Last Update: None Rating: None
Attached Thumbnails
Click image for larger version

Name:	1.jpg
Views:	0
Size:	51.5 KB
ID:	1477774   Click image for larger version

Name:	2.jpg
Views:	0
Size:	84.6 KB
ID:	1477775   Click image for larger version

Name:	3.jpg
Views:	0
Size:	65.8 KB
ID:	1477776  

Click image for larger version

Name:	4.jpg
Views:	0
Size:	34.1 KB
ID:	1477777  
vuitoichat_is_offline
Thanks: 11
Thanked 14,089 Times in 11,251 Posts
Mentioned: 3 Post(s)
Tagged: 1 Thread(s)
Quoted: 44 Post(s)
Rep Power: 184
vuitoichat Reputation Uy Tín Level 10vuitoichat Reputation Uy Tín Level 10vuitoichat Reputation Uy Tín Level 10vuitoichat Reputation Uy Tín Level 10vuitoichat Reputation Uy Tín Level 10
vuitoichat Reputation Uy Tín Level 10vuitoichat Reputation Uy Tín Level 10vuitoichat Reputation Uy Tín Level 10vuitoichat Reputation Uy Tín Level 10
 
User Tag List

Thread Tools

Từ Geneva đến Kyiv: Kế hoạch 28 điểm của Trump và thế lưỡng nan của Ukraine Nước Nga trên ván bài cuối: biết không thể thắng nhưng vẫn lao vào cuộc chiến đến cùng Tiền thuế đã đi đâu, khi dân miền Trung đói rét trên nóc nhà chờ chết?
Nellie Bly – 72 ngày vòng quanh thế giới và cú đòn vào mọi định kiến về phụ nữ “Góa phụ đen” ở nước Nga: khi cái chết của người lính trở thành một mô hình kinh doanh Lá thư cuối của Kurt Vonnegut: hãy sáng tạo chỉ để tâm hồn mình lớn lên
Trung Quốc vỡ trận công nghiệp: khi “Made in China” bước vào thập niên suy thoái mới Bốn ngày trên nóc nhà: khi người dân miền Trung thực sự bị bỏ rơi giữa lũ dữ Không một lời cảnh báo: Miền Trung chết chìm trong lũ thủy điện “đúng quy trình”
Biệt kích Chung Tử Ngọc – Từ ngọn đồi lửa đạn đến sáu năm lao tù cộng sản Một mạng người đáng giá bao nhiêu – từ vụ tai nạn ở California đến những xác người trong lũ Việt Nam Mercury – đoàn tàu Art Deco biến tốc độ thành cái đẹp hữu hình
Hoa Kỳ-Ukraine đạt sự đồng thuận cho kế hoạch hòa bình với 19 điểm mới Tấm chăn thơ rách nát giữa địa ngục cộng sản – từ hố xí tập thể đến bến bờ tị nạn Morgan Geyser trốn khỏi giám sát: Bóng ma Slender Man trở lại sau vụ đâm bạn 19 nhát chấn động nước Mỹ
New Delhi ngạt thở: Khi Pháo đài Đỏ hóa đen và người dân chỉ còn ước được… hít thở Red Bull – từ lon nước vàng ở Bangkok đến đế chế nội dung làm thay đổi thế giới Kế hoạch 28 điểm của Trump: Hoà bình cho Ukraine hay bản hợp đồng nhượng bộ cho Nga?

 
Lên đầu Xuống dưới Lên 3000px Xuống 3000px

iPad Videos Portal Autoscroll

VietBF Music Portal Autoscroll

iPad News Portal Autoscroll

VietBF Homepage Autoscroll

VietBF Video Autoscroll Portal

USA News Autoscroll Portall

VietBF WORLD Autoscroll Portal

Home Classic

Super Widescreen

iPad World Portal Autoscroll

iPad USA Portal Autoscroll

Phim Bộ Online

Tin nóng nhất 24h qua

Tin nóng nhất 3 ngày qua

Tin nóng nhất 7 ngày qua

Tin nóng nhất 30 ngày qua

Albums

Total Videos Online
Lên đầu Xuống dưới Lên 3000px Xuống 3000px

Tranh luận sôi nổi nhất 7 ngày qua

Tranh luận sôi nổi nhất 14 ngày qua

Tranh luận sôi nổi nhất 30 ngày qua

10.000 Tin mới nhất

Tin tức Hoa Kỳ

Tin tức Công nghệ
Lên đầu Xuống dưới Lên 3000px Xuống 3000px

Super News

School Cooking Traveling Portal

Enter Portal

Series Shows and Movies Online

Home Classic Master Page

Donation Ủng hộ $3 cho VietBF
Lên đầu Xuống dưới Lên 3000px Xuống 3000px
Diễn Đàn Người Việt Hải Ngoại. Tự do ngôn luận, an toàn và uy tín. Vì một tương lai tươi đẹp cho các thế hệ Việt Nam hãy ghé thăm chúng tôi, hãy tâm sự với chúng tôi mỗi ngày, mỗi giờ và mỗi giây phút có thể. VietBF.Com Xin cám ơn các bạn, chúc tất cả các bạn vui vẻ và gặp nhiều may mắn.
Welcome to Vietnamese American Community, Vietnamese European, Canadian, Australian Forum, Vietnamese Overseas Forum. Freedom of speech, safety and prestige. For a beautiful future for Vietnamese generations, please visit us, talk to us every day, every hour and every moment possible. VietBF.Com Thank you all and good luck.

Lên đầu Xuống dưới Lên 3000px Xuống 3000px

All times are GMT. The time now is 01:49.
VietBF - Vietnamese Best Forum Copyright ©2005 - 2025
User Alert System provided by Advanced User Tagging (Pro) - vBulletin Mods & Addons Copyright © 2025 DragonByte Technologies Ltd.
Log Out Unregistered

Page generated in 0.10881 seconds with 15 queries