HOME-Au
HOME-Au
24h
24h
USA
USA
GOP
GOP
Phim Bộ
Phim Bộ
Videoauto
VIDEO-Au
Home Classic
Home Classic
Donation
Donation
News Book
News Book
News 50
News 50
worldautoscroll
WORLD-Au
Breaking
Breaking
 

Go Back   VietBF > World Box| Thế Giới > Vietnam News | Tin Việt Nam > 2005-2023 Vietnam News


 
 
Thread Tools
  #1  
Old  Default Cô gái ở TP.HCM: Mắc căn bệnh hiếm đối diện nguy cơ liệt 2 chân
Căn bệnh "hiểm" khiến cô gái 23 tuổi bất ngờ đối diện nguy cơ liệt 2 chân. Một căn bệnh "hiểm" bẩm sinh mà cô gái ở TPHCM mắc phải thường tiến triển âm thầm, không biểu hiện triệu chứng và dẫn đến liệt đột ngột khi khối dị dạng vỡ gây xuất huyết, phù tủy.
Đó là trường hợp của chị T.T.T.S. (23 tuổi, ngụ huyện Hóc Môn, TPHCM), vào Bệnh viện trong tình trạng đột ngột yếu 2 chân kèm đau lưng nhiều. Ngay sau khi tiếp nhận các bác sĩ nhanh chóng thăm khám và chụp MRI cột sống ngực, kết quả phát hiện dị dạng mạch máu tủy vỡ gây xuất huyết và phù tủy.

Khai thác bệnh sử, chị S. cho biết 5 năm trước đã thỉnh thoảng bị đau và tê sống lưng. Mỗi lần bị đau, chị chỉ ngồi một chỗ mà không đi lại được. Sau đó, có lần chị đột nhiên đau lưng và yếu chân rồi té ngã khi đang đứng tập thể dục, nhưng cứ nghĩ do đứng lâu nên dễ mỏi. Đến trước ngày nhập viện khi đang đi làm, bệnh nhân đột ngột yếu 2 chân và lại té ngã nên được đưa đi cấp cứu.


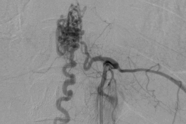
Ảnh chụp cho thấy khối dị dạng mạch máu tủy sống của nữ bệnh nhân (Ảnh: BVCC).

Bác sĩ Phạm Định Chương, khoa Nội Thần kinh của bệnh viện cho biết, bệnh nhân đã mắc căn bệnh dị dạng mạch máu tủy. Đây là một bệnh lý hiếm gặp, người bệnh có nguy cơ vỡ dị dạng gây xuất huyết tủy, phù tủy do tăng áp lực tĩnh mạch. Cả hai biến chứng này sẽ dẫn đến yếu liệt hai chi dưới, rối loạn tiêu tiểu, thậm chí nhiều trường hợp tàn phế phải nằm liệt giường. Chiến lược điều trị cho bệnh nhân là loại bỏ được khối dị dạng nhưng phải bảo tồn các động mạch nuôi tủy, đặt ra nhiều thử thách cho ekip can thiệp.

Sau can thiệp, cô gái thoát nguy cơ liệt 2 chân (Ảnh: BVCC).

Người bệnh được điều trị bằng kỹ thuật đưa ống thông siêu nhỏ qua động mạch nuôi gập góc, ngoằn ngòeo để tiếp cận ổ dị dạng và bơm keo sinh học để tắc ổ dị dạng.

Sau khoảng 3 tiếng can thiệp, ekip loại bỏ được khối dị dạng, bảo tồn được các chức năng thần kinh, đặc biệt là chức năng vận động. Hậu can thiệp, chị S. có thể tự đứng và đi lại nhẹ nhàng, xóa tan nỗi lo bị liệt. Sau 5 ngày điều trị, người bệnh được xuất viện và tiếp tục tập vật lý trị liệu phục hồi chức năng tại nhà.

Theo bác sĩ Chương, dị dạng mạch máu tủy thường gặp hơn ở đối tượng bệnh nhân trẻ tuổi và có thể âm thầm tiến triển. Bệnh không biểu hiện triệu chứng trong một thời gian dài cho đến khi khối dị dạng vỡ. Vì không thể phòng ngừa, việc phát hiện và điều trị sớm đóng vai trò quan trọng.

Bác sĩ khuyên người dân khi có các biểu hiện như đau vùng cột sống đột ngột mà không liên quan tới chấn thương, kèm tê yếu các chi, người bệnh cần sớm nhập viện để các bác sĩ thăm khám tìm nguyên nhân điều trị sớm, tránh các di chứng về sau.

VietBF@ sưu tập
VIETBF Diễn Đàn Hay Nhất Của Người Việt Nam

HOT NEWS 24h

HOT 3 Days

NEWS 3 Days

HOT 7 Days

NEWS 7 Days

HOME

Breaking News

VietOversea

World News

Business News

Car News

Computer News

Game News

USA News

Mobile News

Music News

Movies News

History

Thơ Ca

Sport News

Stranger Stories

Comedy Stories

Cooking Chat

Nice Pictures

Fashion

School

Travelling

Funny Videos

Canada Tin Hay

USA Tin Hay

VietBF Homepage Autoscroll

VietBF Video Autoscroll Portal

Home Classic

Home Classic Master Page


pizza
R11 Tuyệt Thế Thiên Hạ
Release: 02-27-2022
Reputation: 237134


Profile:
Join Date: Sep 2014
Posts: 106,126
Last Update: None Rating: None
Attached Thumbnails
Click image for larger version

Name:	231.jpg
Views:	0
Size:	30.4 KB
ID:	2013675   Click image for larger version

Name:	232.jpg
Views:	0
Size:	96.7 KB
ID:	2013676  
pizza_is_offline
Thanks: 7
Thanked 8,096 Times in 7,206 Posts
Mentioned: 6 Post(s)
Tagged: 0 Thread(s)
Quoted: 41 Post(s)
Rep Power: 129
pizza Reputation Uy Tín Level 10pizza Reputation Uy Tín Level 10pizza Reputation Uy Tín Level 10pizza Reputation Uy Tín Level 10pizza Reputation Uy Tín Level 10pizza Reputation Uy Tín Level 10pizza Reputation Uy Tín Level 10
pizza Reputation Uy Tín Level 10pizza Reputation Uy Tín Level 10pizza Reputation Uy Tín Level 10pizza Reputation Uy Tín Level 10pizza Reputation Uy Tín Level 10pizza Reputation Uy Tín Level 10pizza Reputation Uy Tín Level 10pizza Reputation Uy Tín Level 10pizza Reputation Uy Tín Level 10pizza Reputation Uy Tín Level 10pizza Reputation Uy Tín Level 10pizza Reputation Uy Tín Level 10pizza Reputation Uy Tín Level 10pizza Reputation Uy Tín Level 10pizza Reputation Uy Tín Level 10pizza Reputation Uy Tín Level 10pizza Reputation Uy Tín Level 10pizza Reputation Uy Tín Level 10pizza Reputation Uy Tín Level 10pizza Reputation Uy Tín Level 10pizza Reputation Uy Tín Level 10pizza Reputation Uy Tín Level 10
 
User Tag List

Thread Tools


 
Lên đầu Xuống dưới Lên 3000px Xuống 3000px

iPad Videos Portal Autoscroll

VietBF Music Portal Autoscroll

iPad News Portal Autoscroll

VietBF Homepage Autoscroll

VietBF Video Autoscroll Portal

USA News Autoscroll Portall

VietBF WORLD Autoscroll Portal

Home Classic

Super Widescreen

iPad World Portal Autoscroll

iPad USA Portal Autoscroll

Phim Bộ Online

Tin nóng nhất 24h qua

Tin nóng nhất 3 ngày qua

Tin nóng nhất 7 ngày qua

Tin nóng nhất 30 ngày qua

Albums

Total Videos Online
Lên đầu Xuống dưới Lên 3000px Xuống 3000px

Tranh luận sôi nổi nhất 7 ngày qua

Tranh luận sôi nổi nhất 14 ngày qua

Tranh luận sôi nổi nhất 30 ngày qua

10.000 Tin mới nhất

Tin tức Hoa Kỳ

Tin tức Công nghệ
Lên đầu Xuống dưới Lên 3000px Xuống 3000px

Super News

School Cooking Traveling Portal

Enter Portal

Series Shows and Movies Online

Home Classic Master Page

Donation Ủng hộ $3 cho VietBF
Lên đầu Xuống dưới Lên 3000px Xuống 3000px
Diễn Đàn Người Việt Hải Ngoại. Tự do ngôn luận, an toàn và uy tín. Vì một tương lai tươi đẹp cho các thế hệ Việt Nam hãy ghé thăm chúng tôi, hãy tâm sự với chúng tôi mỗi ngày, mỗi giờ và mỗi giây phút có thể. VietBF.Com Xin cám ơn các bạn, chúc tất cả các bạn vui vẻ và gặp nhiều may mắn.
Welcome to Vietnamese American Community, Vietnamese European, Canadian, Australian Forum, Vietnamese Overseas Forum. Freedom of speech, safety and prestige. For a beautiful future for Vietnamese generations, please visit us, talk to us every day, every hour and every moment possible. VietBF.Com Thank you all and good luck.

Lên đầu Xuống dưới Lên 3000px Xuống 3000px

All times are GMT. The time now is 02:22.
VietBF - Vietnamese Best Forum Copyright ©2005 - 2025
User Alert System provided by Advanced User Tagging (Pro) - vBulletin Mods & Addons Copyright © 2025 DragonByte Technologies Ltd.
Log Out Unregistered

Page generated in 0.12225 seconds with 15 queries