HOME-Au
HOME-Au
24h
24h
USA
USA
GOP
GOP
Phim Bộ
Phim Bộ
Videoauto
VIDEO-Au
Donation
Donation
News Book
News Book
News 50
News 50
worldautoscroll
WORLD-Au
Breaking
Breaking
 

Go Back   VietBF > Other > School | Kiến thức > School | Kiến thức 2006-2019


 
Thread Tools
 
 
  #1  
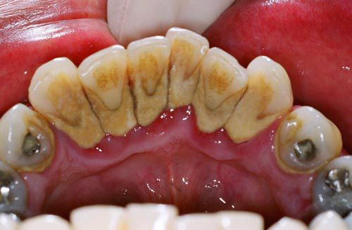
Old  Default Lấy sạch cao răng chỉ trong 2 phút với nguyên liệu chưa đến 20 nghìn đồng
Nhiều người có thói quen đến nha sĩ để lấy cao răng định kỳ. Thói quen này rất tốt, nhưng không cần thiết vì nó khá tốn kém. Bạn có thể bỏ ra chưa đến 20 nghìn đồng và 2 phút thực hiện để lấy sạch cao răng mà không cần đến nha sĩ.

Làm trắng răng ngay tại nhà sẽ giúp bạn tiết kiệm được rất nhiều thời gian, công sức và tiền bạc, quan trọng hơn là không bị nha sĩ “soi mói” gây cảm giác e ngại.

Tuy nhiên, không phải cứ thực hiện đầy đủ việc đánh răng 2 lần 1 ngày là hàm răng sẽ trắng đẹp như ý. Đây chỉ là yếu tố quan trọng để ngăn vi khuẩn hình thành, làm sạch răng đơn thuần, thức ăn thừa vẫn có thể bám lại ở chân răng, kẽ nướu, những nơi mà bàn chải đánh răng không tiếp xúc được, lâu ngày sẽ tạo nên lớp vôi cứng (cao răng). Do đó, bạn nên kết hợp thêm việc súc miệng với thứ nước dễ làm như thế này để có được nụ cười tự tin và rạng ngời nhất nhé!


- Nguyên liệu cần chuẩn bị:

+ Nước soda không đường

+ Muối trắng

+ Chanh


- Cách thực hiện:

+ Nước soda không đường bạn đổ ra cốc khoảng 250ml rồi thêm vào 1/2 thìa muối + nước cốt của 1/2 quả chanh, khuấy đều.


+ Đánh răng với kem đánh răng như thông thường. Bạn có thể dùng mặt trong của vỏ chanh chà mạnh lên răng cả mặt trong và mặt ngoài cũng giúp cải thiện màu sắc ố vàng một cách hiệu quả.

+ Sau đó, bạn súc miệng thật kĩ với nước soda đã pha 2, 3 lần.

+ Lần cuối cùng, bạn ngậm lại khoảng 1 – 2 phút, đồng thời dùng lưỡi đẩy đến chân nướu để hỗ trợ đánh bật hết mảng cao răng cứng đầu.

+ Thực hiện vào các buổi tối hoặc ít 3 lần 1 tuần. Để tiết kiệm tiền và không bị lãng phí soda, bạn nên mua chai có nắp thay vì dùng lon để bảo quản được cho ngày hôm sau.


- Công dụng:

+ Nước soda không đường nên không gây sâu răng, các bọt khí có khả năng làm tan mảng bám, cao răng rất hiệu quả.

+ Chanh chứa lượng vitamin C dồi dào, hạn chế chảy máu chân răng, viêm nướu và tăng cường làm trắng răng nhanh chóng hơn.

+ Muối có đặc tính kháng khuẩn, chống viêm cao, khi kết hợp với 2 nguyên liệu trên sẽ tạo ra nước súc miệng xuất sắc.

VietBF © Sưu Tầm
Dịch trang: EnglishEnglish DeutschDeutsch FrançaisFrançais EspañolEspañol ItalianoItaliano PortuguêsPortuguês
NorskNorsk NederlandsNederlands DanskDansk SuomiSuomi PolskiPolski ČeštinaČeština РусскийРусский
日本語日本語 한국어한국어 中文(简体)中文(简体) 中文(繁體)中文(繁體) MagyarMagyar TürkçeTürkçe
العربيةالعربية ไทยไทย LatinaLatina हिन्दीहिन्दी Bahasa IndonesiaBahasa Indonesia Bahasa MelayuBahasa Melayu
VIETBF Hybrid Community Content Hub

HOT NEWS 24h

HOT 3 Days

NEWS 3 Days

HOT 7 Days

NEWS 7 Days

HOME

Breaking News

VietOversea

World News

Business News

Car News

Computer News

Game News

USA News

Mobile News

Music News

Movies News

History

Thơ Ca

Sport News

Stranger Stories

Comedy Stories

Cooking Chat

Nice Pictures

Fashion

School

Travelling

Funny Videos

Canada Tin Hay

USA Tin Hay

VietBF Homepage Autoscroll

VietBF Video Autoscroll Portal

Video Classic Master

iPad News Portal

VietBF iPad Music Portal

Tin nóng nhất 50h qua

Phim Bộ Online

iMusic Pro Max



miro1510
R9 Tuyệt Đỉnh Tôn Sư
Release: 02-16-2017
Reputation: 13837


Profile:
Join Date: Oct 2014
Posts: 47,191
Last Update: None Rating: None
Attached Thumbnails
Click image for larger version

Name:	161.1.jpg
Views:	0
Size:	26.7 KB
ID:	998349  
miro1510_is_offline
Thanks: 9
Thanked 2,096 Times in 1,935 Posts
Mentioned: 3 Post(s)
Tagged: 0 Thread(s)
Quoted: 8 Post(s)
Rep Power: 59
miro1510 Reputation Uy Tín Level 6
miro1510 Reputation Uy Tín Level 6miro1510 Reputation Uy Tín Level 6miro1510 Reputation Uy Tín Level 6miro1510 Reputation Uy Tín Level 6miro1510 Reputation Uy Tín Level 6miro1510 Reputation Uy Tín Level 6miro1510 Reputation Uy Tín Level 6miro1510 Reputation Uy Tín Level 6miro1510 Reputation Uy Tín Level 6miro1510 Reputation Uy Tín Level 6miro1510 Reputation Uy Tín Level 6miro1510 Reputation Uy Tín Level 6miro1510 Reputation Uy Tín Level 6miro1510 Reputation Uy Tín Level 6miro1510 Reputation Uy Tín Level 6miro1510 Reputation Uy Tín Level 6
The Following User Says Thank You to miro1510 For This Useful Post:
minhhanhnguyen (02-17-2017)
Dịch trang: EnglishEnglish DeutschDeutsch FrançaisFrançais EspañolEspañol ItalianoItaliano PortuguêsPortuguês
NorskNorsk NederlandsNederlands DanskDansk SuomiSuomi PolskiPolski ČeštinaČeština РусскийРусский
日本語日本語 한국어한국어 中文(简体)中文(简体) 中文(繁體)中文(繁體) MagyarMagyar TürkçeTürkçe
العربيةالعربية ไทยไทย LatinaLatina हिन्दीहिन्दी Bahasa IndonesiaBahasa Indonesia Bahasa MelayuBahasa Melayu
Old 02-17-2017   #2
corumstation
R7 Tuyệt Đỉnh Cao Thủ
 
Join Date: Jun 2007
Posts: 5,551
Thanks: 0
Thanked 5,833 Times in 1,025 Posts
Mentioned: 4 Post(s)
Tagged: 0 Thread(s)
Quoted: 286 Post(s)
Rep Power: 25
corumstation Reputation Uy Tín Level 7corumstation Reputation Uy Tín Level 7
corumstation Reputation Uy Tín Level 7corumstation Reputation Uy Tín Level 7corumstation Reputation Uy Tín Level 7corumstation Reputation Uy Tín Level 7corumstation Reputation Uy Tín Level 7corumstation Reputation Uy Tín Level 7corumstation Reputation Uy Tín Level 7corumstation Reputation Uy Tín Level 7corumstation Reputation Uy Tín Level 7corumstation Reputation Uy Tín Level 7corumstation Reputation Uy Tín Level 7corumstation Reputation Uy Tín Level 7corumstation Reputation Uy Tín Level 7
Default

The recipe --> CO2 dissolved H2O + C3H5O(COO)33− + NaCl ==> stupidity

1) Yes save some money and loose your teeth

2) It's a great plan for denture
corumstation_is_offline  
 
User Tag List

Thread Tools

Nước Nga và Những Trung Tâm Thương Mại "Ma" Cánh Chim Vàng Spirit Airlines Ngừng Bay: Sự Sụp Đổ Của Một Tượng Đài Giá Rẻ Và Nỗi Đau Sau Những Chuyến Bay Cuối Cùng Cánh Chim Vàng Biến Mất Khỏi Bầu Trời: Spirit Airlines Phá Sản Và Dấu Chấm Hết Cho Một Kỷ Nguyên Giá Rẻ
Những chuyện hài hước nhất hôm nay +324 videos Sóng Dậy Hormuz": Mỹ Thành Lập Liên Minh Toàn Cầu "Giải Cứu" Huyết Mạch Năng Lượng Thế Giới "Tiền Vào Nhà Khó Như Gió Vào Nhà Trống": Người Mỹ Điêu Đứng Vì Giá Xăng Và Nỗi Lo Chiến Tranh Iran
Sóng Gió Nghị Trường": Pete Hegseth Đối Đầu Gay Gắt Với Quốc Hội Về Cuộc Chiến Iran Và Ngân Sách Quốc Phòng Kỷ Lục "Sống Trong Sợ Hãi": Hàng Trăm Ngàn "Dreamers" Rơi Vào Cảnh Khốn Cùng Vì Sự Chậm Trễ Gia Hạn DACA Sóng Gió Thương Trường: Tổng Thống Donald Trump "Khai Hỏa" Tăng Thuế Xe Châu Âu Lên 25% Vào Tuần Tới
Triều đại 4.000 tỷ đô thay tên đổi chủ: Tim Cook rời ghế CEO Apple, "Kỹ sư trưởng" John Ternus chính thức lộ diện Iran chưa thấy quan tài chưa đổ lệ, lần này Mỹ sẽ đánh cho Ma Giáo Ba Tư không còn đất chôn Chiếc áo phao Titanic lập kỷ lục bán giá 904.500 USD
Canh bạc nghìn tỷ đô tại Hormuz Những chuyện hài hôm nay +videos Mỹ – Iran giằng co sinh tử
Thánh Rắc Muối phục vụ cho các nhà độc tài nguy cơ sập tiệm Kiều hối về VN giảm kỷ lục, nguy cơ xuất hiện người chết đói đầy đường Mỹ - Iran bên bờ vực "vỡ trận": Trump ra tối hậu thư, đại lộ Hormuz lại nghẽn lối!
Cuba “quay về quá khứ”: Khi xe ngựa thay thế ô tô giữa cơn khát xăng dầu Vĩnh Biệt Trưởng Sato Trần Xuân Nhật – Một Đời Hướng Đạo, Một Kiếp Nhân Sinh Một Buổi Sáng Ở Úc: Khi Tuổi Già Được Nâng Niu – Nghĩ Về Phận Người Nơi Quê Nhà
Mỹ điều tàu sân bay số 77 đánh Iran Một đời vì cộng đồng: Luật Sư Nguyễn Xuân Nghĩa đột ngột qua đời, để lại niềm tiếc thương vô hạn Nguyên nhân Việt Cộng bố ráp cửa hàng vàng Bảo Tín Minh Châu
Mỹ tiết lộ gây sốc toàn cầu : Tân Giáo Chủ Iran là một "Đông Phương Bất Bại" mới Trump đổi giọng phút chót: vừa mở cửa đàm phán, vừa dọa leo thang – Iran đứng trước ngã rẽ sinh tử Tướng Tư lệnh Hải quân Iran phòng thủ Hormuz bị giết chết, Iran binh bại như núi đổ
Tiên đoán chiến sự Mỹ – Israel vs Iran sẽ đi về đâu? 4 kịch bản chính Vì sao Mỹ sản xuất dầu nhiều nhất thế giới nhưng chiến tranh với Iran vẫn làm giá xăng ở Mỹ tăng? Cập nhật thông tin mới nhất: Iran doạ cứ tàu Mỹ là bắn, tàu Trung Cộng, Việt Cộng, Hàn Cộng ... cho qua
Cập nhật những thông tin mới nhất: Mỹ bắt đầu “giải cứu” công dân rời Trung Đông ... Cập nhật những thông tin mới nhất: Mojtaba Khamenei – người con bí ẩn của lãnh tụ tối cao Iran và khả năng kế vị quyền lực tối thượng Những thông tin mới nhất: Tehran rung chuyển, hơn 1.000 người chết, eo biển Hormuz tắc nghẽn
Cập nhật tình hình mới nhất: Trung Đông “rung chuyển” sáng 4/3/2026: rocket từ Lebanon, mưa tên lửa – drone, và eo biển Hormuz gần như “tắt thở” Những thông tin mới nhất về Chiến dịch đánh Iran Tình hình mới nhất: Chiến dịch tại Trung Đông

 

iPad Videos Portal Autoscroll

VietBF Music Portal Autoscroll

iPad News Portal Autoscroll

VietBF Homepage Autoscroll

VietBF Video Autoscroll Portal

USA News Autoscroll Portall

VietBF WORLD Autoscroll Portal

Video Classic Master Page

Super Widescreen

iPad World Portal Autoscroll

iPad USA Portal Autoscroll

Phim Bộ Online
Lên đầu Xuống dưới Lên 3000px Xuống 3000px

Tin nóng nhất 24h qua

Tin nóng nhất 3 ngày qua

Tin nóng nhất 7 ngày qua

Tin nóng nhất 30 ngày qua

Albums

Total Videos Online

Tranh luận sôi nổi nhất 7 ngày qua

Tranh luận sôi nổi nhất 14 ngày qua

Tranh luận sôi nổi nhất 30 ngày qua

10.000 Tin mới nhất

Tin tức Hoa Kỳ

Tin tức Công nghệ
Lên đầu Xuống dưới Lên 3000px Xuống 3000px

Duo Series Movies Portal

Duo Music Portal

Phim Bộ

Tỷ Giá

Thời Tiết

Tin Nóng Nhất 50h

Super News

School Cooking Traveling Portal

Enter Portal

Series Shows and Movies Online

Home Classic Master Page

Donation Ủng hộ $3 cho VietBF
Lên đầu Xuống dưới Lên 3000px Xuống 3000px
Diễn Đàn Người Việt Hải Ngoại. Tự do ngôn luận, an toàn và uy tín. Vì một tương lai tươi đẹp cho các thế hệ Việt Nam hãy ghé thăm chúng tôi, hãy tâm sự với chúng tôi mỗi ngày, mỗi giờ và mỗi giây phút có thể. VietBF.Com Xin cám ơn các bạn, chúc tất cả các bạn vui vẻ và gặp nhiều may mắn.
Welcome to Vietnamese American Community, Vietnamese European, Canadian, Australian Forum, Vietnamese Overseas Forum. Freedom of speech, safety and prestige. For a beautiful future for Vietnamese generations, please visit us, talk to us every day, every hour and every moment possible. VietBF.Com Thank you all and good luck.

Lên đầu Xuống dưới Lên 3000px Xuống 3000px

All times are GMT. The time now is 23:37.
VietBF - Vietnamese Best Forum Copyright ©2005 - 2026
User Alert System provided by Advanced User Tagging (Pro) - vBulletin Mods & Addons Copyright © 2026 DragonByte Technologies Ltd.
Log Out Unregistered

Page generated in 0.13310 seconds with 14 queries