HOME-Au
HOME-Au
24h
24h
USA
USA
GOP
GOP
Phim Bộ
Phim Bộ
Videoauto
VIDEO-Au
Home Classic
Home Classic
Donation
Donation
News Book
News Book
News 50
News 50
worldautoscroll
WORLD-Au
Breaking
Breaking
 

Go Back   VietBF > Other News|Tin Khác > School | Kiến thức > School | Kiến thức 2006-2019


 
 
Thread Tools
  #1  
Old  Default Phát hiện bệnh mất trí nhớ bằng mùi lạ sau
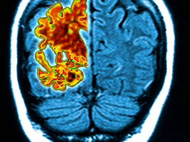
Bệnh mất trí nhớ không chỉ làm khổ người bệnh mà những người thân của họ hụt hẫng và khổ sở khi một ngày biết rằng họ bị mất trí nhớ. Thế nhưng nếu biết sớm thì vấn đề giải quyết sẽ không còn là quá khó. Một bài kiểm tra ngửi mùi đơn giản có thể giúp dự đoán chính xác bệnh mất trí nhớ trong 5 năm sau.


Để tăng mức độ khó, các nhà nghiên cứu cho người tham gia ngửi 5 luôn mùi chẳng hạn như mùi của cây bạc hà, mùi trái cam, mùi hoa hồng và mùi của da. Ảnh chụp màn hình Mirror

Một bài kiểm tra Ngửi mùi đơn giản có thể giúp dự đoán chính xác bệnh mất trí nhớ trong 5 năm sau. Bài kiểm tra này đã được các nhà nghiên cứu ở Mỹ thử nghiệm trên 3.000 người ở độ tuổi 57 đến 85.


Các nhà nghiên cứu đã sử dụng que “ngửi”. Mỗi que là một mùi và cho những người tham gia nghiên cứu ngửi. Họ được ngửi liên tục bốn mùi và sau đó chọn ra mùi trong bốn mùi này theo yêu cầu của nhà nghiên cứu hoặc yêu cầu nói tên mùi họ ngửi.
Ngoài ra, khó hơn các nhà nghiên cứu cho họ ngửi luôn 5 mùi cùng một lúc, chẳng hạn như mùi của cây bạc hà, mùi trái cam, mùi hoa hồng và mùi của da.
Theo Mirror, kết quả cho thấy rằng những người nào không thể xác định được một hay hai mùi trên “que thử” là sẽ bị bệnh. Ban đầu, các nhà nghiên cứu phát hiện 1% trong 3.000 người không thể xác định được bất kì mùi nào; 2% có thể nêu rõ chỉ một mùi; và 5% không thể xác định được hai mùi. Số còn lại ngửi bình thường và xác định được bốn hoặc năm mùi.
Trong suốt 5 năm tiếp theo, họ thấy được 80% trong số những người không thể xác định bất kỳ mùi nào, hoặc một hoặc hai mùi đã bị bệnh mất trí nhớ.

Giáo sư Jayant Pinto ở Đại học Chicago cho biết kết quả này cho thấy khứu giác thì có mối liên hệ rất gần với chức năng não.
“Chúng tôi nghĩ khả năng nhận biết mùi ngửi có thể là một dấu hiệu ban đầu quan trọng cho biết được nguy cơ bị mất trí. Chúng ta cần hiểu cơ chế cơ bản để chúng ta có thể hiểu rõ được bệnh có hại cho mô thần kinh này và hy vọng phát triển được phương pháp điều trị mới cũng như những cách can thiệp dự phòng”, giáo sư Pinto cho biết thêm.
Giáo sư Pinto nói trên Tạp chí của Hội lão khoa Mỹ rằng mất đi giác quan nhận biết về mùi là một dấu hiệu rõ ràng cho thấy đang có một sự tổn thương nào đó. Bài kiểm tra ngửi mùi đơn giản có thể nhanh chóng giúp xác định được ai là đối tượng nguy cơ cao.

Rosa Sancho, giám đốc phụ trách nghiên cứu của Trung tâm nghiên cứu Alzheimer ở Anh, nói với Mirror: “Khứu giác con người có thể giúp phân biệt được một nghìn tỉ mùi khác nhau. Nghiên cứu này đã cho thêm một bằng chứng chứng tỏ khứu giác có thể giúp chẩn đoán bệnh”.
“Những tế bào mùi trong mũi của chúng ta liên kết đến các dây thần kinh trong não và chúng ta biết rằng các bệnh như Alzheimer hay bệnh mất trí nhớ có thể bắt đầu từ tổn thương não khoảng một thập niên trước khi thấy triệu chứng”.
Tuy nhiên, bác sĩ James Pickett, giám đốc nghiên cứu tại Hội Alzheimer, lại cho rằng khi chúng ta già thì thay đổi về khứu giác là bình thường và không nên lo lắng rằng đây là một dấu hiệu ban đầu của bệnh mất trí nhớ. Nếu khứu giác bạn giảm khi bạn còn trẻ thì hãy đi khám.

VietBF © sưu tập
Dịch trang: EnglishEnglish DeutschDeutsch FrançaisFrançais EspañolEspañol ItalianoItaliano PortuguêsPortuguês
NorskNorsk NederlandsNederlands DanskDansk SuomiSuomi PolskiPolski ČeštinaČeština РусскийРусский
日本語日本語 한국어한국어 中文(简体)中文(简体) 中文(繁體)中文(繁體) MagyarMagyar TürkçeTürkçe
العربيةالعربية ไทยไทย LatinaLatina हिन्दीहिन्दी Bahasa IndonesiaBahasa Indonesia Bahasa MelayuBahasa Melayu
VIETBF Diễn Đàn Hay Nhất Của Người Việt Nam

HOT NEWS 24h

HOT 3 Days

NEWS 3 Days

HOT 7 Days

NEWS 7 Days

HOME

Breaking News

VietOversea

World News

Business News

Car News

Computer News

Game News

USA News

Mobile News

Music News

Movies News

History

Thơ Ca

Sport News

Stranger Stories

Comedy Stories

Cooking Chat

Nice Pictures

Fashion

School

Travelling

Funny Videos

Canada Tin Hay

USA Tin Hay

VietBF Homepage Autoscroll

VietBF Video Autoscroll Portal

Home Classic

Home Classic Master Page

VietBF iPad Music Portal

Tin nóng nhất 50h qua

Phim Bộ Online

Phim Bộ
Dịch trang: English | Deutsch |
Français | Español | Italiano |
Português | Norsk | Nederlands |
Dansk | Suomi | Polski |
Čeština | Русский | 日本語 |
한국어 | 中文(简体) | 中文(繁體) |
Magyar | Türkçe | العربية |



therealrtz
R10 Vô Địch Thiên Hạ
Release: 10-01-2017
Reputation: 234522


Profile:
Join Date: Nov 2014
Posts: 91,700
Last Update: None Rating: None
Attached Thumbnails
Click image for larger version

Name:	19.jpg
Views:	0
Size:	108.5 KB
ID:	1110001  
therealrtz_is_offline
Thanks: 28
Thanked 6,741 Times in 6,008 Posts
Mentioned: 4 Post(s)
Tagged: 0 Thread(s)
Quoted: 34 Post(s)
Rep Power: 114
therealrtz Reputation Uy Tín Level 10therealrtz Reputation Uy Tín Level 10therealrtz Reputation Uy Tín Level 10therealrtz Reputation Uy Tín Level 10therealrtz Reputation Uy Tín Level 10therealrtz Reputation Uy Tín Level 10therealrtz Reputation Uy Tín Level 10
therealrtz Reputation Uy Tín Level 10therealrtz Reputation Uy Tín Level 10therealrtz Reputation Uy Tín Level 10therealrtz Reputation Uy Tín Level 10therealrtz Reputation Uy Tín Level 10therealrtz Reputation Uy Tín Level 10therealrtz Reputation Uy Tín Level 10therealrtz Reputation Uy Tín Level 10therealrtz Reputation Uy Tín Level 10therealrtz Reputation Uy Tín Level 10therealrtz Reputation Uy Tín Level 10therealrtz Reputation Uy Tín Level 10therealrtz Reputation Uy Tín Level 10therealrtz Reputation Uy Tín Level 10therealrtz Reputation Uy Tín Level 10therealrtz Reputation Uy Tín Level 10therealrtz Reputation Uy Tín Level 10therealrtz Reputation Uy Tín Level 10
Dịch trang: EnglishEnglish DeutschDeutsch FrançaisFrançais EspañolEspañol ItalianoItaliano PortuguêsPortuguês
NorskNorsk NederlandsNederlands DanskDansk SuomiSuomi PolskiPolski ČeštinaČeština РусскийРусский
日本語日本語 한국어한국어 中文(简体)中文(简体) 中文(繁體)中文(繁體) MagyarMagyar TürkçeTürkçe
العربيةالعربية ไทยไทย LatinaLatina हिन्दीहिन्दी Bahasa IndonesiaBahasa Indonesia Bahasa MelayuBahasa Melayu
 
User Tag List

Thread Tools

New York có thị trưởng Hồi giáo đầu tiên: Mamdani nhậm chức giữa biển người, Bernie Sanders tuyên thệ và tiếng hô “tax the rich!” Cuộc rượt đuổi lạnh gáy: Tàu dầu rỉ sét vẽ “cờ Nga” lên mạn tàu bị nghi chở dầu Iran tìm cách thoát lệnh tịch thu của Mỹ Chánh án Roberts nhắc người Mỹ: Tòa án phải độc lập, Hiến pháp là “điểm tựa” giữa bão đảng phái
Đêm Giao Thừa ở Mar-a-Lago: Trump xem vẽ “tóc họa” Chúa Jesus rồi đấu giá 2,75 triệu đô Bảy ngày chờ phép màu sau Giáng Sinh: thiếu nữ 19 tuổi ở Texas được tìm thấy đã qua đời, gia đình xin “hãy tôn trọng nỗi đau” Nhà Trắng đổi thái độ sau đánh giá của CIA về vụ drone ở Valdai
Từ ép sinh ít đến khuyến sinh nhiều: Trung Quốc loay hoay cứu tỷ lệ sinh giữa bão chi phí và thất vọng tuổi trẻ Washington sau một năm Trump trở lại: bộ máy liên bang bị đảo lộn như một công trường phá dỡ Obamacare đã hết hạn: Hàng triệu người Mỹ bước vào 2026 với cú sốc tiền bảo hiểm
Opera, Proton VPN, SetupVPN ... cung cấp VPN miễn phí để người trong nước vượt tường lửa Một ngày làm khách ở Sài Gòn: Taxi công nghệ đưa bạn đi từ bất ngờ này sang… bực bội khác Nhà thờ cũng phải “ra thông báo”: Để quên ví coi chừng… thành phép màu cho người khác!
Thứ trưởng Hải quân Hung Cao và lễ tốt nghiệp khiến cả khán phòng nghẹn lại Trump ra mắt “Trump Class”: Hạm đội Vàng, soái hạm Kiêu Hùng khổng lồ nhất thế giới và tham vọng áp đảo đại dương Trump “đạp phanh” điện gió ngoài khơi: hàng tỷ đô la đứng hình, giá điện có nguy cơ leo thang
Ông Trump sẽ đưa 200 vạn quân tinh nhuệ đánh Đan Mạch, chiếm Greenland? Hải quan xem phim XXX khi làm việc, thảo nào nhập cảnh-xuất cảnh ở Việt Nam chậm như rùa bò Ngày đồng hương nói “đủ rồi”: Cộng Đồng NSW tái ổn định sau nhiều năm chia rẽ
Cuộc đua gom vàng của ngân hàng trung ương và ‘khối cầu’ 47.000 tỉ USD Đằng sau nội các Trump: Những người vợ kể chuyện “đội ngũ lớn” trong Tòa Bạch Ốc Kim Jong Un ôm lính thương tật, tung hô ‘anh hùng’ Bắc Hàn trở về từ chiến trường Kursk
Con trai của nhà hoạt động cộng đồng, nữ MC Mã Tiểu Linh qua đời “Lời chúc bất hạnh” của Chánh án John Roberts: Bài học trưởng thành không ai dạy chúng ta ở trường Đừng biến ICE thành “con ngáo ộp”: Hiểu luật để bớt sợ và biết tự bảo vệ mình
Westminster dậy sóng vì con đường “Charlie Kirk Way”: Dân phản đối, hội đồng vẫn phớt lờ Thăm nước Mỹ thời Trump: Từ dĩa cơm tấm Cali đến bi kịch Melissa Trần Vua Charles III và hành trình ung thư: Khi nhà vua nói về nỗi sợ, hy vọng và “phép màu” phát hiện sớm
Bi kịch quán bún ốc Trần Hưng Đạo: 3 mẹ con chết ngạt sau cửa cuốn khóa kín ‘America Alone’ – Khi Trump vẽ lại trật tự thế giới theo cách của mình Cuộc chơi liều lĩnh của Trump với Tu chính án 14 và quyền có quốc tịch khi chào đời
LeBron James: Chấp nhận đánh mất kỷ lục 1.297 trận chỉ để làm một đường chuyền đúng Ciel Tower – khách sạn cao nhất thế giới Chiếc nhẫn cưới ‘mất tích’ và nghi ngờ Phó Tổng Thống Mỹ bỏ cô vợ Ấn Độ
Karoline Leavitt: Từ ‘thánh cô nói láo’ đến biểu tượng của Trump 2.0 Bong bóng AI, khí hậu nổi giận và năm 2026 Khi Vingroup phải vay trái phiếu lãi 12%: Phao cứu sinh hay bước đi liều mạng?
Từ Geneva đến Kyiv: Kế hoạch 28 điểm của Trump và thế lưỡng nan của Ukraine Nước Nga trên ván bài cuối: biết không thể thắng nhưng vẫn lao vào cuộc chiến đến cùng Tiền thuế đã đi đâu, khi dân miền Trung đói rét trên nóc nhà chờ chết?
Nellie Bly – 72 ngày vòng quanh thế giới và cú đòn vào mọi định kiến về phụ nữ “Góa phụ đen” ở nước Nga: khi cái chết của người lính trở thành một mô hình kinh doanh Lá thư cuối của Kurt Vonnegut: hãy sáng tạo chỉ để tâm hồn mình lớn lên
Trung Quốc vỡ trận công nghiệp: khi “Made in China” bước vào thập niên suy thoái mới Bốn ngày trên nóc nhà: khi người dân miền Trung thực sự bị bỏ rơi giữa lũ dữ Không một lời cảnh báo: Miền Trung chết chìm trong lũ thủy điện “đúng quy trình”
Biệt kích Chung Tử Ngọc – Từ ngọn đồi lửa đạn đến sáu năm lao tù cộng sản Một mạng người đáng giá bao nhiêu – từ vụ tai nạn ở California đến những xác người trong lũ Việt Nam Mercury – đoàn tàu Art Deco biến tốc độ thành cái đẹp hữu hình
Hoa Kỳ-Ukraine đạt sự đồng thuận cho kế hoạch hòa bình với 19 điểm mới Tấm chăn thơ rách nát giữa địa ngục cộng sản – từ hố xí tập thể đến bến bờ tị nạn Morgan Geyser trốn khỏi giám sát: Bóng ma Slender Man trở lại sau vụ đâm bạn 19 nhát chấn động nước Mỹ
New Delhi ngạt thở: Khi Pháo đài Đỏ hóa đen và người dân chỉ còn ước được… hít thở Red Bull – từ lon nước vàng ở Bangkok đến đế chế nội dung làm thay đổi thế giới Kế hoạch 28 điểm của Trump: Hoà bình cho Ukraine hay bản hợp đồng nhượng bộ cho Nga?
Thêm một sĩ quan trẻ gốc Việt qua đời, nguyên nhân không như tin đồn “tào lao, tự tử” trên Facebook Tịch thu và bắt hàng loạt lãnh đạo công ty nhà Cường “đô la” Peter Arnett qua đời: tiếng nói độc lập từ chiến trường Việt Nam đến Baghdad
Cuộc chiến giành Warner & CNN: tiền mặt, thế lực, và bóng dáng Nhà Trắng Sự thật khó nghe: Trung Quốc giàu lên nhanh nhất khi .... Ngoại trưởng Nga thú nhận: Mỹ đã hứa trao lãnh thổ Ukraine cho Moscow
Chánh Văn phòng Tòa Bạch Ốc gây cú sốc về ông Trump trong cuộc phỏng vấn với Vanity Fair Thuế quan thổi ngược chiều: việc làm tay chân co lại, và “nhiệt” chính trị hạ dần Một dòng “sông” trong biển lệch nhịp: vì sao mặt biển Nhật Bản đang phình lên – và nghề cá lao đao
Khủng hoảng “affordability” ở Mỹ Trump mở cửa chip H200 cho Trung Quốc và cuộc chiến giành “quyền viết luật” cho trí tuệ nhân tạo Google và giấc mơ thay thế smartphone bằng cặp kính AI
Trump, Netflix và Paramount: Cuộc chiến thâu tóm Warner Bros. biến Hollywood thành bàn cờ chính trị Trung Quốc bứt tốc xuất khẩu, nông dân Mỹ sống bằng trợ cấp VN: Sợ áp lực mỗi khi ra tòa, Hoa hậu Thùy Tiên chấp nhận bản án 2 năm tù
Lại to tiếng: Ông Trump nói nữ ký giả của CNN là "ngu ngốc và độc ác" Zelensky chạy đua ngoại giao: London, Brussels, Rome và cái bóng hòa kế của Trump New Orleans trong vòng vây ICE: Chiến dịch “Catahoula Crunch” và nỗi lo của người Việt
“Huyền thoại ‘Trung Quốc là Singapore phóng đại’ đang sụp đổ như thế nào?” Trung Tá Nhảy Dù Bùi Quyền: Từ thủ khoa Võ Bị đến chiếc ghế trống sau 60 năm gặp lại Làm gì có “giải phóng” mà tôn vinh “chiến sĩ giải phóng”?
Cuba cá đầy biển, ngư dân vẫn đói: Khi thiên nhiên hào phóng nhưng thể chế “thắt nút cổ chai” Quận Cam: Người già gốc Việt sống trong nhà tiền chế, run rẩy trước mỗi lá thư cảnh cáo Doanh nghiệp châu Âu lặng lẽ tháo chạy khỏi Trung Quốc, nguyên nhân?
Năm tiếng trong Điện Kremlin: Hòa bình Ukraine đang đến gần? Một tổng thống lim dim, một thế giới nín thở Trump, Venezuela và cơn bão “tội ác chiến tranh” ở Washington
5 bí mật trên buồng lái mà phi công hiếm khi kể cho hành khách Đồng chí 3 X và chiếc bình xịt gây tê Hồi ký Trịnh Xuân Thanh và thương vụ 50 triệu đô đưa Nguyễn Cao Kỳ về nước
Vì sao Việt Nam vẫn vắng bóng Nobel Văn học? Khi sự thật bị nhào nặn: Nga, Trung Quốc và cuộc chiến bẻ cong hình ảnh dân chủ ‘Đổ bộ lên mặt trời ban đêm’ – khi ngu dốt ngồi lên ngai quyền lực
Xuất khẩu lao động – khi một quốc gia đóng gói tương lai của mình gửi ra nước ngoài Vụ kiện chất độc da cam – khi cộng sản Việt Nam tự làm nhục mình trước thế giới Nhiều người hỏi mình: “Qua Mỹ trễ vậy có hối hận không?”
Lũ quét miền Trung, Khánh Hoà, Nha Trang, “kỷ lục của kỷ lục” +video 12 ngày trên đất Mỹ: Những điều mắt thấy tai nghe của một bà mẹ Việt Khi ‘cái tôi’ phình to hơn thực tài của người Việt Cộng
Bài học nhớ đời khi lao vào bán hàng Amazon theo trend Pokémon Nghỉ hưu ở Texas: Thiên đường mới sau ‘giấc mơ California Nơi sóng radio chết lặng và những chuyện không thể giải thích
Bà Ngô Đình Nhu trên tầng 11 Paris: từ ánh đèn Dinh Độc Lập đến căn hộ cô quạnh “Đánh từ sẵn”: một đêm gõ cửa và cả đời bất an của chú Ba Lợi Người thầy tội nghiệp và nỗi đau hai chữ “lưu dung”

 
Lên đầu Xuống dưới Lên 3000px Xuống 3000px

iPad Videos Portal Autoscroll

VietBF Music Portal Autoscroll

iPad News Portal Autoscroll

VietBF Homepage Autoscroll

VietBF Video Autoscroll Portal

USA News Autoscroll Portall

VietBF WORLD Autoscroll Portal

Home Classic

Super Widescreen

iPad World Portal Autoscroll

iPad USA Portal Autoscroll

Phim Bộ Online

Tin nóng nhất 24h qua

Tin nóng nhất 3 ngày qua

Tin nóng nhất 7 ngày qua

Tin nóng nhất 30 ngày qua

Albums

Total Videos Online
Lên đầu Xuống dưới Lên 3000px Xuống 3000px

Tranh luận sôi nổi nhất 7 ngày qua

Tranh luận sôi nổi nhất 14 ngày qua

Tranh luận sôi nổi nhất 30 ngày qua

10.000 Tin mới nhất

Tin tức Hoa Kỳ

Tin tức Công nghệ
Lên đầu Xuống dưới Lên 3000px Xuống 3000px

Super News

School Cooking Traveling Portal

Enter Portal

Series Shows and Movies Online

Home Classic Master Page

Donation Ủng hộ $3 cho VietBF
Lên đầu Xuống dưới Lên 3000px Xuống 3000px
Diễn Đàn Người Việt Hải Ngoại. Tự do ngôn luận, an toàn và uy tín. Vì một tương lai tươi đẹp cho các thế hệ Việt Nam hãy ghé thăm chúng tôi, hãy tâm sự với chúng tôi mỗi ngày, mỗi giờ và mỗi giây phút có thể. VietBF.Com Xin cám ơn các bạn, chúc tất cả các bạn vui vẻ và gặp nhiều may mắn.
Welcome to Vietnamese American Community, Vietnamese European, Canadian, Australian Forum, Vietnamese Overseas Forum. Freedom of speech, safety and prestige. For a beautiful future for Vietnamese generations, please visit us, talk to us every day, every hour and every moment possible. VietBF.Com Thank you all and good luck.

Lên đầu Xuống dưới Lên 3000px Xuống 3000px

All times are GMT. The time now is 04:12.
VietBF - Vietnamese Best Forum Copyright ©2005 - 2026
User Alert System provided by Advanced User Tagging (Pro) - vBulletin Mods & Addons Copyright © 2026 DragonByte Technologies Ltd.
Log Out Unregistered

Page generated in 0.13786 seconds with 13 queries