HOME-Au
HOME-Au
24h
24h
USA
USA
GOP
GOP
Phim Bộ
Phim Bộ
Videoauto
VIDEO-Au
Donation
Donation
News Book
News Book
News 50
News 50
worldautoscroll
WORLD-Au
Breaking
Breaking
 

Go Back   VietBF > World > Vietnam News | Tin Việt Nam > 2005-2023 Vietnam News


 
Thread Tools
 
 
  #1  
Old  Default Bác sĩ tá hỏa phát hiện xương bệnh nhân bỗng biến mất
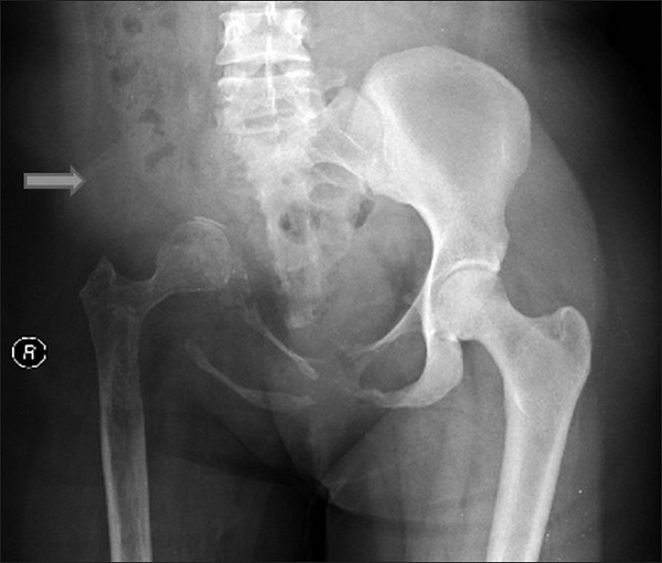
Những cơn đau kéo dài khiến bệnh nhân vô cùng đau đớn. Cô đã đến bệnh viện kiểm tra và nhận được kết quả khó tin. Đến bác sĩ cũng không thể ngờ với căn bệnh cô đang đối mặt.

Nếu bạn là một bác sĩ, thái độ bình tĩnh luôn là rất quan trọng trong vô số các tình huống oái oăm mà bạn có thể gặp phải ở chốn bệnh viện. Một trong số những tình huống đó là việc xương của bệnh nhân có thể…bốc hơi ngay trước mắt bạn.

Bệnh nhân này là một người phụ nữ 44 tuổi hoàn toàn khỏe mạnh. Cô đi khám vì cảm thấy đau tăng dần ở vai trái. Kết quả chụp XQ khớp vai cho thấy tổn thương tại xương đòn, và bác sĩ lập tức nghĩ đến chẩn đoán ung thư. Tuy nhiên, kết quả sinh thiết lại cho kết luận không rõ ràng. Lần sinh thiết lại vào vài tháng sau đã có kết quả âm tính. Nhưng mọi chuyện chưa dừng lại ở đó, khi cơn đau của bệnh nhân tiếp tục dai dẳng.

Và đây là lúc điều kỳ quái diễn ra: 18 tháng sau, bệnh nhân tới tái khám và phát hiện ra xương đòn và đầu trên xương cánh tay đã biến mất hoàn toàn trên phim chụp XQ. Cơn đau thì vẫn âm ỉ, và thậm chí bệnh nhân còn nhận thấy tay mình phù nề và tấy lên, dù chỉ bị va đập nhẹ.

Chỉ khi sử dụng đến những kỹ thuật chẩn đoán hình ảnh cao cấp, các bác sĩ mới tìm ra vấn đề: các mạch máu tân tạo đã phát triển quá mức, và che mờ hình ảnh của các xương này trên phim chụp. Và kết quả sinh thiết cho thấy, căn bệnh kỳ lạ này có tên là bệnh Gorham-Stout.

Mức độ bệnh khá thay đổi tùy theo các cá thể mắc bệnh, nhưng ở hầu hết các trường hợp, căn bệnh này mang tính chất khu trú, có nghĩa là nó chỉ biểu hiện trên một phần cơ thể, như cột sống, nền sọ, hay các xương ở chân và tay. Ở mức độ nghiêm trọng, bệnh có thể xuất hiện ở xương sườn, gây tràn dịch màng phổi và có thể dẫn tới biểu hiện khó thở.

Điều trị chủ yếu với căn bệnh này là phẫu thuật loại bỏ vùng xương bệnh, xạ trị ngăn ngừa tái phát và sử dụng thuốc bisphosphonate đường xuống để ngăn ngừa tiêu xương. Trong một vài trường hợp, bệnh có thể tự cải thiện mà không cần điều trị.

VietBF © Sưu Tầm
Dịch trang: EnglishEnglish DeutschDeutsch FrançaisFrançais EspañolEspañol ItalianoItaliano PortuguêsPortuguês
NorskNorsk NederlandsNederlands DanskDansk SuomiSuomi PolskiPolski ČeštinaČeština РусскийРусский
日本語日本語 한국어한국어 中文(简体)中文(简体) 中文(繁體)中文(繁體) MagyarMagyar TürkçeTürkçe
العربيةالعربية ไทยไทย LatinaLatina हिन्दीहिन्दी Bahasa IndonesiaBahasa Indonesia Bahasa MelayuBahasa Melayu
VIETBF Hybrid Community Content Hub

HOT NEWS 24h

HOT 3 Days

NEWS 3 Days

HOT 7 Days

NEWS 7 Days

HOME

Breaking News

VietOversea

World News

Business News

Car News

Computer News

Game News

USA News

Mobile News

Music News

Movies News

History

Thơ Ca

Sport News

Stranger Stories

Comedy Stories

Cooking Chat

Nice Pictures

Fashion

School

Travelling

Funny Videos

Canada Tin Hay

USA Tin Hay

VietBF Homepage Autoscroll

VietBF Video Autoscroll Portal

Video Classic Master

iPad News Portal

VietBF iPad Music Portal

Tin nóng nhất 50h qua

Phim Bộ Online

iMusic Pro Max



TinNhanh247
R9 Tuyệt Đỉnh Tôn Sư
Release: 04-09-2018
Reputation: 14061


Profile:
Join Date: Oct 2014
Posts: 38,886
Last Update: None Rating: None
Attached Thumbnails
Click image for larger version

Name:	130.2.jpg
Views:	0
Size:	64.7 KB
ID:	1201630  
TinNhanh247_is_offline
Thanks: 16
Thanked 1,800 Times in 1,638 Posts
Mentioned: 3 Post(s)
Tagged: 0 Thread(s)
Quoted: 11 Post(s)
Rep Power: 50
TinNhanh247 Reputation Uy Tín Level 6
TinNhanh247 Reputation Uy Tín Level 6TinNhanh247 Reputation Uy Tín Level 6TinNhanh247 Reputation Uy Tín Level 6TinNhanh247 Reputation Uy Tín Level 6TinNhanh247 Reputation Uy Tín Level 6TinNhanh247 Reputation Uy Tín Level 6TinNhanh247 Reputation Uy Tín Level 6TinNhanh247 Reputation Uy Tín Level 6TinNhanh247 Reputation Uy Tín Level 6TinNhanh247 Reputation Uy Tín Level 6TinNhanh247 Reputation Uy Tín Level 6TinNhanh247 Reputation Uy Tín Level 6TinNhanh247 Reputation Uy Tín Level 6TinNhanh247 Reputation Uy Tín Level 6TinNhanh247 Reputation Uy Tín Level 6TinNhanh247 Reputation Uy Tín Level 6TinNhanh247 Reputation Uy Tín Level 6
The Following User Says Thank You to TinNhanh247 For This Useful Post:
nangsom (04-09-2018)
Dịch trang: EnglishEnglish DeutschDeutsch FrançaisFrançais EspañolEspañol ItalianoItaliano PortuguêsPortuguês
NorskNorsk NederlandsNederlands DanskDansk SuomiSuomi PolskiPolski ČeštinaČeština РусскийРусский
日本語日本語 한국어한국어 中文(简体)中文(简体) 中文(繁體)中文(繁體) MagyarMagyar TürkçeTürkçe
العربيةالعربية ไทยไทย LatinaLatina हिन्दीहिन्दी Bahasa IndonesiaBahasa Indonesia Bahasa MelayuBahasa Melayu
 
User Tag List

Thread Tools

Mẹ nhà báo chống Cộng "Cô Gái Đồ Long" qua đời Số phận "16 tấn vàng của TT Thiệu" và 40 tấn vàng của VNCH Nam ca sĩ Hải Ngoại bất tỉnh nhân sự, sắp qua đời
Eo biển Hormuz lại “tắt lửa”: Israel đánh Lebanon, Iran lập tức siết van dầu – Thỏa thuận ngừng bắn Mỹ–Iran đứng bên bờ sụp đổ Israel không dừng tay: Vì sao Hezbollah vẫn là “mục tiêu sống còn” dù Mỹ–Iran nói chuyện hòa bình? Trump đặt “lằn ranh đỏ” uranium: Đàm phán Mỹ – Iran bước vào giai đoạn quyết định, Trung Đông căng như dây đàn
Iran lại đóng eo Hormuz, dầu mỏ nghẹt thở: Trung Đông bước vào ván cờ quyền lực mới đầy bất trắc Eo biển Hormuz mở lại sau lệnh ngừng bắn: Mỹ tuyên bố chiến thắng, nhưng Trung Đông vẫn như “lửa âm ỉ dưới tro tàn” Ngừng bắn 14 ngày Mỹ – Iran: Khoảng lặng trước bão
Úc từ chối gửi tàu tới eo biển Hormuz, đồng minh Mỹ bắt đầu do dự trước lời kêu gọi của Trump Ông Trump phàn nàn, NATO, Liên minh mà chẳng chịu giúp gì, kêu gọi cả Trung Quốc tham gia mở lại eo biển Hormuz giữa khủng hoảng dầu mỏ toàn cầu Sáu quân nhân Không quân Mỹ thiệt mạng trong vụ rơi máy bay KC-135 tại Iraq – những con người phía sau một nhiệm vụ chiến tranh
Trump nghi ngờ Giáo Chủ Iran Mojtaba Khamenei đã chết, Tehran khẳng định “vẫn khỏe mạnh” Formula 1: hai chặng Bahrain và Saudi Arabia bị hủy trong tháng 4, lịch đua thế giới đảo lộn Israel tuyên bố hạ sát hai tướng tình báo Iran, 400 đợt không kích dội xuống Tehran và miền tây Iran
Drone tự sát đánh vào Đại sứ quán Mỹ tại Baghdad: chiến tranh Trung Đông lan tới “Vùng Xanh”, khói lửa bốc lên giữa thủ đô Iraq Iran đánh cảng dầu của UAE, cảnh cáo Mỹ sau vụ tổng oanh tạc đảo Kharg Mỹ tổng không kích Kharg, dọn đường cho khả năng đổ bộ, Iran đứng trước kịch bản “đốt đảo” nếu thất thủ
Cuộc đấu trí giữa Lầu Năm Góc và các ông lớn AI Từ quan chức Đảng đến người kéo mì ở New York Bóng Ma Epstein Trở Lại: Bill Clinton bị thẩm vấn
Hillary Clinton đối mặt hồ sơ Epstein Chủ tịch Thành Phố Hà Nội bị mất chức Hàn Cộng đe doạ bắn tên lửa nguyên tử
Cựu phi công Mỹ bị cáo buộc huấn luyện không quân Trung Quốc 200 vạn binh Hoa Kỳ sẵn sàng đánh phủ đầu Iran Cuộc đại thanh trừng trong quân đội Trung Quốc sâu đến mức nào?

 

iPad Videos Portal Autoscroll

VietBF Music Portal Autoscroll

iPad News Portal Autoscroll

VietBF Homepage Autoscroll

VietBF Video Autoscroll Portal

USA News Autoscroll Portall

VietBF WORLD Autoscroll Portal

Video Classic Master Page

Super Widescreen

iPad World Portal Autoscroll

iPad USA Portal Autoscroll

Phim Bộ Online
Lên đầu Xuống dưới Lên 3000px Xuống 3000px

Tin nóng nhất 24h qua

Tin nóng nhất 3 ngày qua

Tin nóng nhất 7 ngày qua

Tin nóng nhất 30 ngày qua

Albums

Total Videos Online

Tranh luận sôi nổi nhất 7 ngày qua

Tranh luận sôi nổi nhất 14 ngày qua

Tranh luận sôi nổi nhất 30 ngày qua

10.000 Tin mới nhất

Tin tức Hoa Kỳ

Tin tức Công nghệ
Lên đầu Xuống dưới Lên 3000px Xuống 3000px

Duo Series Movies Portal

Duo Music Portal

Phim Bộ

Tỷ Giá

Thời Tiết

Tin Nóng Nhất 50h

Super News

School Cooking Traveling Portal

Enter Portal

Series Shows and Movies Online

Home Classic Master Page

Donation Ủng hộ $3 cho VietBF
Lên đầu Xuống dưới Lên 3000px Xuống 3000px
Diễn Đàn Người Việt Hải Ngoại. Tự do ngôn luận, an toàn và uy tín. Vì một tương lai tươi đẹp cho các thế hệ Việt Nam hãy ghé thăm chúng tôi, hãy tâm sự với chúng tôi mỗi ngày, mỗi giờ và mỗi giây phút có thể. VietBF.Com Xin cám ơn các bạn, chúc tất cả các bạn vui vẻ và gặp nhiều may mắn.
Welcome to Vietnamese American Community, Vietnamese European, Canadian, Australian Forum, Vietnamese Overseas Forum. Freedom of speech, safety and prestige. For a beautiful future for Vietnamese generations, please visit us, talk to us every day, every hour and every moment possible. VietBF.Com Thank you all and good luck.

Lên đầu Xuống dưới Lên 3000px Xuống 3000px

All times are GMT. The time now is 07:38.
VietBF - Vietnamese Best Forum Copyright ©2005 - 2026
User Alert System provided by Advanced User Tagging (Pro) - vBulletin Mods & Addons Copyright © 2026 DragonByte Technologies Ltd.
Log Out Unregistered

Page generated in 0.10020 seconds with 13 queries