HOME-Au
HOME-Au
24h
24h
USA
USA
GOP
GOP
Phim Bộ
Phim Bộ
Videoauto
VIDEO-Au
Donation
Donation
News Book
News Book
News 50
News 50
worldautoscroll
WORLD-Au
Breaking
Breaking
 

Go Back   VietBF > World > Vietnam News | Tin Việt Nam > 2005-2023 Vietnam News


 
Thread Tools
 
 
  #1  
Old  Arrow Tp.HCM: Đột quỵ, thở oxy sau khi khỏi Covid-19
Những trường hợp gặp các di chứng hậu Covid-19 mức độ nặng không phổ biến. Đa số họ từng điều trị hồi sức tích cực khi dương tính.

Di chứng hậu Covid-19 không dừng lại ở những dấu hiệu thần kinh như mất ngủ, rối loạn lo âu hay kiệt sức, mệt mỏi. Ở một số trường hợp, người bệnh còn gặp triệu chứng nặng, phải cấp cứu và điều trị nội trú thời gian dài.

Những di chứng nặng hậu Covid-19

Tại khu điều trị nội trú của Phòng khám di chứng hậu Covid-19, Bệnh viện Quân y 175 (Bộ Quốc phòng), khoảng 30 bệnh nhân có tình trạng nặng đang được điều trị do các rối loạn hậu Covid-19.

Thạc sĩ, bác sĩ Nguyễn Hải Công, Trưởng khoa Lao và Bệnh phổi kiêm Trưởng phòng khám di chứng hậu Covid-19, Bệnh viện Quân y 175 (Bộ Quốc phòng), cho biết một số người đến khám do tình trạng hậu Covid-19 có biểu hiện ở mức độ nặng.

Họ gặp các di chứng về hô hấp, khó thở, suy hô hấp phải phụ thuộc vào thở oxy. Một số bệnh nhân gặp rối loạn ý thức, vận động hoặc di chứng xơ phổi, thuyên tắc phổi. Một số bệnh nhân gặp rối loạn ý thức, vận động do di chứng đột quỵ não hoặc các vấn đề bệnh lý tim mạch.

"Trong số 30 bệnh nhân điều trị nội trú do vấn đề hậu Covid-19, độ tuổi hầu hết trên 45, có bệnh nền. Điểm chung của họ là hầu hết từng bị Covid-19 mức độ nặng, nguy kịch, phải điều trị ICU", bác sĩ Công thông tin thêm.

Các di chứng hậu Covid-19 mức độ nặng từng được TS.BS Nguyễn Anh Dũng, Phó giám đốc Sở Y tế TP.HCM, đưa ra cảnh báo trong một báo cáo tại Hội nghị triển khai các hoạt động trọng tâm của ngành y tế năm 2022.

Trong đó, TS Dũng chia sẻ trường hợp một người đàn ông 48 tuổi, từng nhập viện vì viêm phổi Covid-19. Sau 8 tuần xuất viện, bệnh nhân vẫn bị khó thở dai dẳng và mệt mỏi.

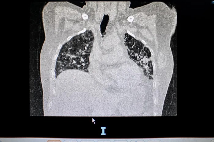
Trên phim chụp phổi cắt lớp vi tính, các bác sĩ phát hiện người đàn ông bị tổn thương phổi dạng xơ hóa, giãn phế quản. Đây là di chứng vĩnh viễn, dù điều trị nhưng khó trở về bình thường.

Tại phòng khám di chứng hậu Covid-19 của Bệnh viện Đại học Y Dược TP.HCM, mỗi ngày có khoảng 200 lượt người đến tư vấn, khám do vấn đề hậu Covid-19. TS.BS Nguyễn Như Vinh, Trưởng khoa Thăm dò chức năng hô hấp, cho biết thỉnh thoảng, đơn vị này tiếp nhận một vài trường hợp gặp các biểu hiện hậu Covid-19 nặng.

Mới đây nhất, một phụ nữ 52 tuổi đến khám trong tình trạng suy hô hấp mạn tính, phải mang theo bình oxy dù khỏi Covid-19 gần một tháng. Trên phim X-quang, hai bên phổi của bệnh nhân mờ đục, diện tích tổn thương nhiều.

"Sau 10 ngày điều trị, tình trạng bệnh nhân này ổn định hơn, cai được oxy, phim X-quang phổi cũng cải thiện đáng kể", TS Vinh vui mừng chia sẻ.

Ai dễ gặp di chứng Covid-19 nặng?

ThS.BS Nguyễn Hải Công nhận định nếu trong khi mắc Covid-19, F0 có tổn thương phổi nặng, giai đoạn hậu Covid-19, người bệnh dễ gặp di chứng xơ phổi, huyết khối mạn tính ở phổi, suy giảm chức năng phổi. Di chứng này khiến cơ quan phổi hồi phục chậm hoặc một số ít trường hợp không hồi phục được.

"Di chứng hậu Covid-19 và tổn thương trong giai đoạn mắc Covid-19 có liên quan với nhau", bác sĩ Công nhận định.

F0 có tình trạng nhẹ có thể gặp các di chứng hậu Covid-19 nhẹ, các rối loạn này có thể tự điều chỉnh hoặc điều trị ngoại trú. Tuy nhiên, với trường hợp mắc Covid-19 trong giai đoạn cấp nặng, phải điều trị ICU, sau khi khỏi bệnh, họ có nguy cơ gặp di chứng hậu Covid-19 nặng hơn người khác.



Một bệnh nhân điều trị di chứng hậu Covid-19 mức độ nặng tại Bệnh viện Quân y 175. Ảnh: BSCC.

Những bệnh nhân trong giai đoạn cấp tính khi mắc Covid-19 có nhiều triệu chứng, thông thường có khoảng 5 triệu chứng trở lên hoặc giai đoạn nhập viện có nhiều bất thường, chẳng hạn rối loạn đông máu, bạch cầu giảm... cũng có nguy cơ gặp di chứng hậu Covid-19 nặng hơn.

Bên cạnh đó, người mắc thuộc nhóm nguy cơ (cao tuổi, người có bệnh nền như huyết áp, tiểu đường, ung thư, phổi tắc nghẽn mạn tính, hen, suy tim...) là những đối tượng đầu tiên dễ mắc di chứng hậu Covid-19.

Bác sĩ Nguyễn Hải Công cho biết những bệnh nhân có di chứng hậu Covid-19 mức độ nặng thường có tiên lượng hồi phục chậm hơn so với bệnh lý tổn thương phổi thông thường khác.

Một số trường hợp người bệnh lệ thuộc hoàn toàn vào chăm sóc y tế, khiến chất lượng cuộc sống của họ và gia đình suy giảm nghiêm trọng.

"Trong đợt bùng phát dịch ở TP.HCM, có rất nhiều người phải nhập viện điều trị do chuyển nặng, do đó, những di chứng hậu Covid-19 để lại cũng khá cao cùng với đó là gánh nặng y tế có thể còn kéo dài trong nhiều tháng, nhiều năm", bác sĩ Công nói.

Ông khuyến cáo với F0 khỏi bệnh, khi nhận thấy cơ thể có triệu chứng bất thường nhưng không liên quan tới những bệnh trước đây, ảnh hưởng chất lượng sống, nên đi khám sớm tại cơ sở y tế uy tín.

"Ngoài được thăm khám phát hiện dấu hiệu bất thường, điều quan trọng hơn là người bệnh được tư vấn, giải tỏa tâm lý lo lắng. Với các rối loạn nhẹ như mất ngủ, đau đầu, mất tập trung... người bệnh sẽ được tư vấn, chăm sóc và hướng dẫn phương pháp điều chỉnh, phục hồi tốt nhất", bác sĩ Công khuyến cáo.
Dịch trang: EnglishEnglish DeutschDeutsch FrançaisFrançais EspañolEspañol ItalianoItaliano PortuguêsPortuguês
NorskNorsk NederlandsNederlands DanskDansk SuomiSuomi PolskiPolski ČeštinaČeština РусскийРусский
日本語日本語 한국어한국어 中文(简体)中文(简体) 中文(繁體)中文(繁體) MagyarMagyar TürkçeTürkçe
العربيةالعربية ไทยไทย LatinaLatina हिन्दीहिन्दी Bahasa IndonesiaBahasa Indonesia Bahasa MelayuBahasa Melayu
VIETBF Hybrid Community Content Hub

HOT NEWS 24h

HOT 3 Days

NEWS 3 Days

HOT 7 Days

NEWS 7 Days

HOME

Breaking News

VietOversea

World News

Business News

Car News

Computer News

Game News

USA News

Mobile News

Music News

Movies News

History

Thơ Ca

Sport News

Stranger Stories

Comedy Stories

Cooking Chat

Nice Pictures

Fashion

School

Travelling

Funny Videos

Canada Tin Hay

USA Tin Hay

VietBF Homepage Autoscroll

VietBF Video Autoscroll Portal

Video Classic Master

iPad News Portal

VietBF iPad Music Portal

Tin nóng nhất 50h qua

Phim Bộ Online

Phim Bộ



sunshine1104
R10 Vô Địch Thiên Hạ
Release: 02-15-2022
Reputation: 25202


Profile:
Join Date: Feb 2015
Posts: 80,810
Last Update: None Rating: None
Attached Thumbnails
Click image for larger version

Name:	56.jpg
Views:	0
Size:	68.4 KB
ID:	2006866  
sunshine1104_is_offline
Thanks: 4
Thanked 4,057 Times in 3,573 Posts
Mentioned: 4 Post(s)
Tagged: 0 Thread(s)
Quoted: 22 Post(s)
Rep Power: 93
sunshine1104 Reputation Uy Tín Level 7sunshine1104 Reputation Uy Tín Level 7
sunshine1104 Reputation Uy Tín Level 7sunshine1104 Reputation Uy Tín Level 7sunshine1104 Reputation Uy Tín Level 7sunshine1104 Reputation Uy Tín Level 7sunshine1104 Reputation Uy Tín Level 7sunshine1104 Reputation Uy Tín Level 7sunshine1104 Reputation Uy Tín Level 7sunshine1104 Reputation Uy Tín Level 7sunshine1104 Reputation Uy Tín Level 7sunshine1104 Reputation Uy Tín Level 7sunshine1104 Reputation Uy Tín Level 7sunshine1104 Reputation Uy Tín Level 7sunshine1104 Reputation Uy Tín Level 7sunshine1104 Reputation Uy Tín Level 7sunshine1104 Reputation Uy Tín Level 7sunshine1104 Reputation Uy Tín Level 7sunshine1104 Reputation Uy Tín Level 7sunshine1104 Reputation Uy Tín Level 7sunshine1104 Reputation Uy Tín Level 7
Dịch trang: EnglishEnglish DeutschDeutsch FrançaisFrançais EspañolEspañol ItalianoItaliano PortuguêsPortuguês
NorskNorsk NederlandsNederlands DanskDansk SuomiSuomi PolskiPolski ČeštinaČeština РусскийРусский
日本語日本語 한국어한국어 中文(简体)中文(简体) 中文(繁體)中文(繁體) MagyarMagyar TürkçeTürkçe
العربيةالعربية ไทยไทย LatinaLatina हिन्दीहिन्दी Bahasa IndonesiaBahasa Indonesia Bahasa MelayuBahasa Melayu
 
User Tag List

Thread Tools


 

iPad Videos Portal Autoscroll

VietBF Music Portal Autoscroll

iPad News Portal Autoscroll

VietBF Homepage Autoscroll

VietBF Video Autoscroll Portal

USA News Autoscroll Portall

VietBF WORLD Autoscroll Portal

Video Classic Master Page

Super Widescreen

iPad World Portal Autoscroll

iPad USA Portal Autoscroll

Phim Bộ Online
Lên đầu Xuống dưới Lên 3000px Xuống 3000px

Tin nóng nhất 24h qua

Tin nóng nhất 3 ngày qua

Tin nóng nhất 7 ngày qua

Tin nóng nhất 30 ngày qua

Albums

Total Videos Online

Tranh luận sôi nổi nhất 7 ngày qua

Tranh luận sôi nổi nhất 14 ngày qua

Tranh luận sôi nổi nhất 30 ngày qua

10.000 Tin mới nhất

Tin tức Hoa Kỳ

Tin tức Công nghệ
Lên đầu Xuống dưới Lên 3000px Xuống 3000px

Duo Series Movies Portal

Duo Music Portal

Phim Bộ

Tỷ Giá

Thời Tiết

Tin Nóng Nhất 50h

Super News

School Cooking Traveling Portal

Enter Portal

Series Shows and Movies Online

Home Classic Master Page

Donation Ủng hộ $3 cho VietBF
Lên đầu Xuống dưới Lên 3000px Xuống 3000px
Diễn Đàn Người Việt Hải Ngoại. Tự do ngôn luận, an toàn và uy tín. Vì một tương lai tươi đẹp cho các thế hệ Việt Nam hãy ghé thăm chúng tôi, hãy tâm sự với chúng tôi mỗi ngày, mỗi giờ và mỗi giây phút có thể. VietBF.Com Xin cám ơn các bạn, chúc tất cả các bạn vui vẻ và gặp nhiều may mắn.
Welcome to Vietnamese American Community, Vietnamese European, Canadian, Australian Forum, Vietnamese Overseas Forum. Freedom of speech, safety and prestige. For a beautiful future for Vietnamese generations, please visit us, talk to us every day, every hour and every moment possible. VietBF.Com Thank you all and good luck.

Lên đầu Xuống dưới Lên 3000px Xuống 3000px

All times are GMT. The time now is 11:58.
VietBF - Vietnamese Best Forum Copyright ©2005 - 2026
User Alert System provided by Advanced User Tagging (Pro) - vBulletin Mods & Addons Copyright © 2026 DragonByte Technologies Ltd.
Log Out Unregistered

Page generated in 0.11942 seconds with 13 queries