HOME-Au
HOME-Au
24h
24h
USA
USA
GOP
GOP
Phim Bộ
Phim Bộ
Videoauto
VIDEO-Au
Donation
Donation
News Book
News Book
News 50
News 50
worldautoscroll
WORLD-Au
Breaking
Breaking
 

Go Back   VietBF > World > World News|Tin Thế Giới > World News |Tin Thế Giới 2006-2019


 
Thread Tools
 
 
  #1  
Old  Default Kinh hãi phát hiện trong tay có chiếc răng nhọn hoắt
Thấy tay sưng vù và rất đau, nam thanh niên phải đến gặp ngay bác sĩ. Một chuyện mà các bác sĩ ở đây vô cùng ngạc nhiên khi phát hiện chiếc răng cửa nhọn hoắc cắm sâu giữa các ngón tay của anh chàng nàng.


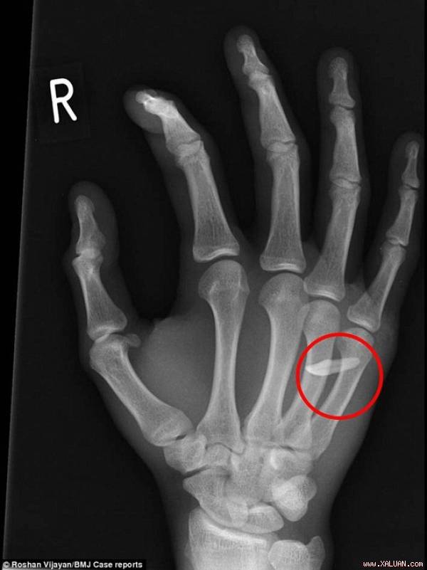
Hình chụp X-quang cho thấy răng cửa mắc trong đốt xương tay

Daily Mail ngày 6-5 đưa tin các bác sĩ ở Bệnh viện Nữ hoàng Victoria ở hạt West Sussex, Anh đã tiếp nhận một trường hợp bàn tay sưng to do một chiếc răng mắc kẹt giữa các khớp ngón tay mà nạn nhân không hay biết.

Nam thanh niên 19 tuổi kể rằng đêm trước đó, anh chàng đã dùng tay đấm vào miệng em trai mình nhưng không biết đối phương mất một chiếc răng.

Trường hợp này được đăng trên tạp chí BMJ Case Reports số ra mới nhất. Thanh niên cho biết sau khi phát hiện tay mình chảy máu, anh ta liền rửa dưới vòi nước. Tuy nhiên, ngày hôm sau, anh ta thức dậy trong đau đớn, cả bàn tay sưng tấy, các ngón tay hầu như không cử động được. Ngay lập tức, anh chàng vội vã đến phòng cấp cứu Bệnh viện Nữ hoàng Victoria để tiêm phòng uốn ván, điều trị kháng sinh và làm sạch vết thương bằng nước muối.





Các bác sĩ đã mổ bỏ răng và tiến hành khâu vết thương cho bệnh nhân

Đội phẫu thuật thẩm mỹ ngay lập tức được gọi tới và các bác sĩ chẩn đoán anh có vết cắn nhiễm trùng, lập tức cho chụp X-quang bàn tay. Kết quả X-quang đã khiến nam thanh niên vô cùng ngạc nhiên khi một chiếc răng cửa mắc kẹt trong bàn tay. Các mẫu gạc cho thấy vết thương chứa rất nhiều vi khuẩn. Ngay lập tức, thanh niên được đưa lên bàn mổ, gây mê tổng quát và gắp bỏ chiếc răng tai hại.

Sau 2 ngày nằm viện, bệnh nhân đã xuất viện và cơ thể phục hồi rất tốt. Viết trên tạp chí, tiến sĩ Roshan Vijayan – một bác sĩ phẫu thuật tại Bệnh viện Nữ hoàng Victora – cho biết ca bệnh cho thấy tầm quan trọng việc tìm hiểu bệnh án và chụp X-quang.

“Trường hợp này không bình thường ở chỗ toàn bộ chiếc răng đã cắm vào tay bệnh nhân không để lại dấu vết, trong khi bệnh nhân không hề biết về điều này” – vị bác sĩ nói.

Vết thương do con người cắn có thể để lại biến chứng nghiêm trọng nếu không được điều trị kịp thời và đúng hướng. Vết cắn do người tạo ra chứa nhiều vi khuẩn độc hại, thông thường là kết quả của cuộc ẩu đả dữ dội nên bệnh nhân khó lòng nắm bắt, mô tả vết thương, đặc biệt ở những người say rượu.

VietSN ©sưu tập
Dịch trang: EnglishEnglish DeutschDeutsch FrançaisFrançais EspañolEspañol ItalianoItaliano PortuguêsPortuguês
NorskNorsk NederlandsNederlands DanskDansk SuomiSuomi PolskiPolski ČeštinaČeština РусскийРусский
日本語日本語 한국어한국어 中文(简体)中文(简体) 中文(繁體)中文(繁體) MagyarMagyar TürkçeTürkçe
العربيةالعربية ไทยไทย LatinaLatina हिन्दीहिन्दी Bahasa IndonesiaBahasa Indonesia Bahasa MelayuBahasa Melayu
VIETBF Hybrid Community Content Hub

HOT NEWS 24h

HOT 3 Days

NEWS 3 Days

HOT 7 Days

NEWS 7 Days

HOME

Breaking News

VietOversea

World News

Business News

Car News

Computer News

Game News

USA News

Mobile News

Music News

Movies News

History

Thơ Ca

Sport News

Stranger Stories

Comedy Stories

Cooking Chat

Nice Pictures

Fashion

School

Travelling

Funny Videos

Canada Tin Hay

USA Tin Hay

VietBF Homepage Autoscroll

VietBF Video Autoscroll Portal

Video Classic Master

iPad News Portal

VietBF iPad Music Portal

Tin nóng nhất 50h qua

Phim Bộ Online

Phim Bộ



troopy
R10 Vô Địch Thiên Hạ
Release: 05-06-2015
Reputation: 228331


Profile:
Join Date: Oct 2014
Posts: 93,690
Last Update: None Rating: None
Attached Thumbnails
Click image for larger version

Name:	4.1.jpg
Views:	0
Size:	35.9 KB
ID:	763251   Click image for larger version

Name:	4.2.jpg
Views:	0
Size:	57.4 KB
ID:	763252   Click image for larger version

Name:	4.3.jpg
Views:	0
Size:	33.5 KB
ID:	763253  

troopy_is_offline
Thanks: 76
Thanked 7,102 Times in 6,198 Posts
Mentioned: 5 Post(s)
Tagged: 0 Thread(s)
Quoted: 34 Post(s)
Rep Power: 116
troopy Reputation Uy Tín Level 10troopy Reputation Uy Tín Level 10troopy Reputation Uy Tín Level 10troopy Reputation Uy Tín Level 10troopy Reputation Uy Tín Level 10troopy Reputation Uy Tín Level 10
troopy Reputation Uy Tín Level 10troopy Reputation Uy Tín Level 10troopy Reputation Uy Tín Level 10troopy Reputation Uy Tín Level 10troopy Reputation Uy Tín Level 10troopy Reputation Uy Tín Level 10troopy Reputation Uy Tín Level 10troopy Reputation Uy Tín Level 10troopy Reputation Uy Tín Level 10troopy Reputation Uy Tín Level 10troopy Reputation Uy Tín Level 10troopy Reputation Uy Tín Level 10troopy Reputation Uy Tín Level 10troopy Reputation Uy Tín Level 10troopy Reputation Uy Tín Level 10troopy Reputation Uy Tín Level 10troopy Reputation Uy Tín Level 10troopy Reputation Uy Tín Level 10troopy Reputation Uy Tín Level 10troopy Reputation Uy Tín Level 10troopy Reputation Uy Tín Level 10troopy Reputation Uy Tín Level 10troopy Reputation Uy Tín Level 10
Dịch trang: EnglishEnglish DeutschDeutsch FrançaisFrançais EspañolEspañol ItalianoItaliano PortuguêsPortuguês
NorskNorsk NederlandsNederlands DanskDansk SuomiSuomi PolskiPolski ČeštinaČeština РусскийРусский
日本語日本語 한국어한국어 中文(简体)中文(简体) 中文(繁體)中文(繁體) MagyarMagyar TürkçeTürkçe
العربيةالعربية ไทยไทย LatinaLatina हिन्दीहिन्दी Bahasa IndonesiaBahasa Indonesia Bahasa MelayuBahasa Melayu
 
User Tag List

Thread Tools


 

iPad Videos Portal Autoscroll

VietBF Music Portal Autoscroll

iPad News Portal Autoscroll

VietBF Homepage Autoscroll

VietBF Video Autoscroll Portal

USA News Autoscroll Portall

VietBF WORLD Autoscroll Portal

Video Classic Master Page

Super Widescreen

iPad World Portal Autoscroll

iPad USA Portal Autoscroll

Phim Bộ Online
Lên đầu Xuống dưới Lên 3000px Xuống 3000px

Tin nóng nhất 24h qua

Tin nóng nhất 3 ngày qua

Tin nóng nhất 7 ngày qua

Tin nóng nhất 30 ngày qua

Albums

Total Videos Online

Tranh luận sôi nổi nhất 7 ngày qua

Tranh luận sôi nổi nhất 14 ngày qua

Tranh luận sôi nổi nhất 30 ngày qua

10.000 Tin mới nhất

Tin tức Hoa Kỳ

Tin tức Công nghệ
Lên đầu Xuống dưới Lên 3000px Xuống 3000px

Duo Series Movies Portal

Duo Music Portal

Phim Bộ

Tỷ Giá

Thời Tiết

Tin Nóng Nhất 50h

Super News

School Cooking Traveling Portal

Enter Portal

Series Shows and Movies Online

Home Classic Master Page

Donation Ủng hộ $3 cho VietBF
Lên đầu Xuống dưới Lên 3000px Xuống 3000px
Diễn Đàn Người Việt Hải Ngoại. Tự do ngôn luận, an toàn và uy tín. Vì một tương lai tươi đẹp cho các thế hệ Việt Nam hãy ghé thăm chúng tôi, hãy tâm sự với chúng tôi mỗi ngày, mỗi giờ và mỗi giây phút có thể. VietBF.Com Xin cám ơn các bạn, chúc tất cả các bạn vui vẻ và gặp nhiều may mắn.
Welcome to Vietnamese American Community, Vietnamese European, Canadian, Australian Forum, Vietnamese Overseas Forum. Freedom of speech, safety and prestige. For a beautiful future for Vietnamese generations, please visit us, talk to us every day, every hour and every moment possible. VietBF.Com Thank you all and good luck.

Lên đầu Xuống dưới Lên 3000px Xuống 3000px

All times are GMT. The time now is 04:18.
VietBF - Vietnamese Best Forum Copyright ©2005 - 2026
User Alert System provided by Advanced User Tagging (Pro) - vBulletin Mods & Addons Copyright © 2026 DragonByte Technologies Ltd.
Log Out Unregistered

Page generated in 0.10533 seconds with 13 queries