HOME-Au
HOME-Au
24h
24h
USA
USA
GOP
GOP
Phim Bộ
Phim Bộ
Videoauto
VIDEO-Au
Home Classic
Home Classic
Donation
Donation
News Book
News Book
News 50
News 50
worldautoscroll
WORLD-Au
Breaking
Breaking
 

Go Back   VietBF > Other News|Tin Khác > School | Kiến thức > School | Kiến thức 2006-2019


 
 
Thread Tools
  #1  
Old  Default Nhất định bạn phải biết về căn bệnh về răng miệng cực kỳ nguy hiểm này
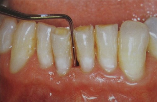
Đó là căn bệnh cực kỳ mất thẩm mỹ và là nguyên nhân gây hôi miệng. Có nhiều nguyên nhân gây ra bệnh. Bạn nên biết để đề phòng căn bệnh này. Bệnh đó là: Tụt lợi.
Tụt lợi là quá trình lộ bề mặt chân răng do sự di chuyển về phía chóp chân răng của lợi. Hiện tượng này còn khiến khoảng cách các kẽ răng ngày càng lớn, tạo điều kiện cho vi khuẩn tích tụ gây mất thẩm mỹ và hôi miệng. Răng trở nên nhạy cảm và dễ bị tổn thương hơn. Bên cạnh đó, các mô nâng đỡ và phần cấu trúc xương cũng có nguy cơ bị hư hại dẫn đến rụng răng.


Bệnh gây mất thẩm mỹ răng và hôi miệng. (Ảnh: Internet)
Tuy nhiên, bạn có thể ngăn chặn được chứng bệnh này bởi thời gian phát triển của rất chậm. Dưới đây là những điều về bệnh tụt lợi bạn cần biết nhằm hạn chế tối đa những hậu quả cũng như tự chăm sóc khi bị tụt lợi bên cạnh sự hỗ trợ điều trị của nha sĩ.


Thời gian tiến triển của bệnh rất chậm nên bạn có thể ngăn ngừa được. (Ảnh: Internet)
Trước tiên hãy cùng tìm hiểu những nguyên nhân gây tụt lợi.
Vệ sinh răng miệng kém
Không đánh răng đầy đủ là nguyên nhân làm cho bợn bám quanh răng, dẫn đến lợi bị rút về chân răng.

Hãy đánh răng ít nhất 2 lần một ngày để có hàm răng khỏe, đẹp. (Ảnh: Internet)
Di truyền
Di truyền cũng là một trong những nguyên nhân gây ra tụt lợi.
Viêm quanh răng
Ở những răng xoay, nghiêng, sai vị trí, lệch ra phía trước thì tấm xương ổ răng mỏng, bị giảm chiều cao, áp lực khi nhai thức ăn cứng sẽ làm mòn phần lợi không được xương nâng đỡ phía dưới, gây ra co lợi.


Viêm chân răng là một căn bệnh rất nguy hiểm. (Ảnh: Internet)
Thiếu cân bằng hormone
Nữ giới có nguy cơ mắc bệnh này cao hơn nam giới, đặc biệt trong thời kì mang thai hay kinh nguyệt. Vì khi đó các hormone trong cơ thể thay đổi trồi sụt khiến cho các tế bào trong miệng trở nên yếu ớt, dễ bị vi trùng xâm nhập.
Chải răng không đúng cách
Hành động này sẽ làm mòn lợi (lợi mỏng và thấp dần). Nhiều nghiên cứu cho thấy, có sự liên quan giữa co lợi và thói quen dùng bàn chải cứng.

Bàn chải cứng sẽ làm mòn lợi. (Ảnh: Internet)
Hút thuốc
Hút thuốc lá khiến các mảng bám, vết ố vàng, tích tụ, do đó vi khuẩn dễ dàng xâm nhập vào chân răng.


Tác hại của hút thuốc đối với răng là không thể bàn cãi. (Ảnh: Internet)
Bạn có thể chữa tụt lợi chỉ với những loài thảo mộc dễ tìm quanh nhà bếp.
Trà xanh
Đây được xem là một thần dược dành cho răng. Trong trà xanh có chứa rất nhiều chất chống oxy giúp ngăn chặn viêm quanh răng. Hãy tập thói quen uống một cốc trà xanh vào mỗi buổi sáng nhé!


Một cốc trà xanh mỗi buổi sáng là "vị cứu tinh" cho hàm răng tụt lợi. (Ảnh: Internet)
Tinh dầu bạch đàn
Dầu bạch đàn chứa chất chống viêm đồng thời nó có khả năng tiêu diệt vi khuẩn và mảng bám. Nhỏ 1-2 giọt tinh dầu vào 1-2 muỗng nước. Trộn đều, thoa lên lợi rồi massage nhẹ nhàng.


Tinh dầu bạch đàn chứa chất chống viêm. (Ảnh: Internet)
Lô hội
Ngoài công dụng "thần dành" với da, lô hội còn có tác dụng chữa viêm, làm lành các tế bào bị thương tổn và kháng khuẩn. Có thể sử dụng lô hội để đánh răng bằng cách thoa gel lô hội vào bàn chải và chải sạch trong vòng 3-5 phút, sau đó rửa sạch.


Bạn có thể sử dụng lô hội để đánh răng. (Ảnh: Internet)
Nhựa trầm hương
Chất nhựa trong cây trầm hương là những gì bạn cần trong việc chữa các bệnh liên quan đến răng và nướu. Hòa bột nhựa trầm hương với nước sao cho tạo thành hỗn hợp sền sệt. Thoa lên nướu và massage trong vài phút.


Nhựa cây trầm hương. (Ảnh: Internet)


Vietbf @ sưu tầm.
VIETBF Diễn Đàn Hay Nhất Của Người Việt Nam

HOT NEWS 24h

HOT 3 Days

NEWS 3 Days

HOT 7 Days

NEWS 7 Days

HOME

Breaking News

VietOversea

World News

Business News

Car News

Computer News

Game News

USA News

Mobile News

Music News

Movies News

History

Thơ Ca

Sport News

Stranger Stories

Comedy Stories

Cooking Chat

Nice Pictures

Fashion

School

Travelling

Funny Videos

Canada Tin Hay

USA Tin Hay

VietBF Homepage Autoscroll

VietBF Video Autoscroll Portal

Home Classic

Home Classic Master Page

VietBF iPad Music Portal

Tin nóng nhất 50h qua

Phim Bộ Online

Phim Bộ



pizza
R11 Tuyệt Thế Thiên Hạ
Release: 06-26-2016
Reputation: 237154


Profile:
Join Date: Sep 2014
Posts: 107,019
Last Update: None Rating: None
Attached Thumbnails
Click image for larger version

Name:	181.jpg
Views:	0
Size:	30.7 KB
ID:	902767   Click image for larger version

Name:	182.jpg
Views:	0
Size:	26.1 KB
ID:	902768   Click image for larger version

Name:	183.jpg
Views:	0
Size:	23.9 KB
ID:	902769  

Click image for larger version

Name:	184.jpg
Views:	0
Size:	30.0 KB
ID:	902770   Click image for larger version

Name:	185.jpg
Views:	0
Size:	21.0 KB
ID:	902771   Click image for larger version

Name:	186.jpg
Views:	0
Size:	26.1 KB
ID:	902772  

Click image for larger version

Name:	187.jpg
Views:	0
Size:	32.2 KB
ID:	902773   Click image for larger version

Name:	188.jpg
Views:	0
Size:	27.1 KB
ID:	902774   Click image for larger version

Name:	189.jpg
Views:	0
Size:	41.9 KB
ID:	902775  

Click image for larger version

Name:	1910.jpg
Views:	0
Size:	114.0 KB
ID:	902776  
pizza_is_offline
Thanks: 7
Thanked 8,106 Times in 7,216 Posts
Mentioned: 6 Post(s)
Tagged: 0 Thread(s)
Quoted: 41 Post(s)
Rep Power: 130
pizza Reputation Uy Tín Level 10pizza Reputation Uy Tín Level 10pizza Reputation Uy Tín Level 10pizza Reputation Uy Tín Level 10pizza Reputation Uy Tín Level 10pizza Reputation Uy Tín Level 10pizza Reputation Uy Tín Level 10
pizza Reputation Uy Tín Level 10pizza Reputation Uy Tín Level 10pizza Reputation Uy Tín Level 10pizza Reputation Uy Tín Level 10pizza Reputation Uy Tín Level 10pizza Reputation Uy Tín Level 10pizza Reputation Uy Tín Level 10pizza Reputation Uy Tín Level 10pizza Reputation Uy Tín Level 10pizza Reputation Uy Tín Level 10pizza Reputation Uy Tín Level 10pizza Reputation Uy Tín Level 10pizza Reputation Uy Tín Level 10pizza Reputation Uy Tín Level 10pizza Reputation Uy Tín Level 10pizza Reputation Uy Tín Level 10pizza Reputation Uy Tín Level 10pizza Reputation Uy Tín Level 10pizza Reputation Uy Tín Level 10pizza Reputation Uy Tín Level 10pizza Reputation Uy Tín Level 10pizza Reputation Uy Tín Level 10
 
User Tag List

Thread Tools

Rò Rỉ Nhân Sự Đại Hội 14: Cuộc Mặc Cả Quyền Lực Giữa Công An – Quân Đội? Yamaguchi-gumi Rầm Rộ Họp Cuối Năm: Xã Hội Đen Lớn Nhật Nhật Bản Vẫn Sống Khỏe Giữa Thời “Văn Minh” Công nghiệp đẻ thuê cho tài phiệt Trung Quốc: Khi hộ chiếu Mỹ bị biến thành món hàng
Mẹ Cường "đô la" nguy cơ lại bị bắt Từ hiện tượng "Trumpugee", làm như thế nào để đi ra khỏi nước Mỹ? Kinh tế Việt Cộng nát như tương, Khi Gánh Thuế Nặng Hơn Gánh Hàng: Tiểu Thương Vật Vã Giữa Chợ Vắng Và Dự Án Tỷ Đô
Nhiều "nhà giàu" đi BMW, Lexus, Mercedes bán rau ở Bolsa : Bãi Đậu Xe Hóa Chợ Đuôi Xe Trần Đồng Lan (Lana Condor) – Cô Bé Mồ Côi Cần Thơ Trở Thành Minh Tinh Hollywood Những chuyện hài hước nhất hôm nay
Tướng tình báo Venezuela tiết lộ mạng lưới ma túy – gián điệp cắm sâu vào nước Mỹ? 5 tiểu bang lạnh nhất nước Mỹ (trừ Alaska) – và những nơi mùa đông ‘dễ thở’ cho người Việt Đàm phán Miami: Trump sốt ruột tìm hòa bình, Putin ung dung chờ thắng chậm
Khi Trump tái khởi động ‘chiến tranh ma túy’: từ tàu ma túy bị bắn chìm đến nỗi mất ngủ ở Caracas Mỹ thời Trump: Trục xuất người Iran về ‘địa ngục’, rồi dùng drone Iran để đánh Iran Donald Trump và học thuyết mới: Mỹ không còn làm ‘cảnh sát toàn cầu’
GDP giảm 0,1% và những con người mất trắng 100% sau bão lũ Michael và Susan Dell donate 6,25 tỷ USD vào “Tài khoản Trump”: Kho báu cho trẻ em Mỹ hay chỉ là cú khuyến đẻ kể cho vui? Đường sắt cao tốc 61 tỷ USD và ‘doanh nhân xù nợ’ 30 triệu
Những chuyện hài hước nhất hôm nay Mailisa bất ngờ “đóng cửa” giữa bão điều tra: Đế chế làm đẹp nghìn tỷ khép lại MAGA Đen - MAGA Đỏ - Giấc mơ đế chế dữ liệu của Peter Thiel và giới trọc phú công nghệ
Ánh đèn hiên nhà trong đêm bão tuyết: câu chuyện Lễ Tạ Ơn kỳ diệu sau 41 năm Xả súng gần Nhà Trắng: Bi kịch Lễ Tạ Ơn và cuộc chơi chính trị của Trump với hồ sơ di dân Afghanistan Từ Frankenstein đến Game of Drones: Khi công nghệ biến chiến tranh thành cuộc hỗn loạn vĩnh viễn
Biển lửa Wang Fuk Court: 65 người chết, Hồng Kông choáng váng trước “thảm họa giàn giáo tre” Biển lửa Wang Fuk Court: Thảm họa người già Hồng Kông và cuộc điều tra “sự cứu thả chết người” Chết cháy hàng loạt tại Hồng Kông, các toà nhà biến thành địa ngục, hàng trăm người mất tích
Black Friday ảm đạm ngoài phố, rực lửa trên livestream: Người Việt đổi kiểu săn sale Cánh tay phải của Zelensky ngã ngựa: Ukraine bị ép chọn giữa danh dự và đồng minh Tryptophan trên tiểu hành tinh Bennu: Phát hiện mới cho thấy “công thức sự sống” đến từ vũ trụ
Trump, Donetsk và “thỏa thuận không thể”: Ukraine bị ép vào góc hẹp của một nền hòa bình đẫm máu Từ Stalin tới Putin: 86 năm sau, bóng ma chiến tranh mùa đông vẫn ám ảnh đế quốc Nga Putin khen kế hoạch hòa bình của Mỹ nhưng dọa chiếm thêm đất nếu Kyiv không rút quân
Trump siết nhập cư sau vụ nổ súng: Rà soát toàn bộ thẻ xanh từ 19 “quốc gia đáng lo ngại” Thảm họa cháy chung cư ở Hong Kong: 128 người chết, hàng trăm người mất tích và những câu hỏi nhức nhối Cô gái Brazil bị trục xuất và nghịch lý cay đắng ngay trong gia đình phát ngôn viên Nhà Trắng

 
Lên đầu Xuống dưới Lên 3000px Xuống 3000px

iPad Videos Portal Autoscroll

VietBF Music Portal Autoscroll

iPad News Portal Autoscroll

VietBF Homepage Autoscroll

VietBF Video Autoscroll Portal

USA News Autoscroll Portall

VietBF WORLD Autoscroll Portal

Home Classic

Super Widescreen

iPad World Portal Autoscroll

iPad USA Portal Autoscroll

Phim Bộ Online

Tin nóng nhất 24h qua

Tin nóng nhất 3 ngày qua

Tin nóng nhất 7 ngày qua

Tin nóng nhất 30 ngày qua

Albums

Total Videos Online
Lên đầu Xuống dưới Lên 3000px Xuống 3000px

Tranh luận sôi nổi nhất 7 ngày qua

Tranh luận sôi nổi nhất 14 ngày qua

Tranh luận sôi nổi nhất 30 ngày qua

10.000 Tin mới nhất

Tin tức Hoa Kỳ

Tin tức Công nghệ
Lên đầu Xuống dưới Lên 3000px Xuống 3000px

Super News

School Cooking Traveling Portal

Enter Portal

Series Shows and Movies Online

Home Classic Master Page

Donation Ủng hộ $3 cho VietBF
Lên đầu Xuống dưới Lên 3000px Xuống 3000px
Diễn Đàn Người Việt Hải Ngoại. Tự do ngôn luận, an toàn và uy tín. Vì một tương lai tươi đẹp cho các thế hệ Việt Nam hãy ghé thăm chúng tôi, hãy tâm sự với chúng tôi mỗi ngày, mỗi giờ và mỗi giây phút có thể. VietBF.Com Xin cám ơn các bạn, chúc tất cả các bạn vui vẻ và gặp nhiều may mắn.
Welcome to Vietnamese American Community, Vietnamese European, Canadian, Australian Forum, Vietnamese Overseas Forum. Freedom of speech, safety and prestige. For a beautiful future for Vietnamese generations, please visit us, talk to us every day, every hour and every moment possible. VietBF.Com Thank you all and good luck.

Lên đầu Xuống dưới Lên 3000px Xuống 3000px

All times are GMT. The time now is 11:12.
VietBF - Vietnamese Best Forum Copyright ©2005 - 2025
User Alert System provided by Advanced User Tagging (Pro) - vBulletin Mods & Addons Copyright © 2025 DragonByte Technologies Ltd.
Log Out Unregistered

Page generated in 0.14265 seconds with 13 queries