HOME-Au
HOME-Au
24h
24h
USA
USA
GOP
GOP
Phim Bộ
Phim Bộ
Videoauto
VIDEO-Au
Home Classic
Home Classic
Donation
Donation
News Book
News Book
News 50
News 50
worldautoscroll
WORLD-Au
Breaking
Breaking
 

Go Back   VietBF > World Box| Thế Giới > Vietnam News | Tin Việt Nam


Reply
 
Thread Tools
  #1  
Old  Default Sán làm tổ chi chít khắp cơ thể vì món khoái khẩu nhiều người Việt 'nghiện'
Ngày 28/2, thông tin từ Bệnh viện Nhân Dân 115 cho biết, tại đây vừa tiếp nhận, điều trị cho một trường hợp bị nhiễm sán dải lợn rất nặng. Nguyên nhân nhiễm sán được xác định là do món thịt lợn tái người bệnh rất thích ăn.

Đó là trường hợp bệnh nhân nam 66 tuổi, ngụ tại huyện Hóc Môn, TPHCM. Thời điểm nhập viện, bệnh nhân trong tình trạng đau đầu dữ dội, co giật, méo miệng, yếu nhẹ nửa người bên phải.

Khai thác bệnh sử của bác sĩ từ phía gia đình ghi nhận, người bệnh đã có triệu chứng mệt mỏi, đau cơ, tiêu phân lỏng, nôn ói kéo dài, sụt cân, hồi hộp đánh trống ngực, rối loạn nhịp tim,... thậm chí đã từng bị ngất kéo dài nhiều tháng qua.


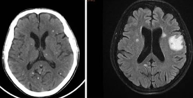
Nang sán dải ký sinh ở bán cầu não hai bên là nguyên nhân khiến người bệnh bị tổn thương não, biểu hiện như đột quỵ

TS.BS Trần Thanh Hùng, Phó khoa Nội Thần kinh Tổng quát, Bệnh viện Nhân Dân 115 cho biết, qua thăm khám và chẩn đoán hình ảnh ghi nhận, người bệnh có tổn thương não nhiều vị trí, phù não. Kết quả xét nghiệm huyết thanh học cho thấy, bệnh nhân dương tính với ấu trùng sán dải lợn (Cysticercus).

Trên kết quả X-quang và CT-Scan toàn thân, bác sĩ phát hiện bệnh nhân có vô số nang sán dải còn sống hoặc đã bị vôi hóa ở não, nhu mô phổi, trong da, cơ trên toàn bộ cơ thể. Qua điều tra dịch tễ, bác sĩ ghi nhận bệnh nhân có thói quen hay ăn gỏi thịt lợn tái sống và uống nước không đun sôi trong nhiều năm.

Sau chẩn đoán, bác sĩ chỉ định cho bệnh nhân điều trị bằng thuốc chống ký sinh trùng, chống viêm, phòng ngừa co giật, chăm sóc tích cực. Sau quá trình điều trị, sức khỏe bệnh nhân đang bình phục tốt.

Theo TS.BS Trần Thanh Hùng, bệnh sán dải lợn do ký sinh trùng Taenia solium gây ra. Có hai dạng phổ biến là sán dải trưởng thành sống trong ruột non và ấu trùng sán dải ký sinh tại các cơ quan khắp cơ thể. Đây là bệnh nguy hiểm, dễ mắc ở những người có thói quen ăn uống không đảm bảo vệ sinh.


Ấu trùng nang sán dải lợn ký sinh khắp cơ thể người bệnh được phát hiện trên kết quả kiểm tra hình ảnh

Bệnh nang sán dải lợn có thể gây ra nhiều triệu chứng thần kinh nghiêm trọng như co giật, đau đầu kéo dài, rối loạn ý thức. Do đó, việc chẩn đoán sớm và chính xác đóng vai trò quan trọng trong điều trị và phòng ngừa các biến chứng nguy hiểm.

Từ trường hợp trên, bác sĩ khuyến cáo cộng đồng cần ăn chín, uống chín, tẩy giun sán định kỳ 6 tháng/lần. Khi cơ thể có dấu hiệu bất thường, cần đến bệnh viện thăm khám để được chẩn đoán, điều trị kịp thời.

"Người ăn phải thịt lợn có nang chứa ấu trùng sán dải còn sống (heo gạo), khi vào ruột non sẽ nở ra thành con sán trưởng thành. Trường hợp người nuốt phải trứng sán dải lợn thì sẽ phát triển thành bệnh nang sán dải lợn. Trứng sán dải lợn xâm nhập vào cơ thể qua đường tiêu hóa, nở thành ấu trùng. Sau đó, ấu trùng di chuyển qua hệ tuần hoàn và "định cư" tại các cơ quan như não, cơ hoặc mắt, gây tổn thương nghiêm trọng. Nguồn lây nhiễm phổ biến là từ những món ăn như nem chua, thịt lợn tái sống, rau sống, hoặc do vệ sinh tay kém" - TS.BS Trần Thanh Hùng nói.
VIETBF Diễn Đàn Hay Nhất Của Người Việt Nam

HOT NEWS 24h

HOT 3 Days

NEWS 3 Days

HOT 7 Days

NEWS 7 Days

HOME

Breaking News

VietOversea

World News

Business News

Car News

Computer News

Game News

USA News

Mobile News

Music News

Movies News

History

Thơ Ca

Sport News

Stranger Stories

Comedy Stories

Cooking Chat

Nice Pictures

Fashion

School

Travelling

Funny Videos

Canada Tin Hay

USA Tin Hay

VietBF Homepage Autoscroll

VietBF Video Autoscroll Portal

Home Classic

Home Classic Master Page



miro1510
R9 Tuyệt Đỉnh Tôn Sư
Release: 03-01-2025
Reputation: 13829


Profile:
Join Date: Oct 2014
Posts: 46,966
Last Update: None Rating: None
Attached Thumbnails
Click image for larger version

Name:	y-te-2-1535-543-1740790547099-17407905472232116877199.jpg
Views:	0
Size:	37.4 KB
ID:	2496720  
miro1510_is_offline
Thanks: 9
Thanked 2,092 Times in 1,931 Posts
Mentioned: 3 Post(s)
Tagged: 0 Thread(s)
Quoted: 8 Post(s)
Rep Power: 58
miro1510 Reputation Uy Tín Level 6
miro1510 Reputation Uy Tín Level 6miro1510 Reputation Uy Tín Level 6miro1510 Reputation Uy Tín Level 6miro1510 Reputation Uy Tín Level 6miro1510 Reputation Uy Tín Level 6miro1510 Reputation Uy Tín Level 6miro1510 Reputation Uy Tín Level 6miro1510 Reputation Uy Tín Level 6miro1510 Reputation Uy Tín Level 6miro1510 Reputation Uy Tín Level 6miro1510 Reputation Uy Tín Level 6miro1510 Reputation Uy Tín Level 6miro1510 Reputation Uy Tín Level 6miro1510 Reputation Uy Tín Level 6miro1510 Reputation Uy Tín Level 6miro1510 Reputation Uy Tín Level 6
Reply

User Tag List



 
Lên đầu Xuống dưới Lên 3000px Xuống 3000px

iPad Videos Portal Autoscroll

VietBF Music Portal Autoscroll

iPad News Portal Autoscroll

VietBF Homepage Autoscroll

VietBF Video Autoscroll Portal

USA News Autoscroll Portall

VietBF WORLD Autoscroll Portal

Home Classic

Super Widescreen

iPad World Portal Autoscroll

iPad USA Portal Autoscroll

Phim Bộ Online

Tin nóng nhất 24h qua

Tin nóng nhất 3 ngày qua

Tin nóng nhất 7 ngày qua

Tin nóng nhất 30 ngày qua

Albums

Total Videos Online
Lên đầu Xuống dưới Lên 3000px Xuống 3000px

Tranh luận sôi nổi nhất 7 ngày qua

Tranh luận sôi nổi nhất 14 ngày qua

Tranh luận sôi nổi nhất 30 ngày qua

10.000 Tin mới nhất

Tin tức Hoa Kỳ

Tin tức Công nghệ
Lên đầu Xuống dưới Lên 3000px Xuống 3000px

Super News

School Cooking Traveling Portal

Enter Portal

Series Shows and Movies Online

Home Classic Master Page

Donation Ủng hộ $3 cho VietBF
Lên đầu Xuống dưới Lên 3000px Xuống 3000px
Diễn Đàn Người Việt Hải Ngoại. Tự do ngôn luận, an toàn và uy tín. Vì một tương lai tươi đẹp cho các thế hệ Việt Nam hãy ghé thăm chúng tôi, hãy tâm sự với chúng tôi mỗi ngày, mỗi giờ và mỗi giây phút có thể. VietBF.Com Xin cám ơn các bạn, chúc tất cả các bạn vui vẻ và gặp nhiều may mắn.
Welcome to Vietnamese American Community, Vietnamese European, Canadian, Australian Forum, Vietnamese Overseas Forum. Freedom of speech, safety and prestige. For a beautiful future for Vietnamese generations, please visit us, talk to us every day, every hour and every moment possible. VietBF.Com Thank you all and good luck.

Lên đầu Xuống dưới Lên 3000px Xuống 3000px

All times are GMT. The time now is 21:41.
VietBF - Vietnamese Best Forum Copyright ©2005 - 2025
User Alert System provided by Advanced User Tagging (Pro) - vBulletin Mods & Addons Copyright © 2025 DragonByte Technologies Ltd.
Log Out Unregistered

Page generated in 0.11333 seconds with 15 queries