HOME-Au
HOME-Au
24h
24h
USA
USA
GOP
GOP
Phim Bộ
Phim Bộ
Videoauto
VIDEO-Au
Donation
Donation
News Book
News Book
News 50
News 50
worldautoscroll
WORLD-Au
Breaking
Breaking
 

Go Back   VietBF > Other > School | Kiến thức > School | Kiến thức 2006-2019


 
Thread Tools
 
 
  #1  
Old  Default Nhịn hắt hơi có thể ngầm giết chết bạn
Một người đàn ông ở Anh đã phải cấp cứu vì nhịn hắt hơi. Đây tưởng chừng như việc vô hại nhưng lại gây hậu quả khôn lường. Người đàn ông này vì nén hắt hơi đã làm rách mô mềm ở cổ họng.

Sau khi một người đàn ông tự xé rách cổ họng mình do nhịn hắt hơi, một bài báo đã được đăng trên tạp chí y học BMJ Case Reports cùng lời cảnh báo của các chuyên gia y tế về vấn đề này.

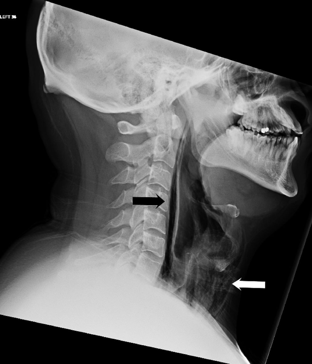
Các bác sĩ đến từ Leicester (Anh) đã đề cập đến ca cấp cứu của người đàn ông 34 tuổi bước vào phòng cấp cứu với những triệu chứng như đau nhức, khó khăn khi nuốt, nói chuyện và một cảm giác "lộm cộm" trong cổ họng bị sưng. Bệnh nhân này cho biết, những vấn đề này bắt đầu khi anh kìm nén cơn hắt hơi mạnh bằng cách bịt mũi và ngậm chặt miệng. Sau khi chụp X quang, nhận thấy có các vệt không khí ở phần ngực và cổ, các bác sĩ tiếp tục chụp CT và phát hiện ra áp lực của cơn hắt hơi bị nén kia đã xé rách mô mềm cổ họng.


Ảnh chụp X quang của bệnh nhân.

Tiến sĩ Anthony Aymat, giám đốc khoa tai mũi họng tại Bệnh viện Trường Đại học Lewisham London cho biết: "Khi hắt hơi, không khí đi ra khỏi cơ thể bạn với vận tốc khoảng 150 dặm/giờ, nếu giữ lại tất cả những áp lực đó, nó có thể gây ra rất nhiều thiệt hại và bạn có thể nhận kết cục như người đàn ông trên".

Với nguy cơ nhiễm trùng sâu hơn vào cổ, thậm chí là viêm tủy, bệnh nhân đã phải nằm viện một tuần và được điều trị cẩn thận. Các bác sĩ đã cho anh dùng kháng sinh và cho ăn bằng đường ống luồn qua mũi để tránh làm tổn thương thêm cổ họng.


Bác sĩ Zi Yang Jiang, bác sĩ phẫu thuật chuyên khoa đầu và cổ Trung tâm Khoa học Y khoa Đại học Texas cho biết, những trường hợp chấn thương từ việc kìm nén hắt hơi là rất hiếm, mỗi năm ông chỉ gặp một đến hai ca. Ông cũng nói thêm, thật bất ngờ khi một cơn hắt hơi đơn lẻ có thể tạo ra đủ lực để làm tổn thương cơ thể người lớn đến vậy, gần như bằng vết thương gây ra từ súng. Việc này thường xảy ra khi bệnh nhân mắc một số bệnh về phổi.

Theo các chuyên gia, dù việc hắt hơi khiến vi khuẩn lan truyền qua đường không khí nhưng mọi người vẫn nên "để chúng bay ra", chỉ cần nhớ sử dụng khăn giấy và lau rửa tay cẩn thận là được.

Khi cái lạnh mùa đông thường khiến chúng ta dễ bị cảm cúm thì bạn đừng cố nhịn hắt hơi nhé. Thay vào đó, hãy sử dụng những chiếc khăn giấy che miệng khi làm điều này, vừa tránh phát tán vi khuẩn, vừa đảm bảo lịch sự nơi công cộng.
Dịch trang: EnglishEnglish DeutschDeutsch FrançaisFrançais EspañolEspañol ItalianoItaliano PortuguêsPortuguês
NorskNorsk NederlandsNederlands DanskDansk SuomiSuomi PolskiPolski ČeštinaČeština РусскийРусский
日本語日本語 한국어한국어 中文(简体)中文(简体) 中文(繁體)中文(繁體) MagyarMagyar TürkçeTürkçe
العربيةالعربية ไทยไทย LatinaLatina हिन्दीहिन्दी Bahasa IndonesiaBahasa Indonesia Bahasa MelayuBahasa Melayu
VIETBF Hybrid Community Content Hub

HOT NEWS 24h

HOT 3 Days

NEWS 3 Days

HOT 7 Days

NEWS 7 Days

HOME

Breaking News

VietOversea

World News

Business News

Car News

Computer News

Game News

USA News

Mobile News

Music News

Movies News

History

Thơ Ca

Sport News

Stranger Stories

Comedy Stories

Cooking Chat

Nice Pictures

Fashion

School

Travelling

Funny Videos

Canada Tin Hay

USA Tin Hay

VietBF Homepage Autoscroll

VietBF Video Autoscroll Portal

Video Classic Master

iPad News Portal

VietBF iPad Music Portal

Tin nóng nhất 50h qua

Phim Bộ Online

iMusic Pro Max



june04
R10 Vô Địch Thiên Hạ
Release: 02-07-2018
Reputation: 17597


Profile:
Join Date: Oct 2014
Posts: 70,530
Last Update: None Rating: None
Attached Thumbnails
Click image for larger version

Name:	46.jpg
Views:	0
Size:	123.4 KB
ID:	1172439   Click image for larger version

Name:	47.jpg
Views:	0
Size:	203.9 KB
ID:	1172440  
june04_is_offline
Thanks: 4
Thanked 3,353 Times in 2,956 Posts
Mentioned: 0 Post(s)
Tagged: 0 Thread(s)
Quoted: 22 Post(s)
Rep Power: 82
june04 Reputation Uy Tín Level 6
june04 Reputation Uy Tín Level 6june04 Reputation Uy Tín Level 6june04 Reputation Uy Tín Level 6june04 Reputation Uy Tín Level 6june04 Reputation Uy Tín Level 6june04 Reputation Uy Tín Level 6june04 Reputation Uy Tín Level 6june04 Reputation Uy Tín Level 6june04 Reputation Uy Tín Level 6june04 Reputation Uy Tín Level 6june04 Reputation Uy Tín Level 6june04 Reputation Uy Tín Level 6june04 Reputation Uy Tín Level 6june04 Reputation Uy Tín Level 6june04 Reputation Uy Tín Level 6june04 Reputation Uy Tín Level 6june04 Reputation Uy Tín Level 6june04 Reputation Uy Tín Level 6june04 Reputation Uy Tín Level 6june04 Reputation Uy Tín Level 6june04 Reputation Uy Tín Level 6june04 Reputation Uy Tín Level 6
Dịch trang: EnglishEnglish DeutschDeutsch FrançaisFrançais EspañolEspañol ItalianoItaliano PortuguêsPortuguês
NorskNorsk NederlandsNederlands DanskDansk SuomiSuomi PolskiPolski ČeštinaČeština РусскийРусский
日本語日本語 한국어한국어 中文(简体)中文(简体) 中文(繁體)中文(繁體) MagyarMagyar TürkçeTürkçe
العربيةالعربية ไทยไทย LatinaLatina हिन्दीहिन्दी Bahasa IndonesiaBahasa Indonesia Bahasa MelayuBahasa Melayu
 
User Tag List

Thread Tools

Scandal tình dục làm rung chuyển cuộc đua thống đốc California: Eric Swalwell “tự bắn vào chân”, cục diện đảo chiều phút chót Cuba giữa vòng vây cấm vận: Bản lĩnh của "Hòn đảo tự do" hay bước đường cùng trước tối hậu thư từ Washington? Eo biển Hormuz bên bờ phong tỏa: Đàm phán Mỹ-Iran sụp đổ, chiến tranh ngôn từ hóa thành đòn siết thương mại toàn cầu
Giấc mơ xe hơi Mỹ dần xa tầm tay: Khi giá xe leo thang, người trẻ chật vật xoay xở Sự thật về vụ nổ súng kinh hoàng của đặc vụ ICE tại California Đàm phán Mỹ–Iran xuyên đêm thất bại: Hừng đông vỡ mộng tại Islamabad
Những chuyện hài hước nhất hôm nay Hội nghị Islamabad: Đêm trắng nghẹt thở bên bờ vực chiến tranh và những "toan tính" trên bàn cờ Mỹ - Iran Sự Thật Bị Che Khuất: Cuộc Chiến Biên Giới 1979 Và Nỗi Đau Lịch Sử Chưa Được Gọi Tên
Mỹ chưa sẵn sàng hộ tống tàu qua Hormuz, Nga bị tố giúp Iran, “Ayatollah” là gì, Mỹ tiết lộ số dầu trung bình-thấp còn trong kho Thông điệp đầu tiên của Tân Giáo Chủ Ba Tư: đóng Hormuz, dọa đánh căn cứ Mỹ và lời trấn an nửa vời với láng giềng Putin trúng số giữa cơn bão Trung Đông: khi dầu mỏ, chiến tranh và ảo tưởng của Trump cùng đẩy Nga hưởng lợi
Iran đưa ra ba điều kiện để chấm dứt chiến tranh, Giá nhiên liệu máy bay tăng mạnh, du lịch Trung Đông thiệt hại 600 triệu USD mỗi ngày California thấp thỏm, Iran mở rộng đòn đánh, hai tàu chở dầu bốc cháy, Mỹ tung 172 triệu thùng, Trump tuyên bố “đã thắng” Mỹ đánh Iran, châu Âu đứng nửa gần nửa xa: Donald Trump bỗng thấy cô đơn giữa vòng đồng minh
“G2” hay giấc mộng lưỡng cực: Trump muốn Mỹ - Trung cùng chia thiên hạ, Bắc Kinh lại không muốn mang tiếng bá quyền Nga ngồi không cũng hưởng lợi: chiến tranh Iran có thể thành “mỏ vàng” mới cho Điện Kremlin Eo biển Hormuz bốc lửa, chiến tranh lan rộng: Tàu hàng Thái Lan nổ tung, Iran có kho thuỷ lôi đáng sợ
DHS “quay xe” vụ dừng PreCheck: Hành khách thở phào, Global Entry vẫn bấp bênh Newsom “lên đường” bằng tour sách: Nếu đối đầu Kamala Harris, đó là… số phận Đêm Mar-a-Lago: Kẻ mang súng và can xăng bị bắn hạ ngay cổng Bắc
Tô Lâm bắt đầu chiến dịch thanh trừng các đàn em của Nguyễn Phú Trọng còn sót lại TRUMP MANG LẠI THÙ GHÉT CHƯA TỪNG THẤY Tràn ngập ảnh Đinh La Thăng ăn tết ở nhà, báo chí trong nước bịt kín thông tin
Trump nâng thuế quan toàn cầu lên 15% sau phán quyết Tối Cao Pháp Viện: “Đòn bẩy” mới, sóng gió mới Bốn năm chiến sự Ukraine: Nga trả giá bằng máu, bằng tiền – và bằng vị thế quốc tế Sydney rộn ràng Hội Chợ Tết Bính Ngọ 2026: Khai mạc tưng bừng – Hôm nay (CN 22/2) tiếp tục 10AM–10PM, pháo bông 9PM

 

iPad Videos Portal Autoscroll

VietBF Music Portal Autoscroll

iPad News Portal Autoscroll

VietBF Homepage Autoscroll

VietBF Video Autoscroll Portal

USA News Autoscroll Portall

VietBF WORLD Autoscroll Portal

Video Classic Master Page

Super Widescreen

iPad World Portal Autoscroll

iPad USA Portal Autoscroll

Phim Bộ Online
Lên đầu Xuống dưới Lên 3000px Xuống 3000px

Tin nóng nhất 24h qua

Tin nóng nhất 3 ngày qua

Tin nóng nhất 7 ngày qua

Tin nóng nhất 30 ngày qua

Albums

Total Videos Online

Tranh luận sôi nổi nhất 7 ngày qua

Tranh luận sôi nổi nhất 14 ngày qua

Tranh luận sôi nổi nhất 30 ngày qua

10.000 Tin mới nhất

Tin tức Hoa Kỳ

Tin tức Công nghệ
Lên đầu Xuống dưới Lên 3000px Xuống 3000px

Duo Series Movies Portal

Duo Music Portal

Phim Bộ

Tỷ Giá

Thời Tiết

Tin Nóng Nhất 50h

Super News

School Cooking Traveling Portal

Enter Portal

Series Shows and Movies Online

Home Classic Master Page

Donation Ủng hộ $3 cho VietBF
Lên đầu Xuống dưới Lên 3000px Xuống 3000px
Diễn Đàn Người Việt Hải Ngoại. Tự do ngôn luận, an toàn và uy tín. Vì một tương lai tươi đẹp cho các thế hệ Việt Nam hãy ghé thăm chúng tôi, hãy tâm sự với chúng tôi mỗi ngày, mỗi giờ và mỗi giây phút có thể. VietBF.Com Xin cám ơn các bạn, chúc tất cả các bạn vui vẻ và gặp nhiều may mắn.
Welcome to Vietnamese American Community, Vietnamese European, Canadian, Australian Forum, Vietnamese Overseas Forum. Freedom of speech, safety and prestige. For a beautiful future for Vietnamese generations, please visit us, talk to us every day, every hour and every moment possible. VietBF.Com Thank you all and good luck.

Lên đầu Xuống dưới Lên 3000px Xuống 3000px

All times are GMT. The time now is 20:58.
VietBF - Vietnamese Best Forum Copyright ©2005 - 2026
User Alert System provided by Advanced User Tagging (Pro) - vBulletin Mods & Addons Copyright © 2026 DragonByte Technologies Ltd.
Log Out Unregistered

Page generated in 0.09516 seconds with 13 queries