HOME-Au
HOME-Au
24h
24h
USA
USA
GOP
GOP
Phim Bộ
Phim Bộ
Videoauto
VIDEO-Au
Home Classic
Home Classic
Donation
Donation
News Book
News Book
News 50
News 50
worldautoscroll
WORLD-Au
Breaking
Breaking
 

Go Back   VietBF > World Box| Thế Giới > Vietnam News | Tin Việt Nam


Reply
 
Thread Tools
  #1  
Old  Default Thủng ruột vì bụng chứa toàn bút bi, tăm nhựa, ruột bút
Trước khi thủng ruột vì nuốt nhiều dị vật như bút bi, tăm ngựa..., bệnh nhân từng nuốt 3 bật lửa, đã phải nội soi lấy dị vật.

Bác sĩ Lê Văn Duy, Trung tâm Phẫu thuật Tiêu hóa, Bệnh viện Bạch Mai cho biết, mới đây, Trung tâm Phẫu thuật tiêu hóa vừa phẫu thuật một trường hợp người bệnh nuốt nhiều dị vật gây biến chứng thủng đại tràng. Người bệnh được chẩn đoán mắc hội chứng Pica, hay còn gọi là hội chứng thích ăn các đồ vật không phải thức ăn.

Bệnh nhân là nam giới, 50 tuổi, có tiền sử tâm thần phân liệt 26 năm điều trị thường xuyên tại Bệnh viện đa khoa tỉnh Nam Định. Theo lời kể của người nhà, cách vào viện 2 tuần, bệnh nhân tự nuốt 3 chiếc bật lửa, đã được nội soi can thiệp lấy dị vật. Lần này bệnh nhân lại vào viện vì đau bụng, chướng bụng tăng dần. Qua thăm khám lâm sàng, thấy bụng chướng căng, vùng bụng dưới đau, phản ứng mạnh.

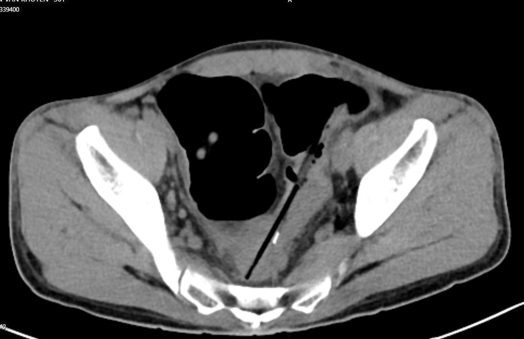
Chụp cắt lớp ổ bụng thấy hình ảnh 2 dị vật hình que đầu kim loại trong quai ruột vùng hạ vị, đâm xuyên thành ruột tạo ổ dịch khí vùng tiểu khung cạnh cơ bịt phải; Dị vật trong quai ruột hạ sườn phải; Dày thành trực tràng, đại tràng sigma và quai ruột ngang rốn; Giãn lan tỏa các quai ruột non.

Bệnh nhân được chẩn đoán: Áp xe trong ổ bụng do thủng đại tràng sigma do dị vật, dị vật ruột non/ tâm thần phân liệt


Hình ảnh chiếu chụp cho thấy nhiều dị vật trong bụng bệnh nhân. Ảnh BVCC

Bệnh đã được phẫu thuật cấp cứu. Sau khi mở ruột non, các bác sĩ lấy ra nhiều bút bi, ruột bút, tăm nhựa. Một đoạn đại tràng Sigma bị dị vật xuyên thủng cũng phải cắt bỏ.

Tại sao bệnh nhân thích ăn dị vật?
Theo bác sĩ Duy, hội chứng Pica là một rối loạn ăn uống trong đó người bệnh có sự thèm ăn và ăn những thứ không phải thực phẩm, chẳng hạn như đất đá, phân động vật, tóc, giấy, đồ vật kim loại, hoặc các vật liệu khác không có giá trị dinh dưỡng.

Hội chứng Pica có thể xuất hiện ở trẻ em, người lớn, phụ nữ mang thai hoặc người có rối loạn phát triển, chẳng hạn như tự kỷ, thiểu năng trí tuệ hoặc bệnh thần kinh. Nguyên nhân của hội chứng Pica có thể bao gồm thiếu hụt dinh dưỡng (như thiếu sắt hoặc kẽm), căng thẳng tâm lý, rối loạn tâm thần hoặc các vấn đề sức khỏe khác.

Mặc dù không phải là một căn bệnh phổ biến trong cộng đồng chung nhưng nếu không được điều trị, hội chứng Pica có thể dẫn đến các vấn đề sức khỏe nghiêm trọng như ngộ độc, viêm nhiễm, tắc nghẽn hoặc tổn thương thủng, rách đường tiêu hóa, gây nhiễm trùng, nhiễm độc tại chỗ và toàn thân có thể dẫn đến tử vong.

Dấu hiệu chẩn đoán bệnh Pica
Theo bác sĩ Duy, để chẩn đoán bệnh Pica, bệnh nhân cần được thăm khám bởi bác sĩ chuyên khoa (như bác sĩ tâm thần, bác sĩ nhi khoa hoặc bác sĩ tâm lý) để xác định nguyên nhân gây ra bệnh và loại trừ các bệnh lý khác. Việc này giúp lựa chọn phương pháp điều trị phù hợp.

Bệnh Pica được chẩn đoán dựa trên các tiêu chí:

- Ăn các vật liệu không phải thực phẩm (như đất, sỏi, tóc, giấy, xà phòng, hay các vật dụng khác) trong một khoảng thời gian dài (thường kéo dài hơn một tháng).

- Không phải là một phần của văn hóa hoặc thói quen ăn uống thông thường.

- Hành vi này không thể giải thích bằng một tình trạng y tế khác (như thiếu hụt dinh dưỡng, tâm lý bệnh lý).

- Khi thăm khám, người bệnh có thể không thừa nhận hành vi này hoặc không nhận thức rõ về tác hại của nó, ví dụ như ngộ độc hoặc tổn thương hệ tiêu hóa.


Bác sĩ tìm thấy nhiều dị vật trong bụng bệnh nhân và phải cắt bỏ 1 đoạn đại tràng bị dị vật đâm thủng. Ảnh BVCC

Theo bác sĩ Duy, để chữa trị bệnh Pica cần:

- Chữa trị các vấn đề về sức khỏe tâm thần: Nếu bệnh Pica liên quan đến các rối loạn tâm thần như trầm cảm, lo âu hoặc rối loạn hành vi, điều trị tâm lý và/hoặc thuốc có thể giúp giảm bớt các triệu chứng. Liệu pháp hành vi nhận thức (CBT) thường được sử dụng để thay đổi hành vi không lành mạnh.

- Bổ sung chất dinh dưỡng: Một số nghiên cứu cho thấy thiếu hụt một số khoáng chất, như sắt hoặc kẽm, có thể là yếu tố gây ra bệnh Pica. Việc bổ sung các vitamin và khoáng chất có thể giúp điều trị nếu nguyên nhân là thiếu hụt dinh dưỡng.

- Liệu pháp hành vi: Giúp người bệnh học cách kiểm soát các cơn thèm ăn các vật không phải thực phẩm và thay thế chúng bằng hành vi lành mạnh hơn.

- Giám sát và ngăn chặn: Trong trường hợp bệnh Pica liên quan đến trẻ em hoặc người bệnh không tự kiểm soát được hành vi, cần giám sát và ngăn chặn hành động ăn vật thể lạ.

"Để phòng ngừa bệnh Pica cần nâng cao nhận thức, đặc biệt với trẻ nhỏ, giúp trẻ hiểu về sự nguy hiểm khi ăn các vật thể lạ; Chế độ ăn đầy đủ dinh dưỡng; Tạo môi trường an toàn không có các dị vật, đồ dùng nguy hiểm; Theo dõi và can thiệp sớm.

Nếu phát hiện hành vi ăn vật thể lạ, cần can thiệp sớm để tránh các vấn đề sức khỏe lâu dài và ngăn chặn tình trạng bệnh trở nên nghiêm trọng", bác sĩ Duy khuyến cáo.

VietBF@ sưu tập
VIETBF Diễn Đàn Hay Nhất Của Người Việt Nam

HOT NEWS 24h

HOT 3 Days

NEWS 3 Days

HOT 7 Days

NEWS 7 Days

HOME

Breaking News

VietOversea

World News

Business News

Car News

Computer News

Game News

USA News

Mobile News

Music News

Movies News

History

Thơ Ca

Sport News

Stranger Stories

Comedy Stories

Cooking Chat

Nice Pictures

Fashion

School

Travelling

Funny Videos

Canada Tin Hay

USA Tin Hay

VietBF Homepage Autoscroll

VietBF Video Autoscroll Portal

Home Classic

Home Classic Master Page



PinaColada
R11 Tuyệt Thế Thiên Hạ
Release: 01-21-2025
Reputation: 136957


Profile:
Join Date: Oct 2013
Posts: 118,820
Last Update: None Rating: None
Attached Thumbnails
Click image for larger version

Name:	452.jpeg
Views:	0
Size:	80.5 KB
ID:	2480711   Click image for larger version

Name:	451.jpg
Views:	0
Size:	75.4 KB
ID:	2480712  
PinaColada_is_offline
Thanks: 9
Thanked 7,857 Times in 6,986 Posts
Mentioned: 2 Post(s)
Tagged: 0 Thread(s)
Quoted: 23 Post(s)
Rep Power: 137
PinaColada Reputation Uy Tín Level 9PinaColada Reputation Uy Tín Level 9PinaColada Reputation Uy Tín Level 9PinaColada Reputation Uy Tín Level 9PinaColada Reputation Uy Tín Level 9
PinaColada Reputation Uy Tín Level 9PinaColada Reputation Uy Tín Level 9PinaColada Reputation Uy Tín Level 9PinaColada Reputation Uy Tín Level 9PinaColada Reputation Uy Tín Level 9PinaColada Reputation Uy Tín Level 9PinaColada Reputation Uy Tín Level 9PinaColada Reputation Uy Tín Level 9PinaColada Reputation Uy Tín Level 9PinaColada Reputation Uy Tín Level 9PinaColada Reputation Uy Tín Level 9PinaColada Reputation Uy Tín Level 9PinaColada Reputation Uy Tín Level 9PinaColada Reputation Uy Tín Level 9PinaColada Reputation Uy Tín Level 9PinaColada Reputation Uy Tín Level 9PinaColada Reputation Uy Tín Level 9PinaColada Reputation Uy Tín Level 9PinaColada Reputation Uy Tín Level 9PinaColada Reputation Uy Tín Level 9PinaColada Reputation Uy Tín Level 9
Reply

User Tag List



 
Lên đầu Xuống dưới Lên 3000px Xuống 3000px

iPad Videos Portal Autoscroll

VietBF Music Portal Autoscroll

iPad News Portal Autoscroll

VietBF Homepage Autoscroll

VietBF Video Autoscroll Portal

USA News Autoscroll Portall

VietBF WORLD Autoscroll Portal

Home Classic

Super Widescreen

iPad World Portal Autoscroll

iPad USA Portal Autoscroll

Phim Bộ Online

Tin nóng nhất 24h qua

Tin nóng nhất 3 ngày qua

Tin nóng nhất 7 ngày qua

Tin nóng nhất 30 ngày qua

Albums

Total Videos Online
Lên đầu Xuống dưới Lên 3000px Xuống 3000px

Tranh luận sôi nổi nhất 7 ngày qua

Tranh luận sôi nổi nhất 14 ngày qua

Tranh luận sôi nổi nhất 30 ngày qua

10.000 Tin mới nhất

Tin tức Hoa Kỳ

Tin tức Công nghệ
Lên đầu Xuống dưới Lên 3000px Xuống 3000px

Super News

School Cooking Traveling Portal

Enter Portal

Series Shows and Movies Online

Home Classic Master Page

Donation Ủng hộ $3 cho VietBF
Lên đầu Xuống dưới Lên 3000px Xuống 3000px
Diễn Đàn Người Việt Hải Ngoại. Tự do ngôn luận, an toàn và uy tín. Vì một tương lai tươi đẹp cho các thế hệ Việt Nam hãy ghé thăm chúng tôi, hãy tâm sự với chúng tôi mỗi ngày, mỗi giờ và mỗi giây phút có thể. VietBF.Com Xin cám ơn các bạn, chúc tất cả các bạn vui vẻ và gặp nhiều may mắn.
Welcome to Vietnamese American Community, Vietnamese European, Canadian, Australian Forum, Vietnamese Overseas Forum. Freedom of speech, safety and prestige. For a beautiful future for Vietnamese generations, please visit us, talk to us every day, every hour and every moment possible. VietBF.Com Thank you all and good luck.

Lên đầu Xuống dưới Lên 3000px Xuống 3000px

All times are GMT. The time now is 03:08.
VietBF - Vietnamese Best Forum Copyright ©2005 - 2025
User Alert System provided by Advanced User Tagging (Pro) - vBulletin Mods & Addons Copyright © 2025 DragonByte Technologies Ltd.
Log Out Unregistered

Page generated in 0.09439 seconds with 15 queries