Sau khi mua thuốc giảm cân trên Tiktok, một cô gái 21 tuổi ở Hà Nội uống liên tục hơn 1 tháng, với liều lượng mỗi ngày 1 viên, dẫn đến bị tổn thương não.
Tổn thương não nặng vì uống thuốc giảm cân "7 ngày giảm 7 cân" mua trên Tiktok
Ngày 3/3, Trung tâm chống độc, Bệnh viện Bạch Mai cho biết mới tiếp nhận và điều trị cho bệnh nhân nữ (21 tuổi ở huyện Gia Lâm, Hà Nội) bị nhiễm độc chất Sibutramin do uống thuốc giảm cân không rõ nguồn gốc mua trên mạng xã hội Tiktok.
Trước đó, chiều ngày 21/2, bệnh nhân vẫn nói chuyện với con, nhưng đến khoảng 19h30 tối, gia đình phát hiện bệnh nhân trong trạng thái bất tỉnh, gọi hỏi không đáp ứng. Bệnh nhân không sốt, không co giật, không nôn, được người nhà đưa đến bệnh viện tư để cấp cứu.
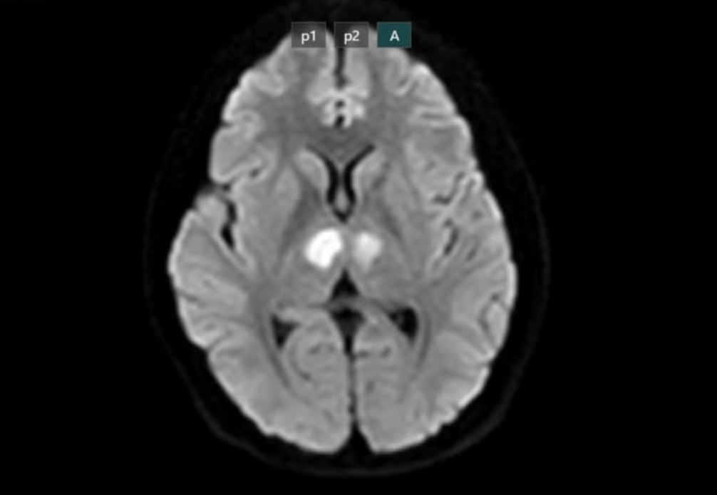
Kết quả chụp MRI cho thấy não bệnh nhân có hình ảnh tổn thương vùng đồi thị hai bên. Gia đình xin chuyển bệnh nhân sang Bệnh viện Bạch Mai để được tiếp tục điều trị. Kết quả xét nghiệm loại thuốc giảm cân bệnh nhân uống cho thấy dương tính với thành phần Sibutramin.
Theo chia sẻ của nữ bệnh nhân, chị mua thuốc giảm cân này trên Tiktok. Đã uống liên tục được hơn 1 tháng, với liều lượng mỗi ngày 1 viên. Sau thời gian uống thuốc và nhịn ăn, bệnh nhân giảm được 4-5kg.
Đặc biệt, bệnh nhân cũng không thấy có biểu hiện mệt mỏi, lo lắng, hồi hộp, run chân tay, trống ngực sau khi uống thuốc. Ngoài ra, để giảm cân, bệnh nhân còn thường xuyên móc họng để gây nôn sau khi ăn.
Qua quan sát, lọ thuốc giảm cân của bệnh nhân sử dụng có chữ tiếng nước ngoài, không có nhãn phụ tiếng Việt. Trên lọ thuốc có nội dung "7 ngày giảm 7kg" bằng tiếng Anh. Hình ảnh không thể hiện rõ ràng về nguồn gốc, xuất xứ của sản phẩm.
Uống thuốc giảm cân, thành phần chứa Sibutramin nguy hiểm như thế nào?
TS. BS Nguyễn Trung Nguyên, Giám đốc Trung tâm Chống độc, Bệnh viện Bạch Mai cho biết, Sibutramin trước đây là một thuốc dùng đường uống để điều trị béo phì. Tuy nhiên qua quá trình sử dụng tại nhiều nước đã có các báo cáo về những trường hợp ngộ độc khi sử dụng thuốc này để giảm cân, bao gồm các trường hợp nặng và tử vong.

Não bệnh nhân bị tổn thương nặng. Ảnh: BSCC
Theo bác sĩ Nguyên, đã có nghiên cứu chính thức cho thấy khi dùng thuốc này, tác hại, nguy cơ nhiều hơn so với lợi ích có thể mang lại. Đặc biệt, thuốc làm tăng nguy cơ các tai biến về đột quỵ và bệnh lý tim mạch. Do vậy, tại Mỹ, Châu Âu đã ngừng sử dụng làm thuốc giảm cân. Tại Việt Nam, từ năm 2010, Cục Quản lý Dược (Bộ Y tế) đã ban hành công văn về việc ngưng cấp phép nhập khẩu nguyên liệu Sibutramin.
Ngày 14/4/2011, Cục Quản lý Dược cũng đã có công văn đình chỉ lưu hành trên toàn quốc các thuốc có chứa hoạt chất Sibutramin và thu hồi toàn bộ các thuốc có chứa hoạt chất này. Do có tác dụng không mong muốn, Cục cũng đã rút số đăng ký của tất cả thuốc có chứa hoạt chất Sibutramin. Sibutramin thuộc danh mục chất cấm sử dụng trong sản xuất, kinh doanh thực phẩm bảo vệ sức khỏe (Thông tư số 10/2021/TT-BYT).
"Chúng tôi cũng đã từng tiếp nhận các bệnh nhân ngộ độc thực phẩm chức năng, các loại cà phê giảm cân,… do có chứa Sibutramin. Đã có bệnh nhân bị hôn mê, co giật, tổn thương não. Trung tâm chống độc từng có các thông báo tới các cơ quan chức năng và chia sẻ khuyến cáo với cộng đồng về vấn đề này", bác sĩ Nguyên nhấn mạnh.
Theo TS. BS Nguyễn Trung Nguyên, Sibutramin là chất có nguy cơ độc tính rất cao, cấu trúc phân tử của Sibutramin giống với ma túy Amphetamine. Đây là chất nguy hiểm. Trung tâm chống độc cũng đã từng tiếp nhận các bệnh nhân ngộ độc thực phẩm chức năng giảm cân có chứa nhiều chất khác như Phenolphthalein, Cafein liều rất cao, Synephrine,…
Các thực phẩm chức năng quảng cáo để giảm cân thường chứa rất nhiều chất và thường chia thành các nhóm sau:
Các chất kích thích như các chất cấm Sibutramine, Cafein, thậm chí bột từ tuyến giáp động vật… Cơ chế hoạt động bắt các cơ quan nội tạng của cơ thể, đặc biệt là tim mạch, đốt cháy mỡ, tiêu thụ năng lượng mà không phải tăng vận động về thể lực. Điều này là phản khoa học và rất nguy hiểm, gây biến cố với tim mạch, não….;
Các chất gây chán ăn, ví dụ Phenylpropanolamine (trong số các chất này cũng có nhiều chất có rủi ro và độc tính cao); Các chất độn để khi uống vào nở ra trong đường tiêu hóa tạo cảm giác no. Hầu hết các sản phẩm này đều không công bố hay ghi rõ thành phần các chất này trên nhãn mác, thường quảng cáo với lời lẽ quá mức, không có kiểm soát.
"Để giảm cân, người dân nên đi khám hoặc có lời khuyên trực tiếp từ bác sĩ hướng dẫn, đánh giá tình trạng và biện pháp cụ thể với từng người. Cách thức phổ biến và an toàn nhất vẫn là điều chỉnh chế độ ăn uống và tăng cường vận động thể lực. Khi cần mua bất cứ sản phẩm gì, cần chọn các sản phẩm được phép sản xuất và lưu hành, có hóa đơn, chứng từ rõ ràng. Không nên mua trên mạng xã hội, qua internet hay điện thoại…", bác sĩ Nguyên khuyến cáo.
VietBF@sưu tập