HOME-Au
HOME-Au
24h
24h
USA
USA
GOP
GOP
Phim Bộ
Phim Bộ
Videoauto
VIDEO-Au
Donation
Donation
News Book
News Book
News 50
News 50
worldautoscroll
WORLD-Au
Breaking
Breaking
 

Go Back   VietBF > World > Vietnam News | Tin Việt Nam


Reply
Thread Tools
 
 
  #1  
Old  Default Người đàn ông 47 tuổi mang khối bướu mỡ hiếm gặp nặng 8kg trong ổ bụng
Các bác sĩ Bệnh viện Bình Dân vừa thực hiện thành công ca phẫu thuật phức tạp, loại bỏ khối bướu khổng lồ 8kg đang làm uy yếu chức năng cơ quan nội tạng của người đàn ông 47 tuổi.

Chiều 14/5, Bệnh viện Bình Dân cho biết, đó là trường hợp bệnh nhân N.V.T (47 tuổi, Long An). Ghi nhận bệnh sử cho thấy, bệnh nhân N. V. T có những cơn căng tức vùng bụng, nhức mỏi về đêm sau những giờ lái xe tải đường dài. Ban đầu, bệnh nhân T. cho rằng do đặc thù công việc lái xe và sở thích uống bia khiến bụng ngày càng phình to, gây cảm giác nặng nề. Đến khi bụng căng cứng, nhô hẳn về phía trước và hai bên hông, anh mới khám bệnh tại địa phương.


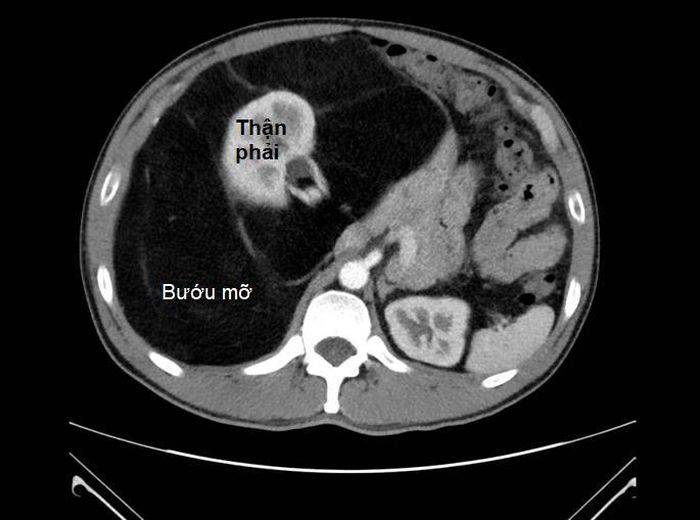
Bướu mỡ đường kính 40 cm bao xung quanh thận phải. Ảnh: BV

Kết quả siêu âm bụng cho thấy, bệnh nhân có một khối choán chỗ (thể tích u bất thường trong cơ thể) gần hết ổ bụng nên bệnh nhân T. được chuyển đến Bệnh viện Bình Dân để phẫu thuật lấy khối bướu lớn ra khỏi cơ thể.

BS.CKII. Nguyễn Phúc Minh, Trưởng khoa Ngoại tiêu hóa là người trực tiếp phẫu thuật cho bệnh nhân T cho biết: “Qua kết quả chụp MRI bụng, khối bướu có đường kính lên đến 40 cm, cấu trúc tương đồng với mô mỡ, chiếm gần toàn bộ ổ bụng và bao quanh thận phải. Nghiêm trọng hơn, khối bướu dính và chèn ép các mạch máu lớn như động mạch, tĩnh mạch chủ bụng và các mạch máu lân cận làm suy giảm chức năng thận”.


Sau mổ hai ngày, người bệnh đã có thể ăn uống như trước và bắt đầu vận động. Ảnh: BV

Theo các bác sĩ, bướu mỡ là bệnh lý ác tính hiếm gặp với tỷ lệ mắc ước tính khoảng 0,3 - 0,4% trên 100.000 người, thường gặp ở nhóm tuổi từ 60 - 70. Bướu mỡ có thể phát triển ở nhiều nơi trong cơ thể, nhưng phổ biến nhất là ở các chi và sau phúc mạc. Phương pháp điều trị tiêu chuẩn là phẫu thuật cắt bỏ tận gốc khối bướu.

Trong trường hợp của bệnh nhân T., các bác sĩ tại Bệnh viện Bình Dân đã tiến hành hội chẩn toàn viện để tìm phương án phẫu thuật tối ưu. Mục tiêu là vừa loại bỏ khối bướu dính sau phúc mạc, vừa bảo tồn thận phải. Sau hơn 5 giờ, ca phẫu thuật thành công, các bác sĩ đã loại bỏ khối bướu khổng lồ nặng 8 kg, với đường kính lên đến 40 cm.

Bệnh viện Bình Dân cũng cho biết, đơn vị từng tiếp nhận một trường hợp khối u sau phúc mạc nặng 5 kg, phát triển âm thầm và gây nguy hiểm cho người bệnh nếu không được phát hiện kịp thời. Các chuyên gia khuyến cáo, người dân nên khám sức khỏe định kỳ ít nhất một lần mỗi năm, đặc biệt khi có các triệu chứng bất thường ở vùng bụng.
Dịch trang: EnglishEnglish DeutschDeutsch FrançaisFrançais EspañolEspañol ItalianoItaliano PortuguêsPortuguês
NorskNorsk NederlandsNederlands DanskDansk SuomiSuomi PolskiPolski ČeštinaČeština РусскийРусский
日本語日本語 한국어한국어 中文(简体)中文(简体) 中文(繁體)中文(繁體) MagyarMagyar TürkçeTürkçe
العربيةالعربية ไทยไทย LatinaLatina हिन्दीहिन्दी Bahasa IndonesiaBahasa Indonesia Bahasa MelayuBahasa Melayu
VIETBF Hybrid Community Content Hub

HOT NEWS 24h

HOT 3 Days

NEWS 3 Days

HOT 7 Days

NEWS 7 Days

HOME

Breaking News

VietOversea

World News

Business News

Car News

Computer News

Game News

USA News

Mobile News

Music News

Movies News

History

Thơ Ca

Sport News

Stranger Stories

Comedy Stories

Cooking Chat

Nice Pictures

Fashion

School

Travelling

Funny Videos

Canada Tin Hay

USA Tin Hay

VietBF Homepage Autoscroll

VietBF Video Autoscroll Portal

Video Classic Master

iPad News Portal

VietBF iPad Music Portal

Tin nóng nhất 50h qua

Phim Bộ Online

iMusic Pro Max



TinNhanh247
R9 Tuyệt Đỉnh Tôn Sư
Release: 05-14-2025
Reputation: 14061


Profile:
Join Date: Oct 2014
Posts: 38,886
Last Update: None Rating: None
Attached Thumbnails
Click image for larger version

Name:	07ed99512b1fc2419b0e.jpg
Views:	0
Size:	40.9 KB
ID:	2524801  
TinNhanh247_is_offline
Thanks: 16
Thanked 1,800 Times in 1,638 Posts
Mentioned: 3 Post(s)
Tagged: 0 Thread(s)
Quoted: 11 Post(s)
Rep Power: 50
TinNhanh247 Reputation Uy Tín Level 6
TinNhanh247 Reputation Uy Tín Level 6TinNhanh247 Reputation Uy Tín Level 6TinNhanh247 Reputation Uy Tín Level 6TinNhanh247 Reputation Uy Tín Level 6TinNhanh247 Reputation Uy Tín Level 6TinNhanh247 Reputation Uy Tín Level 6TinNhanh247 Reputation Uy Tín Level 6TinNhanh247 Reputation Uy Tín Level 6TinNhanh247 Reputation Uy Tín Level 6TinNhanh247 Reputation Uy Tín Level 6TinNhanh247 Reputation Uy Tín Level 6TinNhanh247 Reputation Uy Tín Level 6TinNhanh247 Reputation Uy Tín Level 6TinNhanh247 Reputation Uy Tín Level 6TinNhanh247 Reputation Uy Tín Level 6TinNhanh247 Reputation Uy Tín Level 6TinNhanh247 Reputation Uy Tín Level 6
Dịch trang: EnglishEnglish DeutschDeutsch FrançaisFrançais EspañolEspañol ItalianoItaliano PortuguêsPortuguês
NorskNorsk NederlandsNederlands DanskDansk SuomiSuomi PolskiPolski ČeštinaČeština РусскийРусский
日本語日本語 한국어한국어 中文(简体)中文(简体) 中文(繁體)中文(繁體) MagyarMagyar TürkçeTürkçe
العربيةالعربية ไทยไทย LatinaLatina हिन्दीहिन्दी Bahasa IndonesiaBahasa Indonesia Bahasa MelayuBahasa Melayu
Reply

User Tag List



 

iPad Videos Portal Autoscroll

VietBF Music Portal Autoscroll

iPad News Portal Autoscroll

VietBF Homepage Autoscroll

VietBF Video Autoscroll Portal

USA News Autoscroll Portall

VietBF WORLD Autoscroll Portal

Video Classic Master Page

Super Widescreen

iPad World Portal Autoscroll

iPad USA Portal Autoscroll

Phim Bộ Online
Lên đầu Xuống dưới Lên 3000px Xuống 3000px

Tin nóng nhất 24h qua

Tin nóng nhất 3 ngày qua

Tin nóng nhất 7 ngày qua

Tin nóng nhất 30 ngày qua

Albums

Total Videos Online

Tranh luận sôi nổi nhất 7 ngày qua

Tranh luận sôi nổi nhất 14 ngày qua

Tranh luận sôi nổi nhất 30 ngày qua

10.000 Tin mới nhất

Tin tức Hoa Kỳ

Tin tức Công nghệ
Lên đầu Xuống dưới Lên 3000px Xuống 3000px

Duo Series Movies Portal

Duo Music Portal

Phim Bộ

Tỷ Giá

Thời Tiết

Tin Nóng Nhất 50h

Super News

School Cooking Traveling Portal

Enter Portal

Series Shows and Movies Online

Home Classic Master Page

Donation Ủng hộ $3 cho VietBF
Lên đầu Xuống dưới Lên 3000px Xuống 3000px
Diễn Đàn Người Việt Hải Ngoại. Tự do ngôn luận, an toàn và uy tín. Vì một tương lai tươi đẹp cho các thế hệ Việt Nam hãy ghé thăm chúng tôi, hãy tâm sự với chúng tôi mỗi ngày, mỗi giờ và mỗi giây phút có thể. VietBF.Com Xin cám ơn các bạn, chúc tất cả các bạn vui vẻ và gặp nhiều may mắn.
Welcome to Vietnamese American Community, Vietnamese European, Canadian, Australian Forum, Vietnamese Overseas Forum. Freedom of speech, safety and prestige. For a beautiful future for Vietnamese generations, please visit us, talk to us every day, every hour and every moment possible. VietBF.Com Thank you all and good luck.

Lên đầu Xuống dưới Lên 3000px Xuống 3000px

All times are GMT. The time now is 22:08.
VietBF - Vietnamese Best Forum Copyright ©2005 - 2026
User Alert System provided by Advanced User Tagging (Pro) - vBulletin Mods & Addons Copyright © 2026 DragonByte Technologies Ltd.
Log Out Unregistered

Page generated in 0.11884 seconds with 15 queries