HOME-Au
HOME-Au
24h
24h
USA
USA
GOP
GOP
Phim Bộ
Phim Bộ
Videoauto
VIDEO-Au
Home Classic
Home Classic
Donation
Donation
News Book
News Book
News 50
News 50
worldautoscroll
WORLD-Au
Breaking
Breaking
 

Go Back   VietBF > World Box| Thế Giới > Vietnam News | Tin Việt Nam


Reply
 
Thread Tools
  #1  
Old  Default Chủ quan với sức khỏe, nam bệnh nhân trẻ vỡ toác thận
Người đàn ông 37 tuổi từng bị sỏi thận nhưng chưa điều trị dứt điểm. Do có thoát vị đĩa đệm, anh lầm tưởng cơn đau là do cột sống, dẫn đến nhập viện trong tình trạng nguy kịch.

Bệnh nhân L.V.T., 37 tuổi, trú tại Hà Nội, nhập viện trong tình trạng đau quặn dữ dội vùng thắt lưng trái, cơn đau lan xuống bẹn - bìu, vã mồ hôi, mặt tái nhợt. Khai thác bệnh sử, anh T. từng bị sỏi thận nhưng chưa điều trị triệt để. Đồng thời, do có thoát vị đĩa đệm cột sống thắt lưng, bệnh nhân lầm tưởng đau lưng là do bệnh cột sống gây nên nên chủ quan.

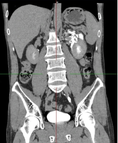
Kết quả siêu âm và CT-Scanner khẩn cấp cho thấy một viên sỏi kích thước khoảng 4 mm kẹt ở 1/3 dưới niệu quản trái, gây tắc nghẽn hoàn toàn dòng nước tiểu từ thận xuống bàng quang.

Theo bác sĩ Mai Văn Lực, khoa Phẫu thuật Thận Tiết niệu - Nam học, Bệnh viện E, dù thông thường sỏi nhỏ có thể được điều trị nội khoa để tống sỏi ra ngoài, nhưng trong trường hợp này, tắc nghẽn đột ngột khiến áp lực trong đài - bể thận tăng cao, dẫn đến vỡ bể thận - niệu quản. Nước tiểu thoát ra khoang sau phúc mạc, bao quanh thận trái với số lượng lớn, đe dọa nhiễm trùng huyết và suy thận cấp.


Vỡ bể thận niệu quản trái, thoát nước tiểu quanh thận trái. Ảnh: BVCC.
Ngay lập tức, ê-kíp phẫu thuật được kích hoạt. Bệnh nhân được đưa vào phòng mổ, tiến hành nội soi tán sỏi, đặt sonde JJ bể thận - niệu quản trái, giải phóng tắc nghẽn và xử trí tổn thương. Nhờ can thiệp kịp thời, ca phẫu thuật thành công, bệnh nhân hồi phục tốt và xuất viện sau 5 ngày.

Theo bác sĩ Mai Văn Lực, khoa Phẫu thuật Thận Tiết niệu - Nam học, Bệnh viện E, sỏi niệu quản thực chất là sỏi từ thận rơi xuống và mắc kẹt tại niệu quản. Đây là căn bệnh nhiều người coi thường, chỉ nghĩ gây đau âm ỉ và có thể tự hết. Tuy nhiên, một khi viên sỏi gây tắc nghẽn, thận sẽ giống như "quả bom nước" bị nén chặt, có thể phát nổ bất cứ lúc nào.

Vị chuyên gia cho hay sỏi niệu quản có thể gây ra hàng loạt biến chứng nặng nề:

Giãn đài - bể thận, ứ nước, ứ mủ: tắc nghẽn kéo dài khiến thận giãn to, suy giảm chức năng, nước tiểu tù đọng là môi trường lý tưởng cho vi khuẩn phát triển.
Vỡ bể thận, vỡ niệu quản: áp lực quá lớn khiến đường bài xuất bị rách, nước tiểu thoát ra ngoài gây viêm nhiễm, áp-xe, thậm chí viêm phúc mạc.
Suy thận cấp và mạn tính: tổn thương kéo dài khiến thận mất chức năng không hồi phục, có thể phải chạy thận nhân tạo hoặc ghép thận.
Nhiễm khuẩn huyết: vi khuẩn từ ổ nhiễm lan vào máu gây nhiễm khuẩn huyết, biến chứng nguy hiểm có tỷ lệ tử vong cao.
Bác sĩ Mai Văn Lực nhấn mạnh người dân không nên chủ quan khi có các triệu chứng như đau hông lưng một hoặc hai bên, cơn đau lan xuống bộ phận sinh dục, tiểu buốt, tiểu máu hay sốt kèm rét run. Với những người có tiền sử sỏi tiết niệu, thường xuyên uống ít nước hoặc trong gia đình có người mắc bệnh, việc siêu âm bụng định kỳ 3–6 tháng/lần là rất cần thiết.

"Khi đã được chẩn đoán có sỏi, bệnh nhân phải tuân thủ nghiêm ngặt chỉ định điều trị của bác sĩ, tuyệt đối không tự ý dùng thuốc nam hay các loại thuốc không rõ nguồn gốc. Để phòng ngừa, mỗi người nên duy trì thói quen uống đủ 2-3 lít nước mỗi ngày, xây dựng chế độ ăn cân bằng, hạn chế thực phẩm chứa nhiều oxalat, canxi và muối", bác sĩ nói.

VietBF@ sưu tập
VIETBF Diễn Đàn Hay Nhất Của Người Việt Nam

HOT NEWS 24h

HOT 3 Days

NEWS 3 Days

HOT 7 Days

NEWS 7 Days

HOME

Breaking News

VietOversea

World News

Business News

Car News

Computer News

Game News

USA News

Mobile News

Music News

Movies News

History

Thơ Ca

Sport News

Stranger Stories

Comedy Stories

Cooking Chat

Nice Pictures

Fashion

School

Travelling

Funny Videos

Canada Tin Hay

USA Tin Hay

VietBF Homepage Autoscroll

VietBF Video Autoscroll Portal

Home Classic

Home Classic Master Page



PinaColada
R11 Tuyệt Thế Thiên Hạ
Release: 09-02-2025
Reputation: 136967


Profile:
Join Date: Oct 2013
Posts: 119,102
Last Update: None Rating: None
Attached Thumbnails
Click image for larger version

Name:	211.jpg
Views:	0
Size:	66.3 KB
ID:	2568027   Click image for larger version

Name:	212.PNG
Views:	0
Size:	225.3 KB
ID:	2568028  
PinaColada_is_offline
Thanks: 9
Thanked 7,862 Times in 6,991 Posts
Mentioned: 2 Post(s)
Tagged: 0 Thread(s)
Quoted: 23 Post(s)
Rep Power: 138
PinaColada Reputation Uy Tín Level 9PinaColada Reputation Uy Tín Level 9PinaColada Reputation Uy Tín Level 9PinaColada Reputation Uy Tín Level 9PinaColada Reputation Uy Tín Level 9
PinaColada Reputation Uy Tín Level 9PinaColada Reputation Uy Tín Level 9PinaColada Reputation Uy Tín Level 9PinaColada Reputation Uy Tín Level 9PinaColada Reputation Uy Tín Level 9PinaColada Reputation Uy Tín Level 9PinaColada Reputation Uy Tín Level 9PinaColada Reputation Uy Tín Level 9PinaColada Reputation Uy Tín Level 9PinaColada Reputation Uy Tín Level 9PinaColada Reputation Uy Tín Level 9PinaColada Reputation Uy Tín Level 9PinaColada Reputation Uy Tín Level 9PinaColada Reputation Uy Tín Level 9PinaColada Reputation Uy Tín Level 9PinaColada Reputation Uy Tín Level 9PinaColada Reputation Uy Tín Level 9PinaColada Reputation Uy Tín Level 9PinaColada Reputation Uy Tín Level 9PinaColada Reputation Uy Tín Level 9PinaColada Reputation Uy Tín Level 9
Reply

User Tag List


IKEA khai trương cửa hàng đầu tiên ở New Zealand: Người Kiwi xếp hàng từ tờ mờ sáng Nước Mỹ không dung dưỡng kẻ vô ơn: Tị nạn, di dân và cơn giận của Donald Trump Dư âm Giáng Sinh Sài Gòn xưa: Từ mùa sao sáng đến thánh ca buồn
Lê Duẩn – Mao Trạch Đông và cái giá “lá chắn phương Nam” của Việt Nam Trung Quốc hủy 540.000 vé sang Nhật: Đòn răn đe hay cú “tự bắn vào chân”? Trump xóa bỏ tiêu chuẩn nhiên liệu thời Biden
Mỹ đã hiểu sai tham vọng của Đảng Cộng sản Trung Quốc và đánh giá thấp sự quyết liệt tàn nhẫn của họ Tị nạn, thẻ xanh, visa du học cùng bị “khóa cửa” Khi bia Mexico gặp búa trừng phạt di trú của Trump: Cú ngã đau của đế chế Modelo – Corona
Biển số 37.77: Thông điệp ngầm của Thủ tướng Nhật Takaichi Sanae gửi Bắc Kinh Quốc tịch Mỹ: Tường thành gần như tuyệt đối cho người nhập tịch Con gái Hà Nội, giọt nước dưới mặt lá
Những tay giang hồ miền Nam: huyền thoại, bóng tối và cái giá phải trả Huỳnh Điều – “anh lớp Ba” mà Cộng sản sợ cái miệng hơn sợ khẩu M.79 Tiếng súng 9 giờ sáng ở Florida và hành trình cuối của nữ deputy Terri Sweeting-Mashkow
“Giang sơn” nào được sắp xếp, và sắp xếp cho ai? Sau 40 tuổi, khuôn mặt là “bản lý lịch” của tâm hồn Siêu biệt phủ trăm tỷ của Chủ tịch phường Hải Phòng: “Đại Lộc Thiên tử” giữa làng nghèo
Từ vụ sạc 24 giờ ở Mỹ đến chết yểu ở Ấn Độ: VinFast và câu hỏi dành cho người Việt Khi chú Hòa xây nhà bình dân: những kiệt tác âm thầm giữa lòng Sài Gòn Việt Nam – Xứ sở của những người bị bắt phải học nghề đói
Mailisa bị bắt và ký ức đôi vợ chồng ăn chay đi chùa Đi Hàn, đi Nhật rồi nhìn lại Việt Nam: yêu nước đâu chỉ nói trên môi Nepal – Đất nước sống ở năm 2082 giữa trái tim Himalaya
Nicholas Winton – Người hùng thầm lặng cứu 669 đứa trẻ khỏi bóng đen Đức Quốc Xã Bi kịch giáo sư Yoshihiro Sato: khi dữ liệu đẹp đổi lấy danh dự và cái chết Sự ngu dốt của bọn có học – từ Nguyễn Huy Thiệp đến thời những lời nói lật ngược sự thật

 
Lên đầu Xuống dưới Lên 3000px Xuống 3000px

iPad Videos Portal Autoscroll

VietBF Music Portal Autoscroll

iPad News Portal Autoscroll

VietBF Homepage Autoscroll

VietBF Video Autoscroll Portal

USA News Autoscroll Portall

VietBF WORLD Autoscroll Portal

Home Classic

Super Widescreen

iPad World Portal Autoscroll

iPad USA Portal Autoscroll

Phim Bộ Online

Tin nóng nhất 24h qua

Tin nóng nhất 3 ngày qua

Tin nóng nhất 7 ngày qua

Tin nóng nhất 30 ngày qua

Albums

Total Videos Online
Lên đầu Xuống dưới Lên 3000px Xuống 3000px

Tranh luận sôi nổi nhất 7 ngày qua

Tranh luận sôi nổi nhất 14 ngày qua

Tranh luận sôi nổi nhất 30 ngày qua

10.000 Tin mới nhất

Tin tức Hoa Kỳ

Tin tức Công nghệ
Lên đầu Xuống dưới Lên 3000px Xuống 3000px

Super News

School Cooking Traveling Portal

Enter Portal

Series Shows and Movies Online

Home Classic Master Page

Donation Ủng hộ $3 cho VietBF
Lên đầu Xuống dưới Lên 3000px Xuống 3000px
Diễn Đàn Người Việt Hải Ngoại. Tự do ngôn luận, an toàn và uy tín. Vì một tương lai tươi đẹp cho các thế hệ Việt Nam hãy ghé thăm chúng tôi, hãy tâm sự với chúng tôi mỗi ngày, mỗi giờ và mỗi giây phút có thể. VietBF.Com Xin cám ơn các bạn, chúc tất cả các bạn vui vẻ và gặp nhiều may mắn.
Welcome to Vietnamese American Community, Vietnamese European, Canadian, Australian Forum, Vietnamese Overseas Forum. Freedom of speech, safety and prestige. For a beautiful future for Vietnamese generations, please visit us, talk to us every day, every hour and every moment possible. VietBF.Com Thank you all and good luck.

Lên đầu Xuống dưới Lên 3000px Xuống 3000px

All times are GMT. The time now is 11:35.
VietBF - Vietnamese Best Forum Copyright ©2005 - 2025
User Alert System provided by Advanced User Tagging (Pro) - vBulletin Mods & Addons Copyright © 2025 DragonByte Technologies Ltd.
Log Out Unregistered

Page generated in 0.10159 seconds with 15 queries