HOME-Au
HOME-Au
24h
24h
USA
USA
GOP
GOP
Phim Bộ
Phim Bộ
Videoauto
VIDEO-Au
Donation
Donation
News Book
News Book
News 50
News 50
worldautoscroll
WORLD-Au
Breaking
Breaking
 

Go Back   VietBF > Others (Closed Forums) > Archive - Old News 2013 (closed)

 
Thread Tools
 
 
Default Mê uống trà bị rụng hết răng, mắc bệnh lạ
Old 03-24-2013   #1
johnnydan9
R10 Vô Địch Thiên Hạ
 
Join Date: Nov 2007
Location: LCN
Posts: 55,869
Thanks: 40
Thanked 564 Times in 514 Posts
Mentioned: 2 Post(s)
Tagged: 0 Thread(s)
Quoted: 1 Post(s)
Rep Power: 75
johnnydan9 Reputation Uy Tín Level 7johnnydan9 Reputation Uy Tín Level 7
johnnydan9 Reputation Uy Tín Level 7johnnydan9 Reputation Uy Tín Level 7johnnydan9 Reputation Uy Tín Level 7johnnydan9 Reputation Uy Tín Level 7johnnydan9 Reputation Uy Tín Level 7johnnydan9 Reputation Uy Tín Level 7johnnydan9 Reputation Uy Tín Level 7johnnydan9 Reputation Uy Tín Level 7johnnydan9 Reputation Uy Tín Level 7johnnydan9 Reputation Uy Tín Level 7johnnydan9 Reputation Uy Tín Level 7
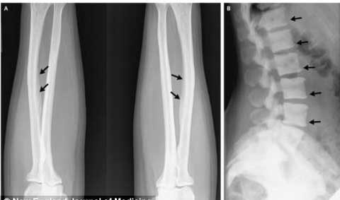
Hiện người phụ nữ (47 tuổi, Michigan, Mỹ) đã được các bác sĩ chẩn đoán mắc chứng bệnh nhiễm độc flour xương – nguyên nhân của căn bệnh này là do người bệnh dùng quá nhiều flour.

Kết quả x-quang cho thấy chất flour đã tạo nên những mảng khoáng bám trên xương của bệnh nhân khi cô uống quá nhiều trà

Người phụ nữ này bắt đầu nghiện uống trà và uống tới 100 gói trà mỗi ngày từ khi cô 17 tuổi.

Khi thấy hiện tượng bị đau và tê cứng lưng, hai cánh tay, hai chân và hai bên hông, cô đã đến Bệnh viện Henry Ford để kiểm tra. Cô cảm thấy
răng của cô cũng bắt đầu dễ gãy hơn và chúng dần dần rụng hết.

Kết quả X-Quang cho thấy xuất hiện những vùng dày đặc bất thường trên xương sống và sự vôi hóa các dây chằng ở cánh tay cô.

Lượng flour trong cơ thể cô cao gấp 4 lần tỷ lệ thông thường. Các bác sĩ điều trị cho người phụ nữ này cho biết chứng bệnh xương nhiễm độc flour là vô cùng hiếm gặp ở các nước Châu Âu.

Tuy nhiên đây lại là căn bệnh khá phổ biến ở những nước có hàm lượng chất flour tự nhiên cao trong nước như ở Ấn Độ hoặc Trung Quốc.

Các bác sĩ này cũng nói thêm rằng, mặc dù flour là chất giúp giúp răng khỏe hơn và ngăn ngừa sâu răng, nhưng với sử dụng với hàm lượng quá lớn tới hơn 20mg một ngày như bệnh nhân này thì thận không thể xử lý được hết vì vậy chúng tạo thành mảng dạng khoáng bám lên xương khiến cô bị đau nhức và tê cứng các xương.

Sau khi giảm lượng trà uống mỗi ngày theo yêu cầu của ác sĩ, người phụ nữ này đã thấy tình trạng sức khỏe của mình được cải thiện hơn. Cô không còn bị đau nhức xương liên tục như trước nữa. Trong thời gian tới cô hy vọng mình có thể dừng hẳn việc uống trà mỗi ngày để có thể hoàn toàn bình phục.
johnnydan9_is_offline  
Attached Thumbnails
Click image for larger version

Name:	ket-qua-x-quang.jpg
Views:	3
Size:	11.2 KB
ID:	453554  
 

Tags
bị rụng hết răng, mắc bệnh lạ, Mê uống trà
User Tag List


Triều đại 4.000 tỷ đô thay tên đổi chủ: Tim Cook rời ghế CEO Apple, "Kỹ sư trưởng" John Ternus chính thức lộ diện Iran chưa thấy quan tài chưa đổ lệ, lần này Mỹ sẽ đánh cho Ma Giáo Ba Tư không còn đất chôn Chiếc áo phao Titanic lập kỷ lục bán giá 904.500 USD
Canh bạc nghìn tỷ đô tại Hormuz Những chuyện hài hôm nay +videos Mỹ – Iran giằng co sinh tử
Thánh Rắc Muối phục vụ cho các nhà độc tài nguy cơ sập tiệm Kiều hối về VN giảm kỷ lục, nguy cơ xuất hiện người chết đói đầy đường Mỹ - Iran bên bờ vực "vỡ trận": Trump ra tối hậu thư, đại lộ Hormuz lại nghẽn lối!
Cuba “quay về quá khứ”: Khi xe ngựa thay thế ô tô giữa cơn khát xăng dầu Vĩnh Biệt Trưởng Sato Trần Xuân Nhật – Một Đời Hướng Đạo, Một Kiếp Nhân Sinh Một Buổi Sáng Ở Úc: Khi Tuổi Già Được Nâng Niu – Nghĩ Về Phận Người Nơi Quê Nhà
Mỹ điều tàu sân bay số 77 đánh Iran Một đời vì cộng đồng: Luật Sư Nguyễn Xuân Nghĩa đột ngột qua đời, để lại niềm tiếc thương vô hạn Nguyên nhân Việt Cộng bố ráp cửa hàng vàng Bảo Tín Minh Châu
Mỹ tiết lộ gây sốc toàn cầu : Tân Giáo Chủ Iran là một "Đông Phương Bất Bại" mới Trump đổi giọng phút chót: vừa mở cửa đàm phán, vừa dọa leo thang – Iran đứng trước ngã rẽ sinh tử Tướng Tư lệnh Hải quân Iran phòng thủ Hormuz bị giết chết, Iran binh bại như núi đổ
Tiên đoán chiến sự Mỹ – Israel vs Iran sẽ đi về đâu? 4 kịch bản chính Vì sao Mỹ sản xuất dầu nhiều nhất thế giới nhưng chiến tranh với Iran vẫn làm giá xăng ở Mỹ tăng? Cập nhật thông tin mới nhất: Iran doạ cứ tàu Mỹ là bắn, tàu Trung Cộng, Việt Cộng, Hàn Cộng ... cho qua
Cập nhật những thông tin mới nhất: Mỹ bắt đầu “giải cứu” công dân rời Trung Đông ... Cập nhật những thông tin mới nhất: Mojtaba Khamenei – người con bí ẩn của lãnh tụ tối cao Iran và khả năng kế vị quyền lực tối thượng Những thông tin mới nhất: Tehran rung chuyển, hơn 1.000 người chết, eo biển Hormuz tắc nghẽn
Cập nhật tình hình mới nhất: Trung Đông “rung chuyển” sáng 4/3/2026: rocket từ Lebanon, mưa tên lửa – drone, và eo biển Hormuz gần như “tắt thở” Những thông tin mới nhất về Chiến dịch đánh Iran Tình hình mới nhất: Chiến dịch tại Trung Đông

 

iPad Videos Portal Autoscroll

VietBF Music Portal Autoscroll

iPad News Portal Autoscroll

VietBF Homepage Autoscroll

VietBF Video Autoscroll Portal

USA News Autoscroll Portall

VietBF WORLD Autoscroll Portal

Video Classic Master Page

Super Widescreen

iPad World Portal Autoscroll

iPad USA Portal Autoscroll

Phim Bộ Online
Lên đầu Xuống dưới Lên 3000px Xuống 3000px

Tin nóng nhất 24h qua

Tin nóng nhất 3 ngày qua

Tin nóng nhất 7 ngày qua

Tin nóng nhất 30 ngày qua

Albums

Total Videos Online

Tranh luận sôi nổi nhất 7 ngày qua

Tranh luận sôi nổi nhất 14 ngày qua

Tranh luận sôi nổi nhất 30 ngày qua

10.000 Tin mới nhất

Tin tức Hoa Kỳ

Tin tức Công nghệ
Lên đầu Xuống dưới Lên 3000px Xuống 3000px

Duo Series Movies Portal

Duo Music Portal

Phim Bộ

Tỷ Giá

Thời Tiết

Tin Nóng Nhất 50h

Super News

School Cooking Traveling Portal

Enter Portal

Series Shows and Movies Online

Home Classic Master Page

Donation Ủng hộ $3 cho VietBF
Lên đầu Xuống dưới Lên 3000px Xuống 3000px
Diễn Đàn Người Việt Hải Ngoại. Tự do ngôn luận, an toàn và uy tín. Vì một tương lai tươi đẹp cho các thế hệ Việt Nam hãy ghé thăm chúng tôi, hãy tâm sự với chúng tôi mỗi ngày, mỗi giờ và mỗi giây phút có thể. VietBF.Com Xin cám ơn các bạn, chúc tất cả các bạn vui vẻ và gặp nhiều may mắn.
Welcome to Vietnamese American Community, Vietnamese European, Canadian, Australian Forum, Vietnamese Overseas Forum. Freedom of speech, safety and prestige. For a beautiful future for Vietnamese generations, please visit us, talk to us every day, every hour and every moment possible. VietBF.Com Thank you all and good luck.

Lên đầu Xuống dưới Lên 3000px Xuống 3000px

All times are GMT. The time now is 07:19.
VietBF - Vietnamese Best Forum Copyright ©2005 - 2026
User Alert System provided by Advanced User Tagging (Pro) - vBulletin Mods & Addons Copyright © 2026 DragonByte Technologies Ltd.
Log Out Unregistered

Page generated in 0.10444 seconds with 15 queries