HOME-Au
HOME-Au
24h
24h
USA
USA
GOP
GOP
Phim Bộ
Phim Bộ
Videoauto
VIDEO-Au
Home Classic
Home Classic
Donation
Donation
News Book
News Book
News 50
News 50
worldautoscroll
WORLD-Au
Breaking
Breaking
 

Go Back   VietBF > Other News|Tin Khác > School | Kiến thức > School | Kiến thức 2006-2019


 
 
Thread Tools
  #1  
Old  Default Phát hiện chất kịch độc bị che giấu suốt 40 năm
(Daily Mail) - Các nhà nghiên cứu vừa phát hiện dạng độc tố botulinum mới đầu tiên trong hơn 40 năm qua, nhưng giới khoa học lo lắng về hiểm họa tiềm ẩn của nó đối với loài người đến mức họ đang cố gắng giữ kín nhiều chi tiết về khám phá này.

Trang NPR đưa tin, khám phá về dạng độc tố botulinum mới đã được đăng tải trên tạp chí khoa học The Journal of Infectious Diseases, nhưng một số chi tiết nhất định đã bị loại bỏ để ngăn chặn nguy cơ sử dụng chất độc này làm vũ khí hóa học. David Hooper, biên tập viên của The Journal of Infectious Diseases tiết lộ,mặc dù bất kỳ nghiên cứunào muốn được đăng tải trêntạp chí khoa học đều phải có báo cáo chi tiết, nhưng đây là mộ trường hợp ngoại lệ hiếm hoi.


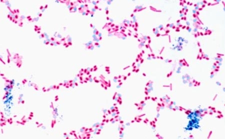
Vi khuẩn Clostridium botulinum. Ảnh: Corbis

Theo ông Hooper, một yêu cầu thông thường là, bài công bố phát hiện phải đề cập tới các chuỗi gen cần có để tạo nên chất độc mới. Nhưng do việc làm này tiềm ẩn nguy cơ an ninh, nên tạp chí đã quyết định giữ bí mật các thông tin như vậy cho tới khi giới khoa học phát triển được những phương pháp điều trị cho người bị nhiễm độc nó.

Quyết định trên một lần nữa đã hướng sự chú ý của dư luận đến vấn đề "thông tin khoa học có thể bị lợi dụng cho những mục đích tiêu cực". Một số chuyên gia từng bày tỏ lo ngại rằng, thông tin về các công nghệ mới nếu được công bố rộng rãi có thể tạo ra những hiểm họa sức khỏe và an ninh tiềm tàng cho nhân loại.

Độc tố botulinum là một protein, chất độc thần kinh do vi khuẩn Clostridium botulinum sản sinh ra. Nó có thể vô cùng nguy hiểm và có khả năng gây tử vong cho người nếu được ăn vào bụng hoặc xuất hiện trong vết thương nhiễm trùng hoặc hệ thống dạ dày - ruột của trẻ em.

Là chất độc thần kinh, độc tố botulinum có ảnh hưởng mạnh mẽ tới các tế bào thần kinh trong cơ thể chúng ta, ngăn chặn các tín hiệu do những tế bào thần kinh này gửi tới não bộ hoặc các cơ khác nhau, do đó làm liệt vận động cơ và có thể gây ra chứng bại liệt một phần. Triệu chứng có tên gọi "ngộ độc thức ăn" này có thể gây chết người nếu không được chữa trị kịp thời.

Tuy nhiên, y học đã tìm được cách tận dụng khả năng làm liệt cơ của độc tố botulinum, cụ thể là dạng botulinum B để chữa những bệnh co cơ ngoài ý muốn, chẳng hạn như co giật nửa mặt, vẹo cổ do co cứng cơ, ... Ngoài ra, trong lĩnh vực thẩm mỹ, tiêm chất Botox - tên gọi thương mại của độc tố botulinum A, vào những vùng cơ chọn lọc trên mặt sẽ gây liệt tạm thời những vùng cơ đó, tạo hiệu quả làm mờ nếp nhăn trên da mặt, đồng thời cũng tránh được sự hình thành những nếp nhăn mới.

Tuấn Anh - Vietnamnet
VIETBF Diễn Đàn Hay Nhất Của Người Việt Nam

HOT NEWS 24h

HOT 3 Days

NEWS 3 Days

HOT 7 Days

NEWS 7 Days

HOME

Breaking News

VietOversea

World News

Business News

Car News

Computer News

Game News

USA News

Mobile News

Music News

Movies News

History

Thơ Ca

Sport News

Stranger Stories

Comedy Stories

Cooking Chat

Nice Pictures

Fashion

School

Travelling

Funny Videos

Canada Tin Hay

USA Tin Hay

VietBF Homepage Autoscroll

VietBF Video Autoscroll Portal

Home Classic

Home Classic Master Page



tonycarter
R9 Tuyệt Đỉnh Tôn Sư
tonycarter's Avatar
Release: 10-27-2013
Reputation: 551


Profile:
Join Date: Dec 2008
Posts: 44,699
Last Update: None Rating: None
Attached Thumbnails
Click image for larger version

Name:	botulinum.jpg
Views:	507
Size:	64.7 KB
ID:	529462  
tonycarter_is_offline
Thanks: 262
Thanked 591 Times in 456 Posts
Mentioned: 0 Post(s)
Tagged: 0 Thread(s)
Quoted: 1 Post(s)
Rep Power: 62
tonycarter Reputation Uy Tín Level 2tonycarter Reputation Uy Tín Level 2tonycarter Reputation Uy Tín Level 2tonycarter Reputation Uy Tín Level 2tonycarter Reputation Uy Tín Level 2tonycarter Reputation Uy Tín Level 2
 
User Tag List


Bi kịch quán bún ốc Trần Hưng Đạo: 3 mẹ con chết ngạt sau cửa cuốn khóa kín ‘America Alone’ – Khi Trump vẽ lại trật tự thế giới theo cách của mình Cuộc chơi liều lĩnh của Trump với Tu chính án 14 và quyền có quốc tịch khi chào đời
LeBron James: Chấp nhận đánh mất kỷ lục 1.297 trận chỉ để làm một đường chuyền đúng Ciel Tower – khách sạn cao nhất thế giới Chiếc nhẫn cưới ‘mất tích’ và nghi ngờ Phó Tổng Thống Mỹ bỏ cô vợ Ấn Độ
Karoline Leavitt: Từ ‘thánh cô nói láo’ đến biểu tượng của Trump 2.0 Bong bóng AI, khí hậu nổi giận và năm 2026 Khi Vingroup phải vay trái phiếu lãi 12%: Phao cứu sinh hay bước đi liều mạng?
Từ Geneva đến Kyiv: Kế hoạch 28 điểm của Trump và thế lưỡng nan của Ukraine Nước Nga trên ván bài cuối: biết không thể thắng nhưng vẫn lao vào cuộc chiến đến cùng Tiền thuế đã đi đâu, khi dân miền Trung đói rét trên nóc nhà chờ chết?
Nellie Bly – 72 ngày vòng quanh thế giới và cú đòn vào mọi định kiến về phụ nữ “Góa phụ đen” ở nước Nga: khi cái chết của người lính trở thành một mô hình kinh doanh Lá thư cuối của Kurt Vonnegut: hãy sáng tạo chỉ để tâm hồn mình lớn lên
Trung Quốc vỡ trận công nghiệp: khi “Made in China” bước vào thập niên suy thoái mới Bốn ngày trên nóc nhà: khi người dân miền Trung thực sự bị bỏ rơi giữa lũ dữ Không một lời cảnh báo: Miền Trung chết chìm trong lũ thủy điện “đúng quy trình”
Biệt kích Chung Tử Ngọc – Từ ngọn đồi lửa đạn đến sáu năm lao tù cộng sản Một mạng người đáng giá bao nhiêu – từ vụ tai nạn ở California đến những xác người trong lũ Việt Nam Mercury – đoàn tàu Art Deco biến tốc độ thành cái đẹp hữu hình
Hoa Kỳ-Ukraine đạt sự đồng thuận cho kế hoạch hòa bình với 19 điểm mới Tấm chăn thơ rách nát giữa địa ngục cộng sản – từ hố xí tập thể đến bến bờ tị nạn Morgan Geyser trốn khỏi giám sát: Bóng ma Slender Man trở lại sau vụ đâm bạn 19 nhát chấn động nước Mỹ
New Delhi ngạt thở: Khi Pháo đài Đỏ hóa đen và người dân chỉ còn ước được… hít thở Red Bull – từ lon nước vàng ở Bangkok đến đế chế nội dung làm thay đổi thế giới Kế hoạch 28 điểm của Trump: Hoà bình cho Ukraine hay bản hợp đồng nhượng bộ cho Nga?

 
Lên đầu Xuống dưới Lên 3000px Xuống 3000px

iPad Videos Portal Autoscroll

VietBF Music Portal Autoscroll

iPad News Portal Autoscroll

VietBF Homepage Autoscroll

VietBF Video Autoscroll Portal

USA News Autoscroll Portall

VietBF WORLD Autoscroll Portal

Home Classic

Super Widescreen

iPad World Portal Autoscroll

iPad USA Portal Autoscroll

Phim Bộ Online

Tin nóng nhất 24h qua

Tin nóng nhất 3 ngày qua

Tin nóng nhất 7 ngày qua

Tin nóng nhất 30 ngày qua

Albums

Total Videos Online
Lên đầu Xuống dưới Lên 3000px Xuống 3000px

Tranh luận sôi nổi nhất 7 ngày qua

Tranh luận sôi nổi nhất 14 ngày qua

Tranh luận sôi nổi nhất 30 ngày qua

10.000 Tin mới nhất

Tin tức Hoa Kỳ

Tin tức Công nghệ
Lên đầu Xuống dưới Lên 3000px Xuống 3000px

Super News

School Cooking Traveling Portal

Enter Portal

Series Shows and Movies Online

Home Classic Master Page

Donation Ủng hộ $3 cho VietBF
Lên đầu Xuống dưới Lên 3000px Xuống 3000px
Diễn Đàn Người Việt Hải Ngoại. Tự do ngôn luận, an toàn và uy tín. Vì một tương lai tươi đẹp cho các thế hệ Việt Nam hãy ghé thăm chúng tôi, hãy tâm sự với chúng tôi mỗi ngày, mỗi giờ và mỗi giây phút có thể. VietBF.Com Xin cám ơn các bạn, chúc tất cả các bạn vui vẻ và gặp nhiều may mắn.
Welcome to Vietnamese American Community, Vietnamese European, Canadian, Australian Forum, Vietnamese Overseas Forum. Freedom of speech, safety and prestige. For a beautiful future for Vietnamese generations, please visit us, talk to us every day, every hour and every moment possible. VietBF.Com Thank you all and good luck.

Lên đầu Xuống dưới Lên 3000px Xuống 3000px

All times are GMT. The time now is 00:43.
VietBF - Vietnamese Best Forum Copyright ©2005 - 2025
User Alert System provided by Advanced User Tagging (Pro) - vBulletin Mods & Addons Copyright © 2025 DragonByte Technologies Ltd.
Log Out Unregistered

Page generated in 0.12072 seconds with 15 queries