HOME-Au
HOME-Au
24h
24h
USA
USA
GOP
GOP
Phim Bộ
Phim Bộ
Videoauto
VIDEO-Au
Donation
Donation
News Book
News Book
News 50
News 50
worldautoscroll
WORLD-Au
Breaking
Breaking
 

Go Back   VietBF > Other > School | Kiến thức > School | Kiến thức 2006-2019

 
Thread Tools
 
 
  #1  
Old  Default Phát hiện shock: Bệnh ung thư có thể lây truyền qua loài kí sinh kinh hãi này!
Hẳn bạn sẽ thấy kì lạ và đặt câu hỏi bệnh ung thư sao có thể lây được? Vậy mà theo tờ CBS News ngày 6-11, các bác sĩ ở Mỹ đã thực sự sốc khi phát hiện những khối u ung thư trong phổi một người đàn ông đến từ các tế bào của sán dây. Đây thực sự là điều sẽ khiến nhiều người “choáng váng"



Các u hạch ung thư xuất hiện trong gan, phổi, tuyến thượng thận người đàn ông
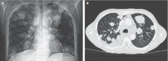
Năm 2013, một người đàn ông 41 tuổi (giấu tên) nhiễm HIV tìm đến các bác sĩ tại Bệnh viện Medellin, Colombia trong trạng thái mệt mỏi vì sốt, ho và giảm cân trong nhiều tháng. Tại đây, ông được thông báo có khối u đường kính khoảng 4 cm trong phổi và nhiều nơi khác trong cơ thể. Các bác sĩ phát hiện những khối u xuất phát từ các tế bào của sán dây. Các chuyên gia y tế tin rằng do hệ miễn dịch của người đàn ông đã suy yếu nên đã tạo điều kiện cho sán dây sống trong cơ thể và phát triển thành bệnh ung thư.

Cái chết của người đàn ông sau khi lây nhiễm những tế bào ung thư từ sán dây đã khiến các bác sĩ thực sự “sốc”. Họ tin rằng các tế bào gây bệnh có nguồn gốc từ ký sinh trùng, cộng với hệ miễn dịch của ông đã bị suy yếu bởi HIV nên các tế bào ung thư dễ dàng phát triển thành khối u, dễ dàng xâm nhập vào phổi bệnh nhân.

Tiến sĩ Atis Muehlenbachs – một nhà nghiên cứu bệnh tật tại Trung tâm Kiểm soát và Phòng ngừa dịch bệnh Mỹ (CDC) – phát biểu trên tờ New England Journal of Medicine số ra ngày 5-11: “Chúng tôi rất ngạc nhiên khi tìm thấy dạng bệnh mới: Sán dây phát triển trong cơ thể một người đã bị ung thư sau đó lây lan cho người khác, gây ra các khối u ác tính. Đây là một trường hợp hiếm thấy. Loại sán dây này được tìm thấy trên toàn cầu và trong cơ thể hàng triệu người nhiễm HIV suy yếu hệ miễn dịch. Do đó, có thể còn nhiều trường hợp tương tự nhưng không được phát triển. Đây là trường hợp nên được nghiên cứu sâu hơn”.



Tế bào ung thư siêu nhỏ của sán dây lùn
Trước đó, khi xét nghiêm phân của nam bệnh nhân, các bác sĩ phát hiện nhiều trứng sán Hymenolepis nana (còn gọi là sán dây lùn vì nó hiếm khi phát triển dài hơn 40 mm và tròn 1 mm). Kết quả CT scan cho thấy bệnh nhân còn bị các khối u ung thư trong phổi từ 0.4 - 4,4 cm. Đồng thời, các khối u cũng đã lan sang gan, tuyến thượng thận và những bộ phận lân cận. Kết quả sinh thiết khối u phổi của người đàn ông cho thấy hiện tượng kỳ lạ: Các khối u ung thư tồn tại nhưng các tế bào lại rất nhỏ. “Chúng nhỏ hơn so với tế bào ung thư của con người 10 lần”, TS Muehlenbachs nói. Các nhà nghiên cứu cũng nhận ra các tế bào u cũng nằm lộn xộn, chen chúc - điều không thường thấy trong các tế bào của con người.

Trong trường hợp của người đàn ông nhiễm HIV, các nhà khoa học ở CDC nghi ngờ rằng hệ thống miễn dịch suy yếu cho phép sán dây lùn phát triển mạnh không được kiểm soát. Từ đó, xuất hiện sự đột biến trong tế bào sán dây, gây ung thư cho ký sinh trùng và những tế bào này cuối cùng sẽ gây ra các khối u ung thư trong cơ thể vật chủ của chúng.



Sán dây lùn Hymenolepis nana
Nhóm nghiên cứu ở CDC đã phát hiện AND sán dây lùn trong các tế bào khối u ung thư của bệnh nhân sau gần 3 tháng tìm kiếm gốc rễ bệnh tật. 3 ngày sau, người đàn ông chết. Hiện chưa rõ các tế bào ác tính hình thành thế nào trong sán dây và làm sao có thể gây ra các khối u cho vật chủ của chúng.

Theo BBC, đây là trường hợp đầu tiên một người bị lây ung thư từ ký sinh trùng. Tuy nhiên, các nhà nghiên cứu từ lâu đã biết rằng một số bệnh nhiễm trùng mãn tính, bao gồm cả bệnh do ký sinh trùng, có thể làm tăng nguy cơ ung thư ở người.

TS Len Lichtenfeld, Phó Giám đốc Hội Ung thư Mỹ (ACS), nói rằng đây là phát hiện đáng chú ý cho thấy mối liên hệ giữa các chứng nhiễm trùng và ung thư đồng thời nhấn mạnh sự nghiêm trọng của việc nhiễm sán dây lùn. Ông khuyên mọi người nên ăn chín, uống sôi và giữ bàn tay sạch để phòng ngừa giun sán.

Hiện có khoảng 75 triệu người trên thế giới nhiễm sán dây lùn Hymenolepis nana do ăn phải trứng sán có trong thực phẩm dính phân chuột, côn trùng hoặc phân người đã nhiễm ký sinh trùng. Thông thường, người bị nhiễm sán dây lùn không có triệu chứng cụ thể và sán tiếp tục lớn lên, sinh sản trong ruột người.
Dịch trang: EnglishEnglish DeutschDeutsch FrançaisFrançais EspañolEspañol ItalianoItaliano PortuguêsPortuguês
NorskNorsk NederlandsNederlands DanskDansk SuomiSuomi PolskiPolski ČeštinaČeština РусскийРусский
日本語日本語 한국어한국어 中文(简体)中文(简体) 中文(繁體)中文(繁體) MagyarMagyar TürkçeTürkçe
العربيةالعربية ไทยไทย LatinaLatina हिन्दीहिन्दी Bahasa IndonesiaBahasa Indonesia Bahasa MelayuBahasa Melayu
VIETBF Hybrid Community Content Hub

HOT NEWS 24h

HOT 3 Days

NEWS 3 Days

HOT 7 Days

NEWS 7 Days

HOME

Breaking News

VietOversea

World News

Business News

Car News

Computer News

Game News

USA News

Mobile News

Music News

Movies News

History

Thơ Ca

Sport News

Stranger Stories

Comedy Stories

Cooking Chat

Nice Pictures

Fashion

School

Travelling

Funny Videos

Canada Tin Hay

USA Tin Hay

VietBF Homepage Autoscroll

VietBF Video Autoscroll Portal

Video Classic Master

iPad News Portal

VietBF iPad Music Portal

Tin nóng nhất 50h qua

Phim Bộ Online

iMusic Pro Max



pizza
R11 Tuyệt Thế Thiên Hạ
Release: 11-06-2015
Reputation: 237514

Profile:
Join Date: Sep 2014
Posts: 111,456
Last Update: None Rating: None
Attached Thumbnails
Click image for larger version

Name:	111.jpg
Views:	0
Size:	24.7 KB
ID:	826307  
pizza_is_offline
Thanks: 7
Thanked 8,286 Times in 7,366 Posts
Mentioned: 6 Post(s)
Tagged: 0 Thread(s)
Quoted: 41 Post(s)
Rep Power: 134
pizza Reputation Uy Tín Level 10pizza Reputation Uy Tín Level 10pizza Reputation Uy Tín Level 10pizza Reputation Uy Tín Level 10pizza Reputation Uy Tín Level 10pizza Reputation Uy Tín Level 10pizza Reputation Uy Tín Level 10
pizza Reputation Uy Tín Level 10pizza Reputation Uy Tín Level 10pizza Reputation Uy Tín Level 10pizza Reputation Uy Tín Level 10pizza Reputation Uy Tín Level 10pizza Reputation Uy Tín Level 10pizza Reputation Uy Tín Level 10pizza Reputation Uy Tín Level 10pizza Reputation Uy Tín Level 10pizza Reputation Uy Tín Level 10pizza Reputation Uy Tín Level 10pizza Reputation Uy Tín Level 10pizza Reputation Uy Tín Level 10pizza Reputation Uy Tín Level 10pizza Reputation Uy Tín Level 10pizza Reputation Uy Tín Level 10pizza Reputation Uy Tín Level 10pizza Reputation Uy Tín Level 10pizza Reputation Uy Tín Level 10pizza Reputation Uy Tín Level 10pizza Reputation Uy Tín Level 10pizza Reputation Uy Tín Level 10
Dịch trang: EnglishEnglish DeutschDeutsch FrançaisFrançais EspañolEspañol ItalianoItaliano PortuguêsPortuguês
NorskNorsk NederlandsNederlands DanskDansk SuomiSuomi PolskiPolski ČeštinaČeština РусскийРусский
日本語日本語 한국어한국어 中文(简体)中文(简体) 中文(繁體)中文(繁體) MagyarMagyar TürkçeTürkçe
العربيةالعربية ไทยไทย LatinaLatina हिन्दीहिन्दी Bahasa IndonesiaBahasa Indonesia Bahasa MelayuBahasa Melayu
 
User Tag List



 

iPad Videos Portal Autoscroll

VietBF Music Portal Autoscroll

iPad News Portal Autoscroll

VietBF Homepage Autoscroll

VietBF Video Autoscroll Portal

USA News Autoscroll Portall

VietBF WORLD Autoscroll Portal

Video Classic Master Page

Super Widescreen

iPad World Portal Autoscroll

iPad USA Portal Autoscroll

Phim Bộ Online
Lên đầu Xuống dưới Lên 3000px Xuống 3000px

Tin nóng nhất 24h qua

Tin nóng nhất 3 ngày qua

Tin nóng nhất 7 ngày qua

Tin nóng nhất 30 ngày qua

Albums

Total Videos Online

Tranh luận sôi nổi nhất 7 ngày qua

Tranh luận sôi nổi nhất 14 ngày qua

Tranh luận sôi nổi nhất 30 ngày qua

10.000 Tin mới nhất

Tin tức Hoa Kỳ

Tin tức Công nghệ
Lên đầu Xuống dưới Lên 3000px Xuống 3000px

Duo Series Movies Portal

Duo Music Portal

Phim Bộ

Tỷ Giá

Thời Tiết

Tin Nóng Nhất 50h

Super News

School Cooking Traveling Portal

Enter Portal

Series Shows and Movies Online

Home Classic Master Page

Donation Ủng hộ $3 cho VietBF
Lên đầu Xuống dưới Lên 3000px Xuống 3000px
Diễn Đàn Người Việt Hải Ngoại. Tự do ngôn luận, an toàn và uy tín. Vì một tương lai tươi đẹp cho các thế hệ Việt Nam hãy ghé thăm chúng tôi, hãy tâm sự với chúng tôi mỗi ngày, mỗi giờ và mỗi giây phút có thể. VietBF.Com Xin cám ơn các bạn, chúc tất cả các bạn vui vẻ và gặp nhiều may mắn.
Welcome to Vietnamese American Community, Vietnamese European, Canadian, Australian Forum, Vietnamese Overseas Forum. Freedom of speech, safety and prestige. For a beautiful future for Vietnamese generations, please visit us, talk to us every day, every hour and every moment possible. VietBF.Com Thank you all and good luck.

Lên đầu Xuống dưới Lên 3000px Xuống 3000px

All times are GMT. The time now is 04:12.
VietBF - Vietnamese Best Forum Copyright ©2005 - 2026
User Alert System provided by Advanced User Tagging (Pro) - vBulletin Mods & Addons Copyright © 2026 DragonByte Technologies Ltd.
Log Out Unregistered

Page generated in 0.11888 seconds with 15 queries