HOME-Au
HOME-Au
24h
24h
USA
USA
GOP
GOP
Phim Bộ
Phim Bộ
Videoauto
VIDEO-Au
Home Classic
Home Classic
Donation
Donation
News Book
News Book
News 50
News 50
worldautoscroll
WORLD-Au
Breaking
Breaking
 

Go Back   VietBF > Other News|Tin Khác > School | Kiến thức > School | Kiến thức 2006-2019


 
 
Thread Tools
  #1  
Old  Default Bác sĩ nha khoa té ngửa vì hàm răng của anh này
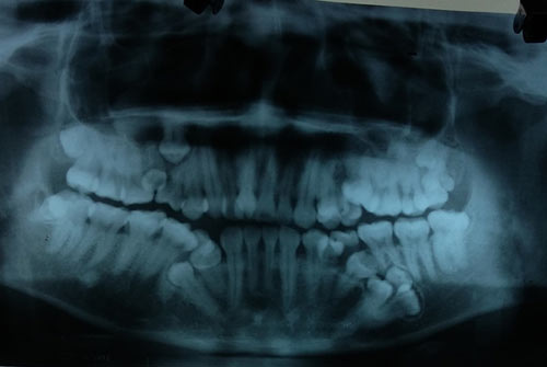
Chỉ đi khám vì răng bị đau, anh Sơn đã làm cho các bác sĩ đều hoảng hốt khi xem hàm răng của anh.

Đây là một trường hợp rất hy hữu từ trước đến này. Anh Đỗ Văn Sơn đã làm các bác sĩ hoảng hốt vì anh thừa tới 17 chiếc răng.

Anh Sơn cho biết, từ năm 15 tuổi đến nay, cứ mỗi năm anh lại thấy mọc thêm 1 chiếc răng. Nghĩ là mọc lẫy bình thường, lại không đau đớn nên anh không hề đi khám. Cách đây 10 ngày, thấy răng sâu ở hàm trên đau nhức khó chịu, anh mới đến Bệnh viện Việt Nam – Cu Ba khám.


Hình ảnh chụp phim cho thấy bệnh nhân mọc thừa răng chi chít

Tại đây các bác sĩ đã hết sức bất ngờ khi phát hiện ngoài chiếc răng sâu, bệnh nhân bị mọc thừa đến 13 chiếc răng ở vị trí răng 4 và 5 trên 2 hàm. Các răng mọc lệch, chen chúc, dàn hàng ngang khiến việc vệ sinh khó khăn, gây sâu, viêm tủy.



BS Nguyễn Thanh Thái, Trưởng khoa Phẫu thuật Tạo hình Hàm mặt cho biết, sau khi chỉ định chụp CT, các bác sĩ lại tiếp tục phát hiện thêm bệnh nhân có 4 mầm răng chưa mọc. Hiện bệnh nhân đã được điều trị tủy dứt cơn đau răng, đồng thời làm xét nghiệm để chuẩn bị mổ bỏ các răng thừa vào tuần tới.

Theo BS Thái, trường hợp thừa nhiều rằng nhất đã từng gặp là 8 chiếc, riêng trường hợp anh Sơn thừa đến 17 chiếc răng thì chưa gặp bao giờ. Qua trường hợp trên, BS Thái khuyến cáo, người dân nên có thói quen khám răng định kỳ 6 tháng 1 lần. Khi thấy răng mọc 2-3 cái một chỗ cần đi khám ngay để can thiệp kịp thời.

VietBF© Sưu tập
VIETBF Diễn Đàn Hay Nhất Của Người Việt Nam

HOT NEWS 24h

HOT 3 Days

NEWS 3 Days

HOT 7 Days

NEWS 7 Days

HOME

Breaking News

VietOversea

World News

Business News

Car News

Computer News

Game News

USA News

Mobile News

Music News

Movies News

History

Thơ Ca

Sport News

Stranger Stories

Comedy Stories

Cooking Chat

Nice Pictures

Fashion

School

Travelling

Funny Videos

Canada Tin Hay

USA Tin Hay

VietBF Homepage Autoscroll

VietBF Video Autoscroll Portal

Home Classic

Home Classic Master Page



troopy
R10 Vô Địch Thiên Hạ
Release: 06-20-2016
Reputation: 227511


Profile:
Join Date: Oct 2014
Posts: 89,713
Last Update: None Rating: None
Attached Thumbnails
Click image for larger version

Name:	1-1.jpg
Views:	0
Size:	49.3 KB
ID:	900153   Click image for larger version

Name:	1.jpg
Views:	0
Size:	20.4 KB
ID:	900154  
troopy_is_offline
Thanks: 76
Thanked 6,692 Times in 5,814 Posts
Mentioned: 5 Post(s)
Tagged: 0 Thread(s)
Quoted: 34 Post(s)
Rep Power: 112
troopy Reputation Uy Tín Level 10troopy Reputation Uy Tín Level 10troopy Reputation Uy Tín Level 10troopy Reputation Uy Tín Level 10troopy Reputation Uy Tín Level 10troopy Reputation Uy Tín Level 10
troopy Reputation Uy Tín Level 10troopy Reputation Uy Tín Level 10troopy Reputation Uy Tín Level 10troopy Reputation Uy Tín Level 10troopy Reputation Uy Tín Level 10troopy Reputation Uy Tín Level 10troopy Reputation Uy Tín Level 10troopy Reputation Uy Tín Level 10troopy Reputation Uy Tín Level 10troopy Reputation Uy Tín Level 10troopy Reputation Uy Tín Level 10troopy Reputation Uy Tín Level 10troopy Reputation Uy Tín Level 10troopy Reputation Uy Tín Level 10troopy Reputation Uy Tín Level 10troopy Reputation Uy Tín Level 10troopy Reputation Uy Tín Level 10troopy Reputation Uy Tín Level 10troopy Reputation Uy Tín Level 10troopy Reputation Uy Tín Level 10troopy Reputation Uy Tín Level 10troopy Reputation Uy Tín Level 10
Old 06-20-2016   #2
laughster
R8 Võ Lâm Chí Tôn
 
laughster's Avatar
 
Join Date: Mar 2007
Posts: 17,070
Thanks: 16,421
Thanked 13,230 Times in 6,883 Posts
Mentioned: 85 Post(s)
Tagged: 0 Thread(s)
Quoted: 7088 Post(s)
Rep Power: 39
laughster Reputation Uy Tín Level 8laughster Reputation Uy Tín Level 8laughster Reputation Uy Tín Level 8
laughster Reputation Uy Tín Level 8laughster Reputation Uy Tín Level 8laughster Reputation Uy Tín Level 8laughster Reputation Uy Tín Level 8laughster Reputation Uy Tín Level 8laughster Reputation Uy Tín Level 8laughster Reputation Uy Tín Level 8laughster Reputation Uy Tín Level 8laughster Reputation Uy Tín Level 8laughster Reputation Uy Tín Level 8laughster Reputation Uy Tín Level 8laughster Reputation Uy Tín Level 8laughster Reputation Uy Tín Level 8laughster Reputation Uy Tín Level 8laughster Reputation Uy Tín Level 8laughster Reputation Uy Tín Level 8laughster Reputation Uy Tín Level 8laughster Reputation Uy Tín Level 8laughster Reputation Uy Tín Level 8laughster Reputation Uy Tín Level 8laughster Reputation Uy Tín Level 8
Default

hình cha trump mần răng trong bài này trời?? hahaha LMAO
laughster_is_offline  
 
User Tag List


Tướng tình báo Venezuela tiết lộ mạng lưới ma túy – gián điệp cắm sâu vào nước Mỹ? 5 tiểu bang lạnh nhất nước Mỹ (trừ Alaska) – và những nơi mùa đông ‘dễ thở’ cho người Việt Đàm phán Miami: Trump sốt ruột tìm hòa bình, Putin ung dung chờ thắng chậm
Khi Trump tái khởi động ‘chiến tranh ma túy’: từ tàu ma túy bị bắn chìm đến nỗi mất ngủ ở Caracas Mỹ thời Trump: Trục xuất người Iran về ‘địa ngục’, rồi dùng drone Iran để đánh Iran Donald Trump và học thuyết mới: Mỹ không còn làm ‘cảnh sát toàn cầu’
GDP giảm 0,1% và những con người mất trắng 100% sau bão lũ Michael và Susan Dell donate 6,25 tỷ USD vào “Tài khoản Trump”: Kho báu cho trẻ em Mỹ hay chỉ là cú khuyến đẻ kể cho vui? Đường sắt cao tốc 61 tỷ USD và ‘doanh nhân xù nợ’ 30 triệu
Những chuyện hài hước nhất hôm nay Mailisa bất ngờ “đóng cửa” giữa bão điều tra: Đế chế làm đẹp nghìn tỷ khép lại MAGA Đen - MAGA Đỏ - Giấc mơ đế chế dữ liệu của Peter Thiel và giới trọc phú công nghệ
Ánh đèn hiên nhà trong đêm bão tuyết: câu chuyện Lễ Tạ Ơn kỳ diệu sau 41 năm Xả súng gần Nhà Trắng: Bi kịch Lễ Tạ Ơn và cuộc chơi chính trị của Trump với hồ sơ di dân Afghanistan Từ Frankenstein đến Game of Drones: Khi công nghệ biến chiến tranh thành cuộc hỗn loạn vĩnh viễn
Biển lửa Wang Fuk Court: 65 người chết, Hồng Kông choáng váng trước “thảm họa giàn giáo tre” Biển lửa Wang Fuk Court: Thảm họa người già Hồng Kông và cuộc điều tra “sự cứu thả chết người” Chết cháy hàng loạt tại Hồng Kông, các toà nhà biến thành địa ngục, hàng trăm người mất tích
Black Friday ảm đạm ngoài phố, rực lửa trên livestream: Người Việt đổi kiểu săn sale Cánh tay phải của Zelensky ngã ngựa: Ukraine bị ép chọn giữa danh dự và đồng minh Tryptophan trên tiểu hành tinh Bennu: Phát hiện mới cho thấy “công thức sự sống” đến từ vũ trụ
Trump, Donetsk và “thỏa thuận không thể”: Ukraine bị ép vào góc hẹp của một nền hòa bình đẫm máu Từ Stalin tới Putin: 86 năm sau, bóng ma chiến tranh mùa đông vẫn ám ảnh đế quốc Nga Putin khen kế hoạch hòa bình của Mỹ nhưng dọa chiếm thêm đất nếu Kyiv không rút quân
Trump siết nhập cư sau vụ nổ súng: Rà soát toàn bộ thẻ xanh từ 19 “quốc gia đáng lo ngại” Thảm họa cháy chung cư ở Hong Kong: 128 người chết, hàng trăm người mất tích và những câu hỏi nhức nhối Cô gái Brazil bị trục xuất và nghịch lý cay đắng ngay trong gia đình phát ngôn viên Nhà Trắng

 
Lên đầu Xuống dưới Lên 3000px Xuống 3000px

iPad Videos Portal Autoscroll

VietBF Music Portal Autoscroll

iPad News Portal Autoscroll

VietBF Homepage Autoscroll

VietBF Video Autoscroll Portal

USA News Autoscroll Portall

VietBF WORLD Autoscroll Portal

Home Classic

Super Widescreen

iPad World Portal Autoscroll

iPad USA Portal Autoscroll

Phim Bộ Online

Tin nóng nhất 24h qua

Tin nóng nhất 3 ngày qua

Tin nóng nhất 7 ngày qua

Tin nóng nhất 30 ngày qua

Albums

Total Videos Online
Lên đầu Xuống dưới Lên 3000px Xuống 3000px

Tranh luận sôi nổi nhất 7 ngày qua

Tranh luận sôi nổi nhất 14 ngày qua

Tranh luận sôi nổi nhất 30 ngày qua

10.000 Tin mới nhất

Tin tức Hoa Kỳ

Tin tức Công nghệ
Lên đầu Xuống dưới Lên 3000px Xuống 3000px

Super News

School Cooking Traveling Portal

Enter Portal

Series Shows and Movies Online

Home Classic Master Page

Donation Ủng hộ $3 cho VietBF
Lên đầu Xuống dưới Lên 3000px Xuống 3000px
Diễn Đàn Người Việt Hải Ngoại. Tự do ngôn luận, an toàn và uy tín. Vì một tương lai tươi đẹp cho các thế hệ Việt Nam hãy ghé thăm chúng tôi, hãy tâm sự với chúng tôi mỗi ngày, mỗi giờ và mỗi giây phút có thể. VietBF.Com Xin cám ơn các bạn, chúc tất cả các bạn vui vẻ và gặp nhiều may mắn.
Welcome to Vietnamese American Community, Vietnamese European, Canadian, Australian Forum, Vietnamese Overseas Forum. Freedom of speech, safety and prestige. For a beautiful future for Vietnamese generations, please visit us, talk to us every day, every hour and every moment possible. VietBF.Com Thank you all and good luck.

Lên đầu Xuống dưới Lên 3000px Xuống 3000px

All times are GMT. The time now is 15:06.
VietBF - Vietnamese Best Forum Copyright ©2005 - 2025
User Alert System provided by Advanced User Tagging (Pro) - vBulletin Mods & Addons Copyright © 2025 DragonByte Technologies Ltd.
Log Out Unregistered

Page generated in 0.09846 seconds with 15 queries