HOME-Au
HOME-Au
24h
24h
USA
USA
GOP
GOP
Phim Bộ
Phim Bộ
Videoauto
VIDEO-Au
Donation
Donation
News Book
News Book
News 50
News 50
worldautoscroll
WORLD-Au
Breaking
Breaking
 

Go Back   VietBF > World > Vietnam News | Tin Việt Nam > 2005-2023 Vietnam News


 
Thread Tools
 
 
  #1  
Old  Default Hãy coi chừng bệnh nặng với các tiệu chứng: Đau đầu, mệt mỏi, buồn nôn, mờ mắt
Có rất nhiều bệnh lạ, hiếm gặp và khó điều trị nếu phát hiện ra muộn. Nếu người bệnh có các hiện tượng như đau đầu, mệt mỏi, buồn nôn, mờ mắt, phải đến bệnh viện khám ngay. Các bác sĩ khuyến cáo đó là triệu chứng của bệnh khối u lớn ở sàn sọ não.



Bệnh nhân đang được điều trị tại Bệnh Viện Đại học Y Dược TP HCM. Ảnh: TT.
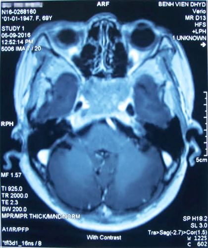
Bà Nguyệt, 69 tuổi, quê Bến Tre bị đau đầu kéo dài suốt 10 năm qua. Gần đây các cơn đau ngày càng tăng, kèm theo cảm giác mệt mỏi, buồn nôn và mờ 2 mắt, người phụ nữ đến Bệnh viện Đại học Y Dược TP HCM khám. Kết quả chụp CT scan não phát hiện có tổn thương mô mềm xoang bướm, gây phình lớn ở xương bản vuông và cánh lớn xương bướm bên trái.

Thạc sĩ, bác sĩ Trương Thanh Tình, Khoa Ngoại Thần Kinh, chỉ định bệnh nhân chụp MRI xác định có u não vùng sàn sọ đường giữa ngoài màng cứng. Khối u nhiều mạch máu, kích thước lớn, gây hủy xương bản vuông và xâm lấn nhiều cấu trúc xung quanh như xoang hang, động mạch cảnh 2 bên. Bà Nguyệt được xác định mắc bệnh lý hiếm gặp của u sàn sọ là Clival chordoma, hay u nguyên sống. Đây chính là nguyên nhân gây đau đầu, mệt mỏi, mờ mắt...


Khối u sàn sọ kích thước lớn (màu trắng ở giữa) đã xâm lấn nhiều cấu trúc xung quanh như xoang hang, động mạch cảnh 2 bên.
Bác sĩ quyết định điều trị cho bệnh nhân bằng phương pháp nội soi qua đường mũi để lấy u toàn phần. Ba ngày sau phẫu thuật, bà Nguyệt đã hồi phục hoàn toàn, tỉnh táo, tiếp xúc tốt, không có dấu hiệu tổn thương hay chảy dịch.

Theo bác sĩ Tình, Chordoma hay u nguyên sống là loại u nguyên phát ác tính của não, thường xuất hiện ở vùng sàn sọ (xương bản vuông) hay vùng cùng cụt. Theo Handbook of Neurosurgery năm 2016, bệnh này rất hiếm, chỉ chiếm 0,5 phần triệu trong tổng số u nguyên phát có nguồn gốc trung phôi bì, thường gặp ở vùng cùng cụt nhiều hơn não (53% so với 35%). U nguyên sống có thể di căn đến phổi, gan, xương dù có tỷ lệ thấp, chỉ từ 5 đến 20%. Đây được xem là bệnh lý nguy hiểm vì tỷ lệ tái phát sau phẫu thuật rất cao, khoảng 85%.

Việc điều trị thường gặp khó khăn vì u này không đáp ứng với xạ trị (trừ proton-beam có thể hiệu quả, nhưng loại tia này chưa có ở Việt Nam). Chính vì vậy phương pháp tối ưu là phẫu thuật lấy u càng triệt để càng tốt. Trên thực tế, việc bóc tách u toàn phần là thách thức lớn đối với hầu hết phẫu thuật viên ngoại thần kinh do sự liên quan các cấu trúc mạch máu và thần kinh thiết yếu trong não, nếu không cẩn thận có thể gây ra nhiều biến chứng nguy hiểm.

Theo tiến sĩ, bác sĩ Nguyễn Minh Anh, Trưởng khoa Ngoại Thần Kinh, trước kia người bệnh u não phải trải qua phẫu thuật mở sọ trán 2 bên, đường mổ lớn, thời gian mổ kéo dài, bị đau nhiều sau mổ, chi phí tốn kém, trong khi khả năng lấy u lại kém do trường mổ bị giới hạn. Nguy cơ biến chứng trong một cuộc mổ mở sọ như máu tụ nội sọ, dập não, viêm màng não, thoát vị não, chảy dịch não tủy, thậm chí tử vong.

Hiện nay, nhờ ứng dụng phẫu thuật nội soi, người bệnh sẽ được phẫu thuật lấy u nhẹ nhàng. Kỹ thuật viên đưa dụng cụ nội soi lên não từ đường tự nhiên của cơ thể (lỗ mũi) là đã tiếp cận và lấy được khối u ra ngoài. Bệnh nhân sau phẫu thuật không bị đau nhiều, nguy cơ cuộc mổ cũng được giảm đi đáng kể và không thấy vết mổ nên đảm bảo tính thẩm mỹ. Trong mổ nội soi, trường mổ rất rộng, không bị các cấu trúc khác che chắn nên bóc tách u thuận lợi hơn, tỷ lệ lấy hết u ở mức cao nhất.

Bác sĩ Minh Anh nhìn nhận những tiến bộ về kỹ thuật nội soi sàn sọ đã giúp rất nhiều bệnh nhân Việt Nam điều trị nhẹ nhàng hơn, thay vì phải phẫu thuật mở sọ chữa u vùng xoang sàn, u tuyến yên, u vùng củ yên, u sọ hầu, u nguyên sống… Các bác sĩ đang nghiên cứu mở rộng phạm vi áp dụng kỹ thuật này trong điều trị các loại u ở vùng hố sọ giữa và hố sọ sau như vùng đỉnh xương đá, u dây V và các bệnh lý mạch máu như túi phình động mạch não, dị dạng mạch máu não…

Theo bác sĩ Thanh Tình, u nguyên sống là bệnh bẩm sinh, thường biển hiện thành triệu chứng ở độ tuổi từ 50 đến 60, hiếm gặp ở người dưới 30 tuổi. Triệu chứng phổ biến là đau đầu và liệt dây sọ. U được chẩn đoán thông qua hình ảnh học CT scan và MRI cho thấy tổn thương dạng mô mềm vùng sàn sọ ở đường giữa, gây hủy xương bản vuông…

Bác sĩ khuyên mọi người khi bị các triệu chứng như đau đầu kéo dài, có bất thường ở mắt như sụp mi mắt, nhìn đôi (song thị), lé, đau tê nửa mặt, mờ mắt, động kinh… cần đến các cơ sở y tế để tầm soát sớm. Do đặc tính của căn bệnh trên là u ác, dễ tái phát nên người bệnh cần được chẩn đoán sớm khi u chưa quá lớn, chưa xâm lấn nhiều cấu trúc xung quanh sẽ tăng tỷ lệ lấy sạch u tối đa.

Vietbf @ sưu tầm.
Dịch trang: EnglishEnglish DeutschDeutsch FrançaisFrançais EspañolEspañol ItalianoItaliano PortuguêsPortuguês
NorskNorsk NederlandsNederlands DanskDansk SuomiSuomi PolskiPolski ČeštinaČeština РусскийРусский
日本語日本語 한국어한국어 中文(简体)中文(简体) 中文(繁體)中文(繁體) MagyarMagyar TürkçeTürkçe
العربيةالعربية ไทยไทย LatinaLatina हिन्दीहिन्दी Bahasa IndonesiaBahasa Indonesia Bahasa MelayuBahasa Melayu
VIETBF Hybrid Community Content Hub

HOT NEWS 24h

HOT 3 Days

NEWS 3 Days

HOT 7 Days

NEWS 7 Days

HOME

Breaking News

VietOversea

World News

Business News

Car News

Computer News

Game News

USA News

Mobile News

Music News

Movies News

History

Thơ Ca

Sport News

Stranger Stories

Comedy Stories

Cooking Chat

Nice Pictures

Fashion

School

Travelling

Funny Videos

Canada Tin Hay

USA Tin Hay

VietBF Homepage Autoscroll

VietBF Video Autoscroll Portal

Video Classic Master

iPad News Portal

VietBF iPad Music Portal

Tin nóng nhất 50h qua

Phim Bộ Online

iMusic Pro Max



pizza
R11 Tuyệt Thế Thiên Hạ
Release: 09-24-2016
Reputation: 237264


Profile:
Join Date: Sep 2014
Posts: 110,962
Last Update: None Rating: None
Attached Thumbnails
Click image for larger version

Name:	32.jpg
Views:	0
Size:	50.2 KB
ID:	939496   Click image for larger version

Name:	31.jpg
Views:	0
Size:	29.3 KB
ID:	939497  
pizza is_online_now
Thanks: 7
Thanked 8,161 Times in 7,271 Posts
Mentioned: 6 Post(s)
Tagged: 0 Thread(s)
Quoted: 41 Post(s)
Rep Power: 133
pizza Reputation Uy Tín Level 10pizza Reputation Uy Tín Level 10pizza Reputation Uy Tín Level 10pizza Reputation Uy Tín Level 10pizza Reputation Uy Tín Level 10pizza Reputation Uy Tín Level 10pizza Reputation Uy Tín Level 10
pizza Reputation Uy Tín Level 10pizza Reputation Uy Tín Level 10pizza Reputation Uy Tín Level 10pizza Reputation Uy Tín Level 10pizza Reputation Uy Tín Level 10pizza Reputation Uy Tín Level 10pizza Reputation Uy Tín Level 10pizza Reputation Uy Tín Level 10pizza Reputation Uy Tín Level 10pizza Reputation Uy Tín Level 10pizza Reputation Uy Tín Level 10pizza Reputation Uy Tín Level 10pizza Reputation Uy Tín Level 10pizza Reputation Uy Tín Level 10pizza Reputation Uy Tín Level 10pizza Reputation Uy Tín Level 10pizza Reputation Uy Tín Level 10pizza Reputation Uy Tín Level 10pizza Reputation Uy Tín Level 10pizza Reputation Uy Tín Level 10pizza Reputation Uy Tín Level 10pizza Reputation Uy Tín Level 10
Dịch trang: EnglishEnglish DeutschDeutsch FrançaisFrançais EspañolEspañol ItalianoItaliano PortuguêsPortuguês
NorskNorsk NederlandsNederlands DanskDansk SuomiSuomi PolskiPolski ČeštinaČeština РусскийРусский
日本語日本語 한국어한국어 中文(简体)中文(简体) 中文(繁體)中文(繁體) MagyarMagyar TürkçeTürkçe
العربيةالعربية ไทยไทย LatinaLatina हिन्दीहिन्दी Bahasa IndonesiaBahasa Indonesia Bahasa MelayuBahasa Melayu
 
User Tag List


HẬU DUỆ VNCH VIẾT NÊN LỊCH SỬ TẠI HOA KỲ: KHI KHIÊM NHƯỜNG LÀ SỨC MẠNH QUANG PHỤC QUÊ HƯƠNG Sức mạnh răn đe vô tiền khoáng hậu: Bộ ba "Pháo đài bay" Mỹ cùng lúc hội quân tại Trung Đông Những chuyện hài hước nhất hôm nay +112 videos
Chảo lửa Hormuz: Mỹ lên kế hoạch "đòn sấm sét" nếu thỏa thuận ngừng bắn sụp đổ Hiệu ứng cánh bướm từ Eo biển Hormuz: Khi châu Á "hắt hơi", nước Mỹ liệu có "sổ mũi"? Khi quyền lực không thể che lấp tội ác: Toàn cảnh vụ xét xử Rodrigo Duterte tại Tòa án Hình sự Quốc tế
Đồng tiền xương máu và canh bạc 400 nghìn đô: Đặc nhiệm Mỹ "sa lưới" vì đặt cược vào vụ bắt giữ Tổng thống Maduro Hoa Kỳ tước 400 quốc tịch Mỹ, liệu có Việt Cộng trong đó? Kỳ Tích Giữa Đời Thường: Người Phụ Nữ Chiến Thắng "Án Tử" Ung Thư Tụy Nhờ Vũ Khí mRNA Từng Cứu Thế Giới
Nội bộ Mỹ rạn nứt vì chiến tranh Iran: Joe Kent từ chức, phong trào MAGA chia đôi, Nhà Trắng phản pháo dữ dội Tehran xác nhận Ali Larijani tử trận: “cột trụ” sụp đổ Israel “chặt đầu rắn”: Ali Larijani và lực lượng Basij bị tuyên bố tiêu diệt – Iran rơi vào cú sốc
Mỹ – Iran bước vào thế “đánh rồi tính sau” Chuyện hài Hàn Cộng: Khi giấc mộng xóa bỏ Bắc Triều vẫn ám ảnh Washington Mỹ mà thua Iran thì toàn dân, toàn quân Việt Cộng chỉ có con đường chết đói bo bo
Trump gây sức ép toàn cầu mở lại eo Hormuz, chuyến thăm Trung Quốc có thể bị hoãn – NATO và đồng minh vẫn đứng ngoài Đức phản bác Trump: “Đây không phải là cuộc chiến của NATO” – Châu Âu chia rẽ trước khủng hoảng eo Hormuz Trump gây sức ép với Trung Quốc trước thềm thượng đỉnh Bắc Kinh: muốn mở eo Hormuz trước khi nói chuyện
5 vạn quân Mỹ áp sát Iran, bùng nổ đại chiến kinh hoàng tại Trung Đông, “Khi gió chiến tranh nổi lên, không ai biết cát sa mạc sẽ bay về đâu.” Iran xác nhận Giáo Chủ đã chết, 96 vạn quân Iran như rắn mất đầu Qatar và Emirates Airways, Dubai–Doha tê liệt, 1.800 chuyến bay bị hủy, hành khách mắc kẹt khắp nơi
Ông Trump xác nhận Giáo Chủ Iran đã chết, hàng loạt tướng tử vong, 30 vạn quân Iran đào ngũ tháo chạy khắp nơi, binh bại như núi đổ Iran ‘tắt sóng’ 99% sau không kích: internet gần như biến mất, dân Tehran đổ xô tích trữ, xếp hàng mua xăng Mỹ tổng tấn công Iran
Ghế Thủ Tướng “Đổi Gió”? Khi Lê Minh Hưng Không Còn Đi Trên Thảm Đỏ Và “Thắng Đen” Trỗi Dậy Bốn Thượng Tướng Bộ Quốc Phòng Nghỉ Công Tác Từ 1/3: “Hạ Cánh An Toàn” Và Một Vết Nhơ Ở Seoul? Fan MAGA một mình giữa phố Bolsa: Câu chuyện tự do ngôn luận và ‘độ nóng’ của chính trị cộng đồng”

 

iPad Videos Portal Autoscroll

VietBF Music Portal Autoscroll

iPad News Portal Autoscroll

VietBF Homepage Autoscroll

VietBF Video Autoscroll Portal

USA News Autoscroll Portall

VietBF WORLD Autoscroll Portal

Video Classic Master Page

Super Widescreen

iPad World Portal Autoscroll

iPad USA Portal Autoscroll

Phim Bộ Online
Lên đầu Xuống dưới Lên 3000px Xuống 3000px

Tin nóng nhất 24h qua

Tin nóng nhất 3 ngày qua

Tin nóng nhất 7 ngày qua

Tin nóng nhất 30 ngày qua

Albums

Total Videos Online

Tranh luận sôi nổi nhất 7 ngày qua

Tranh luận sôi nổi nhất 14 ngày qua

Tranh luận sôi nổi nhất 30 ngày qua

10.000 Tin mới nhất

Tin tức Hoa Kỳ

Tin tức Công nghệ
Lên đầu Xuống dưới Lên 3000px Xuống 3000px

Duo Series Movies Portal

Duo Music Portal

Phim Bộ

Tỷ Giá

Thời Tiết

Tin Nóng Nhất 50h

Super News

School Cooking Traveling Portal

Enter Portal

Series Shows and Movies Online

Home Classic Master Page

Donation Ủng hộ $3 cho VietBF
Lên đầu Xuống dưới Lên 3000px Xuống 3000px
Diễn Đàn Người Việt Hải Ngoại. Tự do ngôn luận, an toàn và uy tín. Vì một tương lai tươi đẹp cho các thế hệ Việt Nam hãy ghé thăm chúng tôi, hãy tâm sự với chúng tôi mỗi ngày, mỗi giờ và mỗi giây phút có thể. VietBF.Com Xin cám ơn các bạn, chúc tất cả các bạn vui vẻ và gặp nhiều may mắn.
Welcome to Vietnamese American Community, Vietnamese European, Canadian, Australian Forum, Vietnamese Overseas Forum. Freedom of speech, safety and prestige. For a beautiful future for Vietnamese generations, please visit us, talk to us every day, every hour and every moment possible. VietBF.Com Thank you all and good luck.

Lên đầu Xuống dưới Lên 3000px Xuống 3000px

All times are GMT. The time now is 07:18.
VietBF - Vietnamese Best Forum Copyright ©2005 - 2026
User Alert System provided by Advanced User Tagging (Pro) - vBulletin Mods & Addons Copyright © 2026 DragonByte Technologies Ltd.
Log Out Unregistered

Page generated in 0.11827 seconds with 15 queries