HOME-Au
HOME-Au
24h
24h
USA
USA
GOP
GOP
Phim Bộ
Phim Bộ
Videoauto
VIDEO-Au
Donation
Donation
News Book
News Book
News 50
News 50
worldautoscroll
WORLD-Au
Breaking
Breaking
 

Go Back   VietBF > World > Vietnam News | Tin Việt Nam > 2005-2023 Vietnam News

 
Thread Tools
 
 
  #1  
Old  Default Nghịch bút laser, bé trai suýt bị mù mắt
Một bé trai người Hy Lạp đã chịu nhiều đau đớn sau khi bị chiếu laser vào mắt. Thị lực cậu bé giảm sút và không có dấu hiệu tiến triển tốt. Sau khi bị chiếu đèn vào mắt, nhãn cầu cậu bé được phát hiện bị thủng.

Vụ việc vừa được đăng tải trên tạp chí khoa học New England Journal of Medicine và lập tức khiến dư luận chú ý. CNN thậm chí bình luận vụ việc là "bí ẩn và đáng kinh ngạc", bởi ít ai nghĩ công cụ quen thuộc để giảng bài trên máy chiếu lại nguy hiểm đến thế.

Một cậu bé giấu tên, 9 tuổi, người Hy Lạp nghịch ngợm với một cây bút laser có tia màu xanh lá cây mà cha cậu đã mua cho như một món đồ chơi. Trong một khoảnh khắc, cậu đã quay tia sáng trực tiếp vào mắt mình và cảm thấy vô cùng đau đớn.


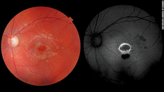
Nhãn cầu cậu bé với lỗ thủng lớn do laser - ảnh do bệnh viện cung cấp

Kết quả chẩn đoán hình ảnh cho thấy một lỗ thủng lớn trong nhãn cầu của cậu bé. Trao đổi với CNN qua e-mail, giáo sư Androudi, chuyên gia nhãn khoa ở Đại học Thessaly (Hy Lạp) - một trong những người tham gia điều trị cho cậu bé - cho biết lỗ thủng đã khiến các dây thần kinh chịu trách nhiệm hấp thụ ánh sáng trong mắt bị hư hại hoàn toàn.

Cậu bé được phẫu thuật để xử lý vết thương, tuy nhiên điều này không thể giúp cậu khôi phục thị lực.

Kết quả kiểm tra cho thấy thị lực ở mắt phải của cậu bé hoàn toàn bình thường; trong khi mắt trái (mắt bị thương) thì thị lực chỉ còn 2/10. Đã hơn 1 năm rưỡi kể từ tai nạn nhưng thị lực cậu bé không cải thiện được chút nào.


Bút laser với nhiều màu như đỏ cam, xanh, xanh lá cây, tím... thường được dùng để trỏ lên màn hình máy chiếu khi giảng bài, thuyết trình - ảnh minh họa từ internet

Bình luận về vụ việc, giáo sư - tiến sĩ Peter Gehlbach, chuyên gia nhãn khoa tại Viện Mắt Johns Hopkins Wilmer (Mỹ) nói rằng thông thường các bút laser được sản xuất với công suất khá an toàn là 5 miliwatts. Tuy nhiên, trên thị trường vẫn trôi nổi khá nhiều bút công suất lên tới 10-50 miliwatts, rất nguy hại nếu vô tình chiếu vào mắt người. Bút laser có công suất hơn 5 miliwatts đang bị Cơ quan Quản lý Thực phẩm và Dược phẩm Mỹ (FDA) hạn chế bán trên toàn quốc.

Giáo sư Androudi thì khuyến cáo rằng trong ba màu phổ biến của bút (đỏ cam, xanh, xanh lá cây) thì đỏ cam được coi là an toàn nhất. Mắt người cực kỳ nhạy cảm với bước sóng của ánh sáng các tông màu xanh, vì vậy nếu lỡ nhìn vào thì ánh sáng xanh sẽ gây thương tổn nghiêm trọng hơn nhiều so với các ánh sáng màu đỏ, đỏ cam cùng công suất.

VietBF © Sưu Tầm
Dịch trang: EnglishEnglish DeutschDeutsch FrançaisFrançais EspañolEspañol ItalianoItaliano PortuguêsPortuguês
NorskNorsk NederlandsNederlands DanskDansk SuomiSuomi PolskiPolski ČeštinaČeština РусскийРусский
日本語日本語 한국어한국어 中文(简体)中文(简体) 中文(繁體)中文(繁體) MagyarMagyar TürkçeTürkçe
العربيةالعربية ไทยไทย LatinaLatina हिन्दीहिन्दी Bahasa IndonesiaBahasa Indonesia Bahasa MelayuBahasa Melayu
VIETBF Hybrid Community Content Hub

HOT NEWS 24h

HOT 3 Days

NEWS 3 Days

HOT 7 Days

NEWS 7 Days

HOME

Breaking News

VietOversea

World News

Business News

Car News

Computer News

Game News

USA News

Mobile News

Music News

Movies News

History

Thơ Ca

Sport News

Stranger Stories

Comedy Stories

Cooking Chat

Nice Pictures

Fashion

School

Travelling

Funny Videos

Canada Tin Hay

USA Tin Hay

VietBF Homepage Autoscroll

VietBF Video Autoscroll Portal

Video Classic Master

iPad News Portal

VietBF iPad Music Portal

Tin nóng nhất 50h qua

Phim Bộ Online

iMusic Pro Max



miro1510
R9 Tuyệt Đỉnh Tôn Sư
Release: 06-26-2018
Reputation: 13837


Profile:
Join Date: Oct 2014
Posts: 47,191
Last Update: None Rating: None
Attached Thumbnails
Click image for larger version

Name:	535.1.jpg
Views:	0
Size:	39.2 KB
ID:	1238033  
miro1510_is_offline
Thanks: 9
Thanked 2,096 Times in 1,935 Posts
Mentioned: 3 Post(s)
Tagged: 0 Thread(s)
Quoted: 8 Post(s)
Rep Power: 59
miro1510 Reputation Uy Tín Level 6
miro1510 Reputation Uy Tín Level 6miro1510 Reputation Uy Tín Level 6miro1510 Reputation Uy Tín Level 6miro1510 Reputation Uy Tín Level 6miro1510 Reputation Uy Tín Level 6miro1510 Reputation Uy Tín Level 6miro1510 Reputation Uy Tín Level 6miro1510 Reputation Uy Tín Level 6miro1510 Reputation Uy Tín Level 6miro1510 Reputation Uy Tín Level 6miro1510 Reputation Uy Tín Level 6miro1510 Reputation Uy Tín Level 6miro1510 Reputation Uy Tín Level 6miro1510 Reputation Uy Tín Level 6miro1510 Reputation Uy Tín Level 6miro1510 Reputation Uy Tín Level 6
Dịch trang: EnglishEnglish DeutschDeutsch FrançaisFrançais EspañolEspañol ItalianoItaliano PortuguêsPortuguês
NorskNorsk NederlandsNederlands DanskDansk SuomiSuomi PolskiPolski ČeštinaČeština РусскийРусский
日本語日本語 한국어한국어 中文(简体)中文(简体) 中文(繁體)中文(繁體) MagyarMagyar TürkçeTürkçe
العربيةالعربية ไทยไทย LatinaLatina हिन्दीहिन्दी Bahasa IndonesiaBahasa Indonesia Bahasa MelayuBahasa Melayu
 
User Tag List



 

iPad Videos Portal Autoscroll

VietBF Music Portal Autoscroll

iPad News Portal Autoscroll

VietBF Homepage Autoscroll

VietBF Video Autoscroll Portal

USA News Autoscroll Portall

VietBF WORLD Autoscroll Portal

Video Classic Master Page

Super Widescreen

iPad World Portal Autoscroll

iPad USA Portal Autoscroll

Phim Bộ Online
Lên đầu Xuống dưới Lên 3000px Xuống 3000px

Tin nóng nhất 24h qua

Tin nóng nhất 3 ngày qua

Tin nóng nhất 7 ngày qua

Tin nóng nhất 30 ngày qua

Albums

Total Videos Online

Tranh luận sôi nổi nhất 7 ngày qua

Tranh luận sôi nổi nhất 14 ngày qua

Tranh luận sôi nổi nhất 30 ngày qua

10.000 Tin mới nhất

Tin tức Hoa Kỳ

Tin tức Công nghệ
Lên đầu Xuống dưới Lên 3000px Xuống 3000px

Duo Series Movies Portal

Duo Music Portal

Phim Bộ

Tỷ Giá

Thời Tiết

Tin Nóng Nhất 50h

Super News

School Cooking Traveling Portal

Enter Portal

Series Shows and Movies Online

Home Classic Master Page

Donation Ủng hộ $3 cho VietBF
Lên đầu Xuống dưới Lên 3000px Xuống 3000px
Diễn Đàn Người Việt Hải Ngoại. Tự do ngôn luận, an toàn và uy tín. Vì một tương lai tươi đẹp cho các thế hệ Việt Nam hãy ghé thăm chúng tôi, hãy tâm sự với chúng tôi mỗi ngày, mỗi giờ và mỗi giây phút có thể. VietBF.Com Xin cám ơn các bạn, chúc tất cả các bạn vui vẻ và gặp nhiều may mắn.
Welcome to Vietnamese American Community, Vietnamese European, Canadian, Australian Forum, Vietnamese Overseas Forum. Freedom of speech, safety and prestige. For a beautiful future for Vietnamese generations, please visit us, talk to us every day, every hour and every moment possible. VietBF.Com Thank you all and good luck.

Lên đầu Xuống dưới Lên 3000px Xuống 3000px

All times are GMT. The time now is 03:59.
VietBF - Vietnamese Best Forum Copyright ©2005 - 2026
User Alert System provided by Advanced User Tagging (Pro) - vBulletin Mods & Addons Copyright © 2026 DragonByte Technologies Ltd.
Log Out Unregistered

Page generated in 0.09814 seconds with 15 queries