HOME-Au
HOME-Au
24h
24h
USA
USA
GOP
GOP
Phim Bộ
Phim Bộ
Videoauto
VIDEO-Au
Home Classic
Home Classic
Donation
Donation
News Book
News Book
News 50
News 50
worldautoscroll
WORLD-Au
Breaking
Breaking
 

Go Back   VietBF > Other News|Tin Khác > School | Kiến thức > School | Kiến thức 2006-2019


 
 
Thread Tools
  #1  
Old  Arrow Chuyên gia cảnh báo sau cái chết vì ung thư của cô gái trẻ
Cô gái trẻ qua đời sau 5 ngày phát hiện ung thư. Chuyên gia đã lên tiếng cảnh báo liên quan tới vấn đề này. Cô gái trẻ đi khám phát hiện ung thư phổi giai đoạn cuối và đã quá muộn.


Khi được chẩn đoán bị ung thư phổi tình trạng của bệnh nhân đã vô cùng nặng, không còn thời gian để phẫu thuật và hóa trị. Chỉ trong 5 ngày, hơi thở của cô gái trẻ dần yếu đi và qua đời.

Ho, khó thở, sốt là những chứng bệnh nhỏ bình thường trong cuộc sống, nhưng đôi khi, ho kéo dài lại là một tín hiệu cầu cứu của phổi.


Tiểu Mơ, 21 tuổi, đến từ Trung Quốc đã bị khó thở, sốt và ho kéo dài được một thời gian. Nhưng do bận bịu công việc gia đình và học hành, mãi đến gần đây cô mới đến bệnh viện địa phương để khám. Tại đây, Tiểu Mơ được chẩn đoán viêm phổi. Tuy nhiên, sau gần hai tuần điều trị, tình trạng của cô không được cải thiện.

Sau đó, Tiểu Mơ được gửi đến khoa Hô hấp của một bệnh viện lớn. Sau khi xem kết quả xét nghiệm, bác sĩ cho biết cô gái trẻ tuổi này đang ở giai đoạn cuối của ung thư phổi biểu mô tuyến. Ông lập tức làm thủ tục nội soi phế quản và đã đưa ra khẳng định cho kết luận của mình.


Chỉ mới 21 tuổi nhưng do chủ quan không đi khám, bệnh của Tiểu Mơ đã tiến triển thành ung thư giai đoạn cuối.

Tiểu Mơ và gia đình sau khi nghe tin đã khóc rất nhiều. Tại sao cô gái mới 21 tuổi mà đã bị ung thư giai đoạn cuối, thậm chí còn không phát hiện ra?

Bác sĩ nói rằng một số bệnh ung thư phổi, có thể được phân biệt ngay lập tức, nhưng một số bệnh ung thư phổi rất khó nhận biết và có các triệu chứng như bệnh viêm phổi bình thường. Thêm vào đó, Tiểu Mơ để cơn ho của mình kéo dài nửa năm, tạo cơ hội cho tế bào ung thư âm thầm phát triển.

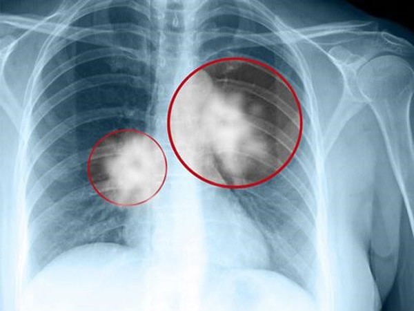
Từ hình ảnh X-quang, bác sĩ nói phổi của cô có màu trắng lớn, đó là viêm bạch huyết ung thư, có nghĩa là ung thư phổi di căn. Thật đáng tiếc khi không còn thời gian để phẫu thuật và hóa trị. Chỉ trong 5 ngày, hơi thở của Tiểu Mơ ngày càng yếu đi và qua đời

Ung thư phổi biểu mô tuyến

Là hình thức ung thư phổi phổ biến với phụ nữ, đặc biệt được phát hiện ở những người không hút thuốc, dưới 45 tuổi và hầu hết là người châu Á. Kiểu khác của loại ung thư phổi này là ung thư phổi phế nang được tìm thấy ở những phụ nữ trẻ không hút thuốc. Hiện nay ung thư phổi biểu mô tuyến vẫn ngày một tăng khi ung thư phổi biểu mô tế bào có dấu hiệu giảm.

Nguyên nhân các bệnh ung thư phổi nói chung một phần đều do hút thuốc. Cũng có rất nhiều trường hợp không hút thuốc là do tiếp xúc radon bên trong nhà. Ung thư phổi biểu mô tuyến là sự kết hợp nhiều yếu tố khác nhau.


Cách nhận biết ung thư phổi biểu mô tuyến



Thông thường, ung thư phổi biểu mô tuyến thường bắt đầu từ các mô nằm bên ngoài phổi. Khi mới hình thành, chúng ít bị phát hiện do không gây ra các triệu chứng đặc biệt. Những dấu hiệu mắc bệnh sớm như mệt mỏi, khó thở, đau lưng, vai…rất dễ bị bỏ qua.

Chỉ đến khi bệnh đã trở nên trầm trọng thì các dấu hiệu đặc trưng của ung thư phổi như ho lâu ngày, ho ra m.á.u mới bắt đầu xuất hiện. Vì vậy, để phát hiện bệnh sớm, hãy chú ý những triệu chứng sau:

- Thở khó khăn, nặng nhọc: Bởi đây không phải một triệu chứng nghiêm trọng cho nên khiến nhiều người chủ quan. Tình trạng này xuất hiện do khối u ở phổi gây ra, cản trở quá trình hô hấp.

- Ho nhiều: Dấu hiệu này giống với các bệnh cảm thông thường vì vậy nhiều bệnh nhân không đi kiểm tra. Trên thực tế, ho dai dẳng kéo dài dẫn đến khàn tiếng, mất tiếng có thể do phổi gây ra do viêm phổi hoặc nhiễm trùng phổi.

- Đau tức ngực: Đây là dấu hiệu điển hình nhất của bệnh ung thư phổi. Cơn đau thường xuất hiện mỗi khi người bệnh hoạt động mạnh, ho hay cười nói.


- Sút cân một cách bất thường: Việc giảm sút cân nặng không phải do chế độ ăn uống, tập luyện gây ra đều rất có thể là dấu hiệu của một căn bệnh nào đó, trong đó có ung thư phổi. Nguyên nhân có thể do xuất hiện khối u ở phổi khiến gia tăng đột ngột sự trao đổi chất gây ra tình trạng trên.

- Đờm có lẫn m.á.u: Ngay cả khi lượng m.á.u lẫn trong đờm nhỏ thì bạn cũng nên đến bệnh viện để kiểm tra lại sức khỏe của mình.

- Dấu hiệu khác thường ở các mô vú: Đây là dấu hiệu thường gặp ở nam giới khi vùng ngực to lên bất thường do tế bào ung thư kí.ch thí.ch ảnh hưởng đến nội tiết tố.

- Đau vai: Hiện tượng này xảy ra khi có một khối u phát triển và chèn lên phần trên của phổi tạo áp lực dẫn đến đau nhức ở vai, cánh tay, bàn tay.
VIETBF Diễn Đàn Hay Nhất Của Người Việt Nam

HOT NEWS 24h

HOT 3 Days

NEWS 3 Days

HOT 7 Days

NEWS 7 Days

HOME

Breaking News

VietOversea

World News

Business News

Car News

Computer News

Game News

USA News

Mobile News

Music News

Movies News

History

Thơ Ca

Sport News

Stranger Stories

Comedy Stories

Cooking Chat

Nice Pictures

Fashion

School

Travelling

Funny Videos

Canada Tin Hay

USA Tin Hay

VietBF Homepage Autoscroll

VietBF Video Autoscroll Portal

Home Classic

Home Classic Master Page



sunshine1104
R10 Vô Địch Thiên Hạ
Release: 06-04-2019
Reputation: 25190


Profile:
Join Date: Feb 2015
Posts: 80,031
Last Update: None Rating: None
Attached Thumbnails
Click image for larger version

Name:	19.jpg
Views:	0
Size:	25.5 KB
ID:	1395205   Click image for larger version

Name:	2.jpg
Views:	0
Size:	43.2 KB
ID:	1395206   Click image for larger version

Name:	21.jpg
Views:	0
Size:	23.4 KB
ID:	1395207  

Click image for larger version

Name:	22.jpg
Views:	0
Size:	28.9 KB
ID:	1395208  
sunshine1104_is_offline
Thanks: 4
Thanked 4,051 Times in 3,567 Posts
Mentioned: 4 Post(s)
Tagged: 0 Thread(s)
Quoted: 22 Post(s)
Rep Power: 92
sunshine1104 Reputation Uy Tín Level 7sunshine1104 Reputation Uy Tín Level 7
sunshine1104 Reputation Uy Tín Level 7sunshine1104 Reputation Uy Tín Level 7sunshine1104 Reputation Uy Tín Level 7sunshine1104 Reputation Uy Tín Level 7sunshine1104 Reputation Uy Tín Level 7sunshine1104 Reputation Uy Tín Level 7sunshine1104 Reputation Uy Tín Level 7sunshine1104 Reputation Uy Tín Level 7sunshine1104 Reputation Uy Tín Level 7sunshine1104 Reputation Uy Tín Level 7sunshine1104 Reputation Uy Tín Level 7sunshine1104 Reputation Uy Tín Level 7sunshine1104 Reputation Uy Tín Level 7sunshine1104 Reputation Uy Tín Level 7sunshine1104 Reputation Uy Tín Level 7sunshine1104 Reputation Uy Tín Level 7sunshine1104 Reputation Uy Tín Level 7sunshine1104 Reputation Uy Tín Level 7sunshine1104 Reputation Uy Tín Level 7
 
User Tag List


Tướng tình báo Venezuela tiết lộ mạng lưới ma túy – gián điệp cắm sâu vào nước Mỹ? 5 tiểu bang lạnh nhất nước Mỹ (trừ Alaska) – và những nơi mùa đông ‘dễ thở’ cho người Việt Đàm phán Miami: Trump sốt ruột tìm hòa bình, Putin ung dung chờ thắng chậm
Khi Trump tái khởi động ‘chiến tranh ma túy’: từ tàu ma túy bị bắn chìm đến nỗi mất ngủ ở Caracas Mỹ thời Trump: Trục xuất người Iran về ‘địa ngục’, rồi dùng drone Iran để đánh Iran Donald Trump và học thuyết mới: Mỹ không còn làm ‘cảnh sát toàn cầu’
GDP giảm 0,1% và những con người mất trắng 100% sau bão lũ Michael và Susan Dell donate 6,25 tỷ USD vào “Tài khoản Trump”: Kho báu cho trẻ em Mỹ hay chỉ là cú khuyến đẻ kể cho vui? Đường sắt cao tốc 61 tỷ USD và ‘doanh nhân xù nợ’ 30 triệu
Những chuyện hài hước nhất hôm nay Mailisa bất ngờ “đóng cửa” giữa bão điều tra: Đế chế làm đẹp nghìn tỷ khép lại MAGA Đen - MAGA Đỏ - Giấc mơ đế chế dữ liệu của Peter Thiel và giới trọc phú công nghệ
Ánh đèn hiên nhà trong đêm bão tuyết: câu chuyện Lễ Tạ Ơn kỳ diệu sau 41 năm Xả súng gần Nhà Trắng: Bi kịch Lễ Tạ Ơn và cuộc chơi chính trị của Trump với hồ sơ di dân Afghanistan Từ Frankenstein đến Game of Drones: Khi công nghệ biến chiến tranh thành cuộc hỗn loạn vĩnh viễn
Biển lửa Wang Fuk Court: 65 người chết, Hồng Kông choáng váng trước “thảm họa giàn giáo tre” Biển lửa Wang Fuk Court: Thảm họa người già Hồng Kông và cuộc điều tra “sự cứu thả chết người” Chết cháy hàng loạt tại Hồng Kông, các toà nhà biến thành địa ngục, hàng trăm người mất tích
Black Friday ảm đạm ngoài phố, rực lửa trên livestream: Người Việt đổi kiểu săn sale Cánh tay phải của Zelensky ngã ngựa: Ukraine bị ép chọn giữa danh dự và đồng minh Tryptophan trên tiểu hành tinh Bennu: Phát hiện mới cho thấy “công thức sự sống” đến từ vũ trụ
Trump, Donetsk và “thỏa thuận không thể”: Ukraine bị ép vào góc hẹp của một nền hòa bình đẫm máu Từ Stalin tới Putin: 86 năm sau, bóng ma chiến tranh mùa đông vẫn ám ảnh đế quốc Nga Putin khen kế hoạch hòa bình của Mỹ nhưng dọa chiếm thêm đất nếu Kyiv không rút quân
Trump siết nhập cư sau vụ nổ súng: Rà soát toàn bộ thẻ xanh từ 19 “quốc gia đáng lo ngại” Thảm họa cháy chung cư ở Hong Kong: 128 người chết, hàng trăm người mất tích và những câu hỏi nhức nhối Cô gái Brazil bị trục xuất và nghịch lý cay đắng ngay trong gia đình phát ngôn viên Nhà Trắng

 
Lên đầu Xuống dưới Lên 3000px Xuống 3000px

iPad Videos Portal Autoscroll

VietBF Music Portal Autoscroll

iPad News Portal Autoscroll

VietBF Homepage Autoscroll

VietBF Video Autoscroll Portal

USA News Autoscroll Portall

VietBF WORLD Autoscroll Portal

Home Classic

Super Widescreen

iPad World Portal Autoscroll

iPad USA Portal Autoscroll

Phim Bộ Online

Tin nóng nhất 24h qua

Tin nóng nhất 3 ngày qua

Tin nóng nhất 7 ngày qua

Tin nóng nhất 30 ngày qua

Albums

Total Videos Online
Lên đầu Xuống dưới Lên 3000px Xuống 3000px

Tranh luận sôi nổi nhất 7 ngày qua

Tranh luận sôi nổi nhất 14 ngày qua

Tranh luận sôi nổi nhất 30 ngày qua

10.000 Tin mới nhất

Tin tức Hoa Kỳ

Tin tức Công nghệ
Lên đầu Xuống dưới Lên 3000px Xuống 3000px

Super News

School Cooking Traveling Portal

Enter Portal

Series Shows and Movies Online

Home Classic Master Page

Donation Ủng hộ $3 cho VietBF
Lên đầu Xuống dưới Lên 3000px Xuống 3000px
Diễn Đàn Người Việt Hải Ngoại. Tự do ngôn luận, an toàn và uy tín. Vì một tương lai tươi đẹp cho các thế hệ Việt Nam hãy ghé thăm chúng tôi, hãy tâm sự với chúng tôi mỗi ngày, mỗi giờ và mỗi giây phút có thể. VietBF.Com Xin cám ơn các bạn, chúc tất cả các bạn vui vẻ và gặp nhiều may mắn.
Welcome to Vietnamese American Community, Vietnamese European, Canadian, Australian Forum, Vietnamese Overseas Forum. Freedom of speech, safety and prestige. For a beautiful future for Vietnamese generations, please visit us, talk to us every day, every hour and every moment possible. VietBF.Com Thank you all and good luck.

Lên đầu Xuống dưới Lên 3000px Xuống 3000px

All times are GMT. The time now is 01:01.
VietBF - Vietnamese Best Forum Copyright ©2005 - 2025
User Alert System provided by Advanced User Tagging (Pro) - vBulletin Mods & Addons Copyright © 2025 DragonByte Technologies Ltd.
Log Out Unregistered

Page generated in 0.10852 seconds with 15 queries