HOME-Au
HOME-Au
24h
24h
USA
USA
GOP
GOP
Phim Bộ
Phim Bộ
Videoauto
VIDEO-Au
Donation
Donation
News Book
News Book
News 50
News 50
worldautoscroll
WORLD-Au
Breaking
Breaking
 

Go Back   VietBF > World > World News|Tin Thế Giới > World News |Tin Thế Giới 2021-2023

 
Thread Tools
 
 
  #1  
Old  Default Nam thanh niên sau khi uống 1,5l Coca trong 10 phút
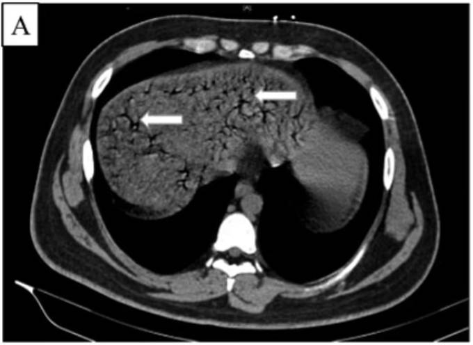
Một nam thanh niên đã uống hết chai Coca 1,5l để giải khát trong 10 phút vì thời tiết quá nóng bức. 6 tiếng sau, anh có biểu hiện căng tức, đau bụng dữ dội nên đến Bệnh viện Chaoyang ở Bắc Kinh thăm khám.

Sau khi kiểm tra, các bác sĩ phát hiện bệnh nhân - người không có bệnh lý nền - bị tăng nhịp tim, huyết áp thấp và thở gấp. Kết quả chụp CT cho thấy nam thanh niên có nồng độ cồn trong thành ruột và tĩnh mạch cửa (bộ phận cung cấp máu đến gan). Chính những điều này đã khiến bệnh nhân bị thiếu máu cục bộ ở gan, còn gọi là "sốc ở gan" - hiện tượng gây ra bởi tình trạng thiếu oxy đến bộ phận này.



Nhân viên y tế đã cố gắng cứu bệnh nhân bằng cách giải phóng hết phần khí ra khỏi hệ tiêu hóa của anh ta, đồng thời, dùng thuốc để bảo vệ phần gan và các bộ phận khác trên cơ thể khỏi bị tổn thương thêm. Bất chấp các nỗ lực của y bác sĩ, tình trạng của nam thanh niên ngày càng tệ hơn. Anh qua đời sau 18 tiếng điều trị tích cực.

Tuy nhiên, một số chuyên gia y khoa tin rằng, việc nam thanh niên tử vong do uống Coca quá liều là điều khó xảy ra.

"Khả năng tử vong sau khi uống 1,5 lít Coca đối với một người thường xuyên uống nước ngọt có ga là điều rất khó gặp", giáo sư Nathan Davies, một nhà hóa sinh tại Đại học London, nói với Mail. Theo ông Davies, cái chết của chàng trai có thể là do bị nhiễm khuẩn. Những con vi khuẩn này đã hình thành một túi khí ở thành ruột trước khi chui vào các bộ phận khác trên cơ thể, chẳng hạn như động mạch cửa.

Vị giáo sư cũng nói thêm tuy nước uống có ga có thể góp phần gây ra hậu quả đáng tiếc, nhưng nó chưa chắc là tác nhân chính trong cái chết của bệnh nhân.

"Có thể, nhưng không nhất thiết, việc uống một lượng lớn đồ uống có ga gây ra tác động trầm trọng như thế. Nhưng do bệnh nhân không có bệnh nền nào, rất khó để xác định lý do thực sự", ông Davies nói, cho biết ông cần thêm thông tin trước khi rút ra kết luận về nguyên nhân khiến bệnh nhân tử vong.

Trên thực tế, các chuyên gia đều đồng tình những vấn đề về sức khỏe liên quan tới việc uống đồ uống có ga thường nhỏ và có ảnh hưởng nếu sử dụng trong thời gian dài.

Tuy nhiên, Nghiên cứu Tim mạch Framingham của Mỹ phát hiện thấy việc tiêu thụ chỉ một lon nước uống có ga mỗi ngày có liên quan đến vô số vấn đề về sức khỏe, bao gồm béo phì, nguy cơ cao tiểu đường tuyp 2, đau tim, đột quỵ, trí nhớ kém, khối lượng não nhỏ đi và thậm chí là sa sút trí tuệ.

Năm ngoái, các chuyên gia y tế kết luận một phụ nữ New Zealand có thói quen uống hơn 7l Coca một ngày có thể qua đời do những biến chứng liên quan tới việc tiêu thụ quá nhiều caffein.
Dịch trang: EnglishEnglish DeutschDeutsch FrançaisFrançais EspañolEspañol ItalianoItaliano PortuguêsPortuguês
NorskNorsk NederlandsNederlands DanskDansk SuomiSuomi PolskiPolski ČeštinaČeština РусскийРусский
日本語日本語 한국어한국어 中文(简体)中文(简体) 中文(繁體)中文(繁體) MagyarMagyar TürkçeTürkçe
العربيةالعربية ไทยไทย LatinaLatina हिन्दीहिन्दी Bahasa IndonesiaBahasa Indonesia Bahasa MelayuBahasa Melayu
VIETBF Hybrid Community Content Hub

HOT NEWS 24h

HOT 3 Days

NEWS 3 Days

HOT 7 Days

NEWS 7 Days

HOME

Breaking News

VietOversea

World News

Business News

Car News

Computer News

Game News

USA News

Mobile News

Music News

Movies News

History

Thơ Ca

Sport News

Stranger Stories

Comedy Stories

Cooking Chat

Nice Pictures

Fashion

School

Travelling

Funny Videos

Canada Tin Hay

USA Tin Hay

VietBF Homepage Autoscroll

VietBF Video Autoscroll Portal

Video Classic Master

iPad News Portal

VietBF iPad Music Portal

Tin nóng nhất 50h qua

Phim Bộ Online

iMusic Pro Max



nguoiduatinabc
R10 Vô Địch Thiên Hạ
Release: 09-27-2021
Reputation: 22316


Profile:
Join Date: Apr 2016
Posts: 83,961
Last Update: None Rating: None
Attached Thumbnails
Click image for larger version

Name:	coca1-1114-1632618188.jpg
Views:	0
Size:	59.1 KB
ID:	1879426  
nguoiduatinabc_is_offline
Thanks: 168
Thanked 5,493 Times in 4,456 Posts
Mentioned: 4 Post(s)
Tagged: 0 Thread(s)
Quoted: 29 Post(s)
Rep Power: 95
nguoiduatinabc Reputation Uy Tín Level 7nguoiduatinabc Reputation Uy Tín Level 7
nguoiduatinabc Reputation Uy Tín Level 7nguoiduatinabc Reputation Uy Tín Level 7nguoiduatinabc Reputation Uy Tín Level 7nguoiduatinabc Reputation Uy Tín Level 7nguoiduatinabc Reputation Uy Tín Level 7nguoiduatinabc Reputation Uy Tín Level 7nguoiduatinabc Reputation Uy Tín Level 7nguoiduatinabc Reputation Uy Tín Level 7nguoiduatinabc Reputation Uy Tín Level 7nguoiduatinabc Reputation Uy Tín Level 7nguoiduatinabc Reputation Uy Tín Level 7nguoiduatinabc Reputation Uy Tín Level 7nguoiduatinabc Reputation Uy Tín Level 7
Dịch trang: EnglishEnglish DeutschDeutsch FrançaisFrançais EspañolEspañol ItalianoItaliano PortuguêsPortuguês
NorskNorsk NederlandsNederlands DanskDansk SuomiSuomi PolskiPolski ČeštinaČeština РусскийРусский
日本語日本語 한국어한국어 中文(简体)中文(简体) 中文(繁體)中文(繁體) MagyarMagyar TürkçeTürkçe
العربيةالعربية ไทยไทย LatinaLatina हिन्दीहिन्दी Bahasa IndonesiaBahasa Indonesia Bahasa MelayuBahasa Melayu
 
User Tag List



 

iPad Videos Portal Autoscroll

VietBF Music Portal Autoscroll

iPad News Portal Autoscroll

VietBF Homepage Autoscroll

VietBF Video Autoscroll Portal

USA News Autoscroll Portall

VietBF WORLD Autoscroll Portal

Video Classic Master Page

Super Widescreen

iPad World Portal Autoscroll

iPad USA Portal Autoscroll

Phim Bộ Online
Lên đầu Xuống dưới Lên 3000px Xuống 3000px

Tin nóng nhất 24h qua

Tin nóng nhất 3 ngày qua

Tin nóng nhất 7 ngày qua

Tin nóng nhất 30 ngày qua

Albums

Total Videos Online

Tranh luận sôi nổi nhất 7 ngày qua

Tranh luận sôi nổi nhất 14 ngày qua

Tranh luận sôi nổi nhất 30 ngày qua

10.000 Tin mới nhất

Tin tức Hoa Kỳ

Tin tức Công nghệ
Lên đầu Xuống dưới Lên 3000px Xuống 3000px

Duo Series Movies Portal

Duo Music Portal

Phim Bộ

Tỷ Giá

Thời Tiết

Tin Nóng Nhất 50h

Super News

School Cooking Traveling Portal

Enter Portal

Series Shows and Movies Online

Home Classic Master Page

Donation Ủng hộ $3 cho VietBF
Lên đầu Xuống dưới Lên 3000px Xuống 3000px
Diễn Đàn Người Việt Hải Ngoại. Tự do ngôn luận, an toàn và uy tín. Vì một tương lai tươi đẹp cho các thế hệ Việt Nam hãy ghé thăm chúng tôi, hãy tâm sự với chúng tôi mỗi ngày, mỗi giờ và mỗi giây phút có thể. VietBF.Com Xin cám ơn các bạn, chúc tất cả các bạn vui vẻ và gặp nhiều may mắn.
Welcome to Vietnamese American Community, Vietnamese European, Canadian, Australian Forum, Vietnamese Overseas Forum. Freedom of speech, safety and prestige. For a beautiful future for Vietnamese generations, please visit us, talk to us every day, every hour and every moment possible. VietBF.Com Thank you all and good luck.

Lên đầu Xuống dưới Lên 3000px Xuống 3000px

All times are GMT. The time now is 08:44.
VietBF - Vietnamese Best Forum Copyright ©2005 - 2026
User Alert System provided by Advanced User Tagging (Pro) - vBulletin Mods & Addons Copyright © 2026 DragonByte Technologies Ltd.
Log Out Unregistered

Page generated in 0.11226 seconds with 15 queries