HOME-Au
HOME-Au
24h
24h
USA
USA
GOP
GOP
Phim Bộ
Phim Bộ
Videoauto
VIDEO-Au
Donation
Donation
News Book
News Book
News 50
News 50
worldautoscroll
WORLD-Au
Breaking
Breaking
 

Go Back   VietBF > World > Vietnam News | Tin Việt Nam > 2005-2023 Vietnam News


 
Thread Tools
 
 
  #1  
Old  Default Người đàn ông 65 tuổi khỏi Covid-19, 20 ngày sau phổi đông đặc
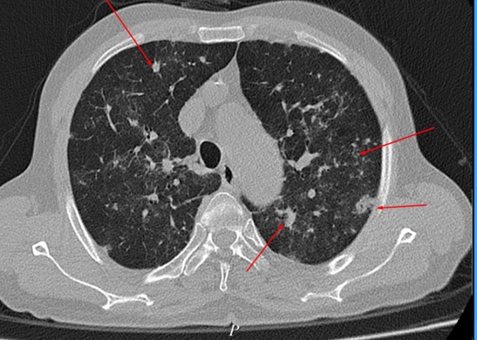
Một người đàn ông 65 tuổi, sau 20 ngày khỏi Covid-19 thì ho có đờm, khó thở về đêm, ăn uống kém, đến bệnh viện khám thì bất ngờ với kết quả phổi đông đặc.

Các bác sĩ Bệnh viện Đa khoa Hùng Vương ngày 9/4 cho biết kết quả chụp CT lồng ngực bệnh nhân cho hình ảnh phổi đông đặc, tổn thương lan tỏa hai phổi do di chứng Covid. Bệnh nhân đang được điều trị tích cực và theo dõi sát tình trạng tổn thương phổi.

Theo các chuyên gia, di chứng hậu Covid-19 đến nay vẫn còn nhiều bí ẩn. Mỗi bệnh nhân có thể có một hay nhiều di chứng khác nhau, đặc biệt là ảnh hưởng phổi. Bệnh nhân này từng mắc Covid-19 nhưng chỉ triệu chứng nhẹ, khỏi bệnh nhanh, tuy nhiên di chứng ở phổi lại rất nặng.


Hình ảnh phổi bệnh nhân đông đặc, tổn thương lan tỏa. Ảnh: Bệnh viện cung cấp

Bác sĩ khuyến cáo sau khỏi Covid cần đi khám ngay khi có triệu chứng kéo dài ho, tức ngực, khó thở, đau đầu... có hướng điều trị phù hợp và kịp thời. Đặc biệt là người thuộc nhóm nguy cơ như: Người có bệnh nền tăng huyết áp, mạch vành, đái tháo đường, rối loạn chuyển hóa; người từ 60 tuổi trở lên; người từng suy hô hấp do Covid-19 phải can thiệp thở oxy, sốt cao... cần đi khám sớm. Nhóm này nguy cơ gặp nhiều bệnh nền chưa khởi phát nhưng Covid-19 có thể thúc đẩy tình trạng nặng hơn.

Để dự phòng di chứng Covid-19, bác sĩ khuyến cáo tiêm vaccine.

VietBF©sưu tập
Dịch trang: EnglishEnglish DeutschDeutsch FrançaisFrançais EspañolEspañol ItalianoItaliano PortuguêsPortuguês
NorskNorsk NederlandsNederlands DanskDansk SuomiSuomi PolskiPolski ČeštinaČeština РусскийРусский
日本語日本語 한국어한국어 中文(简体)中文(简体) 中文(繁體)中文(繁體) MagyarMagyar TürkçeTürkçe
العربيةالعربية ไทยไทย LatinaLatina हिन्दीहिन्दी Bahasa IndonesiaBahasa Indonesia Bahasa MelayuBahasa Melayu
VIETBF Hybrid Community Content Hub

HOT NEWS 24h

HOT 3 Days

NEWS 3 Days

HOT 7 Days

NEWS 7 Days

HOME

Breaking News

VietOversea

World News

Business News

Car News

Computer News

Game News

USA News

Mobile News

Music News

Movies News

History

Thơ Ca

Sport News

Stranger Stories

Comedy Stories

Cooking Chat

Nice Pictures

Fashion

School

Travelling

Funny Videos

Canada Tin Hay

USA Tin Hay

VietBF Homepage Autoscroll

VietBF Video Autoscroll Portal

Video Classic Master

iPad News Portal

VietBF iPad Music Portal

Tin nóng nhất 50h qua

Phim Bộ Online

iMusic Pro Max



goodidea
R10 Vô Địch Thiên Hạ
Release: 04-09-2022
Reputation: 208613


Profile:
Join Date: Mar 2020
Posts: 62,102
Last Update: None Rating: None
Attached Thumbnails
Click image for larger version

Name:	43.jpg
Views:	0
Size:	118.6 KB
ID:	2036159  
goodidea_is_offline
Thanks: 72
Thanked 3,818 Times in 3,332 Posts
Mentioned: 0 Post(s)
Tagged: 0 Thread(s)
Quoted: 34 Post(s)
Rep Power: 79
goodidea Reputation Uy Tín Level 10goodidea Reputation Uy Tín Level 10goodidea Reputation Uy Tín Level 10goodidea Reputation Uy Tín Level 10
goodidea Reputation Uy Tín Level 10goodidea Reputation Uy Tín Level 10goodidea Reputation Uy Tín Level 10goodidea Reputation Uy Tín Level 10goodidea Reputation Uy Tín Level 10goodidea Reputation Uy Tín Level 10goodidea Reputation Uy Tín Level 10goodidea Reputation Uy Tín Level 10goodidea Reputation Uy Tín Level 10goodidea Reputation Uy Tín Level 10goodidea Reputation Uy Tín Level 10goodidea Reputation Uy Tín Level 10goodidea Reputation Uy Tín Level 10goodidea Reputation Uy Tín Level 10goodidea Reputation Uy Tín Level 10goodidea Reputation Uy Tín Level 10goodidea Reputation Uy Tín Level 10goodidea Reputation Uy Tín Level 10goodidea Reputation Uy Tín Level 10goodidea Reputation Uy Tín Level 10goodidea Reputation Uy Tín Level 10goodidea Reputation Uy Tín Level 10goodidea Reputation Uy Tín Level 10
Dịch trang: EnglishEnglish DeutschDeutsch FrançaisFrançais EspañolEspañol ItalianoItaliano PortuguêsPortuguês
NorskNorsk NederlandsNederlands DanskDansk SuomiSuomi PolskiPolski ČeštinaČeština РусскийРусский
日本語日本語 한국어한국어 中文(简体)中文(简体) 中文(繁體)中文(繁體) MagyarMagyar TürkçeTürkçe
العربيةالعربية ไทยไทย LatinaLatina हिन्दीहिन्दी Bahasa IndonesiaBahasa Indonesia Bahasa MelayuBahasa Melayu
Old 04-09-2022   #2
bia3ba
R5 Cao Thủ Thượng Thừa
 
Join Date: Nov 2020
Location: Blackburn
Posts: 1,164
Thanks: 1,883
Thanked 503 Times in 292 Posts
Mentioned: 1 Post(s)
Tagged: 0 Thread(s)
Quoted: 86 Post(s)
Rep Power: 7
bia3ba Reputation Uy Tín Level 6
bia3ba Reputation Uy Tín Level 6bia3ba Reputation Uy Tín Level 6bia3ba Reputation Uy Tín Level 6bia3ba Reputation Uy Tín Level 6bia3ba Reputation Uy Tín Level 6bia3ba Reputation Uy Tín Level 6bia3ba Reputation Uy Tín Level 6bia3ba Reputation Uy Tín Level 6bia3ba Reputation Uy Tín Level 6bia3ba Reputation Uy Tín Level 6bia3ba Reputation Uy Tín Level 6bia3ba Reputation Uy Tín Level 6bia3ba Reputation Uy Tín Level 6bia3ba Reputation Uy Tín Level 6bia3ba Reputation Uy Tín Level 6bia3ba Reputation Uy Tín Level 6bia3ba Reputation Uy Tín Level 6bia3ba Reputation Uy Tín Level 6bia3ba Reputation Uy Tín Level 6bia3ba Reputation Uy Tín Level 6
Default

Chỉ những người đã chết thì phổi mới đông đặc, và chỉ có khỉ đội lớp BS Vici mới có thể chuẩn đoán bệnh tình của bệnh nhân như thế cho người vẫn còn sống.

Well, as we know it, Dumb phuck Vici has no limit!
bia3ba_is_offline  
 
User Tag List



 

iPad Videos Portal Autoscroll

VietBF Music Portal Autoscroll

iPad News Portal Autoscroll

VietBF Homepage Autoscroll

VietBF Video Autoscroll Portal

USA News Autoscroll Portall

VietBF WORLD Autoscroll Portal

Video Classic Master Page

Super Widescreen

iPad World Portal Autoscroll

iPad USA Portal Autoscroll

Phim Bộ Online
Lên đầu Xuống dưới Lên 3000px Xuống 3000px

Tin nóng nhất 24h qua

Tin nóng nhất 3 ngày qua

Tin nóng nhất 7 ngày qua

Tin nóng nhất 30 ngày qua

Albums

Total Videos Online

Tranh luận sôi nổi nhất 7 ngày qua

Tranh luận sôi nổi nhất 14 ngày qua

Tranh luận sôi nổi nhất 30 ngày qua

10.000 Tin mới nhất

Tin tức Hoa Kỳ

Tin tức Công nghệ
Lên đầu Xuống dưới Lên 3000px Xuống 3000px

Duo Series Movies Portal

Duo Music Portal

Phim Bộ

Tỷ Giá

Thời Tiết

Tin Nóng Nhất 50h

Super News

School Cooking Traveling Portal

Enter Portal

Series Shows and Movies Online

Home Classic Master Page

Donation Ủng hộ $3 cho VietBF
Lên đầu Xuống dưới Lên 3000px Xuống 3000px
Diễn Đàn Người Việt Hải Ngoại. Tự do ngôn luận, an toàn và uy tín. Vì một tương lai tươi đẹp cho các thế hệ Việt Nam hãy ghé thăm chúng tôi, hãy tâm sự với chúng tôi mỗi ngày, mỗi giờ và mỗi giây phút có thể. VietBF.Com Xin cám ơn các bạn, chúc tất cả các bạn vui vẻ và gặp nhiều may mắn.
Welcome to Vietnamese American Community, Vietnamese European, Canadian, Australian Forum, Vietnamese Overseas Forum. Freedom of speech, safety and prestige. For a beautiful future for Vietnamese generations, please visit us, talk to us every day, every hour and every moment possible. VietBF.Com Thank you all and good luck.

Lên đầu Xuống dưới Lên 3000px Xuống 3000px

All times are GMT. The time now is 20:36.
VietBF - Vietnamese Best Forum Copyright ©2005 - 2026
User Alert System provided by Advanced User Tagging (Pro) - vBulletin Mods & Addons Copyright © 2026 DragonByte Technologies Ltd.
Log Out Unregistered

Page generated in 0.11642 seconds with 15 queries