HOME-Au
HOME-Au
24h
24h
USA
USA
GOP
GOP
Phim Bộ
Phim Bộ
Videoauto
VIDEO-Au
Home Classic
Home Classic
Donation
Donation
News Book
News Book
News 50
News 50
worldautoscroll
WORLD-Au
Breaking
Breaking
 

Go Back   VietBF > World Box| Thế Giới > Vietnam News | Tin Việt Nam > 2005-2023 Vietnam News


 
 
Thread Tools
  #1  
Old  Default TP HCM: Thang máy rơi, hai người bị liệt 2 chân
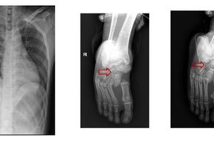
Thang máy rơi từ tầng 7 khiến 2 nam thanh niên ngã chấn thương cột sống. Dù được cứu chữa kịp thời nhưng cả 2 bị liệt hoàn toàn 2 chân
Mới đây, Bệnh viện Nhân dân 115 (TP HCM) đã tiếp nhận 2 trường hợp làm nghề sửa thang máy bị rơi thang khi đang sửa chữa khiến chấn thương cột sống. Cả 2 trường hợp đã được các bác sĩ kịp thời cứu chữa bảo vệ tính mạng. Tuy nhiên, do tình trạng chấn thương nặng khiến cả 2 bị liệt 2 chân.2 bệnh nhân nam nhập viện trong tình trạng đau đớn, liệt hoàn toàn 2 chân, bí tiểu… Khai thác bệnh sử, trong lúc nam bệnh nhân 28 tuổi, quê ở Hải Dương, đang sửa cáp thang máy thì người đồng nghiệp (26 tuổi, quê Tiền Giang) bước vào thang khiến thang quá tải rơi xuống từ lầu 7.

Sau khi nhập viện, cả hai được phẫu thuật khẩn nắn chỉnh cột sống, giải ép tủy… Sau mổ, cả hai tiếp tục được tập phục hồi chức năng với các dụng cụ như di chuyển xe lăn, nạng, nẹp… để có thể thực hiện được các hoạt động sống hàng ngày một cách độc lập nhất.Các bác sĩ cũng khuyến cáo người bệnh phải kiên trì vận động nhằm ngăn ngừa biến chứng và thương tật thứ cấp đối với người bị tổn thương tủy sống như loét da do đè ép, nhiễm khuẩn hô hấp, nhiễm trùng tiết niệu, huyết khối tĩnh mạch sâu, teo cơ, cứng khớp, co rút biến dạng... Chương trình tập bao gồm cả tập thở, tập ho, tập vận động đúng tư thế, tập theo tầm vận động, tập di chuyển tại giường, tập di chuyển từ giường ra xe lăn và ngược lại,...

Theo các bác sĩ, chấn thương cột sống thường gặp trong sinh hoạt, lao động hằng ngày, trong đó, tai nạn lao động (20%) thường do té từ trên cao và để lại di chứng yếu liệt rất nặng nề. Người bệnh thường tốn kém chi phí cho điều trị, chế độ chăm sóc kéo dài, phục hồi chức năng. Đặc biệt, người bị tai nạn có thể mất mất khả năng sinh hoạt và lao động.

Qua các trường hợp trên, các bác sĩ nhấn mạnh, các đơn vị sử dụng người lao động cần ban hành và triển khai những khuyến cáo, quy định, quy trình chi tiết chặt chẽ và tập huấn kỹ lưỡng cho người lao động về đảm bảo an toàn lao động, phòng ngừa những sự cố tai nạn lao động đáng tiếc. Bên cạnh đó, cần có những chính sách về bảo hiểm tai nạn lao động, hỗ trợ chi phí, động viên quan tâm cho những trường hợp người lao động không may bị tai nạn trong quá trình lao động.

Đối với người lao động chú ý tuân thủ các hướng dẫn về an toàn lao động nghiêm ngặt, đặc biệt chú ý cảnh giác đảm bảo an toàn trong các trường hợp lao động dưới các điều kiện nguy cơ cao như leo trèo sửa chữa các vị trí cao, sửa tháng máy, các thao tác kỹ thuật lao động phức tạp không đảm bảo thăng bằng hoặc không có phương tiện bảo hộ chắc chắn. Bên cạnh đó, người lao động nên tìm hiểu đầy đủ về chính sách chế độ bảo hiểm tai nạn lao động nghề nghiệp của công ty chủ quản để đảm bảo quyền lợi hợp pháp của bản thân.
VIETBF Diễn Đàn Hay Nhất Của Người Việt Nam

HOT NEWS 24h

HOT 3 Days

NEWS 3 Days

HOT 7 Days

NEWS 7 Days

HOME

Breaking News

VietOversea

World News

Business News

Car News

Computer News

Game News

USA News

Mobile News

Music News

Movies News

History

Thơ Ca

Sport News

Stranger Stories

Comedy Stories

Cooking Chat

Nice Pictures

Fashion

School

Travelling

Funny Videos

Canada Tin Hay

USA Tin Hay

VietBF Homepage Autoscroll

VietBF Video Autoscroll Portal

Home Classic

Home Classic Master Page



Romano
R11 Tuyệt Thế Thiên Hạ
Romano's Avatar
Release: 05-01-2022
Reputation: 344545


Profile:
Join Date: May 2007
Posts: 138,250
Last Update: None Rating: None
Attached Thumbnails
Click image for larger version

Name:	4ecdeb18145afd04a44b.jpg
Views:	0
Size:	8.5 KB
ID:	2047132  
Romano_is_offline
Thanks: 9
Thanked 6,559 Times in 5,505 Posts
Mentioned: 3 Post(s)
Tagged: 0 Thread(s)
Quoted: 38 Post(s)
Rep Power: 174
Romano Reputation Uy Tín Level 10Romano Reputation Uy Tín Level 10Romano Reputation Uy Tín Level 10Romano Reputation Uy Tín Level 10Romano Reputation Uy Tín Level 10Romano Reputation Uy Tín Level 10
Romano Reputation Uy Tín Level 10Romano Reputation Uy Tín Level 10Romano Reputation Uy Tín Level 10Romano Reputation Uy Tín Level 10Romano Reputation Uy Tín Level 10Romano Reputation Uy Tín Level 10Romano Reputation Uy Tín Level 10Romano Reputation Uy Tín Level 10Romano Reputation Uy Tín Level 10Romano Reputation Uy Tín Level 10Romano Reputation Uy Tín Level 10Romano Reputation Uy Tín Level 10Romano Reputation Uy Tín Level 10Romano Reputation Uy Tín Level 10Romano Reputation Uy Tín Level 10Romano Reputation Uy Tín Level 10Romano Reputation Uy Tín Level 10Romano Reputation Uy Tín Level 10
 
User Tag List


Tổng thống ‘Hòa Bình’ và những biên giới đỏ lửa: Thái–Miên, Pakistan–Afghanistan và vở kịch giải thưởng cho Trump Chernobyl lại báo động đỏ: Lá chắn thép 2,1 tỷ euro bị drone đánh thủng, IAEA cảnh báo mất chức năng an toàn Paris lại đăng quang, Bangkok đông nghẹt, Viêng Chăn vẫn lặng lẽ: Bản đồ du lịch 2025 giữa kỷ lục mới và những góc bình yên
Trump Thắng Lớn Trong Cuộc Chiến ‘Bãi Nhiệm Không Cần Lý Do Vì Sao Tôi Chống Trump: Từ Nước Mắt Trong ICU Đến Chiếc Ô Đỏ MAGA Và Trò Hề ‘Giải Hòa Bình’ Từ Okinawa đến màn hình điện thoại: Trung Quốc leo thang quân sự, siết kiểm soát số và cuộc chiến bóng ma quanh Đài Loan
Cú quay đầu của lá phiếu Latino: từ ‘kỳ tích’ Trump 2024 đến khối cử tri dao động nhất nước Mỹ Cộng đồng Somali ở Minnesota đứng dậy giữa bão trục xuất Trung Quốc ăn cắp máy quang khắc bất thành – vì sao ‘đốt cháy giai đoạn’ trong ngành chip là chuyện bất khả?
Cú “cắn ghế” thần tốc ở Hà Nội: Mailisa, Doctor Magic và ván cờ phe phái Ngân sách tăng thuế của Labour và nước Anh nơi 1/3 trẻ em sống trong nghèo đói Đĩa mì Ý ở Mỹ trước bão thuế 107%: từ “xa xỉ phẩm 4 đô” đến nỗi lo mất luôn món ăn bình dân
Mùa mua sắm Mỹ thời bão giá: Macy’s, Old Navy, Walmart xoay xở, Sears hấp hối – trong khi Đài Loan bứt tốc nhờ cơn sốt AI Tịch thu 100 sổ đỏ, 300 cây vàng SJC, 400k USD, 3 tỷ đồng của Mailisa và còn nhiều nữa, siêu xe hàng tá, tiền hàng ...tấn Giáo hoàng Leo XIV kêu gọi chấm dứt lợi dụng tôn giáo cho chiến tranh trong chuyến công du Thổ Nhĩ Kỳ – Li Băng
Louvre tăng giá vé 45% với khách ngoài châu Âu: bức tranh đắt đỏ mới của “ngôi đền nghệ thuật” Paris Bão Mặt Trời đe dọa buồng lái: hơn 6.000 máy bay Airbus A320 phải sửa gấp vì nguy cơ mất kiểm soát 10 ngày ở ghế Chủ tịch Hà Nội: Nguyễn Đức Trung và bài toán nhân sự trước Đại hội 14
Nếu VinFast thua sạch ở Mỹ: Hoá đơn có thể lên tới 1,5 tỷ USD Từ Việt Minh đến Chuyên Chính Đỏ: Chiến lược che giấu và thanh trừng có chủ đích Từ Nội Chiến Mỹ đến Việt Nam: Hai cách đối xử với người lính bại trận
“Hãy công bố kết quả MRI đi!” – Tim Walz dội gáo nước lạnh vào cơn thịnh nộ Lễ Tạ Ơn của Donald Trump Từ Vệ Binh Quốc Gia đến Quân Lực Việt Nam Cộng Hòa – hành trình một đạo quân quốc gia “Người Cày Có Ruộng” – ngày vui nhất đời Tổng thống Thiệu và ký ức tem thư của một thằng bé Sài Gòn
Tiền tuyến rực lửa, bàn đàm phán nóng lên: Ukraine vạch lằn ranh đỏ trước kế hoạch hòa bình của Trump Starbucks – Target và ly socola bạc hà cứu vãn mùa Giáng sinh ảm đạm Phố thời trang tắt đèn trước Tết: Tiểu thương Hà Nội kẹt giữa gánh thuê nhà và thuế khóa

 
Lên đầu Xuống dưới Lên 3000px Xuống 3000px

iPad Videos Portal Autoscroll

VietBF Music Portal Autoscroll

iPad News Portal Autoscroll

VietBF Homepage Autoscroll

VietBF Video Autoscroll Portal

USA News Autoscroll Portall

VietBF WORLD Autoscroll Portal

Home Classic

Super Widescreen

iPad World Portal Autoscroll

iPad USA Portal Autoscroll

Phim Bộ Online

Tin nóng nhất 24h qua

Tin nóng nhất 3 ngày qua

Tin nóng nhất 7 ngày qua

Tin nóng nhất 30 ngày qua

Albums

Total Videos Online
Lên đầu Xuống dưới Lên 3000px Xuống 3000px

Tranh luận sôi nổi nhất 7 ngày qua

Tranh luận sôi nổi nhất 14 ngày qua

Tranh luận sôi nổi nhất 30 ngày qua

10.000 Tin mới nhất

Tin tức Hoa Kỳ

Tin tức Công nghệ
Lên đầu Xuống dưới Lên 3000px Xuống 3000px

Super News

School Cooking Traveling Portal

Enter Portal

Series Shows and Movies Online

Home Classic Master Page

Donation Ủng hộ $3 cho VietBF
Lên đầu Xuống dưới Lên 3000px Xuống 3000px
Diễn Đàn Người Việt Hải Ngoại. Tự do ngôn luận, an toàn và uy tín. Vì một tương lai tươi đẹp cho các thế hệ Việt Nam hãy ghé thăm chúng tôi, hãy tâm sự với chúng tôi mỗi ngày, mỗi giờ và mỗi giây phút có thể. VietBF.Com Xin cám ơn các bạn, chúc tất cả các bạn vui vẻ và gặp nhiều may mắn.
Welcome to Vietnamese American Community, Vietnamese European, Canadian, Australian Forum, Vietnamese Overseas Forum. Freedom of speech, safety and prestige. For a beautiful future for Vietnamese generations, please visit us, talk to us every day, every hour and every moment possible. VietBF.Com Thank you all and good luck.

Lên đầu Xuống dưới Lên 3000px Xuống 3000px

All times are GMT. The time now is 15:23.
VietBF - Vietnamese Best Forum Copyright ©2005 - 2025
User Alert System provided by Advanced User Tagging (Pro) - vBulletin Mods & Addons Copyright © 2025 DragonByte Technologies Ltd.
Log Out Unregistered

Page generated in 0.11130 seconds with 15 queries