HOME-Au
HOME-Au
24h
24h
USA
USA
GOP
GOP
Phim Bộ
Phim Bộ
Videoauto
VIDEO-Au
Home Classic
Home Classic
Donation
Donation
News Book
News Book
News 50
News 50
worldautoscroll
WORLD-Au
Breaking
Breaking
 

Go Back   VietBF > World Box| Thế Giới > Vietnam News | Tin Việt Nam > 2005-2023 Vietnam News


 
 
Thread Tools
  #1  
Old  Arrow HN: Thanh niên tử vong sau khi ăn con mối
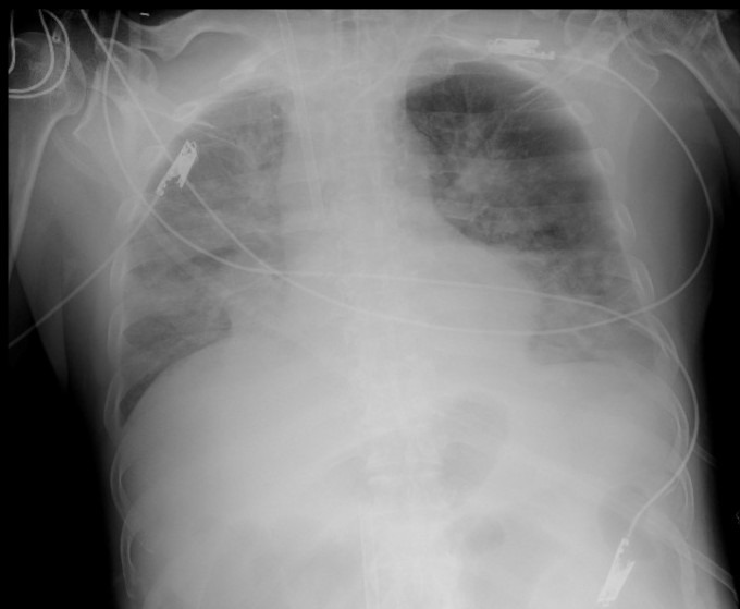
Sau khi ăn món mối rang, người đàn ông 60 tuổi để cả thức ăn thừa lẫn mối còn sống vào tủ lạnh ăn dần, 5 ngày sau ông đau bụng, đi ngoài, tụt huyết áp, suy hô hấp...

Ông được đưa đến Bệnh viện đa khoa tỉnh Ninh Bình cấp cứu cuối tháng 5, trong tình trạng sốc nặng, phổi co thắt nhiều, suy hô hấp phải thở máy và duy trì vận mạch liều rất cao, sau đó chuyển đến Bệnh viện Bạch Mai.

Bác sĩ Nguyễn Bá Cường, Trung tâm Hồi sức tích cực, Bệnh viện Bạch Mai, ngày 6/6 cho biết phổi bệnh nhân không còn đảm bảo được chức năng thông khí ngay cả khi hỗ trợ máy thở tối đa. Bệnh nhân phải thở ECMO (thiết bị oxy hóa qua màng ngoài cơ thể) phương tiện hỗ trợ hô hấp cuối cùng kèm các biện pháp hồi sức tích cực.

Kết quả nội soi phế quản bệnh nhân phát hiện các mảng giả mạc thùy dưới phổi hai bên (màng viêm màu trắng đục), nghi nhiễm nấm. Một ngày sau, giả mạc phát triển trên toàn bộ niêm mạc đường thở tạo nên các đám sùi và đan xen nhau như mạng nhện lấp kín hết lòng khí phế quản. Kết quả nhuộm soi các mẫu bệnh phẩm đường thở đều có nấm sợi. Hình ảnh giải phẫu bệnh giả mạc cũng cho thấy nấm tập trung nhiều thành đám. Bác sĩ kết luận bệnh nhân bị nhiễm nấm Aspergillus fumigatus sau khi ăn mối.

Theo bác sĩ Cường, nấm Aspergillus fumigatus là nấm cơ hội ký sinh trên nhiều loại động vật, côn trùng và trong môi trường. Khi cơ thể bị suy giảm miễn dịch (như bệnh nặng...) nấm có cơ hội phát triển và gây bệnh với các triệu chứng rất nặng (đặc biệt là hô hấp), tỷ lệ tử vong rất cao.

Ngày 4/6, bệnh nhân tử vong sau 6 ngày điều trị tích cực.


Phim chụp X-quang phổi bệnh nhân ngày 30/5. Ảnh: Bệnh viện cung cấp

Mối đất là loài côn trùng sống theo đàn, cánh mỏng, thân dài khoảng hơn một cm, bụng lớn bằng sợi bún, có viền đen quanh thân màu vàng nâu. Mùa bắt mối diễn ra từ tháng 3 đến tháng 8 âm lịch, nhiều nhất là vào tháng 4, khi những cơn mưa giông đầu mùa đổ về.

Mối có thể chế biến thành nhiều món khác nhau như hấp, nấu với lá bép, cà đắng, chiên giòn... Tuy nhiên, không ít người ăn bị ngộ độc, thậm chí sốc phản vệ, nguy hiểm đến tính mạng.

Bác sĩ khuyến cáo không ăn thức ăn được chế biến từ các loại côn trùng và không nên bảo quản chung với các thực phẩm khác. Khi có biểu hiện ngộ độc, cần đến cơ sở y tế điều trị kịp thời.
Dịch trang: EnglishEnglish DeutschDeutsch FrançaisFrançais EspañolEspañol ItalianoItaliano PortuguêsPortuguês
NorskNorsk NederlandsNederlands DanskDansk SuomiSuomi PolskiPolski ČeštinaČeština РусскийРусский
日本語日本語 한국어한국어 中文(简体)中文(简体) 中文(繁體)中文(繁體) MagyarMagyar TürkçeTürkçe
العربيةالعربية ไทยไทย LatinaLatina हिन्दीहिन्दी Bahasa IndonesiaBahasa Indonesia Bahasa MelayuBahasa Melayu
VIETBF Diễn Đàn Hay Nhất Của Người Việt Nam

HOT NEWS 24h

HOT 3 Days

NEWS 3 Days

HOT 7 Days

NEWS 7 Days

HOME

Breaking News

VietOversea

World News

Business News

Car News

Computer News

Game News

USA News

Mobile News

Music News

Movies News

History

Thơ Ca

Sport News

Stranger Stories

Comedy Stories

Cooking Chat

Nice Pictures

Fashion

School

Travelling

Funny Videos

Canada Tin Hay

USA Tin Hay

VietBF Homepage Autoscroll

VietBF Video Autoscroll Portal

Super Widescreen

Home Master Page

VietBF iPad Music Portal

Tin nóng nhất 50h qua

Phim Bộ Online

Phim Bộ
Dịch trang: English | Deutsch |
Français | Español | Italiano |
Português | Norsk | Nederlands |
Dansk | Suomi | Polski |
Čeština | Русский | 日本語 |
한국어 | 中文(简体) | 中文(繁體) |
Magyar | Türkçe | العربية |



sunshine1104
R10 Vô Địch Thiên Hạ
Release: 06-06-2022
Reputation: 25194


Profile:
Join Date: Feb 2015
Posts: 80,245
Last Update: None Rating: None
Attached Thumbnails
Click image for larger version

Name:	21.jpg
Views:	0
Size:	41.1 KB
ID:	2064152  
sunshine1104_is_offline
Thanks: 4
Thanked 4,053 Times in 3,569 Posts
Mentioned: 4 Post(s)
Tagged: 0 Thread(s)
Quoted: 22 Post(s)
Rep Power: 92
sunshine1104 Reputation Uy Tín Level 7sunshine1104 Reputation Uy Tín Level 7
sunshine1104 Reputation Uy Tín Level 7sunshine1104 Reputation Uy Tín Level 7sunshine1104 Reputation Uy Tín Level 7sunshine1104 Reputation Uy Tín Level 7sunshine1104 Reputation Uy Tín Level 7sunshine1104 Reputation Uy Tín Level 7sunshine1104 Reputation Uy Tín Level 7sunshine1104 Reputation Uy Tín Level 7sunshine1104 Reputation Uy Tín Level 7sunshine1104 Reputation Uy Tín Level 7sunshine1104 Reputation Uy Tín Level 7sunshine1104 Reputation Uy Tín Level 7sunshine1104 Reputation Uy Tín Level 7sunshine1104 Reputation Uy Tín Level 7sunshine1104 Reputation Uy Tín Level 7sunshine1104 Reputation Uy Tín Level 7sunshine1104 Reputation Uy Tín Level 7sunshine1104 Reputation Uy Tín Level 7sunshine1104 Reputation Uy Tín Level 7
Dịch trang: EnglishEnglish DeutschDeutsch FrançaisFrançais EspañolEspañol ItalianoItaliano PortuguêsPortuguês
NorskNorsk NederlandsNederlands DanskDansk SuomiSuomi PolskiPolski ČeštinaČeština РусскийРусский
日本語日本語 한국어한국어 中文(简体)中文(简体) 中文(繁體)中文(繁體) MagyarMagyar TürkçeTürkçe
العربيةالعربية ไทยไทย LatinaLatina हिन्दीहिन्दी Bahasa IndonesiaBahasa Indonesia Bahasa MelayuBahasa Melayu
Old 06-06-2022   #2
rmho
R6 Đệ Nhất Cao Thủ
 
rmho's Avatar
 
Join Date: Dec 2015
Location: Some where on the earth.
Posts: 2,616
Thanks: 2,223
Thanked 990 Times in 613 Posts
Mentioned: 1 Post(s)
Tagged: 0 Thread(s)
Quoted: 196 Post(s)
Rep Power: 15
rmho Reputation Uy Tín Level 8
rmho Reputation Uy Tín Level 8rmho Reputation Uy Tín Level 8rmho Reputation Uy Tín Level 8rmho Reputation Uy Tín Level 8rmho Reputation Uy Tín Level 8rmho Reputation Uy Tín Level 8rmho Reputation Uy Tín Level 8rmho Reputation Uy Tín Level 8rmho Reputation Uy Tín Level 8rmho Reputation Uy Tín Level 8rmho Reputation Uy Tín Level 8rmho Reputation Uy Tín Level 8rmho Reputation Uy Tín Level 8rmho Reputation Uy Tín Level 8rmho Reputation Uy Tín Level 8rmho Reputation Uy Tín Level 8rmho Reputation Uy Tín Level 8rmho Reputation Uy Tín Level 8rmho Reputation Uy Tín Level 8rmho Reputation Uy Tín Level 8rmho Reputation Uy Tín Level 8rmho Reputation Uy Tín Level 8rmho Reputation Uy Tín Level 8
Default

Thiên đường xhcn dcs khong tien mua thit de an, mà phải ăn mới cho chết.
Nguyễn Xuân Phúc muốn gì khi nói ‘cột điện ở Mỹ biết đi thì sẽ về Việt Nam’?
Bằng câu nói ‘Nếu cột điện ở Mỹ biết đi thì sẽ về Việt Nam’ gây 'dậy sóng' trên mạng xã hội, ông Nguyễn Xuân Phúc muốn gởi ra thông điệp gì và vì sao các báo tại Việt Nam phải gỡ bỏ sau khi đăng lời ông Phúc?
rmho_is_offline  
Attached Images
 
 
User Tag List


Venezuela sau biến cố như chặt đầu… nhưng thân chưa ngã Vụ án rúng động Ohio: Vợ chồng nha sĩ bị bắn chết trong nhà, nghi phạm là chồng cũ bị bắt sau 10 ngày truy lùng “Iran đang nhìn thấy Tự Do”: lời nhắn từ Trump giữa đêm đen đàn áp và bắt giữ
Phản Tướng Tabata khiến Maduro bị bắt sống Iran chìm trong “đêm mất mạng”: 65 người chết, hơn 2.300 bị bắt, Trump dằn mặt Tehran U.S. Air Force TSgt Thanh Van “Gus” Nguyen: Người con Sài Gòn hy sinh trong vụ khủng bố Khobar Towers
Nữ Trung sĩ NYPD gốc Việt Uyenthy Thi Pham (1975–2025): “End of Watch” sau gần 24 năm phục vụ Tom Nguyễn, 22 tuổi: Thị trưởng gốc Việt đầu tiên và trẻ nhất trong lịch sử Garden City (Kansas) Bão Goretti biến đường phố châu Âu thành bẫy tử thần
Từ cung điện xuống nhà tù ‘kinh hoàng’: Maduro sắp vào MDC New York, nơi từng giam Maxwell, SBF, Diddy… Trump tuyên bố ‘nắm dầu Venezuela’: 303 tỷ thùng dưới lòng đất giá trị hơn 30.000 tỷ USD Bắc Kinh nổi giận, Starlink bật đèn xanh: hậu chấn động vụ bắt Maduro lan sang mặt trận internet
Chiến dịch bắt sống trùm độc tài cộng sản Maduro gây nên địa chấn khắp thế giới Mar-a-Lago như ‘phòng tình huống’: Hegseth mở X dò tin rò rỉ, Trump tuyên bố Mỹ sẽ tạm điều hành Venezuela Maduro đặt chân xuống New York: còng tay rời máy bay, trực thăng áp giải về Manhattan, chuẩn bị ra tòa tuần tới
Operation Absolute Resolve: 150 phi cơ xuất kích, trực thăng bay sát mặt biển, bắt Maduro lúc 1 giờ sáng ‘Make Venezuela great again’: Trump nói Rubio đã nói chuyện với Delcy, chê Machado ‘không đủ uy tín’ JD Vance: Trump đã cho Maduro ‘nhiều lối thoát’ nhưng không lùi — Florida bùng nổ hy vọng sau đòn Caracas
Canada rất “nice”, nhưng vì sao nhiều người vẫn thấy cô đơn giữa đám đông? Bộ trưởng công an bị lộ có nhà biệt thự ở Ciputra Một chú chó cưng chết, hàng ngàn tờ báo Việt Cộng lao vào cuộc đua câu view
Đơn Hàng Chiến Tranh Và “Chén Thuốc Độc”: Bi Kịch Ông Chủ Nhà Máy Quốc Phòng Nga Tự Thiêu Ở Quảng Trường Đỏ Từ Phúc Lợi Đến Lá Phiếu: Một Cuộc Tranh Cãi Cuối Năm Giữa Cha Và Con Sự Thật Phía Sau “Kỳ Tích” Đường Sắt Cao Tốc Trung Quốc
Kinh tế Sài Gòn Cuối 2025: Phố Lặng Dần, Niềm Vui Nhạt Dần… Và 6 Nỗi Lo Âm Ỉ Vĩnh biệt Master Sergeant Shane Nguyen: một đời lính, một cuộc chiến thầm lặng đến phút cuối VNCH tiếp tục giành chiến thắng rực rỡ: Cuộc chiến giữa VNCH và VNCS chưa bao giờ chấm dứt
Thêm một sĩ quan trẻ gốc Việt qua đời, nguyên nhân không như tin đồn “tào lao, tự tử” trên Facebook Tịch thu và bắt hàng loạt lãnh đạo công ty nhà Cường “đô la” Peter Arnett qua đời: tiếng nói độc lập từ chiến trường Việt Nam đến Baghdad
Cuộc chiến giành Warner & CNN: tiền mặt, thế lực, và bóng dáng Nhà Trắng Sự thật khó nghe: Trung Quốc giàu lên nhanh nhất khi .... Ngoại trưởng Nga thú nhận: Mỹ đã hứa trao lãnh thổ Ukraine cho Moscow
Chánh Văn phòng Tòa Bạch Ốc gây cú sốc về ông Trump trong cuộc phỏng vấn với Vanity Fair Thuế quan thổi ngược chiều: việc làm tay chân co lại, và “nhiệt” chính trị hạ dần Một dòng “sông” trong biển lệch nhịp: vì sao mặt biển Nhật Bản đang phình lên – và nghề cá lao đao
Khủng hoảng “affordability” ở Mỹ Trump mở cửa chip H200 cho Trung Quốc và cuộc chiến giành “quyền viết luật” cho trí tuệ nhân tạo Google và giấc mơ thay thế smartphone bằng cặp kính AI
Trump, Netflix và Paramount: Cuộc chiến thâu tóm Warner Bros. biến Hollywood thành bàn cờ chính trị Trung Quốc bứt tốc xuất khẩu, nông dân Mỹ sống bằng trợ cấp VN: Sợ áp lực mỗi khi ra tòa, Hoa hậu Thùy Tiên chấp nhận bản án 2 năm tù
Lại to tiếng: Ông Trump nói nữ ký giả của CNN là "ngu ngốc và độc ác" Zelensky chạy đua ngoại giao: London, Brussels, Rome và cái bóng hòa kế của Trump New Orleans trong vòng vây ICE: Chiến dịch “Catahoula Crunch” và nỗi lo của người Việt
“Huyền thoại ‘Trung Quốc là Singapore phóng đại’ đang sụp đổ như thế nào?” Trung Tá Nhảy Dù Bùi Quyền: Từ thủ khoa Võ Bị đến chiếc ghế trống sau 60 năm gặp lại Làm gì có “giải phóng” mà tôn vinh “chiến sĩ giải phóng”?
Cuba cá đầy biển, ngư dân vẫn đói: Khi thiên nhiên hào phóng nhưng thể chế “thắt nút cổ chai” Quận Cam: Người già gốc Việt sống trong nhà tiền chế, run rẩy trước mỗi lá thư cảnh cáo Doanh nghiệp châu Âu lặng lẽ tháo chạy khỏi Trung Quốc, nguyên nhân?
Năm tiếng trong Điện Kremlin: Hòa bình Ukraine đang đến gần? Một tổng thống lim dim, một thế giới nín thở Trump, Venezuela và cơn bão “tội ác chiến tranh” ở Washington
5 bí mật trên buồng lái mà phi công hiếm khi kể cho hành khách Đồng chí 3 X và chiếc bình xịt gây tê Hồi ký Trịnh Xuân Thanh và thương vụ 50 triệu đô đưa Nguyễn Cao Kỳ về nước
Vì sao Việt Nam vẫn vắng bóng Nobel Văn học? Khi sự thật bị nhào nặn: Nga, Trung Quốc và cuộc chiến bẻ cong hình ảnh dân chủ ‘Đổ bộ lên mặt trời ban đêm’ – khi ngu dốt ngồi lên ngai quyền lực
Xuất khẩu lao động – khi một quốc gia đóng gói tương lai của mình gửi ra nước ngoài Vụ kiện chất độc da cam – khi cộng sản Việt Nam tự làm nhục mình trước thế giới Nhiều người hỏi mình: “Qua Mỹ trễ vậy có hối hận không?”
Lũ quét miền Trung, Khánh Hoà, Nha Trang, “kỷ lục của kỷ lục” +video 12 ngày trên đất Mỹ: Những điều mắt thấy tai nghe của một bà mẹ Việt Khi ‘cái tôi’ phình to hơn thực tài của người Việt Cộng
Bài học nhớ đời khi lao vào bán hàng Amazon theo trend Pokémon Nghỉ hưu ở Texas: Thiên đường mới sau ‘giấc mơ California Nơi sóng radio chết lặng và những chuyện không thể giải thích
Bà Ngô Đình Nhu trên tầng 11 Paris: từ ánh đèn Dinh Độc Lập đến căn hộ cô quạnh “Đánh từ sẵn”: một đêm gõ cửa và cả đời bất an của chú Ba Lợi Người thầy tội nghiệp và nỗi đau hai chữ “lưu dung”
Opera, Proton VPN, SetupVPN ... cung cấp VPN miễn phí để người trong nước vượt tường lửa Một ngày làm khách ở Sài Gòn: Taxi công nghệ đưa bạn đi từ bất ngờ này sang… bực bội khác Nhà thờ cũng phải “ra thông báo”: Để quên ví coi chừng… thành phép màu cho người khác!
Thứ trưởng Hải quân Hung Cao và lễ tốt nghiệp khiến cả khán phòng nghẹn lại Trump ra mắt “Trump Class”: Hạm đội Vàng, soái hạm Kiêu Hùng khổng lồ nhất thế giới và tham vọng áp đảo đại dương Trump “đạp phanh” điện gió ngoài khơi: hàng tỷ đô la đứng hình, giá điện có nguy cơ leo thang
Ông Trump sẽ đưa 200 vạn quân tinh nhuệ đánh Đan Mạch, chiếm Greenland? Hải quan xem phim XXX khi làm việc, thảo nào nhập cảnh-xuất cảnh ở Việt Nam chậm như rùa bò Ngày đồng hương nói “đủ rồi”: Cộng Đồng NSW tái ổn định sau nhiều năm chia rẽ
Cuộc đua gom vàng của ngân hàng trung ương và ‘khối cầu’ 47.000 tỉ USD Đằng sau nội các Trump: Những người vợ kể chuyện “đội ngũ lớn” trong Tòa Bạch Ốc Kim Jong Un ôm lính thương tật, tung hô ‘anh hùng’ Bắc Hàn trở về từ chiến trường Kursk
Con trai của nhà hoạt động cộng đồng, nữ MC Mã Tiểu Linh qua đời “Lời chúc bất hạnh” của Chánh án John Roberts: Bài học trưởng thành không ai dạy chúng ta ở trường Đừng biến ICE thành “con ngáo ộp”: Hiểu luật để bớt sợ và biết tự bảo vệ mình
Westminster dậy sóng vì con đường “Charlie Kirk Way”: Dân phản đối, hội đồng vẫn phớt lờ Thăm nước Mỹ thời Trump: Từ dĩa cơm tấm Cali đến bi kịch Melissa Trần Vua Charles III và hành trình ung thư: Khi nhà vua nói về nỗi sợ, hy vọng và “phép màu” phát hiện sớm
Bi kịch quán bún ốc Trần Hưng Đạo: 3 mẹ con chết ngạt sau cửa cuốn khóa kín ‘America Alone’ – Khi Trump vẽ lại trật tự thế giới theo cách của mình Cuộc chơi liều lĩnh của Trump với Tu chính án 14 và quyền có quốc tịch khi chào đời
LeBron James: Chấp nhận đánh mất kỷ lục 1.297 trận chỉ để làm một đường chuyền đúng Ciel Tower – khách sạn cao nhất thế giới Chiếc nhẫn cưới ‘mất tích’ và nghi ngờ Phó Tổng Thống Mỹ bỏ cô vợ Ấn Độ
Karoline Leavitt: Từ ‘thánh cô nói láo’ đến biểu tượng của Trump 2.0 Bong bóng AI, khí hậu nổi giận và năm 2026 Khi Vingroup phải vay trái phiếu lãi 12%: Phao cứu sinh hay bước đi liều mạng?

 
Lên đầu Xuống dưới Lên 3000px Xuống 3000px

iPad Videos Portal Autoscroll

VietBF Music Portal Autoscroll

iPad News Portal Autoscroll

VietBF Homepage Autoscroll

VietBF Video Autoscroll Portal

USA News Autoscroll Portall

VietBF WORLD Autoscroll Portal

Home Classic

Super Widescreen

iPad World Portal Autoscroll

iPad USA Portal Autoscroll

Phim Bộ Online

Tin nóng nhất 24h qua

Tin nóng nhất 3 ngày qua

Tin nóng nhất 7 ngày qua

Tin nóng nhất 30 ngày qua

Albums

Total Videos Online
Lên đầu Xuống dưới Lên 3000px Xuống 3000px

Tranh luận sôi nổi nhất 7 ngày qua

Tranh luận sôi nổi nhất 14 ngày qua

Tranh luận sôi nổi nhất 30 ngày qua

10.000 Tin mới nhất

Tin tức Hoa Kỳ

Tin tức Công nghệ
Lên đầu Xuống dưới Lên 3000px Xuống 3000px

Super News

School Cooking Traveling Portal

Enter Portal

Series Shows and Movies Online

Home Classic Master Page

Donation Ủng hộ $3 cho VietBF
Lên đầu Xuống dưới Lên 3000px Xuống 3000px
Diễn Đàn Người Việt Hải Ngoại. Tự do ngôn luận, an toàn và uy tín. Vì một tương lai tươi đẹp cho các thế hệ Việt Nam hãy ghé thăm chúng tôi, hãy tâm sự với chúng tôi mỗi ngày, mỗi giờ và mỗi giây phút có thể. VietBF.Com Xin cám ơn các bạn, chúc tất cả các bạn vui vẻ và gặp nhiều may mắn.
Welcome to Vietnamese American Community, Vietnamese European, Canadian, Australian Forum, Vietnamese Overseas Forum. Freedom of speech, safety and prestige. For a beautiful future for Vietnamese generations, please visit us, talk to us every day, every hour and every moment possible. VietBF.Com Thank you all and good luck.

Lên đầu Xuống dưới Lên 3000px Xuống 3000px

All times are GMT. The time now is 03:11.
VietBF - Vietnamese Best Forum Copyright ©2005 - 2026
User Alert System provided by Advanced User Tagging (Pro) - vBulletin Mods & Addons Copyright © 2026 DragonByte Technologies Ltd.
Log Out Unregistered

Page generated in 0.11626 seconds with 15 queries