HOME-Au
HOME-Au
24h
24h
USA
USA
GOP
GOP
Phim Bộ
Phim Bộ
Videoauto
VIDEO-Au
Donation
Donation
News Book
News Book
News 50
News 50
worldautoscroll
WORLD-Au
Breaking
Breaking
 

Go Back   VietBF > World > Vietnam News | Tin Việt Nam > 2005-2023 Vietnam News


 
Thread Tools
 
 
  #1  
Old  Default Sau nhiều ngày ho, khó thở, phát hiện ra bệnh hiếm
Phát hiện bệnh hiếm sau nhiều ngày ho, khó thở. Một người đàn ông 42 tuổi ở Quảng Nnh ho nhiều, khó thở, cơn đau tăng lên khi nằm ngửa, bác sĩ khám phát hiện bị nhão cơ hoành - một bệnh hiếm gặp.

Kết quả chụp cắt lớp vi tính tại Bệnh viện đa khoa tỉnh Quảng Ninh cho thấy vòm hoành phải của bệnh nhân cao, gan di chuyển lên trên gây xẹp thụ động nhu mô phổi lân cận. Bác sĩ chẩn đoán bệnh nhân bị nhão cơ hoành phải, chỉ định phẫu thuật nội soi tạo hình cơ hoành.

Ngày 14/8, bác sĩ Phạm Việt Hùng, Trưởng khoa Ngoại, Bệnh viện đa khoa tỉnh Quảng Ninh, đánh giá đây là ca khó và trường hợp bệnh nhân này rất hiếm gặp, không mắc bệnh lý nền khác.

Sau khi gây mê nội khí quản, bác sĩ rạch các vết nhỏ kích thước 1-1,5 cm trên lồng ngực bệnh nhân để đưa dụng cụ nội soi vào cơ thể, phát hiện thùy dưới phổi phải dính vào cơ hoành, vòm hoành mỏng, gan thoát vị một phần lên trên chèn ép phổi. Các bác sĩ tiến hành gỡ dính đáy phổi ra khỏi cơ hoành, mở một đường nhỏ để khâu gấp nếp tạo hình cơ hoành.

Hiện, sức khỏe bệnh nhân ổn định, hết khó thở, ăn uống đi lại bình thường và chuẩn bị xuất viện.

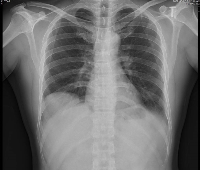
Hình ảnh X-quang phổi của bệnh nhân bị nhão cơ hoành khiến tạng dưới ổ bụng di chuyển lên trên gây xẹp thùy dưới phổi phải. Ảnh: Bệnh viện cung cấp

Cơ hoành là phần cơ hình vòm, ngăn cách giữa khoang ngực có chứa tim, phổi với khoang bụng chứa các cơ quan trong ổ bụng. Cơ hoành là cơ chủ yếu của hệ hô hấp, nâng đỡ và hỗ trợ con người hít thở bình thường trong mọi trạng thái. Khi bị khiếm khuyết, cơ hoành chỉ như một miếng màng mỏng, mất trương lực và không co giãn được. Khi đó các cơ quan trong ổ bụng sẽ dễ dàng đẩy cơ hoành bị nhão lên trên và chèn ép lên phổi khiến người bệnh khó thở.

Bác sĩ cho biết nhão cơ hoành là bệnh lý hiếm gặp, khó phát hiện và dễ bị chẩn đoán nhầm với các bệnh khác, như nang thùy dưới phổi, viêm phổi, bệnh phổi biệt lập... do các triệu chứng không đặc trưng, thường phát hiện tình cờ khi chụp X-quang phổi.

Nhão cơ hoành trái và phải có triệu chứng khác nhau. Nhão cơ hoành phải gây khó thở, đau tức ngực, viêm phổi...; còn nhão cơ hoành trái gây đau vùng mũi ức hay hạ sườn trái, ợ hơi, buồn nôn nhất là sau khi ăn no, rối loạn tiêu hóa.

"Đây không phải bệnh cấp cứu nguy hiểm, tuy nhiên nhão cơ hoành là nguyên nhân gây ra nhiều bệnh khác như khó thở kéo dài dẫn đến suy hô hấp, viêm phổi, rối loạn tiêu hóa...", bác sĩ nói. Nếu không phát hiện đúng bệnh mà chỉ điều trị triệu chứng, người bệnh dễ bị tái phát nhiều lần, cơn đau dai dẳng gây ảnh hưởng đến sức khỏe và chất lượng cuộc sống.

Để điều trị triệt để bệnh lý này, phẫu thuật nội soi tạo hình cơ hoành là phương pháp tối ưu. Người bệnh nên lựa chọn cơ sở y tế có chuyên khoa sâu về lồng ngực, tránh nguy cơ biến chứng có thể gặp trong và sau phẫu thuật như chảy máu, nhiễm trùng, tràn máu tràn khí màng phổi, tái phát bệnh, suy hô hấp phải nằm thở máy lâu dài.

VietBF@ sưu tập
Dịch trang: EnglishEnglish DeutschDeutsch FrançaisFrançais EspañolEspañol ItalianoItaliano PortuguêsPortuguês
NorskNorsk NederlandsNederlands DanskDansk SuomiSuomi PolskiPolski ČeštinaČeština РусскийРусский
日本語日本語 한국어한국어 中文(简体)中文(简体) 中文(繁體)中文(繁體) MagyarMagyar TürkçeTürkçe
العربيةالعربية ไทยไทย LatinaLatina हिन्दीहिन्दी Bahasa IndonesiaBahasa Indonesia Bahasa MelayuBahasa Melayu
VIETBF Hybrid Community Content Hub

HOT NEWS 24h

HOT 3 Days

NEWS 3 Days

HOT 7 Days

NEWS 7 Days

HOME

Breaking News

VietOversea

World News

Business News

Car News

Computer News

Game News

USA News

Mobile News

Music News

Movies News

History

Thơ Ca

Sport News

Stranger Stories

Comedy Stories

Cooking Chat

Nice Pictures

Fashion

School

Travelling

Funny Videos

Canada Tin Hay

USA Tin Hay

VietBF Homepage Autoscroll

VietBF Video Autoscroll Portal

Video Classic Master

iPad News Portal

VietBF iPad Music Portal

Tin nóng nhất 50h qua

Phim Bộ Online

Phim Bộ



pizza
R11 Tuyệt Thế Thiên Hạ
Release: 08-15-2022
Reputation: 237260


Profile:
Join Date: Sep 2014
Posts: 110,683
Last Update: None Rating: None
Attached Thumbnails
Click image for larger version

Name:	261.jpg
Views:	0
Size:	149.1 KB
ID:	2097230  
pizza_is_offline
Thanks: 7
Thanked 8,159 Times in 7,269 Posts
Mentioned: 6 Post(s)
Tagged: 0 Thread(s)
Quoted: 41 Post(s)
Rep Power: 133
pizza Reputation Uy Tín Level 10pizza Reputation Uy Tín Level 10pizza Reputation Uy Tín Level 10pizza Reputation Uy Tín Level 10pizza Reputation Uy Tín Level 10pizza Reputation Uy Tín Level 10pizza Reputation Uy Tín Level 10
pizza Reputation Uy Tín Level 10pizza Reputation Uy Tín Level 10pizza Reputation Uy Tín Level 10pizza Reputation Uy Tín Level 10pizza Reputation Uy Tín Level 10pizza Reputation Uy Tín Level 10pizza Reputation Uy Tín Level 10pizza Reputation Uy Tín Level 10pizza Reputation Uy Tín Level 10pizza Reputation Uy Tín Level 10pizza Reputation Uy Tín Level 10pizza Reputation Uy Tín Level 10pizza Reputation Uy Tín Level 10pizza Reputation Uy Tín Level 10pizza Reputation Uy Tín Level 10pizza Reputation Uy Tín Level 10pizza Reputation Uy Tín Level 10pizza Reputation Uy Tín Level 10pizza Reputation Uy Tín Level 10pizza Reputation Uy Tín Level 10pizza Reputation Uy Tín Level 10pizza Reputation Uy Tín Level 10
Dịch trang: EnglishEnglish DeutschDeutsch FrançaisFrançais EspañolEspañol ItalianoItaliano PortuguêsPortuguês
NorskNorsk NederlandsNederlands DanskDansk SuomiSuomi PolskiPolski ČeštinaČeština РусскийРусский
日本語日本語 한국어한국어 中文(简体)中文(简体) 中文(繁體)中文(繁體) MagyarMagyar TürkçeTürkçe
العربيةالعربية ไทยไทย LatinaLatina हिन्दीहिन्दी Bahasa IndonesiaBahasa Indonesia Bahasa MelayuBahasa Melayu
 
User Tag List



 

iPad Videos Portal Autoscroll

VietBF Music Portal Autoscroll

iPad News Portal Autoscroll

VietBF Homepage Autoscroll

VietBF Video Autoscroll Portal

USA News Autoscroll Portall

VietBF WORLD Autoscroll Portal

Video Classic Master Page

Super Widescreen

iPad World Portal Autoscroll

iPad USA Portal Autoscroll

Phim Bộ Online
Lên đầu Xuống dưới Lên 3000px Xuống 3000px

Tin nóng nhất 24h qua

Tin nóng nhất 3 ngày qua

Tin nóng nhất 7 ngày qua

Tin nóng nhất 30 ngày qua

Albums

Total Videos Online

Tranh luận sôi nổi nhất 7 ngày qua

Tranh luận sôi nổi nhất 14 ngày qua

Tranh luận sôi nổi nhất 30 ngày qua

10.000 Tin mới nhất

Tin tức Hoa Kỳ

Tin tức Công nghệ
Lên đầu Xuống dưới Lên 3000px Xuống 3000px

Duo Series Movies Portal

Duo Music Portal

Phim Bộ

Tỷ Giá

Thời Tiết

Tin Nóng Nhất 50h

Super News

School Cooking Traveling Portal

Enter Portal

Series Shows and Movies Online

Home Classic Master Page

Donation Ủng hộ $3 cho VietBF
Lên đầu Xuống dưới Lên 3000px Xuống 3000px
Diễn Đàn Người Việt Hải Ngoại. Tự do ngôn luận, an toàn và uy tín. Vì một tương lai tươi đẹp cho các thế hệ Việt Nam hãy ghé thăm chúng tôi, hãy tâm sự với chúng tôi mỗi ngày, mỗi giờ và mỗi giây phút có thể. VietBF.Com Xin cám ơn các bạn, chúc tất cả các bạn vui vẻ và gặp nhiều may mắn.
Welcome to Vietnamese American Community, Vietnamese European, Canadian, Australian Forum, Vietnamese Overseas Forum. Freedom of speech, safety and prestige. For a beautiful future for Vietnamese generations, please visit us, talk to us every day, every hour and every moment possible. VietBF.Com Thank you all and good luck.

Lên đầu Xuống dưới Lên 3000px Xuống 3000px

All times are GMT. The time now is 16:55.
VietBF - Vietnamese Best Forum Copyright ©2005 - 2026
User Alert System provided by Advanced User Tagging (Pro) - vBulletin Mods & Addons Copyright © 2026 DragonByte Technologies Ltd.
Log Out Unregistered

Page generated in 0.09933 seconds with 15 queries